Hamburger Menu Button
Thermo Fisher Scientific Logo
登录
没有账号?建立账号 注册
  • 产品
    • 抗体
    • 引物合成
    • GeneArt Gene Synthesis Instant Designer
    • TaqMan Assay and Array Search
    • PCR 设备和耗材
    • 色谱柱和纯化柱
    • 实验室离心机
    • 分子生物学试剂和试剂盒
    • 实验室塑料耗材及用品
    • 查看所有产品分类
  • 应用和技术
    • 色谱
    • 细胞转染和培养
    • 实时荧光定量PCR
    • 质谱
    • 实验室塑料耗材及用品
    • 电子显微镜
    • 蛋白质生物学
    • PCR
    • RNAi
    • 环境
    • 查看所有应用和技术
  • 服务
    • 定制服务
    • 企业级实验室信息化服务
    • 企业服务
    • 金融&租赁服务
    • 仪器服务
    • OEM和商业供应
    • 培训服务
    • 360° CDMO 和 CRO 服务
    • CDMO 服务
    • 临床试验 CRO 服务
    • 查看所有帮助和支持
  • 帮助和支持
    • 学习中心
    • 联系我们
    • 更改国家或地区
    • 查看所有帮助和支持
  • 热门产品
    • TaqMan Real-Time PCR Assays
      TaqMan 实时荧光定量 PCR 试剂盒
    • Antibodies
      抗体
    • Oligos, Primers & Probes
      寡核苷酸、引物、探针
    • GeneArt Gene Synthesis
      GeneArt 基因合成
    • Cell Culture Plastics
      细胞培养耗材
  • 联系我们
  • 货号直购
  • 订单查询
  • 查找文件&证书
Thermo Fisher Scientific Logo

Search

搜索全部或下列指定分类
Search button
          • 联系我们
          • 货号直购
          • 登录
            登录
            没有账号?建立账号 注册
            • 我的账号
            • 订单
            • 账单及发票查询
            • 定制产品及项目

          Disclaimer

          Clicking the images or links will redirect you to a website hosted by BenchSci that provides third-party scientific content. Neither the content nor the BenchSci technology and processes for selection have been evaluated by us; we are providing them as-is and without warranty of any kind, including for use or application of the Thermo Fisher Scientific products presented.

          • Primary Antibodies ›
          • ERK1 Antibodies

          Bioss

          Phospho-ERK1 (Thr183, Tyr185) Polyclonal Antibody

          查看其他48个ERK1抗体

          {{$productOrderCtrl.translations['antibody.pdp.commerceCard.promotion.promotions']}}

          {{$productOrderCtrl.translations['antibody.pdp.commerceCard.promotion.viewpromo']}}

          {{$productOrderCtrl.translations['antibody.pdp.commerceCard.promotion.promocode']}}: {{promo.promoCode}} {{promo.promoTitle}} {{promo.promoDescription}}. {{$productOrderCtrl.translations['antibody.pdp.commerceCard.promotion.learnmore']}}

          说明书
          实验方案
          问题与答案
          技术支持
          说明书
          实验方案
          问题与答案
          技术支持
          说明书
          实验方案
          问题与答案
          技术支持

          Cite Phospho-ERK1 (Thr183, Tyr185) Polyclonal Antibody

          • 抗体检测数据 (2)
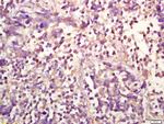
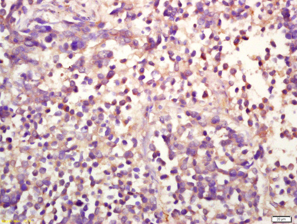
          Phospho-ERK1 (Thr183, Tyr185) Antibody in Immunohistochemistry (Paraffin) (IHC (P))
          Group 53 Created with Sketch.
          Phospho-ERK1 (Thr183, Tyr185) Antibody in Immunohistochemistry (Paraffin) (IHC (P))
          Group 53 Created with Sketch.

          图: 1 / 2

          {{ $ctrl.currentElement.advancedVerification.fullName }}
          {{ $ctrl.currentElement.advancedVerification.text }}

          Phospho-ERK1 (Thr183, Tyr185) Antibody (BS-1646R) in IHC (P)

          Formalin-fixed and paraffin embedded human lung carcinoma labeled with Anti-phospho-ERK1(Thr202/Tyr204)+ERK2(Thr183/Tyr185) Polyclonal Antibody, Unconjugated (bs-1646R) at 1:200 followed by conjugation to the secondary antibody and DAB staining. {{ $ctrl.currentElement.advancedVerification.fullName }} 验证信息 View more
          已发表图片由___提供 benchsci-logo
          PMID: {{$ctrl.currentElement.benchSciPubmedId}}
          查看产品

          {{$ctrl.videoDesc}}

          {{$ctrl.videoLongDesc}}

          Phospho-ERK1 (Thr183, Tyr185) Antibody in Immunohistochemistry (Paraffin) (IHC (P))
          Phospho-ERK1 (Thr183, Tyr185) Antibody in Western Blot (WB)
          Phospho-ERK1 (Thr183, Tyr185) Polyclonal Antibody

          产品信息

          BS-1646R

          应用
          建议稀释比
          已发表文章

          免疫印迹 (WB)

          1:200
          -

          免疫组化(石蜡) (IHC (P))

          1:200
          -

          免疫组化(冰冻) (IHC (F))

          1:100-1:500
          -

          免疫细胞化学 (ICC/IF)

          1:50-1:200
          -

          流式细胞分析 (Flow)

          1:20-1:100
          -

          酶联免疫吸附实验 (ELISA)

          1:500-1:1,000
          -
          产品规格

          种属反应

          Chicken, Human, Mouse, Rat

          宿主/亚型

          Rabbit / IgG

          分类

          Polyclonal

          类型

          Antibody

          抗原

          KLH conjugated synthetic phosphopeptide derived from human ERK2 around the phosphorylation site of Thr183/Tyr185.
          查看免疫原

          偶联物

          Unconjugated Unconjugated Unconjugated

          形式

          Liquid

          浓度

          1 mg/mL

          纯化类型

          Protein A

          保存液

          0.01M TBS, pH 7.4, with 1% BSA, 50% glycerol

          内含物

          0.02% ProClin 300

          保存条件

          -20°C

          运输条件

          Ambient (domestic); Wet ice (international)

          靶标信息

          MAPK3 (ERK1) is a serine/threonine kinase that is an important activator of p90, RSK, MSK, ELK1, and Stat3, and is involved in the MAPK pathway. ERK1 is widely expressed and involved in the regulation of meiosis, mitosis, and post-mitotic functions in differentiated cells. Many different stimuli, including growth factors, cytokines, virus infection, ligands for heterotrimeric guanine nucleotide-binding protein (G protein)-coupled receptors and transforming agents, activate the ERK1 and ERK2 pathways. Functionally, ERK1 is involved with a signaling cascade that regulates various cellular processes such as proliferation, differentiation, and cell cycle progression in response to a variety of extracellular signals. ERK1 is activated by upstream kinases, resulting in its translocation to the nucleus where it phosphorylates nuclear targets. Alternatively spliced transcript variants encoding different protein isoforms of ERK1 have been described.

          仅用于科研。不用于诊断过程。未经明确授权不得转售。

          篇参考文献 (0)

          您是否在文献中引用过该产品?请点击下方按钮邮件告知我们。
          引用该产品

          生物信息学

          蛋白别名: ERK; ERK-1; ERT2; Extracellular signal-regulated kinase 1; extracellular signal-related kinase 1; Insulin-stimulated MAP2 kinase; MAP kinase 1; MAP kinase 3; MAP kinase isoform p44; MAP kinase2; MAPK 1; MAPK 3; MAPK2; Microtubule-associated protein 2 kinase; mitogen-activated 3; mitogen-activated protein kinase 1; Mitogen-activated protein kinase 3; MNK1; p44 MAP kinase; p44-ERK1; p44-MAPK; pp42/MAP kinase

          查看更多 收起

          基因别名: ERK-1; ERK1; ERT2; Esrk1; HS44KDAP; HUMKER1A; MAPK1; MAPK3; MNK1; Mtap2k; p44; p44-ERK1; p44-MAPK; P44ERK1; P44MAPK; PRKM3

          查看更多 收起

          UniProt ID: (Human) P27361, (Rat) P21708, (Mouse) Q63844

          查看更多 收起

          Entrez Gene ID: (Human) 5595, (Rat) 50689, (Mouse) 26417

          查看更多 收起

          功能
          phosphotyrosine binding protein serine/threonine kinase activity MAP kinase activity protein binding ATP binding kinase activity phosphatase binding scaffold protein binding protein kinase activity nucleotide binding transferase activity transferase activity, transferring phosphorus-containing groups non-receptor serine/threonine protein kinase
          参与通路
          MAPK cascade activation of MAPK activity MAPK import into nucleus positive regulation of protein phosphorylation transcription initiation from RNA polymerase I promoter protein complex assembly protein phosphorylation apoptotic process DNA damage induced protein phosphorylation cell cycle axon guidance fibroblast growth factor receptor signaling pathway response to toxic substance regulation of phosphatidylinositol 3-kinase signaling viral process phosphorylation peptidyl-serine phosphorylation sensory perception of pain arachidonic acid metabolic process platelet activation BMP signaling pathway thyroid gland development positive regulation of cyclase activity lipopolysaccharide-mediated signaling pathway positive regulation of telomere maintenance via telomerase regulation of stress-activated MAPK cascade positive regulation of histone phosphorylation positive regulation of histone acetylation peptidyl-tyrosine autophosphorylation Fc-epsilon receptor signaling pathway Fc-gamma receptor signaling pathway involved in phagocytosis outer ear morphogenesis response to exogenous dsRNA positive regulation of translation positive regulation of transcription from RNA polymerase II promoter thymus development regulation of sequence-specific DNA binding transcription factor activity cartilage development regulation of cytoskeleton organization positive regulation of telomerase activity Bergmann glial cell differentiation face development JAK-STAT cascade involved in growth hormone signaling pathway lung morphogenesis trachea formation cardiac neural crest cell development involved in heart development ERK1 and ERK2 cascade positive regulation of ERK1 and ERK2 cascade interleukin-1-mediated signaling pathway response to epidermal growth factor cellular response to mechanical stimulus caveolin-mediated endocytosis regulation of Golgi inheritance regulation of cellular response to heat positive regulation of telomere capping positive regulation of xenophagy regulation of early endosome to late endosome transport negative regulation of apolipoprotein binding transcription, DNA-templated cellular response to DNA damage stimulus organ morphogenesis response to lipopolysaccharide intracellular signal transduction positive regulation of transcription, DNA-templated signal transduction
          It has to be done as per old AB suggested Products section.
          guarantee_icon

          性能保障

          只要您发现Invitrogen抗体在实验中的表现与网站或说明书的所述内容不符,您即可享受免费退换货服务。*

          了解更多
          help_icon

          随时为您服务

          获取常见问题的专家解答,或者直接联系我们的技术专家,咨询应用、设备、常规产品使用问题。

          联系技术支持
          订购 Plus Icon Minus Icon
          • 订单状态查询
          • 订单支持
          • 货号直购
          • 现货供应中心
          • 电子采购
          支持 Plus Icon Minus Icon
          • 帮助&支持
          • 联系我们 - 400 820 8982
          • 技术支持中心
          • 查找文件&证书
          • 报告网站问题
          资源 Plus Icon Minus Icon
          • 学习中心
          • 促销
          • 活动&研讨会
          • 社交媒体
          关于赛默飞 Plus Icon Minus Icon
          • 关于我们
          • 招聘 招聘
          • 投资者关系 投资者关系
          • 新闻 新闻
          • 社会责任 社会责任
          • 商标
          • 政策和通知
          品牌 Plus Icon Minus Icon
          • Thermo Scientific
          • Applied Biosystems
          • Invitrogen
          • Gibco
          • Ion Torrent
          • Patheon
          • PPD
          • 服务条款
          • 隐私政策
          • 定价和运输保险政策
          © 2006-2026 Thermo Fisher Scientific Inc. All rights reserved. All trademarks are the property of Thermo Fisher Scientific and its subsidiaries unless otherwise specified.
          China flag icon
          China
          本网站销售的所有产品均不得用于人类或动物之临床诊断或治疗,仅可用于工业或者科研等非医疗目的。
             电子营业执照 | 经营证照公示 | ICP备案号:沪ICP备11003924号 | 沪公网安备 31011502006935号

          Your items have has been added!


          Host server : magellan-search-green-55658555d6-qm6d9:80/100.66.79.83:80.
          git-commit: ec8e7df5f8fec8d765bd419205f1b5046a016d37
          git-url: https://github.com/thermofisher/magellan-search
          git-branch: release/2.41.0-Offline