Hamburger Menu Button
Thermo Fisher Scientific Logo
登录
没有账号?建立账号 注册
  • 产品
    • 抗体
    • 引物合成
    • GeneArt Gene Synthesis Instant Designer
    • TaqMan Assay and Array Search
    • PCR 设备和耗材
    • 色谱柱和纯化柱
    • 实验室离心机
    • 分子生物学试剂和试剂盒
    • 实验室塑料耗材及用品
    • 查看所有产品分类
  • 应用和技术
    • 色谱
    • 细胞转染和培养
    • 实时荧光定量PCR
    • 质谱
    • 实验室塑料耗材及用品
    • 电子显微镜
    • 蛋白质生物学
    • PCR
    • RNAi
    • 环境
    • 查看所有应用和技术
  • 服务
    • 定制服务
    • 企业级实验室信息化服务
    • 金融&租赁服务
    • 仪器服务
    • OEM和商业供应
    • 培训服务
    • 360° CDMO 和 CRO 服务
    • CDMO 服务
    • 临床试验 CRO 服务
    • Unity Lab Services
    • 查看所有帮助和支持
  • 帮助和支持
    • 学习中心
    • 联系我们
    • 更改国家或地区
    • 查看所有帮助和支持
  • 热门产品
    • TaqMan Real-Time PCR Assays
      TaqMan 实时荧光定量 PCR 试剂盒
    • Antibodies
      抗体
    • Oligos, Primers & Probes
      寡核苷酸、引物、探针
    • GeneArt Gene Synthesis
      GeneArt 基因合成
    • Cell Culture Plastics
      细胞培养耗材
  • Who We Serve
    • 抗体治疗解决方案
    • 细胞与基因治疗解决方案
    • 学术科研
    • 工业与应用
  • 联系我们
  • 货号直购
  • 订单查询
  • 查找文件&证书
Thermo Fisher Scientific Logo

Search

搜索全部或下列指定分类
Search button
          • 联系我们
          • 货号直购
          • 登录
            登录
            没有账号?建立账号 注册
            • 我的账号
            • 订单
            • 会员中心
            • 账单及发票查询
            • 定制产品及项目
          • Primary Antibodies ›
          • PTP1B Antibodies

          Invitrogen

          PTP1B Monoclonal Antibody (4F8F11)

          查看其他33个PTP1B抗体

          {{$productOrderCtrl.translations['antibody.pdp.commerceCard.promotion.promotions']}}

          {{$productOrderCtrl.translations['antibody.pdp.commerceCard.promotion.viewpromo']}}

          {{$productOrderCtrl.translations['antibody.pdp.commerceCard.promotion.promocode']}}: {{promo.promoCode}} {{promo.promoTitle}} {{promo.promoDescription}}. {{$productOrderCtrl.translations['antibody.pdp.commerceCard.promotion.learnmore']}}

          说明书
          证书
          实验方案
          问题与答案
          技术支持
          说明书
          证书
          实验方案
          问题与答案
          技术支持
          说明书
          证书
          实验方案
          问题与答案
          技术支持

          Cite PTP1B Monoclonal Antibody (4F8F11)

          Additional Information:
          {{banner.description}}
          {{$ctrl.isSkuNotesCollapsed ? 'View more' : 'View less'}}
          • 抗体检测数据 (6)
          PTP1B Antibody in Immunocytochemistry (ICC/IF)
          Group 53 Created with Sketch.
          PTP1B Antibody in Immunocytochemistry (ICC/IF)
          Group 53 Created with Sketch.

          图: 1 / 6

          {{ $ctrl.currentElement.advancedVerification.fullName }}
          {{ $ctrl.currentElement.advancedVerification.text }}

          PTP1B Antibody (MA5-38613) in ICC/IF

          Immunocytochemistry/Immunofluorescence analysis of PTP1B in HeLa cells using PTP1B Monoclonal Antibody (Product # MA5-38613) (green). Blue: DRAQ5 fluorescent DNA dye. Red: Actin filaments have been labeled with Alexa Fluor- 555 phalloidin. Secondary antibody from Fisher (Product # 35503) {{ $ctrl.currentElement.advancedVerification.fullName }} 验证信息 View more
          已发表图片由___提供 benchsci-logo
          PMID: {{$ctrl.currentElement.benchSciPubmedId}}
          查看产品

          {{$ctrl.videoDesc}}

          {{$ctrl.videoLongDesc}}

          PTP1B Antibody in Immunocytochemistry (ICC/IF)
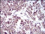
          PTP1B Antibody in Immunohistochemistry (Paraffin) (IHC (P))
          PTP1B Antibody in Western Blot (WB)
          PTP1B Antibody in Western Blot (WB)
          PTP1B Antibody in Western Blot (WB)
          PTP1B Antibody in Flow Cytometry (Flow)
          PTP1B Monoclonal Antibody (4F8F11)

          产品信息

          MA5-38613

          应用
          建议稀释比
          已发表文章

          免疫印迹 (WB)

          1:500-1:2,000
          -

          免疫组化(石蜡) (IHC (P))

          1:200-1:1,000
          -

          免疫细胞化学 (ICC/IF)

          1:200-1:1,000
          -

          流式细胞分析 (Flow)

          1:200-1:400
          -

          酶联免疫吸附实验 (ELISA)

          1:10,000
          -
          产品规格

          种属反应

          Human

          宿主/亚型

          Mouse / IgG1

          分类

          Monoclonal

          类型

          Antibody

          克隆号

          4F8F11

          抗原

          Purified recombinant fragment of human PTPN1 (aa: 40-246) expressed in E. Coli.
          3D表位/免疫原

          偶联物

          Unconjugated Unconjugated Unconjugated

          形式

          Liquid

          浓度

          1 mg/mL

          规格

          100 µg

          纯化类型

          Protein G

          保存液

          PBS

          内含物

          0.05% sodium azide

          保存条件

          Store at 4°C short term. For long term storage, store at -20°C, avoiding freeze/thaw cycles.

          运输条件

          Ambient (domestic); Wet ice (international)

          RRID

          AB_2898525

          产品详细信息

          This antibody has been tested in indirect ELISA.

          靶标信息

          PTP1B (PTPN1) is a tyrosine-protein phosphatase which acts as a regulator of endoplasmic reticulum unfolded protein response. It mediates dephosphorylation of EIF2AK3/PERK and in turn inactivates the protein kinase activity of EIF2AK3/PERK. PTP1B also plays a role in CKII- and p60c-src-induced signal transduction cascades. It regulates the EFNA5-EPHA3 signaling pathway which modulates cell reorganization and cell-cell repulsion. PTP1B also regulates the hepatocyte growth factor receptor signaling pathway through dephosphorylation of MET.

          仅用于科研。不用于诊断过程。未经明确授权不得转售。

          篇参考文献 (0)

          您是否在文献中引用过该产品?请点击下方按钮邮件告知我们。
          引用该产品

          生物信息学

          蛋白别名: CPTP1; EC 3.1.3.48; hgnc9642; KIAA0283; phosphotyrosyl-protein phosphatase (EC 3.1.3.48); protein tyrosine phosphatase, placental; Protein-tyrosine phosphatase 1B; PTN1; PTP-1B; RP5-1121H13.2; RPTPrho; tyrosine phosphatase 1b; tyrosine-phosphatase; Tyrosine-protein phosphatase non-receptor type 1; unnamed protein product

          查看更多 收起

          基因别名: PTP1B; PTPN1

          查看更多 收起

          UniProt ID: (Human) P18031

          查看更多 收起

          Entrez Gene ID: (Human) 5770

          查看更多 收起

          功能
          RNA binding phosphoprotein phosphatase activity protein tyrosine phosphatase activity non-membrane spanning protein tyrosine phosphatase activity insulin receptor binding protein binding zinc ion binding hydrolase activity phosphatase activity enzyme binding protein kinase binding receptor tyrosine kinase binding cadherin binding ephrin receptor binding protein phosphatase 2A binding
          参与通路
          positive regulation of systemic arterial blood pressure protein dephosphorylation negative regulation of cell proliferation insulin receptor signaling pathway regulation of signal transduction negative regulation of signal transduction positive regulation of heart rate positive regulation of cardiac muscle cell apoptotic process negative regulation of cell-substrate adhesion negative regulation of neuron projection development actin cytoskeleton organization regulation of endocytosis regulation of proteolysis negative regulation of vascular endothelial growth factor receptor signaling pathway endoplasmic reticulum unfolded protein response response to nutrient levels cellular response to insulin stimulus regulation of intracellular protein transport cellular response to unfolded protein response to endoplasmic reticulum stress peptidyl-tyrosine dephosphorylation platelet-derived growth factor receptor-beta signaling pathway cellular response to platelet-derived growth factor stimulus IRE1-mediated unfolded protein response insulin receptor recycling negative regulation of MAP kinase activity cellular response to fibroblast growth factor stimulus positive regulation of JNK cascade regulation of insulin receptor signaling pathway negative regulation of insulin receptor signaling pathway negative regulation of protein kinase B signaling regulation of type I interferon-mediated signaling pathway JAK-STAT cascade involved in growth hormone signaling pathway negative regulation of ERK1 and ERK2 cascade cellular response to hypoxia cellular response to nitric oxide vascular endothelial cell response to oscillatory fluid shear stress regulation of postsynapse assembly regulation of hepatocyte growth factor receptor signaling pathway negative regulation of endoplasmic reticulum stress-induced intrinsic apoptotic signaling pathway positive regulation of IRE1-mediated unfolded protein response negative regulation of PERK-mediated unfolded protein response cellular response to angiotensin negative regulation of vascular associated smooth muscle cell migration cellular response to nerve growth factor stimulus response to angiotensin positive regulation of endothelial cell apoptotic process positive regulation of receptor catabolic process
          It has to be done as per old AB suggested Products section.

          Disclaimer

          Close

          Clicking the images or links will redirect you to a website hosted by BenchSci that provides third-party scientific content. Neither the content nor the BenchSci technology and processes for selection have been evaluated by us; we are providing them as-is and without warranty of any kind, including for use or application of the Thermo Fisher Scientific products presented.

          guarantee_icon

          性能保障

          只要您发现Invitrogen抗体在实验中的表现与网站或说明书的所述内容不符,您即可享受免费退换货服务。*

          了解更多
          help_icon

          随时为您服务

          获取常见问题的专家解答,或者直接联系我们的技术专家,咨询应用、设备、常规产品使用问题。

          联系技术支持
          订购 Plus Icon Minus Icon
          • 订单状态查询
          • 订单支持
          • 货号直购
          • 现货供应中心
          • 电子采购
          支持 Plus Icon Minus Icon
          • 帮助&支持
          • 联系我们 - 400 820 8982
          • 技术支持中心
          • 查找文件&证书
          • 报告网站问题
          资源 Plus Icon Minus Icon
          • 学习中心
          • 促销
          • 活动&研讨会
          • 社交媒体
          关于赛默飞 Plus Icon Minus Icon
          • 关于我们
          • 招聘 招聘
          • 投资者关系 投资者关系
          • 新闻 新闻
          • 社会责任 社会责任
          • 商标
          • 政策和通知
          品牌 Plus Icon Minus Icon
          • Thermo Scientific
          • Applied Biosystems
          • Invitrogen
          • Gibco
          • Ion Torrent
          • Unity Lab Services
          • Patheon
          • PPD
          • 服务条款
          • 隐私政策
          • 定价和运输保险政策
          © 2006-2026 Thermo Fisher Scientific Inc. All rights reserved. All trademarks are the property of Thermo Fisher Scientific and its subsidiaries unless otherwise specified.
          China flag icon
          China
          本网站销售的所有产品均不得用于人类或动物之临床诊断或治疗,仅可用于工业或者科研等非医疗目的。
             电子营业执照 | 经营证照公示 | ICP备案号:沪ICP备11003924号 | 沪公网安备 31011502006935号

          Your items have has been added!


          Host server : magellan-search-green-6479c7f679-v472f:80/100.66.78.195:80.
          git-commit: b70c0dceb888abc3b0dcebb5bc3a5b8753e7e816
          git-url: https://github.com/thermofisher/magellan-search
          git-branch: release/2.50.0-Offline