Hamburger Menu Button
Thermo Fisher Scientific Logo
登录
没有账号?建立账号 注册
  • 产品
    • 抗体
    • 引物合成
    • GeneArt Gene Synthesis Instant Designer
    • TaqMan Assay and Array Search
    • PCR 设备和耗材
    • 色谱柱和纯化柱
    • 实验室离心机
    • 分子生物学试剂和试剂盒
    • 实验室塑料耗材及用品
    • 查看所有产品分类
  • 应用和技术
    • 色谱
    • 细胞转染和培养
    • 实时荧光定量PCR
    • 质谱
    • 实验室塑料耗材及用品
    • 电子显微镜
    • 蛋白质生物学
    • PCR
    • RNAi
    • 环境
    • 查看所有应用和技术
  • 服务
    • 定制服务
    • 企业级实验室信息化服务
    • 金融&租赁服务
    • 仪器服务
    • OEM和商业供应
    • 培训服务
    • 360° CDMO 和 CRO 服务
    • CDMO 服务
    • 临床试验 CRO 服务
    • Unity Lab Services
    • 查看所有帮助和支持
  • 帮助和支持
    • 学习中心
    • 联系我们
    • 更改国家或地区
    • 查看所有帮助和支持
  • 热门产品
    • TaqMan Real-Time PCR Assays
      TaqMan 实时荧光定量 PCR 试剂盒
    • Antibodies
      抗体
    • Oligos, Primers & Probes
      寡核苷酸、引物、探针
    • GeneArt Gene Synthesis
      GeneArt 基因合成
    • Cell Culture Plastics
      细胞培养耗材
  • Who We Serve
    • 抗体治疗解决方案
    • 细胞与基因治疗解决方案
    • 学术科研
    • 工业与应用
  • 联系我们
  • 货号直购
  • 订单查询
  • 查找文件&证书
Thermo Fisher Scientific Logo

Search

搜索全部或下列指定分类
Search button
          • 联系我们
          • 货号直购
          • 登录
            登录
            没有账号?建立账号 注册
            • 我的账号
            • 订单
            • 会员中心
            • 账单及发票查询
            • 定制产品及项目
          • Primary Antibodies ›
          • ATM Antibodies

          Invitrogen

          Phospho-ATM (Ser1981) Recombinant Rabbit Monoclonal Antibody (HL1062)

          查看其他70个ATM抗体

          {{$productOrderCtrl.translations['antibody.pdp.commerceCard.promotion.promotions']}}

          {{$productOrderCtrl.translations['antibody.pdp.commerceCard.promotion.viewpromo']}}

          {{$productOrderCtrl.translations['antibody.pdp.commerceCard.promotion.promocode']}}: {{promo.promoCode}} {{promo.promoTitle}} {{promo.promoDescription}}. {{$productOrderCtrl.translations['antibody.pdp.commerceCard.promotion.learnmore']}}

          说明书
          证书
          实验方案
          问题与答案
          技术支持
          说明书
          证书
          实验方案
          问题与答案
          技术支持
          说明书
          证书
          实验方案
          问题与答案
          技术支持

          Cite Phospho-ATM (Ser1981) Recombinant Rabbit Monoclonal Antibody (HL1062)

          Additional Information:
          {{banner.description}}
          {{$ctrl.isSkuNotesCollapsed ? 'View more' : 'View less'}}
          • 抗体检测数据 (2)
          Phospho-ATM (Ser1981) Antibody in Immunohistochemistry (Paraffin) (IHC (P))
          Group 53 Created with Sketch.
          Phospho-ATM (Ser1981) Antibody in Immunohistochemistry (Paraffin) (IHC (P))
          Group 53 Created with Sketch.

          图: 1 / 2

          {{ $ctrl.currentElement.advancedVerification.fullName }}
          {{ $ctrl.currentElement.advancedVerification.text }}

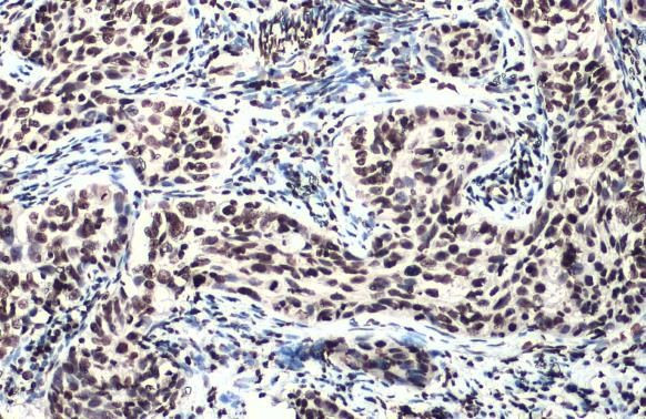
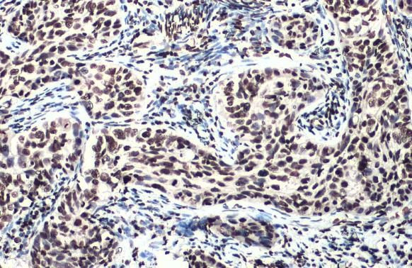
          Phospho-ATM (Ser1981) Antibody (MA5-42351) in IHC (P)

          Immunohistochemistry of Phospho-ATM (Ser1981) in paraffin-embedded human cervical carcinoma. Sample was treated for antigen retrieval with Citrate buffer (pH 6.0, 15 min) and incubated with monoclonal Phospho-ATM (Ser1981) antibody (Product # MA5-42351) at a dilution of 1:100. {{ $ctrl.currentElement.advancedVerification.fullName }} 验证信息 View more
          已发表图片由___提供 benchsci-logo
          PMID: {{$ctrl.currentElement.benchSciPubmedId}}
          查看产品

          {{$ctrl.videoDesc}}

          {{$ctrl.videoLongDesc}}

          Phospho-ATM (Ser1981) Antibody in Immunohistochemistry (Paraffin) (IHC (P))
          Phospho-ATM (Ser1981) Antibody in Western Blot (WB)
          Phospho-ATM (Ser1981) Recombinant Rabbit Monoclonal Antibody (HL1062)

          产品信息

          MA5-42351

          应用
          建议稀释比
          已发表文章

          免疫印迹 (WB)

          1:500-1:3,000
          -

          免疫组化(石蜡) (IHC (P))

          Assay-dependent
          -

          免疫细胞化学 (ICC/IF)

          Assay-dependent
          -
          产品规格

          种属反应

          Human

          宿主/亚型

          Rabbit / IgG

          Expression System

          HEK293 cells

          分类

          Recombinant Monoclonal

          类型

          Antibody

          克隆号

          HL1062

          抗原

          Carrier-protein conjugated synthetic peptide surrounding phospho Ser1981 of human ATM. The exact sequence is proprietary.
          3D表位/免疫原

          偶联物

          Unconjugated Unconjugated Unconjugated

          形式

          Liquid

          浓度

          1 mg/mL

          规格

          100 µg

          纯化类型

          Protein A

          保存液

          PBS

          内含物

          no preservative

          保存条件

          Store at 4°C short term. For long term storage, store at -20°C, avoiding freeze/thaw cycles.

          运输条件

          Ambient (domestic); Wet ice (international)

          RRID

          AB_2911492

          产品详细信息

          Store as concentrated solution. Centrifuge briefly prior to opening vial. For short-term storage (1-2 weeks), store at 4°C. For long-term storage, aliquot and store at -20°C or below. Avoid multiple freeze-thaw cycles.

          靶标信息

          Ataxia-telangiectasia Mutated (ATM) is a protein that belongs to the PI3/PI4 kinase family. Ataxia-telangiectasia is a rare autosomal recessive disorder characterized by progressive neurologic degeneration, immunologic deficiency, and an increased risk of lymphoid cancer. The ATM gene codes for a protein belonging to the phosphoinositide 3-kinase (PI3K) superfamily. ATM phosphorylates proteins instead of lipid and has many downstream targets that act as cell-cycle regulators including: P53, Mdm2, BRCA1, and SMC1. The ATM protein is responsible for repairing double-stranded DNA breaks that occur because of ionizing radiation and other mutagens. The ATM's C-terminal region has extensive homology to the catalytic domains of phosphatidylinositol 3-kinases (PI3 kinases). Studies have shown that ATM becomes autophosphorylated and upregulated by exposure to ionizing radiation. AT cells are hypersensitive to ionizing radiation, impaired in mediating the inhibition of DNA synthesis and display delays in p53 induction. Further, DNA damage caused by ionizing irradiation activates ATM-kinase, leading to a cascade of kinase reactions that regulate cell cycle, apoptosis, and DNA damage repair. Studies have linked ATM to apoptosis along with Nbs1 and Chk2 in the E2F1 pathway.

          仅用于科研。不用于诊断过程。未经明确授权不得转售。

          篇参考文献 (0)

          您是否在文献中引用过该产品?请点击下方按钮邮件告知我们。
          引用该产品

          生物信息学

          蛋白别名: A-T; A-T mutated; AT mutated; AT mutated protein; Ataxia t; Ataxia telangiectasia mutated; DKFZp781A0353; EC 2.7.1.37; MGC74674; mutated in ataxia telangiectasia; Serine-protein kinase ATM; serine/threonine kinase ATM; TEL1, telomere maintenance 1, homolog; unnamed protein product

          查看更多 收起

          基因别名: AT1; ATA; ATC; ATD; ATDC; ATE; ATM; TEL1; TELO1

          查看更多 收起

          UniProt ID: (Human) Q13315

          查看更多 收起

          Entrez Gene ID: (Human) 472

          查看更多 收起

          功能
          nucleotide binding DNA binding protein kinase activity protein serine/threonine kinase activity DNA-dependent protein kinase activity protein binding ATP binding kinase activity 1-phosphatidylinositol-3-kinase activity transferase activity histone H2AXS139 kinase activity identical protein binding macromolecular complex binding protein serine kinase activity
          参与通路
          autophagosome assembly DNA damage checkpoint pexophagy telomere maintenance double-strand break repair via homologous recombination DNA double-strand break processing ovarian follicle development somitogenesis pre-B cell allelic exclusion immune system process DNA repair double-strand break repair double-strand break repair via nonhomologous end joining chromatin remodeling protein phosphorylation protein monoubiquitination cellular response to DNA damage stimulus response to oxidative stress mitotic spindle assembly checkpoint mitotic G2 DNA damage checkpoint meiosis I reciprocal meiotic recombination male meiosis female meiotic division signal transduction female gamete generation brain development heart development determination of adult lifespan female gonad development intrinsic apoptotic signaling pathway in response to DNA damage post-embryonic development response to ionizing radiation regulation of gene expression regulation of autophagy positive regulation of macromolecule biosynthetic process positive regulation of gene expression DNA damage response, signal transduction by p53 class mediator positive regulation of cell migration negative regulation of B cell proliferation SCF-dependent proteasomal ubiquitin-dependent protein catabolic process regulation of telomere maintenance via telomerase positive regulation of telomere maintenance via telomerase V(D)J recombination cellular response to stress cellular response to reactive oxygen species multicellular organism growth phosphatidylinositol-3-phosphate biosynthetic process peptidyl-serine autophosphorylation lipoprotein catabolic process response to starvation signal transduction in response to DNA damage regulation of apoptotic process positive regulation of apoptotic process proteasome-mediated ubiquitin-dependent protein catabolic process positive regulation of DNA damage response, signal transduction by p53 class mediator positive regulation of neuron apoptotic process meiotic telomere clustering positive regulation of cell adhesion positive regulation of transcription from RNA polymerase II promoter protein autophosphorylation thymus development oocyte development protein stabilization neuron apoptotic process regulation of cell cycle chromosome organization involved in meiotic cell cycle protein K63-linked ubiquitination histone mRNA catabolic process cellular response to retinoic acid cellular response to gamma radiation cellular response to X-ray cellular response to nitrosative stress regulation of cellular response to stress cellular senescence replicative senescence establishment of RNA localization to telomere establishment of macromolecular complex localization to telomere DNA strand resection involved in replication fork processing regulation of cellular response to heat cellular response to oxygen-containing compound regulation of signal transduction by p53 class mediator negative regulation of signal transduction by p53 class mediator negative regulation of TORC1 signaling negative regulation of telomere capping positive regulation of telomere maintenance via telomere lengthening positive regulation of telomerase catalytic core complex assembly positive regulation of double-strand break repair via homologous recombination protein localization to site of double-strand break negative regulation of double-strand break repair via homologous recombination positive regulation of double-strand break repair regulation of autophagosome assembly positive regulation of autophagosome assembly
          It has to be done as per old AB suggested Products section.

          Disclaimer

          Close

          Clicking the images or links will redirect you to a website hosted by BenchSci that provides third-party scientific content. Neither the content nor the BenchSci technology and processes for selection have been evaluated by us; we are providing them as-is and without warranty of any kind, including for use or application of the Thermo Fisher Scientific products presented.

          guarantee_icon

          性能保障

          只要您发现Invitrogen抗体在实验中的表现与网站或说明书的所述内容不符,您即可享受免费退换货服务。*

          了解更多
          help_icon

          随时为您服务

          获取常见问题的专家解答,或者直接联系我们的技术专家,咨询应用、设备、常规产品使用问题。

          联系技术支持
          订购 Plus Icon Minus Icon
          • 订单状态查询
          • 订单支持
          • 货号直购
          • 现货供应中心
          • 电子采购
          支持 Plus Icon Minus Icon
          • 帮助&支持
          • 联系我们 - 400 820 8982
          • 技术支持中心
          • 查找文件&证书
          • 报告网站问题
          资源 Plus Icon Minus Icon
          • 学习中心
          • 促销
          • 活动&研讨会
          • 社交媒体
          关于赛默飞 Plus Icon Minus Icon
          • 关于我们
          • 招聘 招聘
          • 投资者关系 投资者关系
          • 新闻 新闻
          • 社会责任 社会责任
          • 商标
          • 政策和通知
          品牌 Plus Icon Minus Icon
          • Thermo Scientific
          • Applied Biosystems
          • Invitrogen
          • Gibco
          • Ion Torrent
          • Unity Lab Services
          • Patheon
          • PPD
          • 服务条款
          • 隐私政策
          • 定价和运输保险政策
          © 2006-2026 Thermo Fisher Scientific Inc. All rights reserved. All trademarks are the property of Thermo Fisher Scientific and its subsidiaries unless otherwise specified.
          China flag icon
          China
          本网站销售的所有产品均不得用于人类或动物之临床诊断或治疗,仅可用于工业或者科研等非医疗目的。
             电子营业执照 | 经营证照公示 | ICP备案号:沪ICP备11003924号 | 沪公网安备 31011502006935号

          Your items have has been added!


          Host server : magellan-search-green-6479c7f679-46l5g:80/100.66.76.236:80.
          git-commit: b70c0dceb888abc3b0dcebb5bc3a5b8753e7e816
          git-url: https://github.com/thermofisher/magellan-search
          git-branch: release/2.50.0-Offline