Hamburger Menu Button
Thermo Fisher Scientific Logo
登录
没有账号?建立账号 注册
  • 产品
    • 抗体
    • 引物合成
    • GeneArt Gene Synthesis Instant Designer
    • TaqMan Assay and Array Search
    • PCR 设备和耗材
    • 色谱柱和纯化柱
    • 实验室离心机
    • 分子生物学试剂和试剂盒
    • 实验室塑料耗材及用品
    • 查看所有产品分类
  • 应用和技术
    • 色谱
    • 细胞转染和培养
    • 实时荧光定量PCR
    • 质谱
    • 实验室塑料耗材及用品
    • 电子显微镜
    • 蛋白质生物学
    • PCR
    • RNAi
    • 环境
    • 查看所有应用和技术
  • 服务
    • 定制服务
    • 企业级实验室信息化服务
    • 金融&租赁服务
    • 仪器服务
    • OEM和商业供应
    • 培训服务
    • 360° CDMO 和 CRO 服务
    • CDMO 服务
    • 临床试验 CRO 服务
    • Unity Lab Services
    • 查看所有帮助和支持
  • 帮助和支持
    • 学习中心
    • 联系我们
    • 更改国家或地区
    • 查看所有帮助和支持
  • 热门产品
    • TaqMan Real-Time PCR Assays
      TaqMan 实时荧光定量 PCR 试剂盒
    • Antibodies
      抗体
    • Oligos, Primers & Probes
      寡核苷酸、引物、探针
    • GeneArt Gene Synthesis
      GeneArt 基因合成
    • Cell Culture Plastics
      细胞培养耗材
  • Who We Serve
    • 抗体治疗解决方案
    • 细胞与基因治疗解决方案
    • 学术科研
    • 工业与应用
  • 联系我们
  • 货号直购
  • 订单查询
  • 查找文件&证书
Thermo Fisher Scientific Logo

Search

搜索全部或下列指定分类
Search button
          • 联系我们
          • 货号直购
          • 登录
            登录
            没有账号?建立账号 注册
            • 我的账号
            • 订单
            • 会员中心
            • 账单及发票查询
            • 定制产品及项目
          • Primary Antibodies ›
          • PRMT1 Antibodies

          Bethyl Laboratories

          PRMT1 Polyclonal Antibody

          查看其他18个PRMT1抗体

          {{$productOrderCtrl.translations['antibody.pdp.commerceCard.promotion.promotions']}}

          {{$productOrderCtrl.translations['antibody.pdp.commerceCard.promotion.viewpromo']}}

          {{$productOrderCtrl.translations['antibody.pdp.commerceCard.promotion.promocode']}}: {{promo.promoCode}} {{promo.promoTitle}} {{promo.promoDescription}}. {{$productOrderCtrl.translations['antibody.pdp.commerceCard.promotion.learnmore']}}

          说明书
          证书
          实验方案
          问题与答案
          技术支持
          说明书
          证书
          实验方案
          问题与答案
          技术支持
          说明书
          证书
          实验方案
          问题与答案
          技术支持

          Cite PRMT1 Polyclonal Antibody

          Additional Information:
          {{banner.description}}
          {{$ctrl.isSkuNotesCollapsed ? 'View more' : 'View less'}}
          • 抗体检测数据 (4)
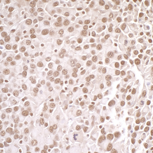
          PRMT1 Antibody in Immunohistochemistry (Paraffin) (IHC (P))
          Group 53 Created with Sketch.
          PRMT1 Antibody in Immunohistochemistry (Paraffin) (IHC (P))
          Group 53 Created with Sketch.

          图: 1 / 4

          {{ $ctrl.currentElement.advancedVerification.fullName }}
          {{ $ctrl.currentElement.advancedVerification.text }}

          PRMT1 Antibody (A300-722A) in IHC (P)

          Detection of mouse PRMT1 by immunohistochemistry. Sample: FFPE section of mouse renal cell carcinoma. Antibody: Affinity purified rabbit anti-PRMT1 (Product # A300-722A) (Lot 2) used at a dilution of 1:5,000 (0.2 µg/mL). Detection: DAB. {{ $ctrl.currentElement.advancedVerification.fullName }} 验证信息 View more
          已发表图片由___提供 benchsci-logo
          PMID: {{$ctrl.currentElement.benchSciPubmedId}}
          查看产品

          {{$ctrl.videoDesc}}

          {{$ctrl.videoLongDesc}}

          PRMT1 Antibody in Immunohistochemistry (Paraffin) (IHC (P))
          PRMT1 Antibody in Immunohistochemistry (Paraffin) (IHC (P))
          PRMT1 Antibody in Western Blot (WB)
          PRMT1 Antibody in Immunoprecipitation (IP)
          PRMT1 Polyclonal Antibody

          产品信息

          A300-722A

          应用
          建议稀释比
          已发表文章

          免疫印迹 (WB)

          1:2,000-1:10,000
          -

          免疫组化 (IHC)

          1:2,000-1:10,000
          -

          免疫组化(石蜡) (IHC (P))

          1:2,000-1:10,000
          -

          免疫沉淀 (IP)

          2-5 µg/mg lysate
          -
          产品规格

          种属反应

          Human, Mouse

          宿主/亚型

          Rabbit / IgG

          分类

          Polyclonal

          类型

          Antibody

          抗原

          Region between residue 1 and 50 of Human Protein Arginine N-Methyltransferase 1.
          3D表位/免疫原

          偶联物

          Unconjugated Unconjugated Unconjugated

          形式

          Liquid

          浓度

          1 mg/mL

          规格

          100 µg

          纯化类型

          Antigen affinity chromatography

          保存液

          tris citrate/phosphate, pH 7-8

          内含物

          0.09% sodium azide

          保存条件

          4°C

          运输条件

          Ambient (domestic); Wet ice (international)

          产品详细信息

          The recommended shelf life for this product is 1 year from date of receipt.

          Application Note: For IHC, epitope retrieval with citrate buffer pH 6.0 is recommended for FFPE tissue sections.

          Based on 100% sequence identity, this antibody is predicted to react with Rat

          靶标信息

          PRMT1 is a member of the protein arginine N-methyltransferase (PRMT) family. Arginine methylation is an irreversible post translational modification which has been implicated in RNA processing and trafficking, receptor-mediated signaling, and transcription. At least three types of PRMT enzymes have been identified in mammalian cells. These enzymes have been shown to have essential regulatory functions by methylation of key proteins in several fundamental areas. These proteins include nuclear proteins, IL enhancer binding factor, nuclear factors, cell cycle proteins, signal transduction proteins, apoptosis proteins, and viral proteins. The mammalian PRMT family currently consists of 7 members that share two large domains of homology. Increased expression of PRMT1 may play a role in various types of cancer.

          仅用于科研。不用于诊断过程。未经明确授权不得转售。

          篇参考文献 (0)

          您是否在文献中引用过该产品?请点击下方按钮邮件告知我们。
          引用该产品

          生物信息学

          蛋白别名: arginine N-methyltransferase 1; heterogeneous nuclear ribonucleoprotein methyltransferase 1-like 2; heterogeneous nuclear ribonucleoproteins methyltransferase-like 2; highly conserved protein 1; Histone-arginine N-methyltransferase PRMT1; HMT1 (hnRNP methyltransferase, S. cerevisiae)-like 2; HRMT1L2; Interferon receptor 1-bound protein 4; Protein arginine N-methyltransferase 1; protein arginine N-methyltransferase 1 isoform 10; protein arginine N-methyltransferase 1 isoform 11; protein arginine N-methyltransferase 1 isoform 12; protein arginine N-methyltransferase 1 isoform 13; protein arginine N-methyltransferase 1 isoform 14; protein arginine N-methyltransferase 1 isoform 15; protein arginine N-methyltransferase 1 isoform 16; protein arginine N-methyltransferase 1 isoform 17; protein arginine N-methyltransferase 1 isoform 18; protein arginine N-methyltransferase 1 isoform 19; protein arginine N-methyltransferase 1 isoform 20; protein arginine N-methyltransferase 1 isoform 21; protein arginine N-methyltransferase 1 isoform 22; protein arginine N-methyltransferase 1 isoform 23; protein arginine N-methyltransferase 1 isoform 24; protein arginine N-methyltransferase 1 isoform 25; protein arginine N-methyltransferase 1 isoform 26; protein arginine N-methyltransferase 1 isoform 27; protein arginine N-methyltransferase 1 isoform 28; protein arginine N-methyltransferase 1 isoform 29; protein arginine N-methyltransferase 1 isoform 30; protein arginine N-methyltransferase 1 isoform 31; protein arginine N-methyltransferase 1 isoform 32; protein arginine N-methyltransferase 1 isoform 33; protein arginine N-methyltransferase 1 isoform 34; protein arginine N-methyltransferase 1 isoform 35; protein arginine N-methyltransferase 1 isoform 36; protein arginine N-methyltransferase 1 isoform 37; protein arginine N-methyltransferase 1 isoform 38; protein arginine N-methyltransferase 1 isoform 39; protein arginine N-methyltransferase 1 isoform 4; protein arginine N-methyltransferase 1 isoform 40; protein arginine N-methyltransferase 1 isoform 41; protein arginine N-methyltransferase 1 isoform 42; protein arginine N-methyltransferase 1 isoform 43; protein arginine N-methyltransferase 1 isoform 44; protein arginine N-methyltransferase 1 isoform 45; protein arginine N-methyltransferase 1 isoform 46; protein arginine N-methyltransferase 1 isoform 47; protein arginine N-methyltransferase 1 isoform 48; protein arginine N-methyltransferase 1 isoform 5; protein arginine N-methyltransferase 1 isoform 6; protein arginine N-methyltransferase 1 isoform 7; protein arginine N-methyltransferase 1 isoform 8; protein arginine N-methyltransferase 1 isoform 9; unnamed protein product

          查看更多 收起

          基因别名: 6720434D09Rik; ANM1; AW214366; HCP1; HMT2; HRMT1L2; IR1B4; Mrmt1; PRMT1

          查看更多 收起

          UniProt ID: (Human) Q99873, (Mouse) Q9JIF0

          查看更多 收起

          Entrez Gene ID: (Human) 3276, (Mouse) 15469

          查看更多 收起

          功能
          RNA binding protein binding methyltransferase activity N-methyltransferase activity protein methyltransferase activity methyl-CpG binding protein-arginine N-methyltransferase activity transferase activity enzyme binding protein-arginine omega-N monomethyltransferase activity protein-arginine omega-N asymmetric methyltransferase activity histone methyltransferase activity identical protein binding histone methyltransferase activity (H4-R3 specific) mitogen-activated protein kinase p38 binding GATOR1 complex binding histone H4 methyltransferase activity S-adenosyl-L-methionine binding rRNA (adenine-N6,N6-)-dimethyltransferase activity protein C-terminal carboxyl O-methyltransferase activity tRNA (guanine-N2-)-methyltransferase activity C-methyltransferase activity O-methyltransferase activity S-methyltransferase activity RNA methyltransferase activity mRNA methyltransferase activity tRNA methyltransferase activity 2-polyprenyl-6-methoxy-1,4-benzoquinone methyltransferase activity histone-arginine N-methyltransferase activity rRNA methyltransferase activity rRNA (uridine-2'-O-)-methyltransferase activity rRNA (adenine-N6-)-methyltransferase activity DNA-methyltransferase activity tRNA (guanine-N1-)-methyltransferase activity rRNA (cytosine-C5-)-methyltransferase activity selenocysteine methyltransferase activity arginine N-methyltransferase activity [cytochrome c]-arginine N-methyltransferase activity lysine N-methyltransferase activity protein-lysine N-methyltransferase activity tRNA (uracil) methyltransferase activity tRNA (guanine) methyltransferase activity tRNA (adenine) methyltransferase activity tRNA (cytosine) methyltransferase activity tRNA (cytosine-5-)-methyltransferase activity tRNA (adenine-N1-)-methyltransferase activity rRNA (adenine) methyltransferase activity rRNA (cytosine) methyltransferase activity rRNA (guanine) methyltransferase activity rRNA (uridine) methyltransferase activity protein C-terminal leucine carboxyl O-methyltransferase activity 1-phenanthrol methyltransferase activity protein-arginine N5-methyltransferase activity snoRNP binding methylarsonite methyltransferase activity dimethylarsinite methyltransferase activity 4,5-dihydroxybenzo(a)pyrene methyltransferase activity 1-hydroxypyrene methyltransferase activity 1-hydroxy-6-methoxypyrene methyltransferase activity demethylmenaquinone methyltransferase activity cobalt-precorrin-6B C5-methyltransferase activity cobalt-precorrin-7 C15-methyltransferase activity cobalt-precorrin-5B C1-methyltransferase activity cobalt-precorrin-3 C17-methyltransferase activity dimethylamine methyltransferase activity hydroxyneurosporene-O-methyltransferase activity tRNA (adenine-57, 58-N(1)-) methyltransferase activity methylamine-specific methylcobalamin:coenzyme M methyltransferase activity trimethylamine methyltransferase activity methanol-specific methylcobalamin:coenzyme M methyltransferase activity monomethylamine methyltransferase activity poly(A) RNA binding P-methyltransferase activity Se-methyltransferase activity 2-phytyl-1,4-naphthoquinone methyltransferase activity tRNA (uracil-2'-O-)-methyltransferase activity tRNA (cytosine-2'-O-)-methyltransferase activity phosphomethylethanolamine N-methyltransferase activity tRNA (cytosine-3-)-methyltransferase activity rRNA (cytosine-2'-O-)-methyltransferase activity rRNA (cytosine-N4-)-methyltransferase activity trihydroxyferuloyl spermidine O-methyltransferase activity protein modifying enzyme
          参与通路
          double-strand break repair via homologous recombination in utero embryonic development chromatin remodeling regulation of transcription, DNA-templated protein methylation cellular response to DNA damage stimulus cell surface receptor signaling pathway positive regulation of cell proliferation RNA splicing negative regulation of translation peptidyl-arginine methylation viral protein processing BMP signaling pathway regulation of BMP signaling pathway negative regulation of BMP signaling pathway neuron projection development cellular response to nutrient levels methylation cellular response to amino acid starvation TORC1 signaling positive regulation of erythrocyte differentiation regulation of megakaryocyte differentiation negative regulation of megakaryocyte differentiation positive regulation of translation negative regulation of translational initiation negative regulation of JNK cascade positive regulation of hemoglobin biosynthetic process cardiac muscle tissue development protein homooligomerization cellular response to methionine protein localization to lysosome membraneless organelle assembly positive regulation of p38MAPK cascade negative regulation of TORC1 signaling positive regulation of TORC1 signaling positive regulation of double-strand break repair via homologous recombination negative regulation of double-strand break repair via homologous recombination histone methylation peptidyl-arginine methylation, to asymmetrical-dimethyl arginine peptidyl-arginine N-methylation peptidyl-arginine omega-N-methylation histone H4-R3 methylation
          It has to be done as per old AB suggested Products section.

          Disclaimer

          Close

          Clicking the images or links will redirect you to a website hosted by BenchSci that provides third-party scientific content. Neither the content nor the BenchSci technology and processes for selection have been evaluated by us; we are providing them as-is and without warranty of any kind, including for use or application of the Thermo Fisher Scientific products presented.

          guarantee_icon

          性能保障

          只要您发现Invitrogen抗体在实验中的表现与网站或说明书的所述内容不符,您即可享受免费退换货服务。*

          了解更多
          help_icon

          随时为您服务

          获取常见问题的专家解答,或者直接联系我们的技术专家,咨询应用、设备、常规产品使用问题。

          联系技术支持
          订购 Plus Icon Minus Icon
          • 订单状态查询
          • 订单支持
          • 货号直购
          • 现货供应中心
          • 电子采购
          支持 Plus Icon Minus Icon
          • 帮助&支持
          • 联系我们 - 400 820 8982
          • 技术支持中心
          • 查找文件&证书
          • 报告网站问题
          资源 Plus Icon Minus Icon
          • 学习中心
          • 促销
          • 活动&研讨会
          • 社交媒体
          关于赛默飞 Plus Icon Minus Icon
          • 关于我们
          • 招聘 招聘
          • 投资者关系 投资者关系
          • 新闻 新闻
          • 社会责任 社会责任
          • 商标
          • 政策和通知
          品牌 Plus Icon Minus Icon
          • Thermo Scientific
          • Applied Biosystems
          • Invitrogen
          • Gibco
          • Ion Torrent
          • Unity Lab Services
          • Patheon
          • PPD
          • 服务条款
          • 隐私政策
          • 定价和运输保险政策
          © 2006-2026 Thermo Fisher Scientific Inc. All rights reserved. All trademarks are the property of Thermo Fisher Scientific and its subsidiaries unless otherwise specified.
          China flag icon
          China
          本网站销售的所有产品均不得用于人类或动物之临床诊断或治疗,仅可用于工业或者科研等非医疗目的。
             电子营业执照 | 经营证照公示 | ICP备案号:沪ICP备11003924号 | 沪公网安备 31011502006935号

          Your items have has been added!


          Host server : magellan-search-green-6479c7f679-mppzp:80/100.66.76.236:80.
          git-commit: b70c0dceb888abc3b0dcebb5bc3a5b8753e7e816
          git-url: https://github.com/thermofisher/magellan-search
          git-branch: release/2.50.0-Offline