Hamburger Menu Button
Thermo Fisher Scientific Logo
登录
没有账号?建立账号 注册
  • 产品
    • 抗体
    • 引物合成
    • GeneArt Gene Synthesis Instant Designer
    • TaqMan Assay and Array Search
    • PCR 设备和耗材
    • 色谱柱和纯化柱
    • 实验室离心机
    • 分子生物学试剂和试剂盒
    • 实验室塑料耗材及用品
    • 查看所有产品分类
  • 应用和技术
    • 色谱
    • 细胞转染和培养
    • 实时荧光定量PCR
    • 质谱
    • 实验室塑料耗材及用品
    • 电子显微镜
    • 蛋白质生物学
    • PCR
    • RNAi
    • 环境
    • 查看所有应用和技术
  • 服务
    • 定制服务
    • 企业级实验室信息化服务
    • 金融&租赁服务
    • 仪器服务
    • OEM和商业供应
    • 培训服务
    • 360° CDMO 和 CRO 服务
    • CDMO 服务
    • 临床试验 CRO 服务
    • Unity Lab Services
    • 查看所有帮助和支持
  • 帮助和支持
    • 学习中心
    • 联系我们
    • 更改国家或地区
    • 查看所有帮助和支持
  • 热门产品
    • TaqMan Real-Time PCR Assays
      TaqMan 实时荧光定量 PCR 试剂盒
    • Antibodies
      抗体
    • Oligos, Primers & Probes
      寡核苷酸、引物、探针
    • GeneArt Gene Synthesis
      GeneArt 基因合成
    • Cell Culture Plastics
      细胞培养耗材
  • Who We Serve
    • 抗体治疗解决方案
    • 细胞与基因治疗解决方案
    • 学术科研
    • 工业与应用
  • 联系我们
  • 货号直购
  • 订单查询
  • 查找文件&证书
Thermo Fisher Scientific Logo

Search

搜索全部或下列指定分类
Search button
          • 联系我们
          • 货号直购
          • 登录
            登录
            没有账号?建立账号 注册
            • 我的账号
            • 订单
            • 会员中心
            • 账单及发票查询
            • 定制产品及项目
          • Primary Antibodies ›
          • CDK1/CDK2/CDK3 Antibodies

          Invitrogen

          Phospho-CDK1/CDK2/CDK3 (Thr14) Recombinant Rabbit Monoclonal Antibody (JE04-37)

          查看其他5个CDK1/CDK2/CDK3抗体

          {{$productOrderCtrl.translations['antibody.pdp.commerceCard.promotion.promotions']}}

          {{$productOrderCtrl.translations['antibody.pdp.commerceCard.promotion.viewpromo']}}

          {{$productOrderCtrl.translations['antibody.pdp.commerceCard.promotion.promocode']}}: {{promo.promoCode}} {{promo.promoTitle}} {{promo.promoDescription}}. {{$productOrderCtrl.translations['antibody.pdp.commerceCard.promotion.learnmore']}}

          说明书
          证书
          实验方案
          问题与答案
          技术支持
          说明书
          证书
          实验方案
          问题与答案
          技术支持
          说明书
          证书
          实验方案
          问题与答案
          技术支持

          Cite Phospho-CDK1/CDK2/CDK3 (Thr14) Recombinant Rabbit Monoclonal Antibody (JE04-37)

          Additional Information:
          {{banner.description}}
          {{$ctrl.isSkuNotesCollapsed ? 'View more' : 'View less'}}
          • 抗体检测数据 (6)
          Phospho-CDK1/CDK2/CDK3 (Thr14) Antibody in Immunohistochemistry (Paraffin) (IHC (P))
          Group 53 Created with Sketch.
          Phospho-CDK1/CDK2/CDK3 (Thr14) Antibody in Immunohistochemistry (Paraffin) (IHC (P))
          Group 53 Created with Sketch.

          图: 1 / 6

          {{ $ctrl.currentElement.advancedVerification.fullName }}
          {{ $ctrl.currentElement.advancedVerification.text }}

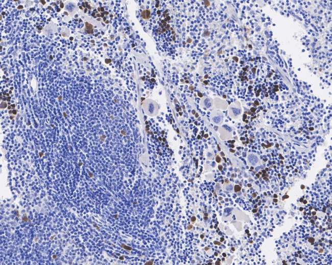
          Phospho-CDK1/CDK2/CDK3 (Thr14) Antibody (MA5-56572) in IHC (P)

          Immunohistochemistry analysis of Phospho-CDK1/CDK2/CDK3 (Thr14) with paraffin-embedded mouse spleen tissue. The tissues were blocked in 1% BSA (20 min, room temp), washed with ddH2O and PBS, incubated with Phospho-CDK1/CDK2/CDK3 (Thr14) Recombinant Monoclonal Antibody (Product # MA5-56572) at a dilution of 1:1,000 (1 hr, room temp). {{ $ctrl.currentElement.advancedVerification.fullName }} 验证信息 View more
          已发表图片由___提供 benchsci-logo
          PMID: {{$ctrl.currentElement.benchSciPubmedId}}
          查看产品

          {{$ctrl.videoDesc}}

          {{$ctrl.videoLongDesc}}

          Phospho-CDK1/CDK2/CDK3 (Thr14) Antibody in Immunohistochemistry (Paraffin) (IHC (P))
          Phospho-CDK1/CDK2/CDK3 (Thr14) Antibody in Immunohistochemistry (Paraffin) (IHC (P))
          Phospho-CDK1/CDK2/CDK3 (Thr14) Antibody in Immunohistochemistry (Paraffin) (IHC (P))
          Phospho-CDK1/CDK2/CDK3 (Thr14) Antibody in Immunohistochemistry (Paraffin) (IHC (P))
          Phospho-CDK1/CDK2/CDK3 (Thr14) Antibody in Immunohistochemistry (Paraffin) (IHC (P))
          Phospho-CDK1/CDK2/CDK3 (Thr14) Antibody in Western Blot (WB)
          Phospho-CDK1/CDK2/CDK3 (Thr14) Recombinant Rabbit Monoclonal Antibody (JE04-37)

          产品信息

          MA5-56572

          应用
          建议稀释比
          已发表文章

          免疫印迹 (WB)

          1:1,000
          -

          免疫组化(石蜡) (IHC (P))

          1:1,000
          -
          产品规格

          种属反应

          Human, Mouse, Rat

          宿主/亚型

          Rabbit / IgG

          Expression System

          HEK293 cells

          分类

          Recombinant Monoclonal

          类型

          Antibody

          克隆号

          JE04-37

          抗原

          Synthetic phosphopeptide corresponding to residues surrounding Thr14 of human Cdk1 protein (P06493).
          3D表位/免疫原

          偶联物

          Unconjugated Unconjugated Unconjugated

          形式

          Liquid

          浓度

          1 mg/mL

          规格

          100 µg

          纯化类型

          Protein A

          保存液

          TBS, pH 7.4, with 0.05% BSA, 40% glycerol

          内含物

          0.05% sodium azide

          保存条件

          Store at 4°C short term. For long term storage, store at -20°C, avoiding freeze/thaw cycles.

          运输条件

          Ambient (domestic); Wet ice (international)

          RRID

          AB_3679599

          靶标信息

          Plays a key role in the control of the eukaryotic cell cycle by modulating the centrosome cycle as well as mitotic onset; promotes G2-M transition, and regulates G1 progress and G1-S transition via association with multiple interphase cyclins. Required in higher cells for entry into S-phase and mitosis. Phosphorylates PARVA/actopaxin, APC, AMPH, APC, BARD1, Bcl-xL/BCL2L1, BRCA2, CALD1, CASP8, CDC7, CDC20, CDC25A, CDC25C, CC2D1A, CENPA, CSNK2 proteins/CKII, FZR1/CDH1, CDK7, CEBPB, CHAMP1, DMD/dystrophin, EEF1 proteins/EF-1, EZH2, KIF11/EG5, EGFR, FANCG, FOS, GFAP, GOLGA2/GM130, GRASP1, UBE2A/hHR6A, HIST1H1 proteins/histone H1, HMGA1, HIVEP3/KRC, LMNA, LMNB, LMNC, LBR, LATS1, MAP1B, MAP4, MARCKS, MCM2, MCM4, MKLP1, MYB, NEFH, NFIC, NPC/nuclear pore complex, PITPNM1/NIR2, NPM1, NCL, NUCKS1, NPM1/numatrin, ORC1, PRKAR2A, EEF1E1/p18, EIF3F/p47, p53/TP53, NONO/p54NRB, PAPOLA, PLEC/plectin, RB1, UL40/R2, RAB4A, RAP1GAP, RCC1, RPS6KB1/S6K1, KHDRBS1/SAM68, ESPL1, SKI, BIRC5/survivin, STIP1, TEX14, beta-tubulins, MAPT/TAU, NEDD1, VIM/vimentin, TK1, FOXO1, RUNX1/AML1, SIRT2 and RUNX2. CDK1/CDC2-cyclin-B controls pronuclear union in interphase fertilized eggs. Essential for early stages of embryonic development. During G2 and early mitosis, CDC25A/B/C-mediated dephosphorylation activates CDK1/cyclin complexes which phosphorylate several substrates that trigger at least centrosome separation, Golgi dynamics, nuclear envelope breakdown and chromosome condensation. Once chromosomes are condensed and aligned at the metaphase plate, CDK1 activity is switched off by WEE1- and PKMYT1- mediated phosphorylation to allow sister chromatid separation, chromosome decondensation, reformation of the nuclear envelope and cytokinesis. Inactivated by PKR/EIF2AK2- and WEE1-mediated phosphorylation upon DNA damage to stop cell cycle and genome replication at the G2 checkpoint thus facilitating DNA repair. Reactivated after successful DNA repair through WIP1- dependent signaling leading to CDC25A/B/C-mediated dephosphorylation and restoring cell cycle progression. In proliferating cells, CDK1-mediated FOXO1 phosphorylation at the G2-M phase represses FOXO1 interaction with 14-3-3 proteins and thereby promotes FOXO1 nuclear accumulation and transcription factor activity, leading to cell death of postmitotic neurons. The phosphorylation of beta-tubulins regulates microtubule dynamics during mitosis. NEDD1 phosphorylation promotes PLK1-mediated NEDD1 phosphorylation and subsequent targeting of the gamma-tubulin ring complex (gTuRC) to the 2 centrosome, an important step for spindle formation. In addition, CC2D1A phosphorylation regulates CC2D1A spindle pole localization and association with SCC1/RAD21 and centriole cohesion during mitosis. The phosphorylation of Bcl-xL/BCL2L1 after prolongated G2 arrest upon DNA damage triggers apoptosis. In contrast, CASP8 phosphorylation during mitosis prevents its activation by proteolysis and subsequent apoptosis. This phosphorylation occurs in cancer cell lines, as well as in primary breast tissues and lymphocytes. EZH2 phosphorylation promotes H3K27me3 maintenance and epigenetic gene silencing. CALD1 phosphorylation promotes Schwann cell migration during peripheral nerve regeneration. CDK1-cyclin-B complex phosphorylates NCKAP5L and mediates its dissociation from centrosomes during mitosis (PubMed:26549230).

          仅用于科研。不用于诊断过程。未经明确授权不得转售。

          篇参考文献 (0)

          您是否在文献中引用过该产品?请点击下方按钮邮件告知我们。
          引用该产品

          生物信息学

          蛋白别名: cdc2-related protein kinase; CDK1; CDK2; cell cycle controller CDC2; cell cycle p34 CDC2 kinase protein; Cell division control protein 2 homolog; cell division cycle 2 homolog A; cell division cycle 2, G1 to S and G2 to M; Cell division cycle control protein 2; cell division cycle control protein 2a; Cell division protein kinase 1; Cell division protein kinase 2; Cell division protein kinase 3; cyclin dependent kinase 2-alpha; Cyclin-dependent kinase 1; Cyclin-dependent kinase 2; Cyclin-dependent kinase 3; p33 protein kinase; p34 protein kinase; unnamed protein product

          查看更多 收起

          基因别名: 2310050O10Rik; A630093N05Rik; CDC2; CDC28A; Cdc2a; CDK1; CDK2; CDK3; CDKN1; CDKN2; CDKN3; p33(CDK2); p34; P34CDC2

          查看更多 收起

          UniProt ID: (Human) P06493, (Human) P24941, (Human) Q00526, (Rat) P39951, (Mouse) P11440, (Mouse) P97377

          查看更多 收起

          Entrez Gene ID: (Human) 983, (Human) 1017, (Human) 1018, (Rat) 54237, (Mouse) 12534, (Rat) 362817, (Mouse) 12566, (Mouse) 69681

          查看更多 收起

          功能
          nucleotide binding virus receptor activity chromatin binding protein kinase activity protein serine/threonine kinase activity cyclin-dependent protein serine/threonine kinase activity protein binding ATP binding RNA polymerase II carboxy-terminal domain kinase activity kinase activity transferase activity cyclin binding Hsp70 protein binding histone kinase activity cyclin-dependent protein kinase activity protein serine kinase activity magnesium ion binding protein domain specific binding metal ion binding transferase activity, transferring phosphorus-containing groups protein complex binding non-receptor serine/threonine protein kinase
          参与通路
          G1/S transition of mitotic cell cycle G2/M transition of mitotic cell cycle microtubule cytoskeleton organization DNA replication DNA repair chromatin remodeling regulation of transcription from RNA polymerase II promoter apoptotic process cellular response to DNA damage stimulus nuclear envelope organization mitotic nuclear envelope disassembly mitotic G2 DNA damage checkpoint centrosome cycle pronuclear fusion response to toxic substance positive regulation of gene expression negative regulation of gene expression positive regulation of G2/M transition of mitotic cell cycle regulation of Schwann cell differentiation response to amine response to activity cell migration protein deubiquitination peptidyl-threonine phosphorylation chromosome condensation epithelial cell differentiation protein localization to kinetochore positive regulation of protein import into nucleus response to hydrogen peroxide regulation of circadian rhythm negative regulation of apoptotic process mitotic cell cycle phase transition response to ethanol positive regulation of DNA replication regulation of embryonic development thymidine biosynthetic process response to cadmium ion response to copper ion viral entry into host cell microtubule polymerization fibroblast proliferation rhythmic process response to axon injury cell division ventricular cardiac muscle cell development positive regulation of cardiac muscle cell proliferation cilium disassembly positive regulation of mitotic sister chromatid segregation protein-containing complex assembly cellular response to hydrogen peroxide ERK1 and ERK2 cascade Golgi disassembly DNA strand resection involved in replication fork processing positive regulation of protein localization to nucleus regulation of mitotic attachment of spindle microtubules to kinetochore microtubule cytoskeleton organization involved in mitosis DNA synthesis involved in mitotic DNA replication positive regulation of mitochondrial ATP synthesis coupled electron transport protein localization to site of double-strand break mitotic DNA-dependent DNA replication negative regulation of transcription from RNA polymerase II promoter telomere maintenance transcription, DNA-templated protein phosphorylation potassium ion transport centriole replication signal transduction Ras protein signal transduction regulation of mitotic cell cycle positive regulation of cell proliferation regulation of G2/M transition of mitotic cell cycle regulation of gene expression peptidyl-serine phosphorylation positive regulation of heterochromatin assembly mitotic G1 DNA damage checkpoint protection from non-homologous end joining at telomere positive regulation of DNA-dependent DNA replication initiation telomere maintenance in response to DNA damage post-translational protein modification positive regulation of transcription, DNA-templated centrosome duplication meiotic cell cycle cellular response to nitric oxide cellular senescence regulation of anaphase-promoting complex-dependent catabolic process cell proliferation G0 to G1 transition negative regulation of Notch signaling pathway mitotic cell cycle protein complex assembly mitotic nuclear division cell aging response to organonitrogen compound response to organic cyclic compound histone phosphorylation organ regeneration positive regulation of protein import into nucleus, translocation response to drug positive regulation of mitotic cell cycle cell cycle phosphorylation lens development in camera-type eye response to estradiol cellular response to insulin stimulus response to cAMP response to electrical stimulus regulation of cell cycle regulation of gene silencing
          It has to be done as per old AB suggested Products section.

          Disclaimer

          Close

          Clicking the images or links will redirect you to a website hosted by BenchSci that provides third-party scientific content. Neither the content nor the BenchSci technology and processes for selection have been evaluated by us; we are providing them as-is and without warranty of any kind, including for use or application of the Thermo Fisher Scientific products presented.

          guarantee_icon

          性能保障

          只要您发现Invitrogen抗体在实验中的表现与网站或说明书的所述内容不符,您即可享受免费退换货服务。*

          了解更多
          help_icon

          随时为您服务

          获取常见问题的专家解答,或者直接联系我们的技术专家,咨询应用、设备、常规产品使用问题。

          联系技术支持
          订购 Plus Icon Minus Icon
          • 订单状态查询
          • 订单支持
          • 货号直购
          • 现货供应中心
          • 电子采购
          支持 Plus Icon Minus Icon
          • 帮助&支持
          • 联系我们 - 400 820 8982
          • 技术支持中心
          • 查找文件&证书
          • 报告网站问题
          资源 Plus Icon Minus Icon
          • 学习中心
          • 促销
          • 活动&研讨会
          • 社交媒体
          关于赛默飞 Plus Icon Minus Icon
          • 关于我们
          • 招聘 招聘
          • 投资者关系 投资者关系
          • 新闻 新闻
          • 社会责任 社会责任
          • 商标
          • 政策和通知
          品牌 Plus Icon Minus Icon
          • Thermo Scientific
          • Applied Biosystems
          • Invitrogen
          • Gibco
          • Ion Torrent
          • Unity Lab Services
          • Patheon
          • PPD
          • 服务条款
          • 隐私政策
          • 定价和运输保险政策
          © 2006-2026 Thermo Fisher Scientific Inc. All rights reserved. All trademarks are the property of Thermo Fisher Scientific and its subsidiaries unless otherwise specified.
          China flag icon
          China
          本网站销售的所有产品均不得用于人类或动物之临床诊断或治疗,仅可用于工业或者科研等非医疗目的。
             电子营业执照 | 经营证照公示 | ICP备案号:沪ICP备11003924号 | 沪公网安备 31011502006935号

          Your items have has been added!


          Host server : magellan-search-green-6479c7f679-jmhj8:80/100.66.74.142:80.
          git-commit: b70c0dceb888abc3b0dcebb5bc3a5b8753e7e816
          git-url: https://github.com/thermofisher/magellan-search
          git-branch: release/2.50.0-Offline