Hamburger Menu Button
Thermo Fisher Scientific Logo
登录
没有账号?建立账号 注册
  • 产品
    • 抗体
    • 引物合成
    • GeneArt Gene Synthesis Instant Designer
    • TaqMan Assay and Array Search
    • PCR 设备和耗材
    • 色谱柱和纯化柱
    • 实验室离心机
    • 分子生物学试剂和试剂盒
    • 实验室塑料耗材及用品
    • 查看所有产品分类
  • 应用和技术
    • 色谱
    • 细胞转染和培养
    • 实时荧光定量PCR
    • 质谱
    • 实验室塑料耗材及用品
    • 电子显微镜
    • 蛋白质生物学
    • PCR
    • RNAi
    • 环境
    • 查看所有应用和技术
  • 服务
    • 定制服务
    • 企业级实验室信息化服务
    • 金融&租赁服务
    • 仪器服务
    • OEM和商业供应
    • 培训服务
    • 360° CDMO 和 CRO 服务
    • CDMO 服务
    • 临床试验 CRO 服务
    • Unity Lab Services
    • 查看所有帮助和支持
  • 帮助和支持
    • 学习中心
    • 联系我们
    • 更改国家或地区
    • 查看所有帮助和支持
  • 热门产品
    • TaqMan Real-Time PCR Assays
      TaqMan 实时荧光定量 PCR 试剂盒
    • Antibodies
      抗体
    • Oligos, Primers & Probes
      寡核苷酸、引物、探针
    • GeneArt Gene Synthesis
      GeneArt 基因合成
    • Cell Culture Plastics
      细胞培养耗材
  • Who We Serve
    • 抗体治疗解决方案
    • 细胞与基因治疗解决方案
    • 学术科研
    • 工业与应用
  • 联系我们
  • 货号直购
  • 订单查询
  • 查找文件&证书
Thermo Fisher Scientific Logo

Search

搜索全部或下列指定分类
Search button
          • 联系我们
          • 货号直购
          • 登录
            登录
            没有账号?建立账号 注册
            • 我的账号
            • 订单
            • 会员中心
            • 账单及发票查询
            • 定制产品及项目
          • Primary Antibodies ›
          • ERK1 Antibodies

          Invitrogen

          Phospho-ERK1 (Thr202, Tyr205) Polyclonal Antibody

          查看其他45个ERK1抗体

          {{$productOrderCtrl.translations['antibody.pdp.commerceCard.promotion.promotions']}}

          {{$productOrderCtrl.translations['antibody.pdp.commerceCard.promotion.viewpromo']}}

          {{$productOrderCtrl.translations['antibody.pdp.commerceCard.promotion.promocode']}}: {{promo.promoCode}} {{promo.promoTitle}} {{promo.promoDescription}}. {{$productOrderCtrl.translations['antibody.pdp.commerceCard.promotion.learnmore']}}

          说明书
          证书
          实验方案
          问题与答案
          技术支持
          说明书
          证书
          实验方案
          问题与答案
          技术支持
          说明书
          证书
          实验方案
          问题与答案
          技术支持

          Cite Phospho-ERK1 (Thr202, Tyr205) Polyclonal Antibody

          Additional Information:
          {{banner.description}}
          {{$ctrl.isSkuNotesCollapsed ? 'View more' : 'View less'}}
          • 抗体检测数据 (3)
          Phospho-ERK1 (Thr202, Tyr205) Antibody in Immunocytochemistry (ICC/IF)
          Group 53 Created with Sketch.
          Phospho-ERK1 (Thr202, Tyr205) Antibody in Immunocytochemistry (ICC/IF)
          Group 53 Created with Sketch.

          图: 1 / 3

          {{ $ctrl.currentElement.advancedVerification.fullName }}
          {{ $ctrl.currentElement.advancedVerification.text }}

          Phospho-ERK1 (Thr202, Tyr205) Antibody (PA5-117186) in ICC/IF

          Immunofluorescence analysis of Phospho-ERK1 (Thr202, Tyr205) in methanol-fixed HeLa cells showing cytoplasmic and nuclear staining. Samples were incubated with Phospho-ERK1 (Thr202, Tyr205) Polyclonal antibody (Product # PA5-117186). {{ $ctrl.currentElement.advancedVerification.fullName }} 验证信息 View more
          已发表图片由___提供 benchsci-logo
          PMID: {{$ctrl.currentElement.benchSciPubmedId}}
          查看产品

          {{$ctrl.videoDesc}}

          {{$ctrl.videoLongDesc}}

          Phospho-ERK1 (Thr202, Tyr205) Antibody in Immunocytochemistry (ICC/IF)
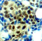
          Phospho-ERK1 (Thr202, Tyr205) Antibody in Immunohistochemistry (Paraffin) (IHC (P))
          Phospho-ERK1 (Thr202, Tyr205) Antibody in Western Blot (WB)
          Phospho-ERK1 (Thr202, Tyr205) Polyclonal Antibody

          产品信息

          PA5-117186

          应用
          建议稀释比
          已发表文章

          免疫印迹 (WB)

          1:500-1:1,000
          -

          免疫组化(石蜡) (IHC (P))

          1:50-1:100
          -

          免疫细胞化学 (ICC/IF)

          1:20-1:100
          -

          酶联免疫吸附实验 (ELISA)

          1 µg/mL
          -
          产品规格

          种属反应

          Human, Mouse, Rat

          宿主/亚型

          Rabbit / IgG

          分类

          Polyclonal

          类型

          Antibody

          抗原

          A synthetic phosphorylated peptide around T202 of human ERK1/ERK2 (NP_0027372)
          3D表位/免疫原

          偶联物

          Unconjugated Unconjugated Unconjugated

          形式

          Liquid

          浓度

          0.71 mg/mL

          规格

          71 µg

          纯化类型

          Affinity chromatography

          保存液

          PBS, pH 7.3, with 50% glycerol

          内含物

          0.02% sodium azide

          保存条件

          -20°C, Avoid Freeze/Thaw Cycles

          运输条件

          Ambient (domestic); Wet ice (international)

          RRID

          AB_2901816

          产品详细信息

          Positive Samples: Jurkat

          Immunogen sequence: FLTEY

          靶标信息

          MAPK3 (ERK1) is a serine/threonine kinase that is an important activator of p90, RSK, MSK, ELK1, and Stat3, and is involved in the MAPK pathway. ERK1 is widely expressed and involved in the regulation of meiosis, mitosis, and post-mitotic functions in differentiated cells. Many different stimuli, including growth factors, cytokines, virus infection, ligands for heterotrimeric guanine nucleotide-binding protein (G protein)-coupled receptors and transforming agents, activate the ERK1 and ERK2 pathways. Functionally, ERK1 is involved with a signaling cascade that regulates various cellular processes such as proliferation, differentiation, and cell cycle progression in response to a variety of extracellular signals. ERK1 is activated by upstream kinases, resulting in its translocation to the nucleus where it phosphorylates nuclear targets. Alternatively spliced transcript variants encoding different protein isoforms of ERK1 have been described.

          仅用于科研。不用于诊断过程。未经明确授权不得转售。

          篇参考文献 (0)

          您是否在文献中引用过该产品?请点击下方按钮邮件告知我们。
          引用该产品

          生物信息学

          蛋白别名: ERK; ERK-1; Erk1; cancer susceptibility protein; ERK1b; ERK1c; ERT2; Extracellular signal-regulated kinase 1; extracellular signal-related kinase 1; Insulin-stimulated MAP2 kinase; MAP kinase 1; MAP kinase 3; MAP kinase isoform p44; MAP kinase2; MAPK 1; MAPK 3; MAPK2; Microtubule-associated protein 2 kinase; mitogen-activated 3; mitogen-activated protein kinase 1; Mitogen-activated protein kinase 3; MNK1; p44 MAP kinase; p44-ERK1; p44-MAPK; pp42/MAP kinase; unnamed protein product

          查看更多 收起

          基因别名: ERK-1; ERK1; ERT2; Esrk1; HS44KDAP; HUMKER1A; MAPK1; MAPK3; MNK1; Mtap2k; p44; p44-ERK1; p44-MAPK; P44ERK1; P44MAPK; PRKM3

          查看更多 收起

          UniProt ID: (Human) P27361, (Rat) P21708, (Mouse) Q63844

          查看更多 收起

          Entrez Gene ID: (Human) 5595, (Rat) 50689, (Mouse) 26417

          查看更多 收起

          功能
          nucleotide binding phosphotyrosine binding protein kinase activity protein serine/threonine kinase activity MAP kinase activity protein binding ATP binding kinase activity transferase activity phosphatase binding identical protein binding protein serine kinase activity DNA-binding transcription factor binding scaffold protein binding transferase activity, transferring phosphorus-containing groups non-receptor serine/threonine protein kinase
          参与通路
          autophagosome assembly MAPK cascade negative regulation of T cell mediated immune response to tumor cell transcription, DNA-templated protein phosphorylation apoptotic process cellular response to DNA damage stimulus cell surface receptor signaling pathway epidermal growth factor receptor signaling pathway insulin receptor signaling pathway organ morphogenesis regulation of gene expression negative regulation of autophagy positive regulation of autophagy positive regulation of macrophage chemotaxis neural crest cell development Schwann cell development phosphorylation sensory perception of pain regulation of ossification BMP signaling pathway regulation of cellular pH thyroid gland development positive regulation of cyclase activity lipopolysaccharide-mediated signaling pathway cellular response to nutrient levels positive regulation of telomere maintenance negative regulation of proteasomal ubiquitin-dependent protein catabolic process response to lipopolysaccharide regulation of stress-activated MAPK cascade cellular response to amino acid starvation intracellular signal transduction peptidyl-tyrosine autophosphorylation ERBB2-ERBB3 signaling pathway TORC1 signaling outer ear morphogenesis myelination glucose homeostasis signal transduction in response to DNA damage response to exogenous dsRNA positive regulation of transcription from RNA polymerase II promoter insulin-like growth factor receptor signaling pathway thymus development modulation of synaptic transmission protein stabilization negative regulation of T cell activation cartilage development stress-activated MAPK cascade regulation of cytoskeleton organization Bergmann glial cell differentiation face development lung morphogenesis trachea formation cardiac neural crest cell development involved in heart development interleukin-34-mediated signaling pathway ERK1 and ERK2 cascade positive regulation of ERK1 and ERK2 cascade interleukin-1-mediated signaling pathway response to epidermal growth factor cellular response to mechanical stimulus cellular response to tumor necrosis factor caveolin-mediated endocytosis regulation of Golgi inheritance negative regulation of cholesterol efflux xenophagy positive regulation of macrophage proliferation positive regulation of neuroinflammatory response negative regulation of TORC1 signaling positive regulation of xenophagy regulation of early endosome to late endosome transport MAPK import into nucleus positive regulation of protein phosphorylation protein complex assembly DNA damage induced protein phosphorylation response to toxic substance peptidyl-serine phosphorylation arachidonic acid metabolic process positive regulation of histone phosphorylation positive regulation of histone acetylation positive regulation of translation positive regulation of transcription, DNA-templated regulation of sequence-specific DNA binding transcription factor activity negative regulation of apolipoprotein binding cell cycle signal transduction
          It has to be done as per old AB suggested Products section.

          Disclaimer

          Close

          Clicking the images or links will redirect you to a website hosted by BenchSci that provides third-party scientific content. Neither the content nor the BenchSci technology and processes for selection have been evaluated by us; we are providing them as-is and without warranty of any kind, including for use or application of the Thermo Fisher Scientific products presented.

          guarantee_icon

          性能保障

          只要您发现Invitrogen抗体在实验中的表现与网站或说明书的所述内容不符,您即可享受免费退换货服务。*

          了解更多
          help_icon

          随时为您服务

          获取常见问题的专家解答,或者直接联系我们的技术专家,咨询应用、设备、常规产品使用问题。

          联系技术支持
          订购 Plus Icon Minus Icon
          • 订单状态查询
          • 订单支持
          • 货号直购
          • 现货供应中心
          • 电子采购
          支持 Plus Icon Minus Icon
          • 帮助&支持
          • 联系我们 - 400 820 8982
          • 技术支持中心
          • 查找文件&证书
          • 报告网站问题
          资源 Plus Icon Minus Icon
          • 学习中心
          • 促销
          • 活动&研讨会
          • 社交媒体
          关于赛默飞 Plus Icon Minus Icon
          • 关于我们
          • 招聘 招聘
          • 投资者关系 投资者关系
          • 新闻 新闻
          • 社会责任 社会责任
          • 商标
          • 政策和通知
          品牌 Plus Icon Minus Icon
          • Thermo Scientific
          • Applied Biosystems
          • Invitrogen
          • Gibco
          • Ion Torrent
          • Unity Lab Services
          • Patheon
          • PPD
          • 服务条款
          • 隐私政策
          • 定价和运输保险政策
          © 2006-2026 Thermo Fisher Scientific Inc. All rights reserved. All trademarks are the property of Thermo Fisher Scientific and its subsidiaries unless otherwise specified.
          China flag icon
          China
          本网站销售的所有产品均不得用于人类或动物之临床诊断或治疗,仅可用于工业或者科研等非医疗目的。
             电子营业执照 | 经营证照公示 | ICP备案号:沪ICP备11003924号 | 沪公网安备 31011502006935号

          Your items have has been added!


          Host server : magellan-search-green-6479c7f679-v472f:80/100.66.78.195:80.
          git-commit: b70c0dceb888abc3b0dcebb5bc3a5b8753e7e816
          git-url: https://github.com/thermofisher/magellan-search
          git-branch: release/2.50.0-Offline