Hamburger Menu Button
Thermo Fisher Scientific Logo
登录
没有账号?建立账号 注册
  • 产品
    • 抗体
    • 引物合成
    • GeneArt Gene Synthesis Instant Designer
    • TaqMan Assay and Array Search
    • PCR 设备和耗材
    • 色谱柱和纯化柱
    • 实验室离心机
    • 分子生物学试剂和试剂盒
    • 实验室塑料耗材及用品
    • 查看所有产品分类
  • 应用和技术
    • 色谱
    • 细胞转染和培养
    • 实时荧光定量PCR
    • 质谱
    • 实验室塑料耗材及用品
    • 电子显微镜
    • 蛋白质生物学
    • PCR
    • RNAi
    • 环境
    • 查看所有应用和技术
  • 服务
    • 定制服务
    • 企业级实验室信息化服务
    • 企业服务
    • 金融&租赁服务
    • 仪器服务
    • OEM和商业供应
    • 培训服务
    • 360° CDMO 和 CRO 服务
    • CDMO 服务
    • 临床试验 CRO 服务
    • 查看所有帮助和支持
  • 帮助和支持
    • 学习中心
    • 联系我们
    • 更改国家或地区
    • 查看所有帮助和支持
  • 热门产品
    • TaqMan Real-Time PCR Assays
      TaqMan 实时荧光定量 PCR 试剂盒
    • Antibodies
      抗体
    • Oligos, Primers & Probes
      寡核苷酸、引物、探针
    • GeneArt Gene Synthesis
      GeneArt 基因合成
    • Cell Culture Plastics
      细胞培养耗材
  • 联系我们
  • 货号直购
  • 订单查询
  • 查找文件&证书
Thermo Fisher Scientific Logo

Search

搜索全部或下列指定分类
Search button
          • 联系我们
          • 货号直购
          • 登录
            登录
            没有账号?建立账号 注册
            • 我的账号
            • 订单
            • 账单及发票查询
            • 定制产品及项目

          Disclaimer

          Clicking the images or links will redirect you to a website hosted by BenchSci that provides third-party scientific content. Neither the content nor the BenchSci technology and processes for selection have been evaluated by us; we are providing them as-is and without warranty of any kind, including for use or application of the Thermo Fisher Scientific products presented.

          • Primary Antibodies ›
          • CaMKII alpha Antibodies

          Bioss

          Phospho-CaMK2 (Thr287) Polyclonal Antibody

          查看其他36个CaMKII alpha抗体

          {{$productOrderCtrl.translations['antibody.pdp.commerceCard.promotion.promotions']}}

          {{$productOrderCtrl.translations['antibody.pdp.commerceCard.promotion.viewpromo']}}

          {{$productOrderCtrl.translations['antibody.pdp.commerceCard.promotion.promocode']}}: {{promo.promoCode}} {{promo.promoTitle}} {{promo.promoDescription}}. {{$productOrderCtrl.translations['antibody.pdp.commerceCard.promotion.learnmore']}}

          说明书
          证书
          实验方案
          问题与答案
          技术支持
          说明书
          证书
          实验方案
          问题与答案
          技术支持
          说明书
          证书
          实验方案
          问题与答案
          技术支持

          Cite Phospho-CaMK2 (Thr287) Polyclonal Antibody

          • 抗体检测数据 (3)
          Phospho-CaMK2 (Thr287) Antibody in Immunohistochemistry (Paraffin) (IHC (P))
          Group 53 Created with Sketch.
          Phospho-CaMK2 (Thr287) Antibody in Immunohistochemistry (Paraffin) (IHC (P))
          Group 53 Created with Sketch.

          图: 1 / 3

          {{ $ctrl.currentElement.advancedVerification.fullName }}
          {{ $ctrl.currentElement.advancedVerification.text }}

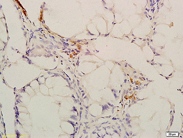
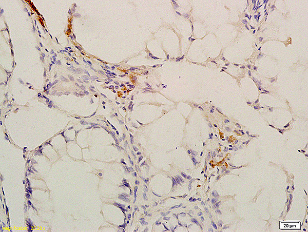
          Phospho-CaMK2 (Thr287) Antibody (BS-1647R) in IHC (P)

          Formalin-fixed and paraffin embedded human colon carcinoma labeled with Anti-Phospho-CaMKII (Thr286) Polyclonal Antibody, Unconjugated (bs-1647R) at 1:200 followed by conjugation to the secondary antibody and DAB staining. {{ $ctrl.currentElement.advancedVerification.fullName }} 验证信息 View more
          已发表图片由___提供 benchsci-logo
          PMID: {{$ctrl.currentElement.benchSciPubmedId}}
          查看产品

          {{$ctrl.videoDesc}}

          {{$ctrl.videoLongDesc}}

          Phospho-CaMK2 (Thr287) Antibody in Immunohistochemistry (Paraffin) (IHC (P))
          Phospho-CaMK2 (Thr287) Antibody in Immunohistochemistry (Paraffin) (IHC (P))
          Phospho-CaMK2 (Thr287) Antibody in Western Blot (WB)
          Phospho-CaMK2 (Thr287) Polyclonal Antibody

          产品信息

          BS-1647R

          应用
          建议稀释比
          已发表文章

          免疫印迹 (WB)

          1:200
          -

          免疫组化(石蜡) (IHC (P))

          1:200
          -

          酶联免疫吸附实验 (ELISA)

          1:500-1:1,000
          -
          产品规格

          种属反应

          Human, Mouse, Rat

          宿主/亚型

          Rabbit / IgG

          分类

          Polyclonal

          类型

          Antibody

          抗原

          KLH conjugated synthetic phosphopeptide derived from mouse CaMK2 alpha around the phosphorylation site of Thr287.
          查看免疫原

          偶联物

          Unconjugated Unconjugated Unconjugated

          形式

          Liquid

          浓度

          1 mg/mL

          纯化类型

          Protein A

          保存液

          0.01M TBS, pH 7.4, with 50% glycerol, 1% BSA

          内含物

          0.02% ProClin 300

          保存条件

          -20°C

          运输条件

          Ambient (domestic); Wet ice (international)

          靶标信息

          CAMK2A (CaMKII alpha) is a serine/threonine kinase that regulates a number of cellular functions including neuronal processes, gene expression, carbohydrate metabolism, cytoskeletal function, and calcium homeostatsis. Autophosphorylation of threonine 286 in the presence of Ca2+ and calmodulin activates CAMK2A with the ability to switch from calmodulin-dependent to a calmodulin independent activity. CaMKII is an ubiquitously expressed serine/threonine protein kinase that is activated by Ca2+/calmodulin (CaM) binding and autophosphorylation and has been implicated in regulation of the cell cycle and transcription. It is involved in dendritic spine and synapse formation, neuronal plasticity and regulation of sarcoplasmic reticulum Ca2+ transport in skeletal muscle. In neurons, plays an essential structural role in the reorganization of the actin cytoskeleton during plasticity by binding and bundling actin filaments in a kinase-independent manner.

          仅用于科研。不用于诊断过程。未经明确授权不得转售。

          篇参考文献 (0)

          您是否在文献中引用过该产品?请点击下方按钮邮件告知我们。
          引用该产品

          生物信息学

          蛋白别名: alpha CaM kinase II; alpha-CaMKII; Ca2+/calmodulin-dependent protein kinase II alpha; Calci; calcium/calmodulin-dependent protein kinase (CaM kinase) II alpha; calcium/calmodulin-dependent protein kinase II alpha subunit; calcium/calmodulin-dependent protein kinase II alpha-B subunit; calcium/calmodulin-dependent protein kinase type II alpha chain; Calcium/calmodulin-dependent protein kinase type II subunit alpha; CaM kinase II alpha subunit; CaM kinase II subunit alpha; CaM-kinase II alpha chain; CaMK II; CaMK-II alpha subunit; caMK-II subunit alpha; CaMKIINalpha; EC 2.7.11.17; OTTHUMP00000165787; OTTHUMP00000165788; Phospho-CaMKI

          查看更多 收起

          基因别名: CAMK2A; CAMKA; CaMKII; KIAA0968; mKIAA0968; PK2CDD; PKCCD; R74975

          查看更多 收起

          UniProt ID: (Human) Q9UQM7, (Mouse) P11798, (Rat) P11275

          查看更多 收起

          Entrez Gene ID: (Human) 815, (Mouse) 12322, (Rat) 25400

          查看更多 收起

          功能
          protein serine/threonine kinase activity calmodulin-dependent protein kinase activity Ras guanyl-nucleotide exchange factor activity protein binding calmodulin binding ATP binding kinase activity glutamate receptor binding protein homodimerization activity nucleotide binding protein kinase activity transferase activity transferase activity, transferring phosphorus-containing groups GTPase activating protein binding non-receptor serine/threonine protein kinase
          参与通路
          G1/S transition of mitotic cell cycle MAPK cascade response to ischemia protein phosphorylation calcium ion transport Wnt signaling pathway, calcium modulating pathway positive regulation of cardiac muscle cell apoptotic process peptidyl-serine phosphorylation angiotensin-activated signaling pathway positive regulation of GTPase activity protein autophosphorylation regulation of neurotransmitter secretion regulation of neuronal synaptic plasticity positive regulation of NF-kappaB transcription factor activity positive regulation of calcium ion transport interferon-gamma-mediated signaling pathway regulation of cellular response to heat regulation of mitochondrial membrane permeability involved in apoptotic process phosphorylation ionotropic glutamate receptor signaling pathway
          It has to be done as per old AB suggested Products section.
          guarantee_icon

          性能保障

          只要您发现Invitrogen抗体在实验中的表现与网站或说明书的所述内容不符,您即可享受免费退换货服务。*

          了解更多
          help_icon

          随时为您服务

          获取常见问题的专家解答,或者直接联系我们的技术专家,咨询应用、设备、常规产品使用问题。

          联系技术支持
          订购 Plus Icon Minus Icon
          • 订单状态查询
          • 订单支持
          • 货号直购
          • 现货供应中心
          • 电子采购
          支持 Plus Icon Minus Icon
          • 帮助&支持
          • 联系我们 - 400 820 8982
          • 技术支持中心
          • 查找文件&证书
          • 报告网站问题
          资源 Plus Icon Minus Icon
          • 学习中心
          • 促销
          • 活动&研讨会
          • 社交媒体
          关于赛默飞 Plus Icon Minus Icon
          • 关于我们
          • 招聘 招聘
          • 投资者关系 投资者关系
          • 新闻 新闻
          • 社会责任 社会责任
          • 商标
          • 政策和通知
          品牌 Plus Icon Minus Icon
          • Thermo Scientific
          • Applied Biosystems
          • Invitrogen
          • Gibco
          • Ion Torrent
          • Patheon
          • PPD
          • 服务条款
          • 隐私政策
          • 定价和运输保险政策
          © 2006-2026 Thermo Fisher Scientific Inc. All rights reserved. All trademarks are the property of Thermo Fisher Scientific and its subsidiaries unless otherwise specified.
          China flag icon
          China
          本网站销售的所有产品均不得用于人类或动物之临床诊断或治疗,仅可用于工业或者科研等非医疗目的。
             电子营业执照 | 经营证照公示 | ICP备案号:沪ICP备11003924号 | 沪公网安备 31011502006935号

          Your items have has been added!


          Host server : magellan-search-blue-55ff9ddd88-lffdw:80/100.66.79.31:80.
          git-commit: d366ff9721d93504b2ac26a183b2b3e3d0e7d9ec
          git-url: https://github.com/thermofisher/magellan-search
          git-branch: release/2.42.0-2026.01.03-1.0