Search
Search
Invitrogen
{{$productOrderCtrl.translations['antibody.pdp.commerceCard.promotion.promotions']}}
{{$productOrderCtrl.translations['antibody.pdp.commerceCard.promotion.viewpromo']}}
{{$productOrderCtrl.translations['antibody.pdp.commerceCard.promotion.promocode']}}: {{promo.promoCode}} {{promo.promoTitle}} {{promo.promoDescription}}. {{$productOrderCtrl.translations['antibody.pdp.commerceCard.promotion.learnmore']}}
图: 1 / 4
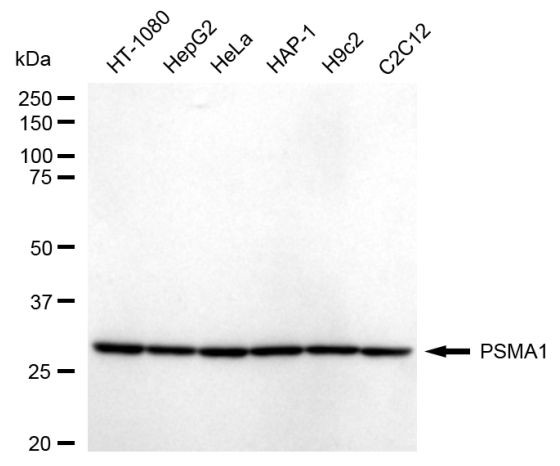
Proteolytic degradation is critical to the maintenance of appropriate levels of short-lived and regulatory proteins as important and diverse as those involved in cellular metabolism, heat shock and stress response, antigen presentation, modulation of cell surface receptors and ion channels, cell cycle regulation, transcription, and signaling factors. The ubiquitin-proteasome pathway deconstructs most proteins in the eukaryotic cell cytosol and nucleus. Others are degraded via the vacuolar pathway which includes endosomes, lysosomes, and the endoplasmic reticulum. The 26S proteasome is an ATP-dependent, multisubunit (approximately31), barrel-shaped molecular machine with an apparent molecular weight of approximately2. 5 MDa. It consists of a 20S proteolytic core complex which is crowned at one or both ends by 19S regulatory subunit complexes. The 19S regulatory subunits recognize ubiquitinated proteins and play an essential role in unfolding and translocating targets into the lumen of the 20S subunit. An enzymatic cascade is responsible for the attachment of multiple ubiquitin molecules to lysine residues of proteins targeted for degradation. Several genetic diseases are associated with defects in the ubiquitin-proteasome pathway. Some examples of affected proteins include those linked to cystic fibrosis, Angelman's syndrome, and Liddle syndrome.
仅用于科研。不用于诊断过程。未经明确授权不得转售。
蛋白别名: 20S proteasome subunit C2; 30 kDa prosomal protein; alpha-6; epididymis secretory protein Li 275; Macropain subunit C2; macropain subunit nu; MGC14542; MGC14575; MGC14751; MGC1667; MGC21459; MGC22853; MGC23915; Multicatalytic endopeptidase complex subunit C2; PROS-30; proteasome (prosome, macropain) subunit, alpha type, 1; proteasome alpha 1 subunit; Proteasome component C2; Proteasome nu chain; proteasome subunit alpha 1; proteasome subunit alpha 6; Proteasome subunit alpha type-1; Proteasome subunit alpha-6; proteasome subunit nu; proteasome subunit, alpha-type, 1; protein P30-33K; testicular tissue protein Li 150; unnamed protein product
基因别名: alpha-type; C2; HC2; HEL-S-275; NU; Pros-30; PROS30; PSC2; PSMA1
UniProt ID: (Human) P25786, (Rat) P18420, (Mouse) Q9R1P4
Entrez Gene ID: (Human) 5682, (Rat) 29668, (Mouse) 26440