Hamburger Menu Button
Thermo Fisher Scientific Logo
登录
没有账号?建立账号 注册
  • 产品
    • 抗体
    • 引物合成
    • GeneArt Gene Synthesis Instant Designer
    • TaqMan Assay and Array Search
    • PCR 设备和耗材
    • 色谱柱和纯化柱
    • 实验室离心机
    • 分子生物学试剂和试剂盒
    • 实验室塑料耗材及用品
    • 查看所有产品分类
  • 应用和技术
    • 色谱
    • 细胞转染和培养
    • 实时荧光定量PCR
    • 质谱
    • 实验室塑料耗材及用品
    • 电子显微镜
    • 蛋白质生物学
    • PCR
    • RNAi
    • 环境
    • 查看所有应用和技术
  • 服务
    • 定制服务
    • 企业级实验室信息化服务
    • 金融&租赁服务
    • 仪器服务
    • OEM和商业供应
    • 培训服务
    • 360° CDMO 和 CRO 服务
    • CDMO 服务
    • 临床试验 CRO 服务
    • Unity Lab Services
    • 查看所有帮助和支持
  • 帮助和支持
    • 学习中心
    • 联系我们
    • 更改国家或地区
    • 查看所有帮助和支持
  • 热门产品
    • TaqMan Real-Time PCR Assays
      TaqMan 实时荧光定量 PCR 试剂盒
    • Antibodies
      抗体
    • Oligos, Primers & Probes
      寡核苷酸、引物、探针
    • GeneArt Gene Synthesis
      GeneArt 基因合成
    • Cell Culture Plastics
      细胞培养耗材
  • Who We Serve
    • 抗体治疗解决方案
    • 细胞与基因治疗解决方案
    • 学术科研
    • 工业与应用
  • 联系我们
  • 货号直购
  • 订单查询
  • 查找文件&证书
Thermo Fisher Scientific Logo

Search

搜索全部或下列指定分类
Search button
          • 联系我们
          • 货号直购
          • 登录
            登录
            没有账号?建立账号 注册
            • 我的账号
            • 订单
            • 账单及发票查询
            • 定制产品及项目
          • Primary Antibodies ›
          • PSTPIP1 Antibodies

          Invitrogen

          PSTPIP1 Polyclonal Antibody

          查看其他7个PSTPIP1抗体

          {{$productOrderCtrl.translations['antibody.pdp.commerceCard.promotion.promotions']}}

          {{$productOrderCtrl.translations['antibody.pdp.commerceCard.promotion.viewpromo']}}

          {{$productOrderCtrl.translations['antibody.pdp.commerceCard.promotion.promocode']}}: {{promo.promoCode}} {{promo.promoTitle}} {{promo.promoDescription}}. {{$productOrderCtrl.translations['antibody.pdp.commerceCard.promotion.learnmore']}}

          说明书
          证书
          实验方案
          问题与答案
          技术支持
          说明书
          证书
          实验方案
          问题与答案
          技术支持
          说明书
          证书
          实验方案
          问题与答案
          技术支持

          Cite PSTPIP1 Polyclonal Antibody

          Additional Information:
          {{banner.description}}
          {{$ctrl.isSkuNotesCollapsed ? 'View more' : 'View less'}}
          • 抗体检测数据 (3)
          PSTPIP1 Antibody in Immunohistochemistry (Paraffin) (IHC (P))
          Group 53 Created with Sketch.
          PSTPIP1 Antibody in Immunohistochemistry (Paraffin) (IHC (P))
          Group 53 Created with Sketch.

          图: 1 / 3

          {{ $ctrl.currentElement.advancedVerification.fullName }}
          {{ $ctrl.currentElement.advancedVerification.text }}

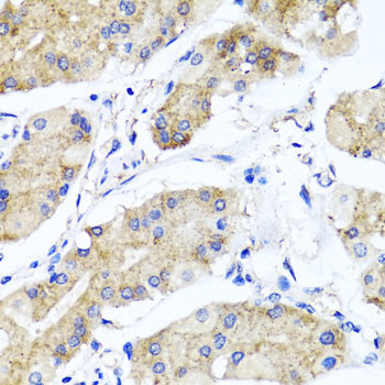
          PSTPIP1 Antibody (PA5-96793) in IHC (P)

          Immunohistochemistry analysis of PSTPIP1 in paraffin-embedded human stomach. Samples were incubated with PSTPIP1 Polyclonal antibody (Product # PA5-96793) using a dilution of 1:100 (40x lens). Perform microwave antigen retrieval with 10 mM PBS buffer pH 7.2 before commencing with IHC staining protocol. {{ $ctrl.currentElement.advancedVerification.fullName }} 验证信息 View more
          已发表图片由___提供 benchsci-logo
          PMID: {{$ctrl.currentElement.benchSciPubmedId}}
          查看产品

          {{$ctrl.videoDesc}}

          {{$ctrl.videoLongDesc}}

          PSTPIP1 Antibody in Immunohistochemistry (Paraffin) (IHC (P))
          PSTPIP1 Antibody in Immunohistochemistry (Paraffin) (IHC (P))
          PSTPIP1 Antibody in Western Blot (WB)
          PSTPIP1 Polyclonal Antibody

          产品信息

          PA5-96793

          应用
          建议稀释比
          已发表文章

          免疫印迹 (WB)

          1:500-1:2,000
          -

          免疫组化(石蜡) (IHC (P))

          1:50-1:200
          -

          酶联免疫吸附实验 (ELISA)

          1 µg/mL
          -
          产品规格

          种属反应

          Human, Mouse, Rat

          宿主/亚型

          Rabbit / IgG

          分类

          Polyclonal

          类型

          Antibody

          抗原

          Recombinant fusion protein containing a sequence corresponding to amino acids 157-416 of human PSTPIP1 (NP_0039692)
          3D表位/免疫原

          偶联物

          Unconjugated Unconjugated Unconjugated

          形式

          Liquid

          浓度

          0.46 mg/mL

          规格

          46 µg

          纯化类型

          Affinity Chromatography

          保存液

          PBS, pH 7.3, with 50% glycerol

          内含物

          0.02% sodium azide

          保存条件

          -20°C, Avoid Freeze/Thaw Cycles

          运输条件

          Ambient (domestic); Wet ice (international)

          RRID

          AB_2808595

          产品详细信息

          Immunogen sequence: AFERISANGH QKQVEKSQNK ARQCKDSATE AERVYRQSIA QLEKVRAEWE QEHRTTCEAF QLQEFDRLTI LRNALWVHSN QLSMQCVKDD ELYEEVRLTL EGCSIDADID SFIQAKSTGT EPPAPVPYQN YYDREVTPLT SSPGIQPSCG MIKRFSGLLH GSPKTTSLAA SAASTETLTP TPERNEGVYT AIAVQEIQGN PASPAQEYRA LYDYTAQNPD ELDLSAGDIL EVILEGEDGW WTVERNGQRG FVPGSYLEKL; Positive Samples: THP-1, mouse spleen, mouse thymus, mouse brain, rat brain, Mouse spleen, Mouse thymus, Mouse brain, Rat brain; Cellular Location: Cell projection, Cleavage furrow, Cytoplasm, cytoskeleton, lamellipodium, perinuclear region, uropodium

          靶标信息

          PSTPIP1 is involved in regulation of the actin cytoskeleton. May regulate WAS actin-bundling activity. Bridges the interaction between ABL1 and PTPN18 leading to ABL1 dephosphorylation. May play a role as a scaffold protein between PTPN12 and WAS and allow PTPN12 to dephosphorylate WAS. Has the potential to physically couple CD2 and CD2AP to WAS. Acts downstream of CD2 and CD2AP to recruit WAS to the T-cell:APC contact site so as to promote the actin polymerization required for synapse induction during T-cell activation. Down-regulates CD2-stimulated adhesion through the coupling of PTPN12 to CD2. Also has a role in innate immunity and the inflammatory response. Recruited to inflammasomes by MEFV. Induces formation of pyroptosomes, large supramolecular structures composed of oligomerized PYCARD dimers which form prior to inflammatory apoptosis. Binding to MEFV allows MEFV to bind to PYCARD and facilitates pyroptosome formation. Regulates endocytosis and cell migration in neutrophils.

          仅用于科研。不用于诊断过程。未经明确授权不得转售。

          篇参考文献 (0)

          您是否在文献中引用过该产品?请点击下方按钮邮件告知我们。
          引用该产品

          生物信息学

          蛋白别名: CD2 antigen-binding protein 1; CD2 cytoplasmic tail-binding protein; CD2-binding protein 1; H-PIP; PEST phosphatase-interacting protein 1; Proline-serine-threonine phosphatase-interacting protein 1; similar to Mus musculus PEST phosphatase interacting protein, encoded by GenBank Accession Number U87814; unnamed protein product

          查看更多 收起

          基因别名: AICZC; CD2BP1; CD2BP1L; CD2BP1S; def-2; H-PIP; PAPA; PAPAS; PSTPIP; PSTPIP1

          查看更多 收起

          UniProt ID: (Human) O43586, (Mouse) P97814

          查看更多 收起

          Entrez Gene ID: (Human) 9051, (Mouse) 19200, (Rat) 300732

          查看更多 收起

          功能
          protein binding identical protein binding actin binding protein phosphatase binding molecular_function actin or actin-binding cytoskeletal protein
          参与通路
          immune system process endocytosis inflammatory response cell adhesion signal transduction innate immune response cytokinesis biological_process
          It has to be done as per old AB suggested Products section.

          Disclaimer

          Close

          Clicking the images or links will redirect you to a website hosted by BenchSci that provides third-party scientific content. Neither the content nor the BenchSci technology and processes for selection have been evaluated by us; we are providing them as-is and without warranty of any kind, including for use or application of the Thermo Fisher Scientific products presented.

          guarantee_icon

          性能保障

          只要您发现Invitrogen抗体在实验中的表现与网站或说明书的所述内容不符,您即可享受免费退换货服务。*

          了解更多
          help_icon

          随时为您服务

          获取常见问题的专家解答,或者直接联系我们的技术专家,咨询应用、设备、常规产品使用问题。

          联系技术支持
          订购 Plus Icon Minus Icon
          • 订单状态查询
          • 订单支持
          • 货号直购
          • 现货供应中心
          • 电子采购
          支持 Plus Icon Minus Icon
          • 帮助&支持
          • 联系我们 - 400 820 8982
          • 技术支持中心
          • 查找文件&证书
          • 报告网站问题
          资源 Plus Icon Minus Icon
          • 学习中心
          • 促销
          • 活动&研讨会
          • 社交媒体
          关于赛默飞 Plus Icon Minus Icon
          • 关于我们
          • 招聘 招聘
          • 投资者关系 投资者关系
          • 新闻 新闻
          • 社会责任 社会责任
          • 商标
          • 政策和通知
          品牌 Plus Icon Minus Icon
          • Thermo Scientific
          • Applied Biosystems
          • Invitrogen
          • Gibco
          • Ion Torrent
          • Unity Lab Services
          • Patheon
          • PPD
          • 服务条款
          • 隐私政策
          • 定价和运输保险政策
          © 2006-2026 Thermo Fisher Scientific Inc. All rights reserved. All trademarks are the property of Thermo Fisher Scientific and its subsidiaries unless otherwise specified.
          China flag icon
          China
          本网站销售的所有产品均不得用于人类或动物之临床诊断或治疗,仅可用于工业或者科研等非医疗目的。
             电子营业执照 | 经营证照公示 | ICP备案号:沪ICP备11003924号 | 沪公网安备 31011502006935号

          Your items have has been added!


          Host server : magellan-search-blue-744bc48644-5wn4c:80/100.66.76.150:80.
          git-commit: 747bde55a712f6f97bf7760408d445eefba4e16f
          git-url: https://github.com/thermofisher/magellan-search
          git-branch: release/2.48.0-Offline