Hamburger Menu Button
Thermo Fisher Scientific Logo
登录
没有账号?建立账号 注册
  • 产品
    • 抗体
    • 引物合成
    • GeneArt Gene Synthesis Instant Designer
    • TaqMan Assay and Array Search
    • PCR 设备和耗材
    • 色谱柱和纯化柱
    • 实验室离心机
    • 分子生物学试剂和试剂盒
    • 实验室塑料耗材及用品
    • 查看所有产品分类
  • 应用和技术
    • 色谱
    • 细胞转染和培养
    • 实时荧光定量PCR
    • 质谱
    • 实验室塑料耗材及用品
    • 电子显微镜
    • 蛋白质生物学
    • PCR
    • RNAi
    • 环境
    • 查看所有应用和技术
  • 服务
    • 定制服务
    • 企业级实验室信息化服务
    • 金融&租赁服务
    • 仪器服务
    • OEM和商业供应
    • 培训服务
    • 360° CDMO 和 CRO 服务
    • CDMO 服务
    • 临床试验 CRO 服务
    • Unity Lab Services
    • 查看所有帮助和支持
  • 帮助和支持
    • 学习中心
    • 联系我们
    • 更改国家或地区
    • 查看所有帮助和支持
  • 热门产品
    • TaqMan Real-Time PCR Assays
      TaqMan 实时荧光定量 PCR 试剂盒
    • Antibodies
      抗体
    • Oligos, Primers & Probes
      寡核苷酸、引物、探针
    • GeneArt Gene Synthesis
      GeneArt 基因合成
    • Cell Culture Plastics
      细胞培养耗材
  • Who We Serve
    • 抗体治疗解决方案
    • 细胞与基因治疗解决方案
    • 学术科研
    • 工业与应用
  • 联系我们
  • 货号直购
  • 订单查询
  • 查找文件&证书
Thermo Fisher Scientific Logo

Search

搜索全部或下列指定分类
Search button
          • 联系我们
          • 货号直购
          • 登录
            登录
            没有账号?建立账号 注册
            • 我的账号
            • 订单
            • 会员中心
            • 账单及发票查询
            • 定制产品及项目
          • Primary Antibodies ›
          • Her-2 (ErbB2) Antibodies

          Invitrogen

          Phospho-ErbB2 (HER-2) (Ser1054) Polyclonal Antibody

          查看其他171个Her-2 (ErbB2)抗体

          {{$productOrderCtrl.translations['antibody.pdp.commerceCard.promotion.promotions']}}

          {{$productOrderCtrl.translations['antibody.pdp.commerceCard.promotion.viewpromo']}}

          {{$productOrderCtrl.translations['antibody.pdp.commerceCard.promotion.promocode']}}: {{promo.promoCode}} {{promo.promoTitle}} {{promo.promoDescription}}. {{$productOrderCtrl.translations['antibody.pdp.commerceCard.promotion.learnmore']}}

          说明书
          证书
          实验方案
          问题与答案
          技术支持
          说明书
          证书
          实验方案
          问题与答案
          技术支持
          说明书
          证书
          实验方案
          问题与答案
          技术支持

          Cite Phospho-ErbB2 (HER-2) (Ser1054) Polyclonal Antibody

          Additional Information:
          {{banner.description}}
          {{$ctrl.isSkuNotesCollapsed ? 'View more' : 'View less'}}
          • 抗体检测数据 (2)
          Phospho-ErbB2 (HER-2) (Ser1054) Antibody in Immunohistochemistry (Paraffin) (IHC (P))
          Group 53 Created with Sketch.
          Phospho-ErbB2 (HER-2) (Ser1054) Antibody in Immunohistochemistry (Paraffin) (IHC (P))
          Group 53 Created with Sketch.

          图: 1 / 2

          {{ $ctrl.currentElement.advancedVerification.fullName }}
          {{ $ctrl.currentElement.advancedVerification.text }}

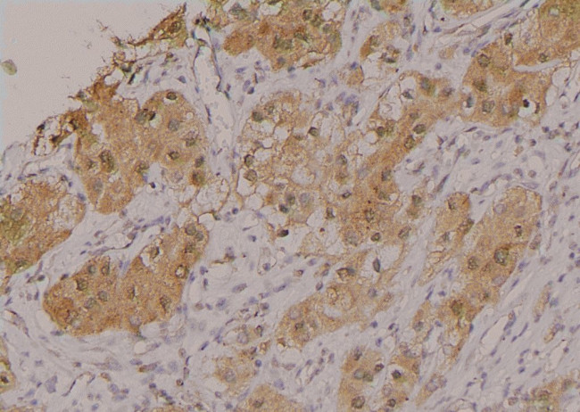
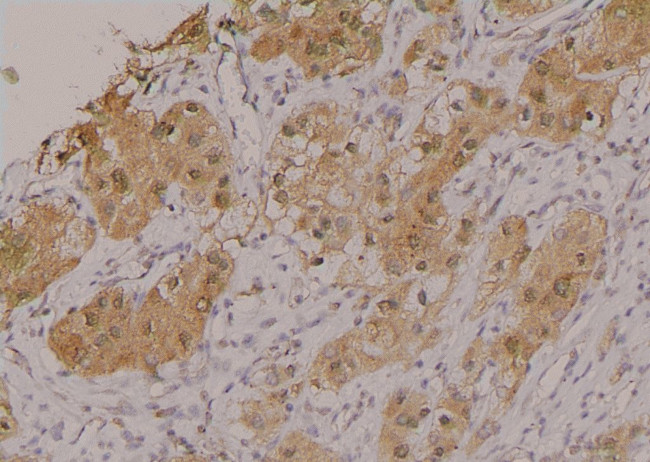
          Phospho-ErbB2 (HER-2) (Ser1054) Antibody (PA5-105452) in IHC (P)

          Immunohistochemistry analysis of paraffin-embedded Phospho-ErbB2 (HER-2) (Ser1054) in human kidney tissue sections. Antigen retrieval was performed using citrate buffer. Samples were blocked with blocking buffer (1.5 hr, 22°C), incubated with Phospho-ErbB2 (HER-2) (Ser1054) polyclonal antibody (Product # PA5-105452) using a dilution of 1:100 (1.5 hr, 22°C), followed by HRP conjugated goat anti-rabbit. {{ $ctrl.currentElement.advancedVerification.fullName }} 验证信息 View more
          已发表图片由___提供 benchsci-logo
          PMID: {{$ctrl.currentElement.benchSciPubmedId}}
          查看产品

          {{$ctrl.videoDesc}}

          {{$ctrl.videoLongDesc}}

          Phospho-ErbB2 (HER-2) (Ser1054) Antibody in Immunohistochemistry (Paraffin) (IHC (P))
          Phospho-ErbB2 (HER-2) (Ser1054) Antibody in Western Blot (WB)
          Phospho-ErbB2 (HER-2) (Ser1054) Polyclonal Antibody

          产品信息

          PA5-105452

          应用
          建议稀释比
          已发表文章

          免疫印迹 (WB)

          1:500-1:2,000
          -

          免疫组化(石蜡) (IHC (P))

          1:50-1:200
          -
          产品规格

          种属反应

          Human, Mouse, Rat

          宿主/亚型

          Rabbit / IgG

          分类

          Polyclonal

          类型

          Antibody

          抗原

          A synthesized peptide derived from human ERBB2(Accession P04626), corresponding to amino acid residues around phosphorylated Ser1054.
          3D表位/免疫原

          偶联物

          Unconjugated Unconjugated Unconjugated

          形式

          Liquid

          浓度

          1 mg/mL

          规格

          100 µg

          纯化类型

          sequential chromatography

          保存液

          PBS, pH 7.4, with 50% glycerol

          内含物

          0.02% sodium azide

          保存条件

          -20°C

          运输条件

          Ambient (domestic); Wet ice (international)

          RRID

          AB_2816880

          产品详细信息

          Antibody detects endogenous levels of HER2/ErbB2 only when phosphorylated at Ser1054.

          靶标信息

          ErbB2 (HER2) is a receptor tyrosine kinase that is overexpressed in some breast tumors. Herceptin, used in treatment of metastatic Her2-positive cancer, is monoclonal antibody targeting this kinase.

          仅用于科研。不用于诊断过程。未经明确授权不得转售。

          篇参考文献 (0)

          您是否在文献中引用过该产品?请点击下方按钮邮件告知我们。
          引用该产品

          生物信息学

          蛋白别名: approximately 68 kDa secreted autoinhibitor glycoprotein; avian erythroblastosis oncogene B 2; Avian erythroblastosis viral (v-erb-B2) oncogene homologue 2 (neuro/glioblastoma derived oncogene homolog); c-erb B2/neu protein; C-erbB-2; CD antigen CD340; CD340; epidermal growth factor receptor-related protein; erb-b2; erbb 2; ErbB2 (pTyr1139); ErbB2 (pY1139); ErbB2 phospho Y1139; her 2; HER2 receptor; HER2/neu receptor; herstatin; human epidermal growth factor receptor 2; metas; Metastatic lymph node gene 19 protein; MLN 19; Neu oncogene; NEU proto-oncogene; neuro/glioblastoma derived oncogene homolog; neuroblastoma/glioblastoma derived oncogene homolog; p185erbB2; p185neu; phospho ErbB2; Proto-oncogene c-ErbB-2; Proto-oncogene Neu; Receptor tyrosine-protein kinase erbB-2; Tyrosine kinase-type cell surface receptor HER2; unnamed protein product; v-erb-b2 avian erythroblastic leukemia viral oncogene homolog 2; v-erb-b2 avian erythroblastic leukemia viral oncoprotein 2; v-erb-b2 erythroblastic leukemia viral oncogene homolog 2, neuro/glioblastoma derived oncogene homolog

          查看更多 收起

          基因别名: c-ERB-2; c-ERB2; c-erbB2; c-neu; CD340; Erbb-2; ERBB2; HER-2; HER-2/neu; HER2; Kiaa3023; mKIAA3023; MLN 19; MLN-19; MLN19; NEU; NGL; p185(erbB2); TKR1; VSCN2

          查看更多 收起

          UniProt ID: (Human) P04626, (Mouse) P70424

          查看更多 收起

          Entrez Gene ID: (Human) 2064, (Mouse) 13866, (Rat) 24337

          查看更多 收起

          功能
          nucleotide binding RNA polymerase I core binding protein kinase activity protein tyrosine kinase activity transmembrane receptor protein tyrosine kinase activity transmembrane signaling receptor activity receptor binding protein binding ATP binding coreceptor activity kinase activity transferase activity growth factor binding receptor tyrosine kinase binding identical protein binding ErbB-3 class receptor binding protein heterodimerization activity glycoprotein binding receptor signaling protein tyrosine kinase activity protein C-terminus binding transferase activity, transferring phosphorus-containing groups protein phosphatase binding ubiquitin protein ligase binding Hsp90 protein binding DNA binding transmembrane signal receptor
          参与通路
          protein phosphorylation signal transduction cell surface receptor signaling pathway enzyme linked receptor protein signaling pathway transmembrane receptor protein tyrosine kinase signaling pathway epidermal growth factor receptor signaling pathway nervous system development peripheral nervous system development heart development neuromuscular junction development motor neuron axon guidance cell proliferation positive regulation of gene expression Schwann cell development peptidyl-tyrosine phosphorylation neuron differentiation positive regulation of cell growth regulation of microtubule-based process immature T cell proliferation in thymus negative regulation of immature T cell proliferation in thymus positive regulation of Rho protein signal transduction intracellular signal transduction ERBB2 signaling pathway ERBB2-ERBB3 signaling pathway ERBB2-EGFR signaling pathway ERBB2-ERBB4 signaling pathway wound healing regulation of cell proliferation myelination negative regulation of apoptotic process positive regulation of MAP kinase activity positive regulation of MAPK cascade protein kinase B signaling positive regulation of translation regulation of angiogenesis positive regulation of cell adhesion positive regulation of transcription from RNA polymerase I promoter oligodendrocyte differentiation positive regulation of epithelial cell proliferation regulation of ERK1 and ERK2 cascade cellular response to growth factor stimulus cellular response to epidermal growth factor stimulus semaphorin-plexin signaling pathway positive regulation of protein targeting to membrane neurotransmitter receptor localization to postsynaptic specialization membrane positive regulation of intracellular signal transduction positive regulation of protein phosphorylation transcription, DNA-templated regulation of transcription, DNA-templated positive regulation of cell proliferation glial cell differentiation phosphatidylinositol 3-kinase signaling positive regulation of phosphatidylinositol 3-kinase signaling phosphorylation positive regulation of GTPase activity estrous cycle positive regulation of transcription from RNA polymerase III promoter positive regulation of Ras protein signal transduction protein autophosphorylation sympathetic nervous system development response to axon injury liver development central nervous system development skeletal muscle tissue development signal transduction by protein phosphorylation response to progesterone response to drug tongue development regulation of cell differentiation mammary gland involution
          It has to be done as per old AB suggested Products section.

          Disclaimer

          Close

          Clicking the images or links will redirect you to a website hosted by BenchSci that provides third-party scientific content. Neither the content nor the BenchSci technology and processes for selection have been evaluated by us; we are providing them as-is and without warranty of any kind, including for use or application of the Thermo Fisher Scientific products presented.

          guarantee_icon

          性能保障

          只要您发现Invitrogen抗体在实验中的表现与网站或说明书的所述内容不符,您即可享受免费退换货服务。*

          了解更多
          help_icon

          随时为您服务

          获取常见问题的专家解答,或者直接联系我们的技术专家,咨询应用、设备、常规产品使用问题。

          联系技术支持
          订购 Plus Icon Minus Icon
          • 订单状态查询
          • 订单支持
          • 货号直购
          • 现货供应中心
          • 电子采购
          支持 Plus Icon Minus Icon
          • 帮助&支持
          • 联系我们 - 400 820 8982
          • 技术支持中心
          • 查找文件&证书
          • 报告网站问题
          资源 Plus Icon Minus Icon
          • 学习中心
          • 促销
          • 活动&研讨会
          • 社交媒体
          关于赛默飞 Plus Icon Minus Icon
          • 关于我们
          • 招聘 招聘
          • 投资者关系 投资者关系
          • 新闻 新闻
          • 社会责任 社会责任
          • 商标
          • 政策和通知
          品牌 Plus Icon Minus Icon
          • Thermo Scientific
          • Applied Biosystems
          • Invitrogen
          • Gibco
          • Ion Torrent
          • Unity Lab Services
          • Patheon
          • PPD
          • 服务条款
          • 隐私政策
          • 定价和运输保险政策
          © 2006-2026 Thermo Fisher Scientific Inc. All rights reserved. All trademarks are the property of Thermo Fisher Scientific and its subsidiaries unless otherwise specified.
          China flag icon
          China
          本网站销售的所有产品均不得用于人类或动物之临床诊断或治疗,仅可用于工业或者科研等非医疗目的。
             电子营业执照 | 经营证照公示 | ICP备案号:沪ICP备11003924号 | 沪公网安备 31011502006935号

          Your items have has been added!


          Host server : magellan-search-green-6479c7f679-sz4vp:80/100.66.76.236:80.
          git-commit: b70c0dceb888abc3b0dcebb5bc3a5b8753e7e816
          git-url: https://github.com/thermofisher/magellan-search
          git-branch: release/2.50.0-Offline