Hamburger Menu Button
Thermo Fisher Scientific Logo
登录
没有账号?建立账号 注册
  • 产品
    • 抗体
    • 引物合成
    • GeneArt Gene Synthesis Instant Designer
    • TaqMan Assay and Array Search
    • PCR 设备和耗材
    • 色谱柱和纯化柱
    • 实验室离心机
    • 分子生物学试剂和试剂盒
    • 实验室塑料耗材及用品
    • 查看所有产品分类
  • 应用和技术
    • 色谱
    • 细胞转染和培养
    • 实时荧光定量PCR
    • 质谱
    • 实验室塑料耗材及用品
    • 电子显微镜
    • 蛋白质生物学
    • PCR
    • RNAi
    • 环境
    • 查看所有应用和技术
  • 服务
    • 定制服务
    • 企业级实验室信息化服务
    • 企业服务
    • 金融&租赁服务
    • 仪器服务
    • OEM和商业供应
    • 培训服务
    • 360° CDMO 和 CRO 服务
    • CDMO 服务
    • 临床试验 CRO 服务
    • 查看所有帮助和支持
  • 帮助和支持
    • 学习中心
    • 联系我们
    • 更改国家或地区
    • 查看所有帮助和支持
  • 热门产品
    • TaqMan Real-Time PCR Assays
      TaqMan 实时荧光定量 PCR 试剂盒
    • Antibodies
      抗体
    • Oligos, Primers & Probes
      寡核苷酸、引物、探针
    • GeneArt Gene Synthesis
      GeneArt 基因合成
    • Cell Culture Plastics
      细胞培养耗材
  • 联系我们
  • 货号直购
  • 订单查询
  • 查找文件&证书
Thermo Fisher Scientific Logo

Search

搜索全部或下列指定分类
Search button
          • 联系我们
          • 货号直购
          • 登录
            登录
            没有账号?建立账号 注册
            • 我的账号
            • 订单
            • 账单及发票查询
            • 定制产品及项目

          Disclaimer

          Clicking the images or links will redirect you to a website hosted by BenchSci that provides third-party scientific content. Neither the content nor the BenchSci technology and processes for selection have been evaluated by us; we are providing them as-is and without warranty of any kind, including for use or application of the Thermo Fisher Scientific products presented.

          • Primary Antibodies ›
          • CDK1/CDK2 Antibodies

          Invitrogen

          Phospho-CDK1/CDK2 (Thr14) Recombinant Rabbit Monoclonal Antibody (K01_2K81)

          查看其他6个CDK1/CDK2抗体

          {{$productOrderCtrl.translations['antibody.pdp.commerceCard.promotion.promotions']}}

          {{$productOrderCtrl.translations['antibody.pdp.commerceCard.promotion.viewpromo']}}

          {{$productOrderCtrl.translations['antibody.pdp.commerceCard.promotion.promocode']}}: {{promo.promoCode}} {{promo.promoTitle}} {{promo.promoDescription}}. {{$productOrderCtrl.translations['antibody.pdp.commerceCard.promotion.learnmore']}}

          说明书
          实验方案
          问题与答案
          技术支持
          说明书
          实验方案
          问题与答案
          技术支持
          说明书
          实验方案
          问题与答案
          技术支持

          Cite Phospho-CDK1/CDK2 (Thr14) Recombinant Rabbit Monoclonal Antibody (K01_2K81)

          • 抗体检测数据 (2)
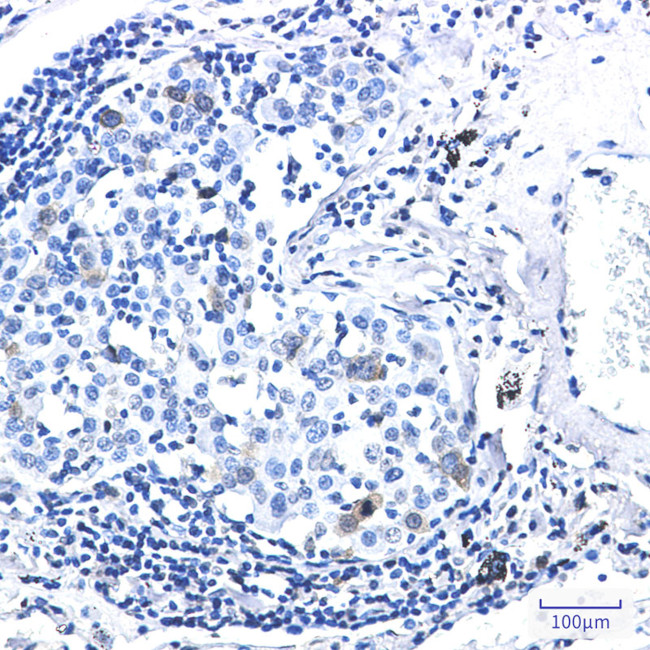
          Phospho-CDK1/CDK2 (Thr14) Antibody in Immunohistochemistry (Paraffin) (IHC (P))
          Group 53 Created with Sketch.
          Phospho-CDK1/CDK2 (Thr14) Antibody in Immunohistochemistry (Paraffin) (IHC (P))
          Group 53 Created with Sketch.

          图: 1 / 2

          {{ $ctrl.currentElement.advancedVerification.fullName }}
          {{ $ctrl.currentElement.advancedVerification.text }}

          Phospho-CDK1/CDK2 (Thr14) Antibody (MA563972) in IHC (P)

          Immunohistochemistry (Paraffin) analysis of Phospho-CDK1/CDK2 (Thr14) in paraffin-embedded Human lung cancer tissue. Samples were incubated with Phospho-CDK1/CDK2 (Thr14) recombinant monoclonal (Product # MA563972). High-pressure and temperature Sodium Citrate pH 6.0 was used for antigen retrieval. {{ $ctrl.currentElement.advancedVerification.fullName }} 验证信息 View more
          已发表图片由___提供 benchsci-logo
          PMID: {{$ctrl.currentElement.benchSciPubmedId}}
          查看产品

          {{$ctrl.videoDesc}}

          {{$ctrl.videoLongDesc}}

          Phospho-CDK1/CDK2 (Thr14) Antibody in Immunohistochemistry (Paraffin) (IHC (P))
          Phospho-CDK1/CDK2 (Thr14) Antibody in Western Blot (WB)
          Phospho-CDK1/CDK2 (Thr14) Recombinant Rabbit Monoclonal Antibody (K01_2K81)

          产品信息

          MA563972

          应用
          建议稀释比
          已发表文章

          免疫印迹 (WB)

          1:500-1:1,000
          -

          免疫组化(石蜡) (IHC (P))

          1:50-1:100
          -
          产品规格

          种属反应

          Human

          宿主/亚型

          Rabbit / IgG

          Expression System

          HEK293F

          分类

          Recombinant Monoclonal

          类型

          Antibody

          克隆号

          K01_2K81

          抗原

          A synthetic phosphopeptide corresponding to residues surrounding Thr14 of human Cdk1/2.
          查看免疫原

          偶联物

          Unconjugated Unconjugated Unconjugated

          形式

          Liquid

          浓度

          1 mg/mL

          纯化类型

          Protein A/G

          保存液

          50mM tris glycine, pH 7.4, with 0.05% BSA, 150mM NaCl, 40% glycerol

          内含物

          0.01% sodium azide

          保存条件

          Maintain refrigerated at 2-8°C for up to 1 month. For long term storage store at -20°C

          运输条件

          Ambient (domestic); Wet ice (international)

          RRID

          AB_3705020

          靶标信息

          Voltage dependent anion channel required for acidification and functions of the Golgi apparatus that may function in counter-ion conductance.

          仅用于科研。不用于诊断过程。未经明确授权不得转售。

          篇参考文献 (0)

          您是否在文献中引用过该产品?请点击下方按钮邮件告知我们。
          引用该产品

          生物信息学

          蛋白别名: cdc2-related protein kinase; CDK1; cell cycle controller CDC2; Cell division control protein 2 homolog; cell division cycle 2, G1 to S and G2 to M; Cell division protein kinase 1; Cell division protein kinase 2; Cyclin-dependent kinase 1; Cyclin-dependent kinase 2; p33 protein kinase; p34 protein kinase

          查看更多 收起

          基因别名: CDC2; CDC28A; CDK1; CDK2; CDKN1; CDKN2; p33(CDK2); P34CDC2

          查看更多 收起

          UniProt ID: (Human) P06493, (Human) P24941

          查看更多 收起

          Entrez Gene ID: (Human) 983, (Human) 1017

          查看更多 收起

          功能
          protein kinase activity protein serine/threonine kinase activity cyclin-dependent protein serine/threonine kinase activity protein binding ATP binding RNA polymerase II carboxy-terminal domain kinase activity cyclin binding Hsp70 protein binding histone kinase activity kinase activity protein complex binding metal ion binding non-receptor serine/threonine protein kinase
          参与通路
          G1/S transition of mitotic cell cycle regulation of transcription involved in G1/S transition of mitotic cell cycle G2/M transition of mitotic cell cycle activation of MAPK activity microtubule cytoskeleton organization DNA replication DNA repair protein complex assembly apoptotic process DNA damage response, signal transduction by p53 class mediator resulting in cell cycle arrest mitotic nuclear division mitotic nuclear envelope disassembly mitotic G2 DNA damage checkpoint centrosome cycle pronuclear fusion cell aging response to toxic substance positive regulation of gene expression regulation of Schwann cell differentiation response to organic cyclic compound response to amine response to activity cell migration histone phosphorylation peptidyl-serine phosphorylation peptidyl-threonine phosphorylation chromosome condensation epithelial cell differentiation organ regeneration anaphase-promoting complex-dependent catabolic process positive regulation of protein import into nucleus, translocation protein localization to kinetochore response to drug protein ubiquitination involved in ubiquitin-dependent protein catabolic process negative regulation of apoptotic process proteasome-mediated ubiquitin-dependent protein catabolic process response to ethanol positive regulation of DNA replication positive regulation of mitotic cell cycle regulation of embryonic development response to cadmium ion response to copper ion response to axon injury cell division negative regulation of ubiquitin-protein ligase activity involved in mitotic cell cycle positive regulation of ubiquitin-protein ligase activity involved in regulation of mitotic cell cycle transition regulation of ubiquitin-protein ligase activity involved in mitotic cell cycle ventricular cardiac muscle cell development positive regulation of cardiac muscle cell proliferation cellular response to hydrogen peroxide Golgi disassembly positive regulation of protein localization to nucleus lens development in camera-type eye potassium ion transport centriole replication meiotic nuclear division Ras protein signal transduction positive regulation of cell proliferation mitotic G1 DNA damage checkpoint positive regulation of DNA-dependent DNA replication initiation response to estradiol cellular response to insulin stimulus positive regulation of transcription, DNA-templated centrosome duplication response to cAMP response to electrical stimulus regulation of gene silencing cellular response to nitric oxide regulation of signal transduction by p53 class mediator
          It has to be done as per old AB suggested Products section.
          guarantee_icon

          性能保障

          只要您发现Invitrogen抗体在实验中的表现与网站或说明书的所述内容不符,您即可享受免费退换货服务。*

          了解更多
          help_icon

          随时为您服务

          获取常见问题的专家解答,或者直接联系我们的技术专家,咨询应用、设备、常规产品使用问题。

          联系技术支持
          订购 Plus Icon Minus Icon
          • 订单状态查询
          • 订单支持
          • 货号直购
          • 现货供应中心
          • 电子采购
          支持 Plus Icon Minus Icon
          • 帮助&支持
          • 联系我们 - 400 820 8982
          • 技术支持中心
          • 查找文件&证书
          • 报告网站问题
          资源 Plus Icon Minus Icon
          • 学习中心
          • 促销
          • 活动&研讨会
          • 社交媒体
          关于赛默飞 Plus Icon Minus Icon
          • 关于我们
          • 招聘 招聘
          • 投资者关系 投资者关系
          • 新闻 新闻
          • 社会责任 社会责任
          • 商标
          • 政策和通知
          品牌 Plus Icon Minus Icon
          • Thermo Scientific
          • Applied Biosystems
          • Invitrogen
          • Gibco
          • Ion Torrent
          • Patheon
          • PPD
          • 服务条款
          • 隐私政策
          • 定价和运输保险政策
          © 2006-2025 Thermo Fisher Scientific Inc. All rights reserved. All trademarks are the property of Thermo Fisher Scientific and its subsidiaries unless otherwise specified.
          China flag icon
          China
          本网站销售的所有产品均不得用于人类或动物之临床诊断或治疗,仅可用于工业或者科研等非医疗目的。
             电子营业执照 | 经营证照公示 | ICP备案号:沪ICP备11003924号 | 沪公网安备 31011502006935号

          Your items have has been added!


          Host server : magellan-search-green-55658555d6-ctm7w:80/100.66.76.99:80.
          git-commit: ec8e7df5f8fec8d765bd419205f1b5046a016d37
          git-url: https://github.com/thermofisher/magellan-search
          git-branch: release/2.41.0-Offline