Hamburger Menu Button
Thermo Fisher Scientific Logo
登录
没有账号?建立账号 注册
  • 产品
    • 抗体
    • 引物合成
    • GeneArt Gene Synthesis Instant Designer
    • TaqMan Assay and Array Search
    • PCR 设备和耗材
    • 色谱柱和纯化柱
    • 实验室离心机
    • 分子生物学试剂和试剂盒
    • 实验室塑料耗材及用品
    • 查看所有产品分类
  • 应用和技术
    • 色谱
    • 细胞转染和培养
    • 实时荧光定量PCR
    • 质谱
    • 实验室塑料耗材及用品
    • 电子显微镜
    • 蛋白质生物学
    • PCR
    • RNAi
    • 环境
    • 查看所有应用和技术
  • 服务
    • 定制服务
    • 企业级实验室信息化服务
    • 企业服务
    • 金融&租赁服务
    • 仪器服务
    • OEM和商业供应
    • 培训服务
    • 360° CDMO 和 CRO 服务
    • CDMO 服务
    • 临床试验 CRO 服务
    • 查看所有帮助和支持
  • 帮助和支持
    • 学习中心
    • 联系我们
    • 更改国家或地区
    • 查看所有帮助和支持
  • 热门产品
    • TaqMan Real-Time PCR Assays
      TaqMan 实时荧光定量 PCR 试剂盒
    • Antibodies
      抗体
    • Oligos, Primers & Probes
      寡核苷酸、引物、探针
    • GeneArt Gene Synthesis
      GeneArt 基因合成
    • Cell Culture Plastics
      细胞培养耗材
  • 联系我们
  • 货号直购
  • 订单查询
  • 查找文件&证书
Thermo Fisher Scientific Logo

Search

搜索全部或下列指定分类
Search button
          • 联系我们
          • 货号直购
          • 登录
            登录
            没有账号?建立账号 注册
            • 我的账号
            • 订单
            • 账单及发票查询
            • 定制产品及项目

          Disclaimer

          Clicking the images or links will redirect you to a website hosted by BenchSci that provides third-party scientific content. Neither the content nor the BenchSci technology and processes for selection have been evaluated by us; we are providing them as-is and without warranty of any kind, including for use or application of the Thermo Fisher Scientific products presented.

          • Primary Antibodies ›
          • ERK1/2 Antibodies

          Invitrogen

          Phospho-ERK1/ERK2 (Thr202, Tyr204, Thr185, Tyr187) Recombinant Rabbit Monoclonal Antibody (SC58-01)

          高级验证
          查看其他67个ERK1/2抗体

          {{$productOrderCtrl.translations['antibody.pdp.commerceCard.promotion.promotions']}}

          {{$productOrderCtrl.translations['antibody.pdp.commerceCard.promotion.viewpromo']}}

          {{$productOrderCtrl.translations['antibody.pdp.commerceCard.promotion.promocode']}}: {{promo.promoCode}} {{promo.promoTitle}} {{promo.promoDescription}}. {{$productOrderCtrl.translations['antibody.pdp.commerceCard.promotion.learnmore']}}

          说明书
          证书
          实验方案
          问题与答案
          技术支持
          说明书
          证书
          实验方案
          问题与答案
          技术支持
          说明书
          证书
          实验方案
          问题与答案
          技术支持

          Cite Phospho-ERK1/ERK2 (Thr202, Tyr204, Thr185, Tyr187) Recombinant Rabbit Monoclonal Antibody (SC58-01)

          Additional Information:
          {{banner.description}}
          {{$ctrl.isSkuNotesCollapsed ? 'View more' : 'View less'}}
          • 抗体检测数据 (10)
          • 高级验证 (3)
          Phospho-ERK1/ERK2 (Thr202, Tyr204, Thr185, Tyr187) Antibody in Immunocytochemistry (ICC/IF)
          Group 53 Created with Sketch.
          Phospho-ERK1/ERK2 (Thr202, Tyr204, Thr185, Tyr187) Antibody in Immunocytochemistry (ICC/IF)
          Group 53 Created with Sketch.

          图: 1 / 13

          {{ $ctrl.currentElement.advancedVerification.fullName }}
          {{ $ctrl.currentElement.advancedVerification.text }}

          Phospho-ERK1/ERK2 (Thr202, Tyr204, Thr185, Tyr187) Antibody (MA5-55603) in ICC/IF

          Immunofluorescence analysis of Phospho-Erk1 (T202+Y204)+Erk2 (T185+Y187) using NIH/3T3 cells treated with or without 200 nM PMA for 30 minutes. The cells were fixed 4% paraformaldehyde for 20 minutes, permeabilized with 0.1% Triton™ X-100 in PBS for 5 minutes, and blocked with 1% BSA in 10% negative goat serum for 1 hour at room temperature. The cells were labeled with Phospho-ERK1/ERK2 (Thr202, Tyr204, Thr... View More {{ $ctrl.currentElement.advancedVerification.fullName }} 验证信息 View more
          已发表图片由___提供 benchsci-logo
          PMID: {{$ctrl.currentElement.benchSciPubmedId}}
          查看产品

          {{$ctrl.videoDesc}}

          {{$ctrl.videoLongDesc}}

          Phospho-ERK1/ERK2 (Thr202, Tyr204, Thr185, Tyr187) Antibody in Immunocytochemistry (ICC/IF)
          Phospho-ERK1/ERK2 (Thr202, Tyr204, Thr185, Tyr187) Antibody in Immunocytochemistry (ICC/IF)
          Phospho-ERK1/ERK2 (Thr202, Tyr204, Thr185, Tyr187) Antibody in Immunohistochemistry (Paraffin) (IHC (P))
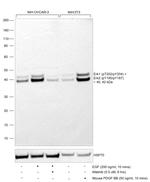
          Phospho-ERK1/ERK2 (Thr202, Tyr204, Thr185, Tyr187) Antibody in Western Blot (WB)
          Phospho-ERK1/ERK2 (Thr202, Tyr204, Thr185, Tyr187) Antibody in Western Blot (WB)
          Phospho-ERK1/ERK2 (Thr202, Tyr204, Thr185, Tyr187) Antibody in Western Blot (WB)
          Phospho-ERK1/ERK2 (Thr202, Tyr204, Thr185, Tyr187) Antibody in Western Blot (WB)
          Phospho-ERK1/ERK2 (Thr202, Tyr204, Thr185, Tyr187) Antibody in Western Blot (WB)
          Phospho-ERK1/ERK2 (Thr202, Tyr204, Thr185, Tyr187) Antibody in Western Blot (WB)
          Phospho-ERK1/ERK2 (Thr202, Tyr204, Thr185, Tyr187) Antibody in Flow Cytometry (Flow)
          Phospho-ERK1/ERK2 (Thr202, Tyr204, Thr185, Tyr187) Antibody
          Phospho-ERK1/ERK2 (Thr202, Tyr204, Thr185, Tyr187) Antibody
          Phospho-ERK1/ERK2 (Thr202, Tyr204, Thr185, Tyr187) Antibody
          Phospho-ERK1/ERK2 (Thr202, Tyr204, Thr185, Tyr187) Recombinant Rabbit Monoclonal Antibody (SC58-01)

          产品信息

          MA5-55603

          应用
          建议稀释比
          已发表文章

          免疫印迹 (WB)

          1:5000-1:10000
          -

          免疫组化(石蜡) (IHC (P))

          1:1,000
          -

          免疫细胞化学 (ICC/IF)

          1:100
          -

          流式细胞分析 (Flow)

          1:1,000
          -

          免疫沉淀 (IP)

          Assay-dependent
          -
          产品规格

          种属反应

          Human, Mouse, Rat

          宿主/亚型

          Rabbit / IgG

          Expression System

          HEK293 cells

          分类

          Recombinant Monoclonal

          类型

          Antibody

          克隆号

          SC58-01

          抗原

          Synthetic peptide within Human ERK1 aa 166-215.
          查看免疫原

          偶联物

          Unconjugated Unconjugated Unconjugated

          形式

          Liquid

          浓度

          1.08 mg/mL

          纯化类型

          Protein A

          保存液

          TBS, pH 7.4, with 0.05% BSA, 40% glycerol

          内含物

          0.05% sodium azide

          保存条件

          Store at 4°C short term. For long term storage, store at -20°C, avoiding freeze/thaw cycles.

          RRID

          AB_3667842

          产品详细信息

          Positive Control: SH-SY5Y cell lysate, SH-SY5Y treated with 100 ng/mL hBeta-NGF for 10 minutes cell lysate, PC-12 treated with 100 ng/mL hBeta-NGF for 10 minutes cell lysate, SK-Br-3 whole cell lysate, NIH/3T3 cell lysate, NIH/3T3 treated with 200 nM PMA for 30 minutes cell lysate, HeLa treated with 200 nM PMA for 30 minutes cell lysate, human thyroid carcinoma tissue.

          Tissue Specificity: Low tissue specificity.

          Subcellular Location: Cytoplasm, Nucleus.

          Sequence Similarities: 100% Mouse/Rat.

          Predicted band size: 41/43 kDa.

          靶标信息

          ERK1 and ERK2 are widely expressed and are involved in the regulation of meiosis, mitosis, and postmitotic functions in differentiated cells. Many different stimuli, including growth factors, cytokines, virus infection, ligands for heterotrimeric guanine nucleotide-binding protein (G protein)-coupled receptors and transforming agents, activate the ERK1 and ERK2 pathways. When growth factors bind to the receptor tyrosine kinase, Ras interacts with Raf, the serine/threonine protein kinase and activates it as well. Once actived, Raf phosphorylates serine residue in 2 further kinases, MEK1/2, which in turn phosphorylates tyrosine/threonine in extracellular-signal regulated kinase (ERK) 1/2. Upon activation, the ERKs either phosphorylate a number of cytoplasmic targets or migrate to the nucleus, where they phosphorylate and activate a number of transcription factors such as c-Fos and Elk-1.

          仅用于科研。不用于诊断过程。未经明确授权不得转售。

          篇参考文献 (0)

          您是否在文献中引用过该产品?请点击下方按钮邮件告知我们。
          引用该产品

          生物信息学

          蛋白别名: ERK-1; ERK-2; erk1 erk2; ERK1b; ERT1; ERT2; Extracellular signal-regulated kinase 1; Extracellular signal-regulated kinase 2; extracellular signal-related kinase 1; extracellular-signal-regulated kinase 2; Insulin-stimulated MAP2 kinase; MAP kinase 1; MAP kinase 2; MAP kinase 3; MAP kinase isoform p42; MAP kinase isoform p44; MAPK 1; MAPK 2; MAPK 3; Microtubule-associated protein 2 kinase; mitogen activated protein kinase 1; mitogen-activated 3; Mitogen-activated protein kinase 1; Mitogen-activated protein kinase 2; Mitogen-activated protein kinase 3; MNK1; p42; p42 MAP Kinase; p42-MAPK; p44 MAP kinase; p44-ERK1; p44-MAPK; pp42/MAP kinase; protein tyrosine kinase ERK2

          查看更多 收起

          基因别名: 9030612K14Rik; AA407128; AU018647; C78273; ERK; ERK-1; ERK-2; ERK1; ERK2; ERT1; ERT2; Esrk1; HS44KDAP; HUMKER1A; Mapk; MAPK1; MAPK2; MAPK3; MNK1; Mtap2k; p38; p40; p41; p41mapk; p42-MAPK; P42MAPK; p44; p44-ERK1; p44-MAPK; P44ERK1; P44MAPK; PRKM1; PRKM2; PRKM3

          查看更多 收起

          UniProt ID: (Human) P28482, (Human) P27361, (Mouse) P63085, (Rat) P63086, (Rat) P21708, (Mouse) Q63844

          查看更多 收起

          Entrez Gene ID: (Human) 5594, (Human) 5595, (Mouse) 26413, (Rat) 116590, (Rat) 50689, (Mouse) 26417

          查看更多 收起

          功能
          phosphotyrosine binding DNA binding protein serine/threonine kinase activity MAP kinase activity protein binding ATP binding transcription factor binding RNA polymerase II carboxy-terminal domain kinase activity kinase activity phosphatase binding mitogen-activated protein kinase kinase kinase binding identical protein binding scaffold protein binding nucleotide binding protein kinase activity transferase activity transferase activity, transferring phosphorus-containing groups protein kinase binding non-receptor serine/threonine protein kinase
          参与通路
          MAPK cascade activation of MAPK activity MAPK import into nucleus transcription, DNA-templated protein phosphorylation apoptotic process chemotaxis response to stress cellular response to DNA damage stimulus cell cycle signal transduction chemical synaptic transmission axon guidance positive regulation of cell proliferation fibroblast growth factor receptor signaling pathway response to toxic substance positive regulation of peptidyl-threonine phosphorylation regulation of phosphatidylinositol 3-kinase signaling viral process peptidyl-serine phosphorylation peptidyl-threonine phosphorylation sensory perception of pain cytosine metabolic process platelet activation positive regulation of cell migration thyroid gland development regulation of protein stability lipopolysaccharide-mediated signaling pathway positive regulation of telomere maintenance via telomerase regulation of stress-activated MAPK cascade mammary gland epithelial cell proliferation Fc-epsilon receptor signaling pathway Fc-gamma receptor signaling pathway involved in phagocytosis ERBB signaling pathway outer ear morphogenesis response to exogenous dsRNA response to estrogen negative regulation of cell differentiation positive regulation of translation positive regulation of transcription, DNA-templated thymus development T cell receptor signaling pathway B cell receptor signaling pathway regulation of sequence-specific DNA binding transcription factor activity regulation of cytoskeleton organization positive regulation of telomerase activity Bergmann glial cell differentiation long-term synaptic potentiation face development JAK-STAT cascade involved in growth hormone signaling pathway lung morphogenesis trachea formation labyrinthine layer blood vessel development cardiac neural crest cell development involved in heart development ERK1 and ERK2 cascade response to epidermal growth factor caveolin-mediated endocytosis regulation of Golgi inheritance cellular response to granulocyte macrophage colony-stimulating factor stimulus regulation of cellular response to heat positive regulation of telomere capping regulation of early endosome to late endosome transport positive regulation of protein phosphorylation transcription initiation from RNA polymerase I promoter protein complex assembly DNA damage induced protein phosphorylation phosphorylation arachidonic acid metabolic process BMP signaling pathway positive regulation of cyclase activity positive regulation of histone phosphorylation positive regulation of histone acetylation peptidyl-tyrosine autophosphorylation positive regulation of transcription from RNA polymerase II promoter cartilage development positive regulation of ERK1 and ERK2 cascade interleukin-1-mediated signaling pathway cellular response to mechanical stimulus positive regulation of xenophagy negative regulation of apolipoprotein binding organ morphogenesis response to lipopolysaccharide intracellular signal transduction cellular response to organic substance
          It has to be done as per old AB suggested Products section.
          guarantee_icon

          性能保障

          只要您发现Invitrogen抗体在实验中的表现与网站或说明书的所述内容不符,您即可享受免费退换货服务。*

          了解更多
          help_icon

          随时为您服务

          获取常见问题的专家解答,或者直接联系我们的技术专家,咨询应用、设备、常规产品使用问题。

          联系技术支持
          订购 Plus Icon Minus Icon
          • 订单状态查询
          • 订单支持
          • 货号直购
          • 现货供应中心
          • 电子采购
          支持 Plus Icon Minus Icon
          • 帮助&支持
          • 联系我们 - 400 820 8982
          • 技术支持中心
          • 查找文件&证书
          • 报告网站问题
          资源 Plus Icon Minus Icon
          • 学习中心
          • 促销
          • 活动&研讨会
          • 社交媒体
          关于赛默飞 Plus Icon Minus Icon
          • 关于我们
          • 招聘 招聘
          • 投资者关系 投资者关系
          • 新闻 新闻
          • 社会责任 社会责任
          • 商标
          • 政策和通知
          品牌 Plus Icon Minus Icon
          • Thermo Scientific
          • Applied Biosystems
          • Invitrogen
          • Gibco
          • Ion Torrent
          • Patheon
          • PPD
          • 服务条款
          • 隐私政策
          • 定价和运输保险政策
          © 2006-2026 Thermo Fisher Scientific Inc. All rights reserved. All trademarks are the property of Thermo Fisher Scientific and its subsidiaries unless otherwise specified.
          China flag icon
          China
          本网站销售的所有产品均不得用于人类或动物之临床诊断或治疗,仅可用于工业或者科研等非医疗目的。
             电子营业执照 | 经营证照公示 | ICP备案号:沪ICP备11003924号 | 沪公网安备 31011502006935号

          Your items have has been added!


          Host server : magellan-search-blue-55ff9ddd88-ctdjb:80/100.66.76.55:80.
          git-commit: d366ff9721d93504b2ac26a183b2b3e3d0e7d9ec
          git-url: https://github.com/thermofisher/magellan-search
          git-branch: release/2.42.0-2026.01.03-1.0