Hamburger Menu Button
Thermo Fisher Scientific Logo
登录
没有账号?建立账号 注册
  • 产品
    • 抗体
    • 引物合成
    • GeneArt Gene Synthesis Instant Designer
    • TaqMan Assay and Array Search
    • PCR 设备和耗材
    • 色谱柱和纯化柱
    • 实验室离心机
    • 分子生物学试剂和试剂盒
    • 实验室塑料耗材及用品
    • 查看所有产品分类
  • 应用和技术
    • 色谱
    • 细胞转染和培养
    • 实时荧光定量PCR
    • 质谱
    • 实验室塑料耗材及用品
    • 电子显微镜
    • 蛋白质生物学
    • PCR
    • RNAi
    • 环境
    • 查看所有应用和技术
  • 服务
    • 定制服务
    • 企业级实验室信息化服务
    • 企业服务
    • 金融&租赁服务
    • 仪器服务
    • OEM和商业供应
    • 培训服务
    • 360° CDMO 和 CRO 服务
    • CDMO 服务
    • 临床试验 CRO 服务
    • 查看所有帮助和支持
  • 帮助和支持
    • 学习中心
    • 联系我们
    • 更改国家或地区
    • 查看所有帮助和支持
  • 热门产品
    • TaqMan Real-Time PCR Assays
      TaqMan 实时荧光定量 PCR 试剂盒
    • Antibodies
      抗体
    • Oligos, Primers & Probes
      寡核苷酸、引物、探针
    • GeneArt Gene Synthesis
      GeneArt 基因合成
    • Cell Culture Plastics
      细胞培养耗材
  • 联系我们
  • 货号直购
  • 订单查询
  • 查找文件&证书
Thermo Fisher Scientific Logo

Search

搜索全部或下列指定分类
Search button
          • 联系我们
          • 货号直购
          • 登录
            登录
            没有账号?建立账号 注册
            • 我的账号
            • 订单
            • 账单及发票查询
            • 定制产品及项目

          Disclaimer

          Clicking the images or links will redirect you to a website hosted by BenchSci that provides third-party scientific content. Neither the content nor the BenchSci technology and processes for selection have been evaluated by us; we are providing them as-is and without warranty of any kind, including for use or application of the Thermo Fisher Scientific products presented.

          • Primary Antibodies ›
          • AXL Antibodies

          AbboMax

          Phospho-AXL/UFO (Tyr857) Polyclonal Antibody

          查看其他62个AXL抗体

          {{$productOrderCtrl.translations['antibody.pdp.commerceCard.promotion.promotions']}}

          {{$productOrderCtrl.translations['antibody.pdp.commerceCard.promotion.viewpromo']}}

          {{$productOrderCtrl.translations['antibody.pdp.commerceCard.promotion.promocode']}}: {{promo.promoCode}} {{promo.promoTitle}} {{promo.promoDescription}}. {{$productOrderCtrl.translations['antibody.pdp.commerceCard.promotion.learnmore']}}

          说明书
          证书
          实验方案
          问题与答案
          技术支持
          说明书
          证书
          实验方案
          问题与答案
          技术支持
          说明书
          证书
          实验方案
          问题与答案
          技术支持

          Cite Phospho-AXL/UFO (Tyr857) Polyclonal Antibody

          • 抗体检测数据 (2)
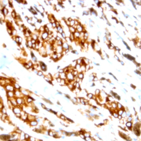
          Phospho-AXL/UFO (Tyr857) Antibody in Immunohistochemistry (Paraffin) (IHC (P))
          Group 53 Created with Sketch.
          Phospho-AXL/UFO (Tyr857) Antibody in Immunohistochemistry (Paraffin) (IHC (P))
          Group 53 Created with Sketch.

          图: 1 / 2

          {{ $ctrl.currentElement.advancedVerification.fullName }}
          {{ $ctrl.currentElement.advancedVerification.text }}

          Phospho-AXL/UFO (Tyr857) Antibody (630-990) in IHC (P)

          Immunohistochemistry: Human breast carcinoma (FFPE) stained with Rabbit anti-AXL (pY857) (Cat# 630-990) at 1:200 for 10 min @ RT. Staining of formalin-fixed tissue requires boiling tissue sections in 10 mM Citrate Buffer, pH 6.0 for 10 min followed by cooling at RT for 20 min. {{ $ctrl.currentElement.advancedVerification.fullName }} 验证信息 View more
          已发表图片由___提供 benchsci-logo
          PMID: {{$ctrl.currentElement.benchSciPubmedId}}
          查看产品

          {{$ctrl.videoDesc}}

          {{$ctrl.videoLongDesc}}

          Phospho-AXL/UFO (Tyr857) Antibody in Immunohistochemistry (Paraffin) (IHC (P))
          Phospho-AXL/UFO (Tyr857) Antibody in Western Blot (WB)
          Phospho-AXL/UFO (Tyr857) Polyclonal Antibody

          产品信息

          630-990

          应用
          建议稀释比
          已发表文章

          免疫印迹 (WB)

          0.1-1 µg/mL
          -

          免疫组化(石蜡) (IHC (P))

          2-10 µg/mL
          -
          产品规格

          种属反应

          Human, Mouse, Rat

          宿主/亚型

          Rabbit / IgG

          分类

          Polyclonal

          类型

          Antibody

          抗原

          A synthetic peptide surrounding to the epitope -EVHPAGR-Y-VL- with a phosphorylation site at Tyr812 of human AXL protein
          查看免疫原

          偶联物

          Unconjugated Unconjugated Unconjugated

          形式

          Liquid

          浓度

          0.5 mg/mL

          纯化类型

          Antigen affinity chromatography

          保存液

          25mM tris with proprietary stabilizer

          内含物

          0.01% sodium azide

          保存条件

          Store at 4°C short term. For long term storage, store at -20°C, avoiding freeze/thaw cycles.

          运输条件

          Ambient (domestic); Wet ice (international)

          产品详细信息

          Positive control: Hela cells.

          Cellular location: Membrane.

          靶标信息

          AXL is a chronic myelogenous leukemia-associated oncogene that is also associated with colon cancer and melanoma. The AXL protein is a receptor tyrosine kinase that transduces signals from the extracellular matrix into the cytoplasm by binding growth factors like vitamin K-dependent protein growth-arrest-specific gene 6, and is involved in the stimulation of cell proliferation. TAM receptors are also involved in phagocytosis of apoptotic cells. Mice lacking all three TAM receptors have several degenerative phenotypes linked to inefficient removal of apoptotic cells and membranes (e.g., in the retina and the male reproductive tract) and develop a severe autoimmune phenotype akin to systemic lupus erythematosus, including the production of broad spectrum auto-antibodies. In addition, Axl may function as a putative entry receptor for filoviruses. Axl is also used to identify a specific subpopulation of human blood dendritic cells, also referred to as Siglec 6+/Axl+ dendritic cells. Cellular expression of Axl can be upregulated by TLR ligands, such as LPS or poly I:C. Soluble Axl is generated by proteolytic cleavage of the membrane form. Increased plasma levels may be indicative of inflammation and cancer.

          仅用于科研。不用于诊断过程。未经明确授权不得转售。

          篇参考文献 (0)

          您是否在文献中引用过该产品?请点击下方按钮邮件告知我们。
          引用该产品

          生物信息学

          蛋白别名: Adhesion-related kinase; AXL oncogene; AXL transforming sequence/gene; AZF1; oncogene AXL; sAXL; soluble AXL; Tyrosine-protein kinase receptor UFO; ufo oncogene homolog

          查看更多 收起

          基因别名: AI323647; ARK; AXL; JTK11; Tyro7; UFO

          查看更多 收起

          UniProt ID: (Human) P30530, (Mouse) Q00993

          查看更多 收起

          Entrez Gene ID: (Human) 558, (Mouse) 26362, (Rat) 308444

          查看更多 收起

          功能
          virus receptor activity phosphatidylserine binding protein tyrosine kinase activity transmembrane receptor protein tyrosine kinase activity protein binding ATP binding protein heterodimerization activity nucleotide binding protein kinase activity kinase activity transferase activity transferase activity, transferring phosphorus-containing groups myosin heavy chain binding phosphatidylinositol 3-kinase binding growth factor binding transmembrane signal receptor
          参与通路
          neuron migration natural killer cell differentiation positive regulation of cytokine-mediated signaling pathway blood vessel remodeling phagocytosis inflammatory response signal transduction spermatogenesis peptidyl-tyrosine phosphorylation forebrain cell migration platelet activation cellular response to extracellular stimulus negative regulation of interferon-gamma production negative regulation of tumor necrosis factor production positive regulation of natural killer cell differentiation secretion by cell erythrocyte homeostasis substrate adhesion-dependent cell spreading cellular response to interferon-alpha ovulation cycle apoptotic cell clearance protein kinase B signaling negative regulation of neuron apoptotic process innate immune response viral entry into host cell vascular endothelial growth factor receptor signaling pathway cell maturation positive regulation of pinocytosis negative regulation of lymphocyte activation positive regulation of protein kinase B signaling vagina development cellular response to lipopolysaccharide dendritic cell differentiation negative regulation of dendritic cell apoptotic process immune system process protein phosphorylation enzyme linked receptor protein signaling pathway phosphorylation cell differentiation negative regulation of apoptotic process cellular response to hydrogen peroxide cell proliferation cell migration organ regeneration tissue regeneration tissue remodeling
          It has to be done as per old AB suggested Products section.
          guarantee_icon

          性能保障

          只要您发现Invitrogen抗体在实验中的表现与网站或说明书的所述内容不符,您即可享受免费退换货服务。*

          了解更多
          help_icon

          随时为您服务

          获取常见问题的专家解答,或者直接联系我们的技术专家,咨询应用、设备、常规产品使用问题。

          联系技术支持
          订购 Plus Icon Minus Icon
          • 订单状态查询
          • 订单支持
          • 货号直购
          • 现货供应中心
          • 电子采购
          支持 Plus Icon Minus Icon
          • 帮助&支持
          • 联系我们 - 400 820 8982
          • 技术支持中心
          • 查找文件&证书
          • 报告网站问题
          资源 Plus Icon Minus Icon
          • 学习中心
          • 促销
          • 活动&研讨会
          • 社交媒体
          关于赛默飞 Plus Icon Minus Icon
          • 关于我们
          • 招聘 招聘
          • 投资者关系 投资者关系
          • 新闻 新闻
          • 社会责任 社会责任
          • 商标
          • 政策和通知
          品牌 Plus Icon Minus Icon
          • Thermo Scientific
          • Applied Biosystems
          • Invitrogen
          • Gibco
          • Ion Torrent
          • Patheon
          • PPD
          • 服务条款
          • 隐私政策
          • 定价和运输保险政策
          © 2006-2026 Thermo Fisher Scientific Inc. All rights reserved. All trademarks are the property of Thermo Fisher Scientific and its subsidiaries unless otherwise specified.
          China flag icon
          China
          本网站销售的所有产品均不得用于人类或动物之临床诊断或治疗,仅可用于工业或者科研等非医疗目的。
             电子营业执照 | 经营证照公示 | ICP备案号:沪ICP备11003924号 | 沪公网安备 31011502006935号

          Your items have has been added!


          Host server : magellan-search-blue-55ff9ddd88-5688f:80/100.66.73.65:80.
          git-commit: d366ff9721d93504b2ac26a183b2b3e3d0e7d9ec
          git-url: https://github.com/thermofisher/magellan-search
          git-branch: release/2.42.0-2026.01.03-1.0