Hamburger Menu Button
Thermo Fisher Scientific Logo
登录
没有账号?建立账号 注册
  • 产品
    • 抗体
    • 引物合成
    • GeneArt Gene Synthesis Instant Designer
    • TaqMan Assay and Array Search
    • PCR 设备和耗材
    • 色谱柱和纯化柱
    • 实验室离心机
    • 分子生物学试剂和试剂盒
    • 实验室塑料耗材及用品
    • 查看所有产品分类
  • 应用和技术
    • 色谱
    • 细胞转染和培养
    • 实时荧光定量PCR
    • 质谱
    • 实验室塑料耗材及用品
    • 电子显微镜
    • 蛋白质生物学
    • PCR
    • RNAi
    • 环境
    • 查看所有应用和技术
  • 服务
    • 定制服务
    • 企业级实验室信息化服务
    • 金融&租赁服务
    • 仪器服务
    • OEM和商业供应
    • 培训服务
    • 360° CDMO 和 CRO 服务
    • CDMO 服务
    • 临床试验 CRO 服务
    • Unity Lab Services
    • 查看所有帮助和支持
  • 帮助和支持
    • 学习中心
    • 联系我们
    • 更改国家或地区
    • 查看所有帮助和支持
  • 热门产品
    • TaqMan Real-Time PCR Assays
      TaqMan 实时荧光定量 PCR 试剂盒
    • Antibodies
      抗体
    • Oligos, Primers & Probes
      寡核苷酸、引物、探针
    • GeneArt Gene Synthesis
      GeneArt 基因合成
    • Cell Culture Plastics
      细胞培养耗材
  • Who We Serve
    • 抗体治疗解决方案
    • 细胞与基因治疗解决方案
    • 学术科研
    • 工业与应用
  • 联系我们
  • 货号直购
  • 订单查询
  • 查找文件&证书
Thermo Fisher Scientific Logo

Search

搜索全部或下列指定分类
Search button
          • 联系我们
          • 货号直购
          • 登录
            登录
            没有账号?建立账号 注册
            • 我的账号
            • 订单
            • 会员中心
            • 账单及发票查询
            • 定制产品及项目
          • Primary Antibodies ›
          • CYLD Antibodies

          Bioss

          Phospho-CYLD (Ser418) Polyclonal Antibody

          查看其他11个CYLD抗体

          {{$productOrderCtrl.translations['antibody.pdp.commerceCard.promotion.promotions']}}

          {{$productOrderCtrl.translations['antibody.pdp.commerceCard.promotion.viewpromo']}}

          {{$productOrderCtrl.translations['antibody.pdp.commerceCard.promotion.promocode']}}: {{promo.promoCode}} {{promo.promoTitle}} {{promo.promoDescription}}. {{$productOrderCtrl.translations['antibody.pdp.commerceCard.promotion.learnmore']}}

          说明书
          证书
          实验方案
          问题与答案
          技术支持
          说明书
          证书
          实验方案
          问题与答案
          技术支持
          说明书
          证书
          实验方案
          问题与答案
          技术支持

          Cite Phospho-CYLD (Ser418) Polyclonal Antibody

          Additional Information:
          {{banner.description}}
          {{$ctrl.isSkuNotesCollapsed ? 'View more' : 'View less'}}
          • 抗体检测数据 (3)
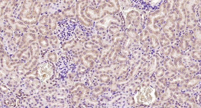
          Phospho-CYLD (Ser418) Antibody in Immunohistochemistry (Paraffin) (IHC (P))
          Group 53 Created with Sketch.
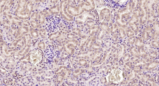
          Phospho-CYLD (Ser418) Antibody in Immunohistochemistry (Paraffin) (IHC (P))
          Group 53 Created with Sketch.

          图: 1 / 3

          {{ $ctrl.currentElement.advancedVerification.fullName }}
          {{ $ctrl.currentElement.advancedVerification.text }}

          Phospho-CYLD (Ser418) Antibody (BS-3080R) in IHC (P)

          Paraformaldehyde-fixed, paraffin embedded Mouse kidney; Antigen retrieval by boiling in sodium citrate buffer (pH6.0) for 15min; Block endogenous peroxidase by 3% hydrogen peroxide for 20 minutes; Blocking buffer (normal goat serum) at 37°C for 30min; Antibody incubation with CYLD (Ser418) Polyclonal Antibody, Unconjugated (bs-3080R) at 1:400 overnight at 4°C, DAB staining. {{ $ctrl.currentElement.advancedVerification.fullName }} 验证信息 View more
          已发表图片由___提供 benchsci-logo
          PMID: {{$ctrl.currentElement.benchSciPubmedId}}
          查看产品

          {{$ctrl.videoDesc}}

          {{$ctrl.videoLongDesc}}

          Phospho-CYLD (Ser418) Antibody in Immunohistochemistry (Paraffin) (IHC (P))
          Phospho-CYLD (Ser418) Antibody in Western Blot (WB)
          Phospho-CYLD (Ser418) Antibody in ELISA (ELISA)
          Phospho-CYLD (Ser418) Polyclonal Antibody

          产品信息

          BS-3080R

          应用
          建议稀释比
          已发表文章

          免疫印迹 (WB)

          1:200
          -

          免疫组化(石蜡) (IHC (P))

          1:400
          -

          酶联免疫吸附实验 (ELISA)

          1:5,000-1:10,000
          -
          产品规格

          种属反应

          Human, Mouse, Rat

          宿主/亚型

          Rabbit / IgG

          分类

          Polyclonal

          类型

          Antibody

          抗原

          KLH conjugated synthetic phosphopeptide derived from human CYLD around the phosphorylation site of Ser418.
          3D表位/免疫原

          偶联物

          Unconjugated Unconjugated Unconjugated

          形式

          Liquid

          浓度

          1 mg/mL

          规格

          100 µg

          纯化类型

          Protein A

          保存液

          0.01M TBS, pH 7.4, with 1% BSA, 50% glycerol

          内含物

          0.02% ProClin 300

          保存条件

          -20°C

          运输条件

          Ambient (domestic); Wet ice (international)

          靶标信息

          CYLD is a 956 aa, cytoplasmic, deubiquitinating enzyme belonging to the ubiquitin carboxy-terminal hydrolases (UCH) family of proteins with three cytoskeletal-associated protein-glycine-conserved (CAP-GLY) domains, a proline rich region, a SH3 binding domain and a sequence homology to catalytic domain of UCH. CYLD is identified as a tumor suppressor protein affecting the JNK signaling pathway. CYLD is a negative regulator of TRAF2 and NF-kappa-B signaling pathway and is also known to have receptor-dependent role in regulating the I-kappa-B kinase pathway. It also has a deubiquitinating activity that is directed towards non-Lys-48-linked polyubiquitin chains and TRAP1 is a novel substrate for deubiquitination. Mutated CYLD is known to be associated with cylindromatosis, multiple familial trichoepithelioma, and Brooke-Spiegler syndrome.

          仅用于科研。不用于诊断过程。未经明确授权不得转售。

          篇参考文献 (0)

          您是否在文献中引用过该产品?请点击下方按钮邮件告知我们。
          引用该产品

          生物信息学

          蛋白别名: cyld; cylindromatosis (turban tumor syndrome); Deubiquitinating enzyme CYLD; FLJ20180; FLJ31664; FLJ78684; probable ubiquitin carboxyl-terminal hydrolase CYLD; retinitis pigmentosa 1 homolog; Ubiquitin carboxyl-terminal hydrolase CYLD; ubiquitin specific peptidase like 2; Ubiquitin thioesterase CYLD; ubiquitin thiolesterase CYLD; Ubiquitin-specific-processing protease CYLD; unnamed protein product

          查看更多 收起

          基因别名: 2010013M14Rik; 2900009M21Rik; BRSS; C130039D01Rik; CDMT; CYLD; CYLD1; CYLDI; EAC; FTDALS8; HSPC057; KIAA0849; LRRGT00003; MFT; MFT1; mKIAA0849; Rp1; Rp1h; SBS; TEM; USPL2

          查看更多 收起

          UniProt ID: (Human) Q9NQC7, (Rat) Q66H62, (Mouse) Q80TQ2

          查看更多 收起

          Entrez Gene ID: (Human) 1540, (Rat) 312937, (Mouse) 74256

          查看更多 收起

          功能
          thiol-dependent ubiquitin-specific protease activity protein binding peptidase activity cysteine-type peptidase activity zinc ion binding hydrolase activity protein kinase binding metal ion binding Lys63-specific deubiquitinase activity ubiquitinyl hydrolase activity, acting on linear ubiquitin proline-rich region binding Lys48-specific deubiquitinase activity molecular_function structural constituent of ribosome thiol-dependent ubiquitinyl hydrolase activity ribosomal protein
          参与通路
          immune system process proteolysis I-kappaB kinase/NF-kappaB signaling regulation of mitotic cell cycle regulation of tumor necrosis factor-mediated signaling pathway Wnt signaling pathway protein deubiquitination negative regulation of NF-kappaB transcription factor activity negative regulation of type I interferon production nucleotide-binding domain, leucine rich repeat containing receptor signaling pathway defense response to bacterium positive regulation of I-kappaB kinase/NF-kappaB signaling negative regulation of I-kappaB kinase/NF-kappaB signaling CD4-positive or CD8-positive, alpha-beta T cell lineage commitment innate immune response regulation of B cell differentiation positive regulation of T cell differentiation negative regulation of JNK cascade homeostasis of number of cells regulation of inflammatory response negative regulation of inflammatory response positive regulation of T cell receptor signaling pathway regulation of necroptotic process necroptotic process regulation of microtubule cytoskeleton organization protein K63-linked deubiquitination negative regulation of canonical Wnt signaling pathway ripoptosome assembly involved in necroptotic process negative regulation of NIK/NF-kappaB signaling regulation of cilium assembly negative regulation of p38MAPK cascade positive regulation of cellular protein localization protein linear deubiquitination negative regulation of interleukin-18-mediated signaling pathway positive regulation of extrinsic apoptotic signaling pathway regulation of intrinsic apoptotic signaling pathway cytoplasmic translation ubiquitin-dependent protein catabolic process biological_process negative regulation of NF-kappaB import into nucleus negative regulation of T cell differentiation
          It has to be done as per old AB suggested Products section.

          Disclaimer

          Close

          Clicking the images or links will redirect you to a website hosted by BenchSci that provides third-party scientific content. Neither the content nor the BenchSci technology and processes for selection have been evaluated by us; we are providing them as-is and without warranty of any kind, including for use or application of the Thermo Fisher Scientific products presented.

          guarantee_icon

          性能保障

          只要您发现Invitrogen抗体在实验中的表现与网站或说明书的所述内容不符,您即可享受免费退换货服务。*

          了解更多
          help_icon

          随时为您服务

          获取常见问题的专家解答,或者直接联系我们的技术专家,咨询应用、设备、常规产品使用问题。

          联系技术支持
          订购 Plus Icon Minus Icon
          • 订单状态查询
          • 订单支持
          • 货号直购
          • 现货供应中心
          • 电子采购
          支持 Plus Icon Minus Icon
          • 帮助&支持
          • 联系我们 - 400 820 8982
          • 技术支持中心
          • 查找文件&证书
          • 报告网站问题
          资源 Plus Icon Minus Icon
          • 学习中心
          • 促销
          • 活动&研讨会
          • 社交媒体
          关于赛默飞 Plus Icon Minus Icon
          • 关于我们
          • 招聘 招聘
          • 投资者关系 投资者关系
          • 新闻 新闻
          • 社会责任 社会责任
          • 商标
          • 政策和通知
          品牌 Plus Icon Minus Icon
          • Thermo Scientific
          • Applied Biosystems
          • Invitrogen
          • Gibco
          • Ion Torrent
          • Unity Lab Services
          • Patheon
          • PPD
          • 服务条款
          • 隐私政策
          • 定价和运输保险政策
          © 2006-2026 Thermo Fisher Scientific Inc. All rights reserved. All trademarks are the property of Thermo Fisher Scientific and its subsidiaries unless otherwise specified.
          China flag icon
          China
          本网站销售的所有产品均不得用于人类或动物之临床诊断或治疗,仅可用于工业或者科研等非医疗目的。
             电子营业执照 | 经营证照公示 | ICP备案号:沪ICP备11003924号 | 沪公网安备 31011502006935号

          Your items have has been added!


          Host server : magellan-search-green-6479c7f679-sz4vp:80/100.66.76.236:80.
          git-commit: b70c0dceb888abc3b0dcebb5bc3a5b8753e7e816
          git-url: https://github.com/thermofisher/magellan-search
          git-branch: release/2.50.0-Offline