Hamburger Menu Button
Thermo Fisher Scientific Logo
登录
没有账号?建立账号 注册
  • 产品
    • 抗体
    • 引物合成
    • GeneArt Gene Synthesis Instant Designer
    • TaqMan Assay and Array Search
    • PCR 设备和耗材
    • 色谱柱和纯化柱
    • 实验室离心机
    • 分子生物学试剂和试剂盒
    • 实验室塑料耗材及用品
    • 查看所有产品分类
  • 应用和技术
    • 色谱
    • 细胞转染和培养
    • 实时荧光定量PCR
    • 质谱
    • 实验室塑料耗材及用品
    • 电子显微镜
    • 蛋白质生物学
    • PCR
    • RNAi
    • 环境
    • 查看所有应用和技术
  • 服务
    • 定制服务
    • 企业级实验室信息化服务
    • 企业服务
    • 金融&租赁服务
    • 仪器服务
    • OEM和商业供应
    • 培训服务
    • 360° CDMO 和 CRO 服务
    • CDMO 服务
    • 临床试验 CRO 服务
    • 查看所有帮助和支持
  • 帮助和支持
    • 学习中心
    • 联系我们
    • 更改国家或地区
    • 查看所有帮助和支持
  • 热门产品
    • TaqMan Real-Time PCR Assays
      TaqMan 实时荧光定量 PCR 试剂盒
    • Antibodies
      抗体
    • Oligos, Primers & Probes
      寡核苷酸、引物、探针
    • GeneArt Gene Synthesis
      GeneArt 基因合成
    • Cell Culture Plastics
      细胞培养耗材
  • 联系我们
  • 货号直购
  • 订单查询
  • 查找文件&证书
Thermo Fisher Scientific Logo

Search

搜索全部或下列指定分类
Search button
          • 联系我们
          • 货号直购
          • 登录
            登录
            没有账号?建立账号 注册
            • 我的账号
            • 订单
            • 账单及发票查询
            • 定制产品及项目

          Disclaimer

          Clicking the images or links will redirect you to a website hosted by BenchSci that provides third-party scientific content. Neither the content nor the BenchSci technology and processes for selection have been evaluated by us; we are providing them as-is and without warranty of any kind, including for use or application of the Thermo Fisher Scientific products presented.

          • Primary Antibodies ›
          • PTGER4 Antibodies

          Invitrogen

          PTGER4 Polyclonal Antibody

          查看其他13个PTGER4抗体

          {{$productOrderCtrl.translations['antibody.pdp.commerceCard.promotion.promotions']}}

          {{$productOrderCtrl.translations['antibody.pdp.commerceCard.promotion.viewpromo']}}

          {{$productOrderCtrl.translations['antibody.pdp.commerceCard.promotion.promocode']}}: {{promo.promoCode}} {{promo.promoTitle}} {{promo.promoDescription}}. {{$productOrderCtrl.translations['antibody.pdp.commerceCard.promotion.learnmore']}}

          说明书
          证书
          实验方案
          问题与答案
          技术支持
          说明书
          证书
          实验方案
          问题与答案
          技术支持
          说明书
          证书
          实验方案
          问题与答案
          技术支持

          Cite PTGER4 Polyclonal Antibody

          • 抗体检测数据 (2)
          PTGER4 Antibody in Immunohistochemistry (Paraffin) (IHC (P))
          Group 53 Created with Sketch.
          PTGER4 Antibody in Immunohistochemistry (Paraffin) (IHC (P))
          Group 53 Created with Sketch.

          图: 1 / 2

          {{ $ctrl.currentElement.advancedVerification.fullName }}
          {{ $ctrl.currentElement.advancedVerification.text }}

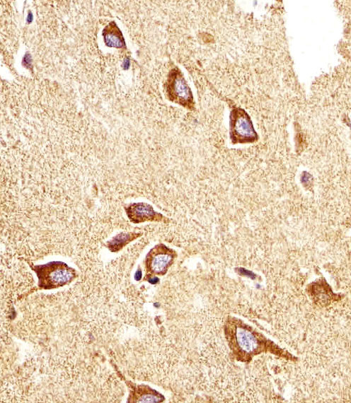
          PTGER4 Antibody (PA5-35259) in IHC (P)

          Immunohistochemistry analysis of PTGER4 in paraffin-embedded human brain section. Samples were incubated with PTGER4 polyclonal antibody (Product # PA5-35259) using a dilution of 1:25 followed by an undiluted biotinylated goat polyvalent antibody was used as the secondary, followed by DAB staining. {{ $ctrl.currentElement.advancedVerification.fullName }} 验证信息 View more
          已发表图片由___提供 benchsci-logo
          PMID: {{$ctrl.currentElement.benchSciPubmedId}}
          查看产品

          {{$ctrl.videoDesc}}

          {{$ctrl.videoLongDesc}}

          PTGER4 Antibody in Immunohistochemistry (Paraffin) (IHC (P))
          PTGER4 Antibody in Western Blot (WB)
          PTGER4 Polyclonal Antibody

          产品信息

          PA5-35259

          应用
          建议稀释比
          已发表文章

          免疫印迹 (WB)

          1:1,000
          -

          免疫组化(石蜡) (IHC (P))

          1:25
          -
          产品规格

          种属反应

          Human, Mouse

          宿主/亚型

          Rabbit / IgG

          分类

          Polyclonal

          类型

          Antibody

          抗原

          KLH conjugated synthetic peptide between 242-269 amino acids from the central region of human PTGER4
          查看免疫原

          偶联物

          Unconjugated Unconjugated Unconjugated

          形式

          Liquid

          浓度

          0.3 mg/mL

          纯化类型

          Protein A, Antigen affinity chromatography

          保存液

          PBS, pH 7.4

          内含物

          0.09% sodium azide

          保存条件

          Store at 4°C short term. For long term storage, store at -20°C, avoiding freeze/thaw cycles.

          运输条件

          Ambient (domestic); Wet ice (international)

          RRID

          AB_2552569

          产品详细信息

          This antibody is predicted to react with bovine, rat and rabbit based on sequence homology.

          靶标信息

          The protein encoded by this gene is a member of the G-protein coupled receptor family. This protein is one of four receptors identified for prostaglandin E2. This receptor can activate T-cell factor signaling. It has been shown to mediate PGE2 induced expression of early growth response 1, regulate the level and stability of cyclooxygenase-2 mRNA, and lead to the phosphorylation of glycogen synthase kinase-3. Knockout studies in mice suggest that this receptor may be involved in the neonatal adaptation of circulatory system, osteoporosis, as well as initiation of skin immune responses.

          仅用于科研。不用于诊断过程。未经明确授权不得转售。

          篇参考文献 (0)

          您是否在文献中引用过该产品?请点击下方按钮邮件告知我们。
          引用该产品

          生物信息学

          蛋白别名: EP1; MGC126583; PGE receptor EP4 subtype; PGE receptor, EP4 subtype; PGE2 receptor EP4 subtype; prostaglandin E receptor 4 (subtype EP4); Prostaglandin E2 receptor EP4 subtype; Prostanoid EP4 receptor

          查看更多 收起

          基因别名: EP4; EP4R; PTGER2; PTGER4; Ptgerep4

          查看更多 收起

          UniProt ID: (Human) P35408, (Mouse) P32240

          查看更多 收起

          Entrez Gene ID: (Human) 5734, (Mouse) 19219

          查看更多 收起

          功能
          prostaglandin E receptor activity protein binding signal transducer activity G-protein coupled receptor activity prostaglandin receptor activity G-protein coupled receptor
          参与通路
          negative regulation of peptide secretion immune response adenylate cyclase-modulating G-protein coupled receptor signaling pathway adenylate cyclase-activating G-protein coupled receptor signaling pathway positive regulation of cytosolic calcium ion concentration JNK cascade female pregnancy positive regulation of cell proliferation response to mechanical stimulus positive regulation of gene expression negative regulation of hydrogen peroxide metabolic process regulation of circadian sleep/wake cycle, wakefulness positive regulation of smooth muscle cell migration positive regulation of cAMP biosynthetic process response to lipopolysaccharide response to progesterone positive regulation of interleukin-8 production negative regulation of integrin activation positive regulation of urine volume positive regulation of renal sodium excretion T-helper cell differentiation negative regulation of circadian sleep/wake cycle, REM sleep chemokinesis response to drug positive regulation of tyrosine phosphorylation of Stat3 protein response to amino acid positive regulation of osteoblast differentiation positive regulation of bone resorption positive regulation of cell adhesion positive regulation of circadian sleep/wake cycle, non-REM sleep negative regulation of cytokine secretion negative regulation of interleukin-1 alpha secretion positive regulation of cytokine secretion negative regulation of inflammatory response positive regulation of inflammatory response regulation of stress fiber assembly negative regulation of nitric-oxide synthase biosynthetic process maternal process involved in parturition bone development positive regulation of mucus secretion ERK1 and ERK2 cascade cellular response to mechanical stimulus cellular response to glucose stimulus cellular response to interleukin-1 cellular response to prostaglandin E stimulus positive regulation of wound healing ductus arteriosus closure positive regulation of hyaluronan biosynthetic process response to salt negative regulation of ductus arteriosus closure negative regulation of small intestine smooth muscle contraction positive regulation of calcitonin secretion positive regulation of chemokinesis positive regulation of matrix metallopeptidase secretion negative regulation of tumor necrosis factor secretion negative regulation of endothelin secretion positive regulation of substance P secretion, neurotransmission response to water-immersion restraint stress positive regulation of antral ovarian follicle growth positive regulation of neutrophil extravasation negative regulation of eosinophil extravasation positive regulation of interleukin-10 secretion signal transduction G-protein coupled receptor signaling pathway intestine smooth muscle contraction regulation of ossification negative regulation of oxidoreductase activity positive regulation of ovarian follicle development negative regulation of peroxidase activity
          It has to be done as per old AB suggested Products section.
          guarantee_icon

          性能保障

          只要您发现Invitrogen抗体在实验中的表现与网站或说明书的所述内容不符,您即可享受免费退换货服务。*

          了解更多
          help_icon

          随时为您服务

          获取常见问题的专家解答,或者直接联系我们的技术专家,咨询应用、设备、常规产品使用问题。

          联系技术支持
          订购 Plus Icon Minus Icon
          • 订单状态查询
          • 订单支持
          • 货号直购
          • 现货供应中心
          • 电子采购
          支持 Plus Icon Minus Icon
          • 帮助&支持
          • 联系我们 - 400 820 8982
          • 技术支持中心
          • 查找文件&证书
          • 报告网站问题
          资源 Plus Icon Minus Icon
          • 学习中心
          • 促销
          • 活动&研讨会
          • 社交媒体
          关于赛默飞 Plus Icon Minus Icon
          • 关于我们
          • 招聘 招聘
          • 投资者关系 投资者关系
          • 新闻 新闻
          • 社会责任 社会责任
          • 商标
          • 政策和通知
          品牌 Plus Icon Minus Icon
          • Thermo Scientific
          • Applied Biosystems
          • Invitrogen
          • Gibco
          • Ion Torrent
          • Patheon
          • PPD
          • 服务条款
          • 隐私政策
          • 定价和运输保险政策
          © 2006-2026 Thermo Fisher Scientific Inc. All rights reserved. All trademarks are the property of Thermo Fisher Scientific and its subsidiaries unless otherwise specified.
          China flag icon
          China
          本网站销售的所有产品均不得用于人类或动物之临床诊断或治疗,仅可用于工业或者科研等非医疗目的。
             电子营业执照 | 经营证照公示 | ICP备案号:沪ICP备11003924号 | 沪公网安备 31011502006935号

          Your items have has been added!


          Host server : magellan-search-blue-55ff9ddd88-7tj7t:80/100.66.75.107:80.
          git-commit: d366ff9721d93504b2ac26a183b2b3e3d0e7d9ec
          git-url: https://github.com/thermofisher/magellan-search
          git-branch: release/2.42.0-2026.01.03-1.0