Hamburger Menu Button
Thermo Fisher Scientific Logo
登录
没有账号?建立账号 注册
  • 产品
    • 抗体
    • 引物合成
    • GeneArt Gene Synthesis Instant Designer
    • TaqMan Assay and Array Search
    • PCR 设备和耗材
    • 色谱柱和纯化柱
    • 实验室离心机
    • 分子生物学试剂和试剂盒
    • 实验室塑料耗材及用品
    • 查看所有产品分类
  • 应用和技术
    • 色谱
    • 细胞转染和培养
    • 实时荧光定量PCR
    • 质谱
    • 实验室塑料耗材及用品
    • 电子显微镜
    • 蛋白质生物学
    • PCR
    • RNAi
    • 环境
    • 查看所有应用和技术
  • 服务
    • 定制服务
    • 企业级实验室信息化服务
    • 企业服务
    • 金融&租赁服务
    • 仪器服务
    • OEM和商业供应
    • 培训服务
    • 360° CDMO 和 CRO 服务
    • CDMO 服务
    • 临床试验 CRO 服务
    • 查看所有帮助和支持
  • 帮助和支持
    • 学习中心
    • 联系我们
    • 更改国家或地区
    • 查看所有帮助和支持
  • 热门产品
    • TaqMan Real-Time PCR Assays
      TaqMan 实时荧光定量 PCR 试剂盒
    • Antibodies
      抗体
    • Oligos, Primers & Probes
      寡核苷酸、引物、探针
    • GeneArt Gene Synthesis
      GeneArt 基因合成
    • Cell Culture Plastics
      细胞培养耗材
  • 联系我们
  • 货号直购
  • 订单查询
  • 查找文件&证书
Thermo Fisher Scientific Logo

Search

搜索全部或下列指定分类
Search button
          • 联系我们
          • 货号直购
          • 登录
            登录
            没有账号?建立账号 注册
            • 我的账号
            • 订单
            • 账单及发票查询
            • 定制产品及项目

          Disclaimer

          Clicking the images or links will redirect you to a website hosted by BenchSci that provides third-party scientific content. Neither the content nor the BenchSci technology and processes for selection have been evaluated by us; we are providing them as-is and without warranty of any kind, including for use or application of the Thermo Fisher Scientific products presented.

          • Primary Antibodies ›
          • PU.1 Antibodies

          Invitrogen

          PU.1 Monoclonal Antibody (phpu13), eBioscience™

          高级验证
          2 篇参考文献
          查看其他33个PU.1抗体

          {{$productOrderCtrl.translations['antibody.pdp.commerceCard.promotion.promotions']}}

          {{$productOrderCtrl.translations['antibody.pdp.commerceCard.promotion.viewpromo']}}

          {{$productOrderCtrl.translations['antibody.pdp.commerceCard.promotion.promocode']}}: {{promo.promoCode}} {{promo.promoTitle}} {{promo.promoDescription}}. {{$productOrderCtrl.translations['antibody.pdp.commerceCard.promotion.learnmore']}}

          说明书
          证书
          实验方案
          问题与答案
          技术支持
          说明书
          证书
          实验方案
          问题与答案
          技术支持
          说明书
          证书
          实验方案
          问题与答案
          技术支持

          Cite PU.1 Monoclonal Antibody (phpu13), eBioscience™

          • 抗体检测数据 (2)
          • 高级验证 (1)
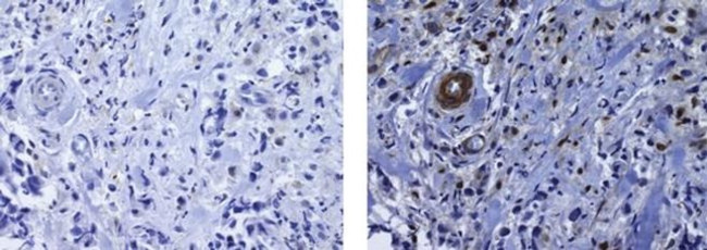
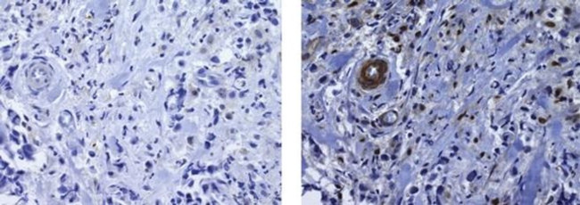
          PU.1 Antibody in Immunohistochemistry (Paraffin) (IHC (P))
          Group 53 Created with Sketch.
          PU.1 Antibody in Immunohistochemistry (Paraffin) (IHC (P))
          Group 53 Created with Sketch.

          图: 1 / 3

          {{ $ctrl.currentElement.advancedVerification.fullName }}
          {{ $ctrl.currentElement.advancedVerification.text }}

          PU.1 Antibody (14-9819-82) in IHC (P)

          Immunohistochemistry on formalin-fixed paraffin embedded human infiltrating ductal carcinoma, using 10 µg/mL of mouse IgG1 isotype control (left) or 10 µg/mL Anti-Human/Mouse PU-1 Purified (right) followed by biotinylated anti-mouse IgG, and DAB visualization.Nuclei are counterstained with hematoxylin. {{ $ctrl.currentElement.advancedVerification.fullName }} 验证信息 View more
          已发表图片由___提供 benchsci-logo
          PMID: {{$ctrl.currentElement.benchSciPubmedId}}
          查看产品

          {{$ctrl.videoDesc}}

          {{$ctrl.videoLongDesc}}

          PU.1 Antibody in Immunohistochemistry (Paraffin) (IHC (P))
          PU.1 Antibody in Western Blot (WB)
          PU.1 Antibody

          产品信息

          14-9819-82

          应用
          建议稀释比
          已发表文章

          免疫印迹 (WB)

          1:1,000
          -

          免疫组化 (IHC)

          -
          查看1篇已发表文章 1篇已发表文章

          免疫组化(石蜡) (IHC (P))

          10 µg/mL
          -

          免疫组化(冰冻) (IHC (F))

          -
          查看1篇已发表文章 1篇已发表文章

          免疫细胞化学 (ICC/IF)

          Assay-Dependent
          -
          产品规格

          种属反应

          Human, Mouse

          已发表种属

          C. elegans, Mouse, Rat

          宿主/亚型

          Mouse / IgG1, kappa

          分类

          Monoclonal

          类型

          Antibody

          克隆号

          phpu13

          抗原

          E. coli-derived protein, without DNA domain

          偶联物

          Unconjugated Unconjugated Unconjugated

          形式

          Liquid

          浓度

          0.5 mg/mL

          纯化类型

          Affinity chromatography

          保存液

          PBS, pH 7.2

          内含物

          0.09% sodium azide

          保存条件

          4°C

          运输条件

          Ambient (domestic); Wet ice (international)

          RRID

          AB_11151144

          产品详细信息

          Description: The monoclonal phpu13 recognizes human and mouse PU.1, a member of the ets family of transcription factors. This 42 kDa protein was originally identified as Spi-1, a proto-oncogene, for its role in Friend virus-induced murine erythroleukemia. Expression of PU.1 plays a critical role in lymphocyte and myeloid development. Knock-out mice are neonatal lethal and lack myeloid, T and B cells. In addition erythroid development is also altered. Protein expression levels help guarantee proper development; higher levels in myeloid cells compared to lymphocytes. PU.1 controls transcription of several proteins including CD11b, CD18, Gata2, IRF4, CD20, CD10, and CD79.

          Disruption of PU.1 expression may play a role in several specific leukemias; such as B-chronic lymphocytic leukemia, mantle cell lymphoma, follicular lymphoma, marginal zone lymphoma, Burkitt lymphoma, diffuse large cell lymphoma, diffuse large B-cell lymphoma, T-cell rich B-cell lymphoma, and nodular lymphocyte predominant Hodgkin.

          Applications Reported: This phpu13 antibody has been reported for use in immunohistochemical staining of formalin-fixed paraffin embedded tissue sections and immunocytochemistry.

          Applications Tested: This phpu13 antibody has been tested by immunohistochemistry on formalin-fixed paraffin embedded tissue using IHC Antigen Retrieval Solution - Low pH (10X) (Product # 00-4955-58). This can be used at less than or equal to 10 µg/mL. It is recommeded that the antibody be carefully titrated for optimal performance in the assay of interest.

          Purity: Greater than 90%, as determined by SDS-PAGE.

          Aggregation: Less than 10%, as determined by HPLC.

          Filtration: 0.2 µm post-manufacturing filtered.

          靶标信息

          This gene encodes an ETS-domain transcription factor that activates gene expression during myeloid and B-lymphoid cell development. The nuclear protein binds to a purine-rich sequence known as the PU-box found near the promoters of target genes, and regulates their expression in coordination with other transcription factors and cofactors. The protein can also regulate alternative splicing of target genes. Multiple transcript variants encoding different isoforms have been found for this gene.

          仅用于科研。不用于诊断过程。未经明确授权不得转售。

          生物信息学

          蛋白别名: 31 kDa transforming protein; 31 kDa-transforming protein; 31kDa Transforming Protein; hCG_25181; hematopoietic transcription factor PU.1; SFFV proviral integration 1 protein; SPIA; spleen focus forming virus (SFFV) proviral integration oncogene spi1; Transcription factor PU.1; Transcription Factor spi1

          查看更多 收起

          基因别名: Dis-1; Dis1; OF; PU.1; Sfpi-1; SFPI1; SPI-1; SPI-A; SPI1; Tcfpu1; Tfpu.1

          查看更多 收起

          UniProt ID: (Human) P17947, (Mouse) P17433

          查看更多 收起

          Entrez Gene ID: (Human) 6688, (Mouse) 20375

          查看更多 收起

          功能
          RNA polymerase II core promoter proximal region sequence-specific DNA binding RNA polymerase II core promoter sequence-specific DNA binding RNA polymerase II distal enhancer sequence-specific DNA binding RNA polymerase II transcription factor activity, sequence-specific DNA binding core promoter binding transcriptional activator activity, RNA polymerase II core promoter proximal region sequence-specific binding transcriptional repressor activity, RNA polymerase II core promoter proximal region sequence-specific binding RNA polymerase II transcription factor binding transcriptional activator activity, RNA polymerase II distal enhancer sequence-specific binding transcription factor activity, sequence-specific DNA binding transcription factor activity, RNA polymerase II distal enhancer sequence-specific binding RNA binding protein binding NFAT protein binding transcription factor activity, RNA polymerase II core promoter proximal region sequence-specific binding DNA binding sequence-specific DNA binding winged helix/forkhead transcription factor
          参与通路
          negative regulation of transcription from RNA polymerase II promoter lymphoid progenitor cell differentiation transcription from RNA polymerase II promoter lymphocyte differentiation erythrocyte differentiation macrophage differentiation granulocyte differentiation somatic stem cell population maintenance myeloid dendritic cell differentiation histone H3 acetylation hypermethylation of CpG island negative regulation of MHC class II biosynthetic process regulation of erythrocyte differentiation negative regulation of gene expression, epigenetic negative regulation of transcription, DNA-templated positive regulation of transcription, DNA-templated positive regulation of transcription from RNA polymerase II promoter anatomical structure regression cellular response to ethanol negative regulation of histone H4 acetylation apoptotic process involved in patterning of blood vessels positive regulation of pri-miRNA transcription from RNA polymerase II promoter vasculature development myeloid leukocyte differentiation transcription, DNA-templated regulation of transcription, DNA-templated regulation of transcription from RNA polymerase II promoter
          It has to be done as per old AB suggested Products section.
          guarantee_icon

          性能保障

          只要您发现Invitrogen抗体在实验中的表现与网站或说明书的所述内容不符,您即可享受免费退换货服务。*

          了解更多
          help_icon

          随时为您服务

          获取常见问题的专家解答,或者直接联系我们的技术专家,咨询应用、设备、常规产品使用问题。

          联系技术支持
          订购 Plus Icon Minus Icon
          • 订单状态查询
          • 订单支持
          • 货号直购
          • 现货供应中心
          • 电子采购
          支持 Plus Icon Minus Icon
          • 帮助&支持
          • 联系我们 - 400 820 8982
          • 技术支持中心
          • 查找文件&证书
          • 报告网站问题
          资源 Plus Icon Minus Icon
          • 学习中心
          • 促销
          • 活动&研讨会
          • 社交媒体
          关于赛默飞 Plus Icon Minus Icon
          • 关于我们
          • 招聘 招聘
          • 投资者关系 投资者关系
          • 新闻 新闻
          • 社会责任 社会责任
          • 商标
          • 政策和通知
          品牌 Plus Icon Minus Icon
          • Thermo Scientific
          • Applied Biosystems
          • Invitrogen
          • Gibco
          • Ion Torrent
          • Patheon
          • PPD
          • 服务条款
          • 隐私政策
          • 定价和运输保险政策
          © 2006-2026 Thermo Fisher Scientific Inc. All rights reserved. All trademarks are the property of Thermo Fisher Scientific and its subsidiaries unless otherwise specified.
          China flag icon
          China
          本网站销售的所有产品均不得用于人类或动物之临床诊断或治疗,仅可用于工业或者科研等非医疗目的。
             电子营业执照 | 经营证照公示 | ICP备案号:沪ICP备11003924号 | 沪公网安备 31011502006935号

          Your items have has been added!


          Host server : magellan-search-blue-55ff9ddd88-2rf75:80/100.66.79.83:80.
          git-commit: d366ff9721d93504b2ac26a183b2b3e3d0e7d9ec
          git-url: https://github.com/thermofisher/magellan-search
          git-branch: release/2.42.0-2026.01.03-1.0