Hamburger Menu Button
Thermo Fisher Scientific Logo
登录
没有账号?建立账号 注册
  • 产品
    • 抗体
    • 引物合成
    • GeneArt Gene Synthesis Instant Designer
    • TaqMan Assay and Array Search
    • PCR 设备和耗材
    • 色谱柱和纯化柱
    • 实验室离心机
    • 分子生物学试剂和试剂盒
    • 实验室塑料耗材及用品
    • 查看所有产品分类
  • 应用和技术
    • 色谱
    • 细胞转染和培养
    • 实时荧光定量PCR
    • 质谱
    • 实验室塑料耗材及用品
    • 电子显微镜
    • 蛋白质生物学
    • PCR
    • RNAi
    • 环境
    • 查看所有应用和技术
  • 服务
    • 定制服务
    • 企业级实验室信息化服务
    • 企业服务
    • 金融&租赁服务
    • 仪器服务
    • OEM和商业供应
    • 培训服务
    • 360° CDMO 和 CRO 服务
    • CDMO 服务
    • 临床试验 CRO 服务
    • 查看所有帮助和支持
  • 帮助和支持
    • 学习中心
    • 联系我们
    • 更改国家或地区
    • 查看所有帮助和支持
  • 热门产品
    • TaqMan Real-Time PCR Assays
      TaqMan 实时荧光定量 PCR 试剂盒
    • Antibodies
      抗体
    • Oligos, Primers & Probes
      寡核苷酸、引物、探针
    • GeneArt Gene Synthesis
      GeneArt 基因合成
    • Cell Culture Plastics
      细胞培养耗材
  • 联系我们
  • 货号直购
  • 订单查询
  • 查找文件&证书
Thermo Fisher Scientific Logo

Search

搜索全部或下列指定分类
Search button
          • 联系我们
          • 货号直购
          • 登录
            登录
            没有账号?建立账号 注册
            • 我的账号
            • 订单
            • 账单及发票查询
            • 定制产品及项目

          Disclaimer

          Clicking the images or links will redirect you to a website hosted by BenchSci that provides third-party scientific content. Neither the content nor the BenchSci technology and processes for selection have been evaluated by us; we are providing them as-is and without warranty of any kind, including for use or application of the Thermo Fisher Scientific products presented.

          • Primary Antibodies ›
          • SHP2 Antibodies

          Proteintech

          PTPN11 Recombinant Rabbit Monoclonal Antibody (5L23)

          查看其他47个SHP2抗体

          {{$productOrderCtrl.translations['antibody.pdp.commerceCard.promotion.promotions']}}

          {{$productOrderCtrl.translations['antibody.pdp.commerceCard.promotion.viewpromo']}}

          {{$productOrderCtrl.translations['antibody.pdp.commerceCard.promotion.promocode']}}: {{promo.promoCode}} {{promo.promoTitle}} {{promo.promoDescription}}. {{$productOrderCtrl.translations['antibody.pdp.commerceCard.promotion.learnmore']}}

          说明书
          证书
          实验方案
          问题与答案
          技术支持
          说明书
          证书
          实验方案
          问题与答案
          技术支持
          说明书
          证书
          实验方案
          问题与答案
          技术支持

          Cite PTPN11 Recombinant Rabbit Monoclonal Antibody (5L23)

          • 抗体检测数据 (5)
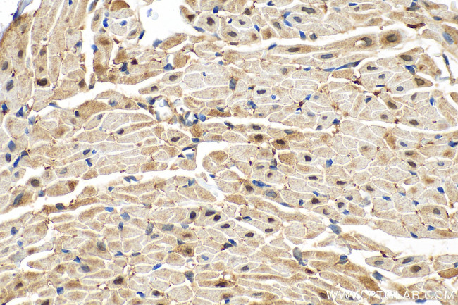
          PTPN11 Antibody in Immunohistochemistry (Paraffin) (IHC (P))
          Group 53 Created with Sketch.
          PTPN11 Antibody in Immunohistochemistry (Paraffin) (IHC (P))
          Group 53 Created with Sketch.

          图: 1 / 5

          {{ $ctrl.currentElement.advancedVerification.fullName }}
          {{ $ctrl.currentElement.advancedVerification.text }}

          PTPN11 Antibody (82503-1-RR) in IHC (P)

          Immunohistochemical analysis of paraffin-embedded rat heart tissue slide using 82503-1-RR (SHP2 antibody) at dilution of 1:4000 (under 40x lens). Heat mediated antigen retrieval with Sodium Citrate buffer (pH 6.0). {{ $ctrl.currentElement.advancedVerification.fullName }} 验证信息 View more
          已发表图片由___提供 benchsci-logo
          PMID: {{$ctrl.currentElement.benchSciPubmedId}}
          查看产品

          {{$ctrl.videoDesc}}

          {{$ctrl.videoLongDesc}}

          PTPN11 Antibody in Immunohistochemistry (Paraffin) (IHC (P))
          PTPN11 Antibody in Immunohistochemistry (Paraffin) (IHC (P))
          PTPN11 Antibody in Western Blot (WB)
          PTPN11 Antibody in Western Blot (WB)
          PTPN11 Antibody in Immunoprecipitation (IP)

          产品信息

          82503-1-RR

          应用
          建议稀释比
          已发表文章

          免疫印迹 (WB)

          1:5,000-1:50,000
          -

          免疫组化(石蜡) (IHC (P))

          1:2,000-1:8,000
          -

          酶联免疫吸附实验 (ELISA)

          Assay-dependent
          -

          免疫沉淀 (IP)

          0.5-4 µg/1-3 mg of protein lysate
          -
          产品规格

          种属反应

          Human, Mouse, Rat

          宿主/亚型

          Rabbit / IgG

          Expression System

          Mammalian cells

          分类

          Recombinant Monoclonal

          类型

          Antibody

          克隆号

          5L23

          抗原

          Recombinant protein

          偶联物

          Unconjugated Unconjugated Unconjugated

          形式

          Liquid

          纯化类型

          Protein A

          保存液

          PBS with 50% glycerol

          内含物

          0.02% sodium azide

          保存条件

          -20°C

          运输条件

          Wet ice

          产品详细信息

          Immunogen sequence: MTSRRWFHPN ITGVEAENLL LTRGVDGSFL ARPSKSNPGD FTLSVRRNGA VTHIKIQNTG DYYDLYGGEK FATLAELVQY YMEHHGQLKE KNGDVIELKY PLNCADPTSE RWFHGHLSGK EAEKLLTEKG KHGSFLVRES QSHPGDFVLS VRTGDDKGES NDGKSKVTHV MIRCQELKYD VGGGERFDSL TDLVEHYKKN PMVETLGTVL QLKQPLNTTR INAAEIESRV RELSKLAETT DKVKQGFWEE FETLQQQECK LLYSRKEGQR QENKNKNRYK NILPFDHTRV VLHDGDPNEP VSDYINANII MPEFETKCNN SKPKKSYIAT QGCLQNTVND FWRMVFQENS RVIVMTT

          靶标信息

          The protein encoded by this gene is a member of the protein tyrosine phosphatase (PTP) family. PTPs are known to be signaling molecules that regulate a variety of cellular processes including cell growth, differentiation, mitotic cycle, and oncogenic transformation. This PTP contains two tandem Src homology-2 domains, which function as phospho-tyrosine binding domains and mediate the interaction of this PTP with its substrates. This PTP is widely expressed in most tissues and plays a regulatory role in various cell signaling events that are important for a diversity of cell functions, such as mitogenic activation, metabolic control, transcription regulation, and cell migration. Mutations in this gene are a cause of Noonan syndrome as well as acute myeloid leukemia.

          仅用于科研。不用于诊断过程。未经明确授权不得转售。

          篇参考文献 (0)

          您是否在文献中引用过该产品?请点击下方按钮邮件告知我们。
          引用该产品

          生物信息学

          蛋白别名: encodes catalytic domain; HCP; HGNC:9644; MGC14433; Noonan syndrome 1; null; OTTHUMP00000166108; protein tyrosine phosphatase SH-PTP2; Protein-tyrosine phosphatase 1D; Protein-tyrosine phosphatase 2C; Protein-tyrosine phosphatase SYP; PTP-1D; PTP-2C; PTP1C; SH-PTP2; SH-PTP2 protein tyrosine phosphatase non-receptor type 11; SH-PTP2 protein tyrosine phosphatase, non-receptor type 11; SH-PTP3; SH2 domain-containing protein tyrosine phosphatase-2; SHP-2; Tyrosine-protein phosphatase non-receptor type 11

          查看更多 收起

          基因别名: 2700084A17Rik; AW536184; BPTP3; CFC; JMML; METCDS; NS1; PTP-1D; PTP1D; PTP2C; PTPN11; SAP-2; SH-PTP2; SH-PTP3; SHP-2; SHP2; SHPTP2; Syp

          查看更多 收起

          UniProt ID: (Human) Q06124, (Mouse) P35235, (Rat) P41499

          查看更多 收起

          Entrez Gene ID: (Human) 5781, (Mouse) 19247, (Rat) 25622

          查看更多 收起

          功能
          phosphoprotein phosphatase activity protein tyrosine phosphatase activity non-membrane spanning protein tyrosine phosphatase activity SH3/SH2 adaptor activity insulin receptor binding protein binding 1-phosphatidylinositol-3-kinase activity protein domain specific binding receptor tyrosine kinase binding D1 dopamine receptor binding phospholipase binding insulin receptor substrate binding phosphatidylinositol-4,5-bisphosphate 3-kinase activity peptide hormone receptor binding hydrolase activity phosphatase activity protein phosphatase
          参与通路
          DNA damage checkpoint activation of MAPK activity triglyceride metabolic process epidermal growth factor receptor signaling pathway integrin-mediated signaling pathway axonogenesis brain development heart development fibroblast growth factor receptor signaling pathway hormone-mediated signaling pathway regulation of phosphatidylinositol 3-kinase signaling cerebellar cortex formation platelet activation platelet formation T cell costimulation microvillus organization abortive mitotic cell cycle regulation of cell adhesion mediated by integrin negative regulation of cell adhesion mediated by integrin multicellular organism growth organ growth peptidyl-tyrosine dephosphorylation megakaryocyte development phosphatidylinositol-3-phosphate biosynthetic process atrioventricular canal development ERBB signaling pathway regulation of multicellular organism growth hormone metabolic process glucose homeostasis regulation of protein complex assembly positive regulation of mitotic cell cycle negative regulation of insulin secretion regulation of protein export from nucleus phosphatidylinositol phosphorylation positive regulation of hormone secretion platelet-derived growth factor receptor signaling pathway neurotrophin TRK receptor signaling pathway ephrin receptor signaling pathway phosphatidylinositol-mediated signaling multicellular organismal reproductive process genitalia development inner ear development homeostasis of number of cells within a tissue leukocyte migration negative regulation of cortisol secretion Bergmann glial cell differentiation negative regulation of growth hormone secretion face morphogenesis regulation of type I interferon-mediated signaling pathway intestinal epithelial cell migration positive regulation of ERK1 and ERK2 cascade positive regulation of glucose import in response to insulin stimulus protein dephosphorylation lipid metabolic process positive regulation of signal transduction dephosphorylation negative regulation of hormone secretion
          It has to be done as per old AB suggested Products section.
          guarantee_icon

          性能保障

          只要您发现Invitrogen抗体在实验中的表现与网站或说明书的所述内容不符,您即可享受免费退换货服务。*

          了解更多
          help_icon

          随时为您服务

          获取常见问题的专家解答,或者直接联系我们的技术专家,咨询应用、设备、常规产品使用问题。

          联系技术支持
          订购 Plus Icon Minus Icon
          • 订单状态查询
          • 订单支持
          • 货号直购
          • 现货供应中心
          • 电子采购
          支持 Plus Icon Minus Icon
          • 帮助&支持
          • 联系我们 - 400 820 8982
          • 技术支持中心
          • 查找文件&证书
          • 报告网站问题
          资源 Plus Icon Minus Icon
          • 学习中心
          • 促销
          • 活动&研讨会
          • 社交媒体
          关于赛默飞 Plus Icon Minus Icon
          • 关于我们
          • 招聘 招聘
          • 投资者关系 投资者关系
          • 新闻 新闻
          • 社会责任 社会责任
          • 商标
          • 政策和通知
          品牌 Plus Icon Minus Icon
          • Thermo Scientific
          • Applied Biosystems
          • Invitrogen
          • Gibco
          • Ion Torrent
          • Patheon
          • PPD
          • 服务条款
          • 隐私政策
          • 定价和运输保险政策
          © 2006-2026 Thermo Fisher Scientific Inc. All rights reserved. All trademarks are the property of Thermo Fisher Scientific and its subsidiaries unless otherwise specified.
          China flag icon
          China
          本网站销售的所有产品均不得用于人类或动物之临床诊断或治疗,仅可用于工业或者科研等非医疗目的。
             电子营业执照 | 经营证照公示 | ICP备案号:沪ICP备11003924号 | 沪公网安备 31011502006935号

          Your items have has been added!


          Host server : magellan-search-blue-55ff9ddd88-rvwhl:80/100.66.79.31:80.
          git-commit: d366ff9721d93504b2ac26a183b2b3e3d0e7d9ec
          git-url: https://github.com/thermofisher/magellan-search
          git-branch: release/2.42.0-2026.01.03-1.0