Hamburger Menu Button
Thermo Fisher Scientific Logo
登录
没有账号?建立账号 注册
  • 产品
    • 抗体
    • 引物合成
    • GeneArt Gene Synthesis Instant Designer
    • TaqMan Assay and Array Search
    • PCR 设备和耗材
    • 色谱柱和纯化柱
    • 实验室离心机
    • 分子生物学试剂和试剂盒
    • 实验室塑料耗材及用品
    • 查看所有产品分类
  • 应用和技术
    • 色谱
    • 细胞转染和培养
    • 实时荧光定量PCR
    • 质谱
    • 实验室塑料耗材及用品
    • 电子显微镜
    • 蛋白质生物学
    • PCR
    • RNAi
    • 环境
    • 查看所有应用和技术
  • 服务
    • 定制服务
    • 企业级实验室信息化服务
    • 金融&租赁服务
    • 仪器服务
    • OEM和商业供应
    • 培训服务
    • 360° CDMO 和 CRO 服务
    • CDMO 服务
    • 临床试验 CRO 服务
    • Unity Lab Services
    • 查看所有帮助和支持
  • 帮助和支持
    • 学习中心
    • 联系我们
    • 更改国家或地区
    • 查看所有帮助和支持
  • 热门产品
    • TaqMan Real-Time PCR Assays
      TaqMan 实时荧光定量 PCR 试剂盒
    • Antibodies
      抗体
    • Oligos, Primers & Probes
      寡核苷酸、引物、探针
    • GeneArt Gene Synthesis
      GeneArt 基因合成
    • Cell Culture Plastics
      细胞培养耗材
  • Who We Serve
    • 抗体治疗解决方案
    • 细胞与基因治疗解决方案
    • 学术科研
    • 工业与应用
  • 联系我们
  • 货号直购
  • 订单查询
  • 查找文件&证书
Thermo Fisher Scientific Logo

Search

搜索全部或下列指定分类
Search button
          • 联系我们
          • 货号直购
          • 登录
            登录
            没有账号?建立账号 注册
            • 我的账号
            • 订单
            • 会员中心
            • 账单及发票查询
            • 定制产品及项目
          • Primary Antibodies ›
          • Her-3 (ErbB3) Antibodies

          Invitrogen

          Phospho-ErbB3 (Tyr1289) Monoclonal Antibody (E.350.3)

          查看其他65个Her-3 (ErbB3)抗体

          {{$productOrderCtrl.translations['antibody.pdp.commerceCard.promotion.promotions']}}

          {{$productOrderCtrl.translations['antibody.pdp.commerceCard.promotion.viewpromo']}}

          {{$productOrderCtrl.translations['antibody.pdp.commerceCard.promotion.promocode']}}: {{promo.promoCode}} {{promo.promoTitle}} {{promo.promoDescription}}. {{$productOrderCtrl.translations['antibody.pdp.commerceCard.promotion.learnmore']}}

          说明书
          证书
          实验方案
          问题与答案
          技术支持
          说明书
          证书
          实验方案
          问题与答案
          技术支持
          说明书
          证书
          实验方案
          问题与答案
          技术支持

          Cite Phospho-ErbB3 (Tyr1289) Monoclonal Antibody (E.350.3)

          Additional Information:
          {{banner.description}}
          {{$ctrl.isSkuNotesCollapsed ? 'View more' : 'View less'}}
          • 抗体检测数据 (1)
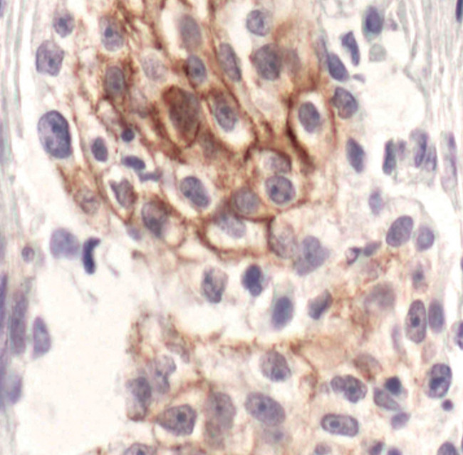
          Phospho-ErbB3 (Tyr1289) Antibody in Immunohistochemistry (Paraffin) (IHC (P))
          Group 53 Created with Sketch.
          Phospho-ErbB3 (Tyr1289) Antibody in Immunohistochemistry (Paraffin) (IHC (P))
          Group 53 Created with Sketch.

          图: 1 / 1

          {{ $ctrl.currentElement.advancedVerification.fullName }}
          {{ $ctrl.currentElement.advancedVerification.text }}

          Phospho-ErbB3 (Tyr1289) Antibody (MA5-15166) in IHC (P)

          Immunohistochemical analysis of Phospho-HER3/ErbB3 pTyr1289 in paraffin-embedded human lung carcinoma using a Phospho-HER3/ErbB3 pTyr1289 monoclonal antibody (Product # MA5-15166). {{ $ctrl.currentElement.advancedVerification.fullName }} 验证信息 View more
          已发表图片由___提供 benchsci-logo
          PMID: {{$ctrl.currentElement.benchSciPubmedId}}
          查看产品

          {{$ctrl.videoDesc}}

          {{$ctrl.videoLongDesc}}

          Phospho-ErbB3 (Tyr1289) Antibody in Immunohistochemistry (Paraffin) (IHC (P))
          Phospho-ErbB3 (Tyr1289) Monoclonal Antibody (E.350.3)

          产品信息

          MA5-15166

          应用
          建议稀释比
          已发表文章

          免疫印迹 (WB)

          1:1,000
          -

          免疫组化(石蜡) (IHC (P))

          1:1,000
          -

          免疫沉淀 (IP)

          1:100
          -
          产品规格

          种属反应

          Human, Mouse

          宿主/亚型

          Rabbit / IgG

          分类

          Monoclonal

          类型

          Antibody

          克隆号

          E.350.3

          抗原

          Synthetic phosphopeptide corresponding to residues surrounding pTyr1289 of human HER3/ErbB3
          3D表位/免疫原

          偶联物

          Unconjugated Unconjugated Unconjugated

          形式

          Liquid

          浓度

          113 µg/mL

          规格

          11.3 µg

          纯化类型

          Affinity chromatography

          保存液

          0.01M HEPES, pH 7.5, with 0.15M NaCl, 100µg/mL BSA, 50% glycerol

          内含物

          <0.02% sodium azide

          保存条件

          -20°C

          运输条件

          Ambient (domestic); Wet ice (international)

          RRID

          AB_10982965

          产品详细信息

          It is not recommended to aliquot this antibody.

          靶标信息

          ErbB3 (c-erbB-3/HER-3) is a member of the type I family of growth factor receptors and binds to ligands in the heregulin family. ErbB3 is over-expressed in a variety of tumors in the prostate, bladder, breast, stomach, pancreas, and colon. Heregulin and EGF stimulate tyrosine phosphorylation of c-erbB-3 to different extents. The ErbB3 gene is located on the long arm of human chromosome 12 (12q13) and is transcribed into a 6. 2kb mRNA which is translated into a 160/180 kDa glycoprotein. The ErbB3 gene encodes a transmembrane receptor tyrosine kinase due to alternative splicing and forms heterodimers with other EGF receptor family members that have kinase activity. Heterodimerization leads to the activation of pathways that lead to cell proliferation or differentiation. Alternate transcriptional splice variants encoding different isoforms of ErbB3 have been characterized. One ErbB3 isoform lacks the intermembrane region, is secreted outside the cell, and acts to modulate the activity of the membrane-bound form. Additional splice variants have also been reported, but they have not been thoroughly characterized.

          仅用于科研。不用于诊断过程。未经明确授权不得转售。

          篇参考文献 (0)

          您是否在文献中引用过该产品?请点击下方按钮邮件告知我们。
          引用该产品

          生物信息学

          蛋白别名: avian erythroblastosis oncogene B 3 receptor; c-erbB-3; C-errB-3; epidermal growth factor receptor precursor; Glial growth factor receptor; HER3 protein precursor; human epidermal growth factor receptor 3; MDA BF 1; MGC88033; p180 ErbB3; p45 sErbB3; p85 sErbB3; Proto-oncogene-like protein c-ErbB-3; receptor tyrosine kinase; Receptor tyrosine-protein kinase erbB-3; Tyrosine kinase-type cell surface receptor HER3; unnamed protein product; v-erb-b2 avian erythroblastic leukemia viral oncogene homolog 3

          查看更多 收起

          基因别名: c-erbB-3; c-erbB3; C76256; ErbB-3; ERBB3; erbB3-S; Erbb3r; FERLK; HER3; LCCS2; MDA-BF-1; p180-ErbB3; p45-sErbB3; p85-sErbB3; VSCN1

          查看更多 收起

          UniProt ID: (Human) P21860, (Mouse) Q61526

          查看更多 收起

          Entrez Gene ID: (Human) 2065, (Mouse) 13867

          查看更多 收起

          功能
          nucleotide binding protein kinase activity protein tyrosine kinase activity transmembrane signaling receptor activity protein binding ATP binding kinase activity transferase activity growth factor binding protein tyrosine kinase activator activity ubiquitin protein ligase binding signaling receptor activity neuregulin receptor activity neuregulin binding identical protein binding ErbB-3 class receptor binding protein heterodimerization activity transmembrane receptor protein tyrosine kinase activity receptor signaling protein tyrosine kinase activity transferase activity, transferring phosphorus-containing groups transmembrane signal receptor
          参与通路
          endocardial cushion development negative regulation of cell adhesion signal transduction transmembrane receptor protein tyrosine kinase signaling pathway epidermal growth factor receptor signaling pathway peripheral nervous system development heart development negative regulation of signal transduction positive regulation of gene expression Schwann cell differentiation Schwann cell development cranial nerve development neuron differentiation ERBB2-ERBB3 signaling pathway wound healing regulation of cell proliferation myelination negative regulation of apoptotic process positive regulation of MAPK cascade protein kinase B signaling negative regulation of neuron apoptotic process positive regulation of epithelial cell proliferation negative regulation of secretion neuron apoptotic process positive regulation of protein kinase B signaling positive regulation of cardiac muscle tissue development positive regulation of calcineurin-NFAT signaling cascade motor neuron apoptotic process extrinsic apoptotic signaling pathway in absence of ligand negative regulation of motor neuron apoptotic process protein phosphorylation phosphatidylinositol 3-kinase signaling phosphorylation positive regulation of glucose import positive regulation of protein tyrosine kinase activity
          It has to be done as per old AB suggested Products section.

          Disclaimer

          Close

          Clicking the images or links will redirect you to a website hosted by BenchSci that provides third-party scientific content. Neither the content nor the BenchSci technology and processes for selection have been evaluated by us; we are providing them as-is and without warranty of any kind, including for use or application of the Thermo Fisher Scientific products presented.

          guarantee_icon

          性能保障

          只要您发现Invitrogen抗体在实验中的表现与网站或说明书的所述内容不符,您即可享受免费退换货服务。*

          了解更多
          help_icon

          随时为您服务

          获取常见问题的专家解答,或者直接联系我们的技术专家,咨询应用、设备、常规产品使用问题。

          联系技术支持
          订购 Plus Icon Minus Icon
          • 订单状态查询
          • 订单支持
          • 货号直购
          • 现货供应中心
          • 电子采购
          支持 Plus Icon Minus Icon
          • 帮助&支持
          • 联系我们 - 400 820 8982
          • 技术支持中心
          • 查找文件&证书
          • 报告网站问题
          资源 Plus Icon Minus Icon
          • 学习中心
          • 促销
          • 活动&研讨会
          • 社交媒体
          关于赛默飞 Plus Icon Minus Icon
          • 关于我们
          • 招聘 招聘
          • 投资者关系 投资者关系
          • 新闻 新闻
          • 社会责任 社会责任
          • 商标
          • 政策和通知
          品牌 Plus Icon Minus Icon
          • Thermo Scientific
          • Applied Biosystems
          • Invitrogen
          • Gibco
          • Ion Torrent
          • Unity Lab Services
          • Patheon
          • PPD
          • 服务条款
          • 隐私政策
          • 定价和运输保险政策
          © 2006-2026 Thermo Fisher Scientific Inc. All rights reserved. All trademarks are the property of Thermo Fisher Scientific and its subsidiaries unless otherwise specified.
          China flag icon
          China
          本网站销售的所有产品均不得用于人类或动物之临床诊断或治疗,仅可用于工业或者科研等非医疗目的。
             电子营业执照 | 经营证照公示 | ICP备案号:沪ICP备11003924号 | 沪公网安备 31011502006935号

          Your items have has been added!


          Host server : magellan-search-green-6479c7f679-2z78h:80/100.66.76.236:80.
          git-commit: b70c0dceb888abc3b0dcebb5bc3a5b8753e7e816
          git-url: https://github.com/thermofisher/magellan-search
          git-branch: release/2.50.0-Offline