Hamburger Menu Button
Thermo Fisher Scientific Logo
登录
没有账号?建立账号 注册
  • 产品
    • 抗体
    • 引物合成
    • GeneArt Gene Synthesis Instant Designer
    • TaqMan Assay and Array Search
    • PCR 设备和耗材
    • 色谱柱和纯化柱
    • 实验室离心机
    • 分子生物学试剂和试剂盒
    • 实验室塑料耗材及用品
    • 查看所有产品分类
  • 应用和技术
    • 色谱
    • 细胞转染和培养
    • 实时荧光定量PCR
    • 质谱
    • 实验室塑料耗材及用品
    • 电子显微镜
    • 蛋白质生物学
    • PCR
    • RNAi
    • 环境
    • 查看所有应用和技术
  • 服务
    • 定制服务
    • 企业级实验室信息化服务
    • 企业服务
    • 金融&租赁服务
    • 仪器服务
    • OEM和商业供应
    • 培训服务
    • 360° CDMO 和 CRO 服务
    • CDMO 服务
    • 临床试验 CRO 服务
    • 查看所有帮助和支持
  • 帮助和支持
    • 学习中心
    • 联系我们
    • 更改国家或地区
    • 查看所有帮助和支持
  • 热门产品
    • TaqMan Real-Time PCR Assays
      TaqMan 实时荧光定量 PCR 试剂盒
    • Antibodies
      抗体
    • Oligos, Primers & Probes
      寡核苷酸、引物、探针
    • GeneArt Gene Synthesis
      GeneArt 基因合成
    • Cell Culture Plastics
      细胞培养耗材
  • 联系我们
  • 货号直购
  • 订单查询
  • 查找文件&证书
Thermo Fisher Scientific Logo

Search

搜索全部或下列指定分类
Search button
          • 联系我们
          • 货号直购
          • 登录
            登录
            没有账号?建立账号 注册
            • 我的账号
            • 订单
            • 账单及发票查询
            • 定制产品及项目

          Disclaimer

          Clicking the images or links will redirect you to a website hosted by BenchSci that provides third-party scientific content. Neither the content nor the BenchSci technology and processes for selection have been evaluated by us; we are providing them as-is and without warranty of any kind, including for use or application of the Thermo Fisher Scientific products presented.

          • Primary Antibodies ›
          • CDK5 Antibodies

          Bioss

          Phospho-CDK5 (Tyr15) Polyclonal Antibody

          查看其他23个CDK5抗体

          {{$productOrderCtrl.translations['antibody.pdp.commerceCard.promotion.promotions']}}

          {{$productOrderCtrl.translations['antibody.pdp.commerceCard.promotion.viewpromo']}}

          {{$productOrderCtrl.translations['antibody.pdp.commerceCard.promotion.promocode']}}: {{promo.promoCode}} {{promo.promoTitle}} {{promo.promoDescription}}. {{$productOrderCtrl.translations['antibody.pdp.commerceCard.promotion.learnmore']}}

          说明书
          证书
          实验方案
          问题与答案
          技术支持
          说明书
          证书
          实验方案
          问题与答案
          技术支持
          说明书
          证书
          实验方案
          问题与答案
          技术支持

          Cite Phospho-CDK5 (Tyr15) Polyclonal Antibody

          Additional Information:
          {{banner.description}}
          {{$ctrl.isSkuNotesCollapsed ? 'View more' : 'View less'}}
          • 抗体检测数据 (1)
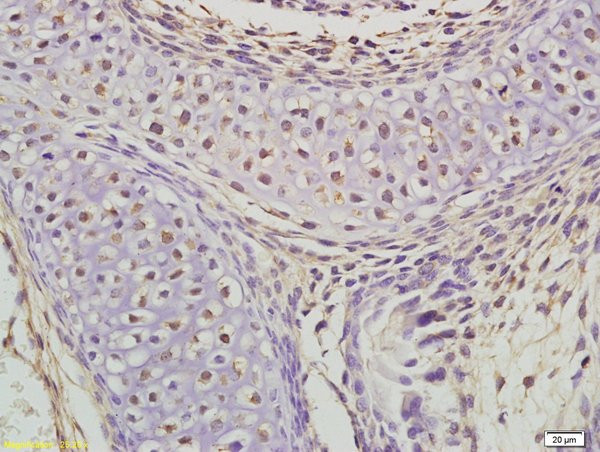
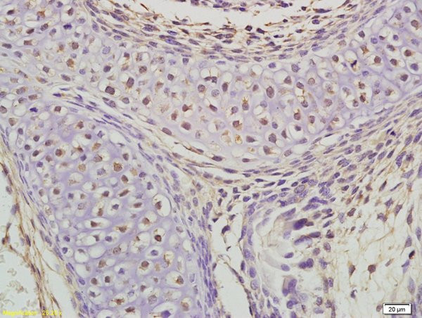
          Phospho-CDK5 (Tyr15) Antibody in Immunohistochemistry (Paraffin) (IHC (P))
          Group 53 Created with Sketch.
          Phospho-CDK5 (Tyr15) Antibody in Immunohistochemistry (Paraffin) (IHC (P))
          Group 53 Created with Sketch.

          图: 1 / 1

          {{ $ctrl.currentElement.advancedVerification.fullName }}
          {{ $ctrl.currentElement.advancedVerification.text }}

          Phospho-CDK5 (Tyr15) Antibody (BS-6411R) in IHC (P)

          Formalin-fixed and paraffin embedded mouse embryo tissue labeled with Rabbit Anti phospho-CDK5(Tyr15) Polyclonal Antibody, Unconjugated (bs-6411R) at 1:200 followed by conjugation to the secondary antibody and DAB staining. {{ $ctrl.currentElement.advancedVerification.fullName }} 验证信息 View more
          已发表图片由___提供 benchsci-logo
          PMID: {{$ctrl.currentElement.benchSciPubmedId}}
          查看产品

          {{$ctrl.videoDesc}}

          {{$ctrl.videoLongDesc}}

          Phospho-CDK5 (Tyr15) Antibody in Immunohistochemistry (Paraffin) (IHC (P))
          Phospho-CDK5 (Tyr15) Polyclonal Antibody

          产品信息

          BS-6411R

          应用
          建议稀释比
          已发表文章

          免疫印迹 (WB)

          1:500-1:2,000
          -

          免疫组化(石蜡) (IHC (P))

          1:200
          -

          免疫组化(冰冻) (IHC (F))

          1:100-1:500
          -

          免疫细胞化学 (ICC/IF)

          1:50-1:200
          -

          酶联免疫吸附实验 (ELISA)

          1:500-1:1,000
          -
          产品规格

          种属反应

          Human, Mouse, Rat

          宿主/亚型

          Rabbit / IgG

          分类

          Polyclonal

          类型

          Antibody

          抗原

          KLH conjugated synthetic phosphopeptide derived from human CDK5 around the phosphorylation site of Tyr15.
          查看免疫原

          偶联物

          Unconjugated Unconjugated Unconjugated

          形式

          Liquid

          浓度

          1 mg/mL

          纯化类型

          Protein A

          保存液

          0.01M TBS, pH 7.4, with 50% glycerol, 1% BSA

          内含物

          0.02% ProClin 300

          保存条件

          -20°C

          运输条件

          Ambient (domestic); Wet ice (international)

          靶标信息

          CDK5 is a member of the Cyclin-Dependent Kinase family that is most abundant in the mammalian brain. Active form of CDK5, which has also been called neuronal cdc2-like kinase, is a heterodimer of CDK5 and a 25 kDa protein which is derived proteolytically from a 35 kDa brain and neuron-specific protein and is essential for the kinase activity of CDK5. CDK5 has emerged as a crucial regulator of neuronal migration in the developing central nervous system. CDK5 phosphorylates a diverse list of substrates, implicating it in the regulation of a range of cellular processes - from adhesion and motility, to synaptic plasticity and drug addiction.

          仅用于科研。不用于诊断过程。未经明确授权不得转售。

          篇参考文献 (0)

          您是否在文献中引用过该产品?请点击下方按钮邮件告知我们。
          引用该产品

          生物信息学

          蛋白别名: CDK5 activator 1; CDK5-SV; Cell division protein kinase 5; CR6 protein kinase; Cyclin-dependent kinase 5; Cyclin-dependent-like kinase 5; protein kinase CDK5 splicing; Serine/threonine-protein kinase PSSALRE; Tau protein kinase II catalytic subunit; TPKII catalytic subunit

          查看更多 收起

          基因别名: AW048668; CDK5; CDKN5; Crk6; LIS7; PSSALRE

          查看更多 收起

          UniProt ID: (Human) Q00535, (Mouse) P49615, (Rat) Q03114

          查看更多 收起

          Entrez Gene ID: (Human) 1020, (Mouse) 12568, (Rat) 140908

          查看更多 收起

          功能
          p53 binding protein kinase activity protein serine/threonine kinase activity cyclin-dependent protein serine/threonine kinase activity ErbB-2 class receptor binding protein binding ATP binding cytoskeletal protein binding kinase activity protein kinase binding acetylcholine receptor activator activity ErbB-3 class receptor binding ephrin receptor binding tau-protein kinase activity nucleotide binding transferase activity transferase activity, transferring phosphorus-containing groups non-receptor serine/threonine protein kinase
          参与通路
          neuron migration synaptic transmission, dopaminergic intracellular protein transport nucleocytoplasmic transport cell cycle cell-matrix adhesion chemical synaptic transmission synapse assembly skeletal muscle tissue development motor neuron axon guidance cell proliferation visual learning response to wounding Schwann cell development synaptic vesicle exocytosis regulation of macroautophagy phosphorylation peptidyl-serine phosphorylation peptidyl-threonine phosphorylation sensory perception of pain cerebellar cortex formation hippocampus development layer formation in cerebral cortex central nervous system neuron development corpus callosum development neuron differentiation regulation of cell migration negative regulation of axon extension cortical actin cytoskeleton organization neuron projection development negative regulation of protein ubiquitination negative regulation of synaptic plasticity positive regulation of protein binding receptor catabolic process serine phosphorylation of STAT3 protein synaptic transmission, glutamatergic protein localization to synapse regulation of apoptotic process receptor clustering positive regulation of neuron apoptotic process negative regulation of cell cycle positive regulation of protein kinase activity negative regulation of proteolysis negative regulation of transcription, DNA-templated positive regulation of calcium ion-dependent exocytosis protein autophosphorylation negative regulation of protein export from nucleus behavioral response to cocaine regulation of synaptic plasticity synaptic vesicle endocytosis rhythmic process axon extension oligodendrocyte differentiation dendrite morphogenesis cell division neuron apoptotic process excitatory postsynaptic potential regulation of dendritic spine morphogenesis calcium ion import regulation of cell cycle arrest positive regulation of protein targeting to membrane negative regulation of neuron death regulation of signal transduction by p53 class mediator regulation of synaptic vesicle recycling positive regulation of actin cytoskeleton reorganization positive regulation of receptor activity protein phosphorylation exocytosis apoptotic process nervous system development axonogenesis associative learning cell migration telencephalon development cerebellum development cerebellar cortex development cerebral cortex development forebrain development response to cocaine regulated exocytosis neuron projection morphogenesis regulation of cell cycle regulation of postsynaptic membrane potential central nervous system development
          It has to be done as per old AB suggested Products section.
          guarantee_icon

          性能保障

          只要您发现Invitrogen抗体在实验中的表现与网站或说明书的所述内容不符,您即可享受免费退换货服务。*

          了解更多
          help_icon

          随时为您服务

          获取常见问题的专家解答,或者直接联系我们的技术专家,咨询应用、设备、常规产品使用问题。

          联系技术支持
          订购 Plus Icon Minus Icon
          • 订单状态查询
          • 订单支持
          • 货号直购
          • 现货供应中心
          • 电子采购
          支持 Plus Icon Minus Icon
          • 帮助&支持
          • 联系我们 - 400 820 8982
          • 技术支持中心
          • 查找文件&证书
          • 报告网站问题
          资源 Plus Icon Minus Icon
          • 学习中心
          • 促销
          • 活动&研讨会
          • 社交媒体
          关于赛默飞 Plus Icon Minus Icon
          • 关于我们
          • 招聘 招聘
          • 投资者关系 投资者关系
          • 新闻 新闻
          • 社会责任 社会责任
          • 商标
          • 政策和通知
          品牌 Plus Icon Minus Icon
          • Thermo Scientific
          • Applied Biosystems
          • Invitrogen
          • Gibco
          • Ion Torrent
          • Patheon
          • PPD
          • 服务条款
          • 隐私政策
          • 定价和运输保险政策
          © 2006-2026 Thermo Fisher Scientific Inc. All rights reserved. All trademarks are the property of Thermo Fisher Scientific and its subsidiaries unless otherwise specified.
          China flag icon
          China
          本网站销售的所有产品均不得用于人类或动物之临床诊断或治疗,仅可用于工业或者科研等非医疗目的。
             电子营业执照 | 经营证照公示 | ICP备案号:沪ICP备11003924号 | 沪公网安备 31011502006935号

          Your items have has been added!


          Host server : magellan-search-blue-55ff9ddd88-ctdjb:80/100.66.76.55:80.
          git-commit: d366ff9721d93504b2ac26a183b2b3e3d0e7d9ec
          git-url: https://github.com/thermofisher/magellan-search
          git-branch: release/2.42.0-2026.01.03-1.0