Hamburger Menu Button
Thermo Fisher Scientific Logo
登录
没有账号?建立账号 注册
  • 产品
    • 抗体
    • 引物合成
    • GeneArt Gene Synthesis Instant Designer
    • TaqMan Assay and Array Search
    • PCR 设备和耗材
    • 色谱柱和纯化柱
    • 实验室离心机
    • 分子生物学试剂和试剂盒
    • 实验室塑料耗材及用品
    • 查看所有产品分类
  • 应用和技术
    • 色谱
    • 细胞转染和培养
    • 实时荧光定量PCR
    • 质谱
    • 实验室塑料耗材及用品
    • 电子显微镜
    • 蛋白质生物学
    • PCR
    • RNAi
    • 环境
    • 查看所有应用和技术
  • 服务
    • 定制服务
    • 企业级实验室信息化服务
    • 金融&租赁服务
    • 仪器服务
    • OEM和商业供应
    • 培训服务
    • 360° CDMO 和 CRO 服务
    • CDMO 服务
    • 临床试验 CRO 服务
    • Unity Lab Services
    • 查看所有帮助和支持
  • 帮助和支持
    • 学习中心
    • 联系我们
    • 更改国家或地区
    • 查看所有帮助和支持
  • 热门产品
    • TaqMan Real-Time PCR Assays
      TaqMan 实时荧光定量 PCR 试剂盒
    • Antibodies
      抗体
    • Oligos, Primers & Probes
      寡核苷酸、引物、探针
    • GeneArt Gene Synthesis
      GeneArt 基因合成
    • Cell Culture Plastics
      细胞培养耗材
  • Who We Serve
    • 抗体治疗解决方案
    • 细胞与基因治疗解决方案
    • 学术科研
    • 工业与应用
  • 联系我们
  • 货号直购
  • 订单查询
  • 查找文件&证书
Thermo Fisher Scientific Logo

Search

搜索全部或下列指定分类
Search button
          • 联系我们
          • 货号直购
          • 登录
            登录
            没有账号?建立账号 注册
            • 我的账号
            • 订单
            • 会员中心
            • 账单及发票查询
            • 定制产品及项目
          • Primary Antibodies ›
          • AMPK alpha-1,2 Antibodies

          Invitrogen

          Phospho-AMPK alpha-1,2 (Thr183, Thr172) Polyclonal Antibody

          查看其他16个AMPK alpha-1,2抗体

          {{$productOrderCtrl.translations['antibody.pdp.commerceCard.promotion.promotions']}}

          {{$productOrderCtrl.translations['antibody.pdp.commerceCard.promotion.viewpromo']}}

          {{$productOrderCtrl.translations['antibody.pdp.commerceCard.promotion.promocode']}}: {{promo.promoCode}} {{promo.promoTitle}} {{promo.promoDescription}}. {{$productOrderCtrl.translations['antibody.pdp.commerceCard.promotion.learnmore']}}

          说明书
          证书
          实验方案
          问题与答案
          技术支持
          说明书
          证书
          实验方案
          问题与答案
          技术支持
          说明书
          证书
          实验方案
          问题与答案
          技术支持

          Cite Phospho-AMPK alpha-1,2 (Thr183, Thr172) Polyclonal Antibody

          Additional Information:
          {{banner.description}}
          {{$ctrl.isSkuNotesCollapsed ? 'View more' : 'View less'}}
          • 抗体检测数据 (2)
          Phospho-AMPK alpha-1,2 (Thr183, Thr172) Antibody in Immunohistochemistry (Paraffin) (IHC (P))
          Group 53 Created with Sketch.
          Phospho-AMPK alpha-1,2 (Thr183, Thr172) Antibody in Immunohistochemistry (Paraffin) (IHC (P))
          Group 53 Created with Sketch.

          图: 1 / 2

          {{ $ctrl.currentElement.advancedVerification.fullName }}
          {{ $ctrl.currentElement.advancedVerification.text }}

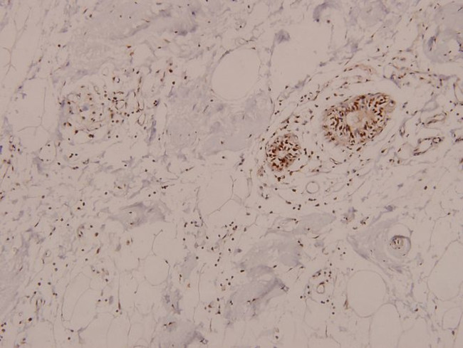
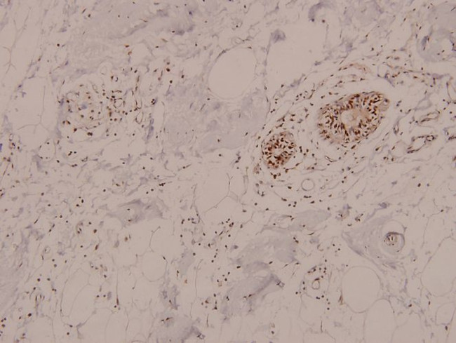
          Phospho-AMPK alpha-1,2 (Thr183, Thr172) Antibody (PA5-36885) in IHC (P)

          Immunohistochemistry analysis of Phospho-AMPK alpha-1,2 (Thr183, Thr172) in paraffin-embedded human breast carcinoma tissue. Samples were incubated with Phospho-AMPK alpha-1,2 (Thr183, Thr172) polyclonal antibody (Product # PA5-36885) at a dilution of 1:100. {{ $ctrl.currentElement.advancedVerification.fullName }} 验证信息 View more
          已发表图片由___提供 benchsci-logo
          PMID: {{$ctrl.currentElement.benchSciPubmedId}}
          查看产品

          {{$ctrl.videoDesc}}

          {{$ctrl.videoLongDesc}}

          Phospho-AMPK alpha-1,2 (Thr183, Thr172) Antibody in Immunohistochemistry (Paraffin) (IHC (P))
          Phospho-AMPK alpha-1,2 (Thr183, Thr172) Antibody in Immunohistochemistry (Paraffin) (IHC (P))
          Phospho-AMPK alpha-1,2 (Thr183, Thr172) Polyclonal Antibody

          产品信息

          PA5-36885

          应用
          建议稀释比
          已发表文章

          免疫印迹 (WB)

          1:500-1:1,000
          -

          免疫组化(石蜡) (IHC (P))

          1:50-1:200
          -
          产品规格

          种属反应

          Human, Mouse, Rat

          宿主/亚型

          Rabbit / IgG

          分类

          Polyclonal

          类型

          Antibody

          抗原

          Synthetic phosphopeptide derived from human AMPK alpha1 around the phosphorylation site of Threonine 183
          3D表位/免疫原

          偶联物

          Unconjugated Unconjugated Unconjugated

          形式

          Liquid

          浓度

          1 mg/mL

          规格

          100 µg

          纯化类型

          Antigen affinity chromatography

          保存液

          PBS, pH 7.2, with 50% glycerol

          内含物

          0.02% sodium azide

          保存条件

          Store at 4°C short term. For long term storage, store at -20°C, avoiding freeze/thaw cycles.

          运输条件

          Ambient (domestic); Wet ice (international)

          RRID

          AB_2553800

          产品详细信息

          This antibody detects endogenous protein at a molecular weight of 63 kDa.

          Purity is >95% by SDS-PAGE.

          靶标信息

          The protein encoded by this gene is a catalytic subunit of the AMP-activated protein kinase (AMPK). AMPK is a heterotrimer consisting of an alpha catalytic subunit, and non-catalytic beta and gamma subunits. AMPK is an important energy-sensing enzyme that monitors cellular energy status. In response to cellular metabolic stresses, AMPK is activated, and thus phosphorylates and inactivates acetyl-CoA carboxylase (ACC) and beta-hydroxy beta-methylglutaryl-CoA reductase (HMGCR), key enzymes involved in regulating de novo biosynthesis of fatty acid and cholesterol. Studies of the mouse counterpart suggest that this catalytic subunit may control whole-body insulin sensitivity and is necessary for maintaining myocardial energy homeostasis during ischemia.

          仅用于科研。不用于诊断过程。未经明确授权不得转售。

          篇参考文献 (0)

          您是否在文献中引用过该产品?请点击下方按钮邮件告知我们。
          引用该产品

          生物信息学

          蛋白别名: 5'-AMP-activated protein kinase catalytic subunit alpha-1; 5'-AMP-activated protein kinase catalytic subunit alpha-2; 5'-AMP-activated protein kinase, catalytic alpha-1 chain; 5'-AMP-activated protein kinase, catalytic alpha-2 chain; AAPK2; ACACA kinase; Acetyl-CoA carboxylase kinase; AMP -activate kinase alpha 1 subunit; AMP-activated protein kinase; AMP-activated protein kinase alpha-2 variant B; AMP-activated protein kinase, alpha 1 catalytic subunit; AMP-activated protein kinase, catalytic, alpha-1; AMPK alpha 2; AMPK alpha-1 chain; AMPK alpha-2 chain; AMPK alpha-2 variant 2; AMPK alpha-2 variant 3; AMPK subunit alpha-1; AMPK subunit alpha-2; AMPK, alpha, 1; AMPK-alpha-1 chain; AMPK-alpha-2 chain; HMGCR kinase; Hydroxymethylglutaryl-CoA reductase kinase; pAMPK; prkaa2; protein kinase; protein kinase, AMP-activated, alpha 1 catalytic subunit; protein kinase, AMP-activated, alpha 2 catalytic subunit; Tau-protein kinase PRKAA1; unnamed protein product

          查看更多 收起

          基因别名: 2310008I11Rik; A830082D05; AI194361; AI450832; AL024255; AMPK; AMPK alpha 1; AMPK1; AMPK2; AMPKa1; AMPKa2; AMPKalpha1; AMPKalpha2; C130083N04Rik; PRKAA; PRKAA1; PRKAA2

          查看更多 收起

          UniProt ID: (Human) Q13131, (Human) P54646, (Rat) P54645, (Mouse) Q5EG47, (Rat) Q09137, (Mouse) Q8BRK8

          查看更多 收起

          Entrez Gene ID: (Human) 5562, (Human) 5563, (Rat) 65248, (Mouse) 105787, (Rat) 78975, (Mouse) 108079

          查看更多 收起

          功能
          nucleotide binding chromatin binding protein kinase activity protein serine/threonine kinase activity AMP-activated protein kinase activity cAMP-dependent protein kinase activity protein binding ATP binding kinase activity transferase activity macromolecular complex binding metal ion binding [hydroxymethylglutaryl-CoA reductase (NADPH)] kinase activity tau protein binding tau-protein kinase activity protein serine kinase activity histone H2BS36 kinase activity protein serine/threonine/tyrosine kinase activity protein C-terminus binding kinase binding histone serine kinase activity eukaryotic elongation factor-2 kinase activator activity [acetyl-CoA carboxylase] kinase activity transferase activity, transferring phosphorus-containing groups protein binding, bridging non-receptor serine/threonine protein kinase
          参与通路
          autophagosome assembly response to hypoxia cytoplasmic translation negative regulation of T cell mediated immune response to tumor cell positive regulation of T cell mediated immune response to tumor cell glucose metabolic process chromatin organization chromatin remodeling lipid metabolic process fatty acid metabolic process fatty acid biosynthetic process phosphatidylethanolamine biosynthetic process phosphatidylcholine biosynthetic process steroid biosynthetic process cholesterol biosynthetic process autophagy lysosome organization signal transduction steroid metabolic process cholesterol metabolic process positive regulation of cell proliferation lipid biosynthetic process cellular response to starvation response to xenobiotic stimulus response to UV cold acclimation response to gamma radiation positive regulation of autophagy positive regulation of gene expression negative regulation of gene expression response to activity Wnt signaling pathway sterol biosynthetic process fatty acid oxidation response to caffeine SCF-dependent proteasomal ubiquitin-dependent protein catabolic process protein destabilization cellular response to nutrient levels negative regulation of TOR signaling cellular response to stress cellular response to amino acid starvation cellular response to oxidative stress TORC1 signaling cellular response to glucose starvation response to hydrogen peroxide glucose homeostasis regulation of circadian rhythm negative regulation of apoptotic process regulation of vascular permeability proteasome-mediated ubiquitin-dependent protein catabolic process response to estrogen positive regulation of cholesterol biosynthetic process positive regulation of glycolytic process positive regulation of transcription, DNA-templated negative regulation of translational initiation positive regulation of translational initiation negative regulation of glucosylceramide biosynthetic process negative regulation of insulin receptor signaling pathway rhythmic process positive regulation of skeletal muscle tissue development protein stabilization negative regulation of T cell activation positive regulation of T cell activation negative regulation of lipid catabolic process fatty acid homeostasis regulation of vesicle-mediated transport protein localization to lysosome motor behavior CAMKK-AMPK signaling cascade regulation of stress granule assembly protein-containing complex assembly neuron cellular homeostasis cellular response to hydrogen peroxide regulation of microtubule cytoskeleton organization cellular response to calcium ion cellular response to glucose stimulus cellular response to ethanol cellular response to prostaglandin E stimulus cellular response to hypoxia cellular response to xenobiotic stimulus protein K6-linked ubiquitination positive regulation of release of cytochrome c from mitochondria energy homeostasis hepatocyte apoptotic process negative regulation of protein localization to nucleus positive regulation of transcription from mitochondrial promoter positive regulation of cellular protein localization negative regulation of hepatocyte apoptotic process positive regulation of protein targeting to mitochondrion positive regulation of adipose tissue development negative regulation of TORC1 signaling positive regulation of TORC1 signaling negative regulation of tubulin deacetylation lipid droplet disassembly protein localization to lipid particle regulation of gene expression response to muscle activity positive regulation of macroautophagy regulation of macroautophagy activation of MAPK activity transcription, DNA-templated regulation of transcription, DNA-templated protein phosphorylation negative regulation of translation histone-serine phosphorylation positive regulation of gluconeogenesis positive regulation of fatty acid oxidation positive regulation of glucose import protein heterooligomerization cellular response to organonitrogen compound response to camptothecin regulation of energy homeostasis negative regulation of glucose import in response to insulin stimulus phosphorylation chromatin modification regulation of peptidyl-serine phosphorylation intracellular signal transduction regulation of lipid metabolic process response to stress cellular response to drug
          It has to be done as per old AB suggested Products section.

          Disclaimer

          Close

          Clicking the images or links will redirect you to a website hosted by BenchSci that provides third-party scientific content. Neither the content nor the BenchSci technology and processes for selection have been evaluated by us; we are providing them as-is and without warranty of any kind, including for use or application of the Thermo Fisher Scientific products presented.

          guarantee_icon

          性能保障

          只要您发现Invitrogen抗体在实验中的表现与网站或说明书的所述内容不符,您即可享受免费退换货服务。*

          了解更多
          help_icon

          随时为您服务

          获取常见问题的专家解答,或者直接联系我们的技术专家,咨询应用、设备、常规产品使用问题。

          联系技术支持
          订购 Plus Icon Minus Icon
          • 订单状态查询
          • 订单支持
          • 货号直购
          • 现货供应中心
          • 电子采购
          支持 Plus Icon Minus Icon
          • 帮助&支持
          • 联系我们 - 400 820 8982
          • 技术支持中心
          • 查找文件&证书
          • 报告网站问题
          资源 Plus Icon Minus Icon
          • 学习中心
          • 促销
          • 活动&研讨会
          • 社交媒体
          关于赛默飞 Plus Icon Minus Icon
          • 关于我们
          • 招聘 招聘
          • 投资者关系 投资者关系
          • 新闻 新闻
          • 社会责任 社会责任
          • 商标
          • 政策和通知
          品牌 Plus Icon Minus Icon
          • Thermo Scientific
          • Applied Biosystems
          • Invitrogen
          • Gibco
          • Ion Torrent
          • Unity Lab Services
          • Patheon
          • PPD
          • 服务条款
          • 隐私政策
          • 定价和运输保险政策
          © 2006-2026 Thermo Fisher Scientific Inc. All rights reserved. All trademarks are the property of Thermo Fisher Scientific and its subsidiaries unless otherwise specified.
          China flag icon
          China
          本网站销售的所有产品均不得用于人类或动物之临床诊断或治疗,仅可用于工业或者科研等非医疗目的。
             电子营业执照 | 经营证照公示 | ICP备案号:沪ICP备11003924号 | 沪公网安备 31011502006935号

          Your items have has been added!


          Host server : magellan-search-green-6479c7f679-2z78h:80/100.66.76.236:80.
          git-commit: b70c0dceb888abc3b0dcebb5bc3a5b8753e7e816
          git-url: https://github.com/thermofisher/magellan-search
          git-branch: release/2.50.0-Offline