Hamburger Menu Button
Thermo Fisher Scientific Logo
登录
没有账号?建立账号 注册
  • 产品
    • 抗体
    • 引物合成
    • GeneArt Gene Synthesis Instant Designer
    • TaqMan Assay and Array Search
    • PCR 设备和耗材
    • 色谱柱和纯化柱
    • 实验室离心机
    • 分子生物学试剂和试剂盒
    • 实验室塑料耗材及用品
    • 查看所有产品分类
  • 应用和技术
    • 色谱
    • 细胞转染和培养
    • 实时荧光定量PCR
    • 质谱
    • 实验室塑料耗材及用品
    • 电子显微镜
    • 蛋白质生物学
    • PCR
    • RNAi
    • 环境
    • 查看所有应用和技术
  • 服务
    • 定制服务
    • 企业级实验室信息化服务
    • 金融&租赁服务
    • 仪器服务
    • OEM和商业供应
    • 培训服务
    • 360° CDMO 和 CRO 服务
    • CDMO 服务
    • 临床试验 CRO 服务
    • Unity Lab Services
    • 查看所有帮助和支持
  • 帮助和支持
    • 学习中心
    • 联系我们
    • 更改国家或地区
    • 查看所有帮助和支持
  • 热门产品
    • TaqMan Real-Time PCR Assays
      TaqMan 实时荧光定量 PCR 试剂盒
    • Antibodies
      抗体
    • Oligos, Primers & Probes
      寡核苷酸、引物、探针
    • GeneArt Gene Synthesis
      GeneArt 基因合成
    • Cell Culture Plastics
      细胞培养耗材
  • Who We Serve
    • 抗体治疗解决方案
    • 细胞与基因治疗解决方案
    • 学术科研
    • 工业与应用
  • 联系我们
  • 货号直购
  • 订单查询
  • 查找文件&证书
Thermo Fisher Scientific Logo

Search

搜索全部或下列指定分类
Search button
          • 联系我们
          • 货号直购
          • 登录
            登录
            没有账号?建立账号 注册
            • 我的账号
            • 订单
            • 会员中心
            • 账单及发票查询
            • 定制产品及项目
          • Primary Antibodies ›
          • FGFR2 Antibodies

          Invitrogen

          Phospho-FGFR2 (Tyr769) Polyclonal Antibody

          1个已发表图片
          1 篇参考文献
          查看其他32个FGFR2抗体

          {{$productOrderCtrl.translations['antibody.pdp.commerceCard.promotion.promotions']}}

          {{$productOrderCtrl.translations['antibody.pdp.commerceCard.promotion.viewpromo']}}

          {{$productOrderCtrl.translations['antibody.pdp.commerceCard.promotion.promocode']}}: {{promo.promoCode}} {{promo.promoTitle}} {{promo.promoDescription}}. {{$productOrderCtrl.translations['antibody.pdp.commerceCard.promotion.learnmore']}}

          说明书
          证书
          实验方案
          问题与答案
          技术支持
          说明书
          证书
          实验方案
          问题与答案
          技术支持
          说明书
          证书
          实验方案
          问题与答案
          技术支持

          Cite Phospho-FGFR2 (Tyr769) Polyclonal Antibody

          Additional Information:
          {{banner.description}}
          {{$ctrl.isSkuNotesCollapsed ? 'View more' : 'View less'}}
          • 抗体检测数据 (8)
          • 已发表图片 (1)
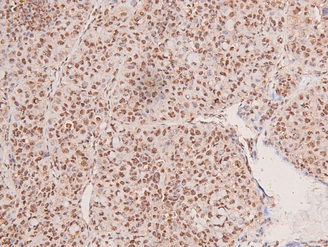
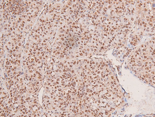
          Phospho-FGFR2 (Tyr769) Antibody in Immunohistochemistry (Paraffin) (IHC (P))
          Group 53 Created with Sketch.
          Phospho-FGFR2 (Tyr769) Antibody in Immunohistochemistry (Paraffin) (IHC (P))
          Group 53 Created with Sketch.

          图: 1 / 9

          {{ $ctrl.currentElement.advancedVerification.fullName }}
          {{ $ctrl.currentElement.advancedVerification.text }}

          Phospho-FGFR2 (Tyr769) Antibody (PA5-105880) in IHC (P)

          Immunohistochemistry analysis of paraffin-embedded Phospho-FGFR2 (Tyr769) in human liver cancer tissue sections. Antigen retrieval was performed using citrate buffer. Samples were blocked with blocking buffer (1.5 hr, 22°C), incubated with Phospho-FGFR2 (Tyr769) polyclonal antibody (Product # PA5-105880) using a dilution of 1:200 (1.5 hr, 22°C), followed by HRP conjugated goat anti-rabbit. {{ $ctrl.currentElement.advancedVerification.fullName }} 验证信息 View more
          已发表图片由___提供 benchsci-logo
          PMID: {{$ctrl.currentElement.benchSciPubmedId}}
          查看产品

          {{$ctrl.videoDesc}}

          {{$ctrl.videoLongDesc}}

          Phospho-FGFR2 (Tyr769) Antibody in Immunohistochemistry (Paraffin) (IHC (P))
          Phospho-FGFR2 (Tyr769) Antibody in Immunohistochemistry (Paraffin) (IHC (P))
          Phospho-FGFR2 (Tyr769) Antibody in Immunohistochemistry (Paraffin) (IHC (P))
          Phospho-FGFR2 (Tyr769) Antibody in Immunohistochemistry (Paraffin) (IHC (P))
          Phospho-FGFR2 (Tyr769) Antibody in Immunohistochemistry (Paraffin) (IHC (P))
          Phospho-FGFR2 (Tyr769) Antibody in Immunohistochemistry (Paraffin) (IHC (P))
          Phospho-FGFR2 (Tyr769) Antibody in Immunohistochemistry (Paraffin) (IHC (P))
          Phospho-FGFR2 (Tyr769) Antibody in Western Blot (WB)
          Phospho-FGFR2 (Tyr769) Antibody in Western Blot (WB)
          Phospho-FGFR2 (Tyr769) Polyclonal Antibody

          产品信息

          PA5-105880

          应用
          建议稀释比
          已发表文章

          免疫印迹 (WB)

          1:1,000-1:3,000
          查看1篇已发表文章 1篇已发表文章

          免疫组化(石蜡) (IHC (P))

          1:50-1:200
          -
          产品规格

          种属反应

          Human, Mouse, Non-human primate, Rat

          宿主/亚型

          Rabbit / IgG

          分类

          Polyclonal

          类型

          Antibody

          抗原

          A synthesized peptide derived from human FGFR2(Accession P21802), corresponding to amino acid residues around phosphorylated Tyr769.
          3D表位/免疫原

          偶联物

          Unconjugated Unconjugated Unconjugated

          形式

          Liquid

          浓度

          1 mg/mL

          规格

          100 µg

          纯化类型

          sequential chromatography

          保存液

          PBS, pH 7.4, with 50% glycerol

          内含物

          0.02% sodium azide

          保存条件

          -20°C

          运输条件

          Ambient (domestic); Wet ice (international)

          RRID

          AB_2817279

          产品详细信息

          Antibody detects endogenous levels of FGFR2 only when phosphorylated at Tyr769.

          靶标信息

          FGFR2 is a member of the FGFR family of receptor tyrosine kinases. This family is known to regulate a host of cellular functions including angiogenesis, mitogenesis, osteogenesis, myogenesis, carcinogenesis, cellular differentiation, and tissue repair after injury. The FGFR family has also been implicated in a number of diseases including cancer, rheumatoid arthritis, and diabetic retinopathy. FGFR family members differ from one another in their ligand affinities and tissue distribution. Mutations in this gene are associated with Crouzon syndrome, Pfeiffer syndrome, Craniosynostosis, Apert syndrome, Jackson-Weiss syndrome, Beare-Stevenson cutis gyrata syndrome, Saethre-Chotzen syndrome, and syndromic craniosynostosis. Multiple alternatively spliced transcript variants encoding different isoforms have been noted for this gene.

          仅用于科研。不用于诊断过程。未经明确授权不得转售。

          生物信息学

          蛋白别名: bacteria-expressed kinase; BEK fibroblast growth factor receptor; CD332; FGF Receptor; FGF Receptor 2; FGF-10; FGFR; FGFR-2; FGFR2; Fibroblast growth factor receptor 2; K-sam; Keratinocyte growth factor receptor; KGFR; protein tyrosine kinase, receptor like 14; Soluble KGFR; transmembrane protein tyrosine kinase; unnamed protein product

          查看更多 收起

          基因别名: AU043015; AW556123; BBDS; BEK; BFR-1; CD332; CEK3; CFD1; ECT1; Fgfr-2; Fgfr-7; FGFR2; Fgfr7; JWS; K-SAM; KGFR; KGFRTr; KSAM; svs; TK14; TK25

          查看更多 收起

          UniProt ID: (Human) P21802, (Mouse) P21803

          查看更多 收起

          Entrez Gene ID: (Human) 2263, (Mouse) 14183, (Rat) 25022

          查看更多 收起

          功能
          nucleotide binding protein kinase activity protein tyrosine kinase activity transmembrane receptor protein tyrosine kinase activity fibroblast growth factor-activated receptor activity protein binding ATP binding heparin binding kinase activity transferase activity fibroblast growth factor binding identical protein binding protein homodimerization activity transferase activity, transferring phosphorus-containing groups transmembrane signal receptor
          参与通路
          negative regulation of transcription from RNA polymerase II promoter angiogenesis ureteric bud development in utero embryonic development epithelial to mesenchymal transition positive regulation of mesenchymal cell proliferation outflow tract septum morphogenesis membranous septum morphogenesis endochondral bone growth apoptotic process cell-cell signaling axonogenesis positive regulation of cell proliferation fibroblast growth factor receptor signaling pathway regulation of smoothened signaling pathway post-embryonic development embryonic pattern specification organ morphogenesis positive regulation of phospholipase activity negative regulation of keratinocyte proliferation morphogenesis of embryonic epithelium peptidyl-tyrosine phosphorylation orbitofrontal cortex development ventricular zone neuroblast division pyramidal neuron development gland morphogenesis positive regulation of Wnt signaling pathway bone mineralization lung development epithelial cell differentiation midbrain development otic vesicle formation hair follicle morphogenesis response to lipopolysaccharide lacrimal gland development regulation of osteoblast proliferation organ growth fibroblast growth factor receptor signaling pathway involved in negative regulation of apoptotic process in bone marrow fibroblast growth factor receptor signaling pathway involved in hemopoiesis fibroblast growth factor receptor signaling pathway involved in positive regulation of cell proliferation in bone marrow fibroblast growth factor receptor signaling pathway involved in orbitofrontal cortex development inner ear morphogenesis odontogenesis chordate embryonic development positive regulation of MAPK cascade cellular response to fibroblast growth factor stimulus cell fate commitment response to ethanol regulation of cell differentiation regulation of osteoblast differentiation positive regulation of cell cycle positive regulation of transcription from RNA polymerase II promoter protein autophosphorylation lung alveolus development mesodermal cell differentiation embryonic digestive tract morphogenesis embryonic organ morphogenesis digestive tract development embryonic organ development reproductive structure development embryonic cranial skeleton morphogenesis skeletal system morphogenesis epidermis morphogenesis branching morphogenesis of a nerve mesenchymal cell differentiation positive regulation of epithelial cell proliferation negative regulation of epithelial cell proliferation regulation of smooth muscle cell differentiation positive regulation of cell division ventricular cardiac muscle tissue morphogenesis positive regulation of cardiac muscle cell proliferation limb bud formation bone development bone morphogenesis branching involved in prostate gland morphogenesis branching involved in salivary gland morphogenesis bud elongation involved in lung branching lung lobe morphogenesis lung-associated mesenchyme development positive regulation of epithelial cell proliferation involved in lung morphogenesis prostate gland morphogenesis prostate epithelial cord elongation prostate epithelial cord arborization involved in prostate glandular acinus morphogenesis squamous basal epithelial stem cell differentiation involved in prostate gland acinus development fibroblast growth factor receptor signaling pathway involved in mammary gland specification lateral sprouting from an epithelium mammary gland bud formation epithelial cell proliferation involved in salivary gland morphogenesis branch elongation involved in salivary gland morphogenesis branching involved in labyrinthine layer morphogenesis regulation of morphogenesis of a branching structure mesenchymal cell differentiation involved in lung development mesenchymal cell proliferation involved in lung development regulation of ERK1 and ERK2 cascade positive regulation of ERK1 and ERK2 cascade cellular response to retinoic acid cellular response to hypoxia cellular response to transforming growth factor beta stimulus positive regulation of canonical Wnt signaling pathway positive regulation of vascular smooth muscle cell proliferation cranial skeletal system development protein phosphorylation neuromuscular junction development negative regulation of cell proliferation regulation of cell fate commitment phosphorylation multicellular organism growth regulation of multicellular organism growth regulation of fibroblast growth factor receptor signaling pathway regulation of cell proliferation negative regulation of mitotic nuclear division synaptic vesicle transport positive regulation of smooth muscle cell proliferation epithelial cell proliferation regulation of epithelial cell proliferation coronal suture morphogenesis epithelial tube branching involved in lung morphogenesis regulation of branching involved in prostate gland morphogenesis vasculogenesis involved in coronary vascular morphogenesis endodermal digestive tract morphogenesis lens fiber cell development
          It has to be done as per old AB suggested Products section.

          Disclaimer

          Close

          Clicking the images or links will redirect you to a website hosted by BenchSci that provides third-party scientific content. Neither the content nor the BenchSci technology and processes for selection have been evaluated by us; we are providing them as-is and without warranty of any kind, including for use or application of the Thermo Fisher Scientific products presented.

          guarantee_icon

          性能保障

          只要您发现Invitrogen抗体在实验中的表现与网站或说明书的所述内容不符,您即可享受免费退换货服务。*

          了解更多
          help_icon

          随时为您服务

          获取常见问题的专家解答,或者直接联系我们的技术专家,咨询应用、设备、常规产品使用问题。

          联系技术支持
          订购 Plus Icon Minus Icon
          • 订单状态查询
          • 订单支持
          • 货号直购
          • 现货供应中心
          • 电子采购
          支持 Plus Icon Minus Icon
          • 帮助&支持
          • 联系我们 - 400 820 8982
          • 技术支持中心
          • 查找文件&证书
          • 报告网站问题
          资源 Plus Icon Minus Icon
          • 学习中心
          • 促销
          • 活动&研讨会
          • 社交媒体
          关于赛默飞 Plus Icon Minus Icon
          • 关于我们
          • 招聘 招聘
          • 投资者关系 投资者关系
          • 新闻 新闻
          • 社会责任 社会责任
          • 商标
          • 政策和通知
          品牌 Plus Icon Minus Icon
          • Thermo Scientific
          • Applied Biosystems
          • Invitrogen
          • Gibco
          • Ion Torrent
          • Unity Lab Services
          • Patheon
          • PPD
          • 服务条款
          • 隐私政策
          • 定价和运输保险政策
          © 2006-2026 Thermo Fisher Scientific Inc. All rights reserved. All trademarks are the property of Thermo Fisher Scientific and its subsidiaries unless otherwise specified.
          China flag icon
          China
          本网站销售的所有产品均不得用于人类或动物之临床诊断或治疗,仅可用于工业或者科研等非医疗目的。
             电子营业执照 | 经营证照公示 | ICP备案号:沪ICP备11003924号 | 沪公网安备 31011502006935号

          Your items have has been added!


          Host server : magellan-search-green-6479c7f679-zb4k5:80/100.66.74.142:80.
          git-commit: b70c0dceb888abc3b0dcebb5bc3a5b8753e7e816
          git-url: https://github.com/thermofisher/magellan-search
          git-branch: release/2.50.0-Offline