Hamburger Menu Button
Thermo Fisher Scientific Logo
登录
没有账号?建立账号 注册
  • 产品
    • 抗体
    • 引物合成
    • GeneArt Gene Synthesis Instant Designer
    • TaqMan Assay and Array Search
    • PCR 设备和耗材
    • 色谱柱和纯化柱
    • 实验室离心机
    • 分子生物学试剂和试剂盒
    • 实验室塑料耗材及用品
    • 查看所有产品分类
  • 应用和技术
    • 色谱
    • 细胞转染和培养
    • 实时荧光定量PCR
    • 质谱
    • 实验室塑料耗材及用品
    • 电子显微镜
    • 蛋白质生物学
    • PCR
    • RNAi
    • 环境
    • 查看所有应用和技术
  • 服务
    • 定制服务
    • 企业级实验室信息化服务
    • 金融&租赁服务
    • 仪器服务
    • OEM和商业供应
    • 培训服务
    • 360° CDMO 和 CRO 服务
    • CDMO 服务
    • 临床试验 CRO 服务
    • Unity Lab Services
    • 查看所有帮助和支持
  • 帮助和支持
    • 学习中心
    • 联系我们
    • 更改国家或地区
    • 查看所有帮助和支持
  • 热门产品
    • TaqMan Real-Time PCR Assays
      TaqMan 实时荧光定量 PCR 试剂盒
    • Antibodies
      抗体
    • Oligos, Primers & Probes
      寡核苷酸、引物、探针
    • GeneArt Gene Synthesis
      GeneArt 基因合成
    • Cell Culture Plastics
      细胞培养耗材
  • Who We Serve
    • 抗体治疗解决方案
    • 细胞与基因治疗解决方案
    • 学术科研
    • 工业与应用
  • 联系我们
  • 货号直购
  • 订单查询
  • 查找文件&证书
Thermo Fisher Scientific Logo

Search

搜索全部或下列指定分类
Search button
          • 联系我们
          • 货号直购
          • 登录
            登录
            没有账号?建立账号 注册
            • 我的账号
            • 订单
            • 会员中心
            • 账单及发票查询
            • 定制产品及项目
          • Primary Antibodies ›
          • FGR Antibodies

          Invitrogen

          Phospho-FGR (Tyr412) Polyclonal Antibody

          1个已发表图片
          1 篇参考文献
          查看其他19个FGR抗体

          {{$productOrderCtrl.translations['antibody.pdp.commerceCard.promotion.promotions']}}

          {{$productOrderCtrl.translations['antibody.pdp.commerceCard.promotion.viewpromo']}}

          {{$productOrderCtrl.translations['antibody.pdp.commerceCard.promotion.promocode']}}: {{promo.promoCode}} {{promo.promoTitle}} {{promo.promoDescription}}. {{$productOrderCtrl.translations['antibody.pdp.commerceCard.promotion.learnmore']}}

          说明书
          证书
          实验方案
          问题与答案
          技术支持
          说明书
          证书
          实验方案
          问题与答案
          技术支持
          说明书
          证书
          实验方案
          问题与答案
          技术支持

          Cite Phospho-FGR (Tyr412) Polyclonal Antibody

          Additional Information:
          {{banner.description}}
          {{$ctrl.isSkuNotesCollapsed ? 'View more' : 'View less'}}
          • 抗体检测数据 (4)
          • 已发表图片 (1)
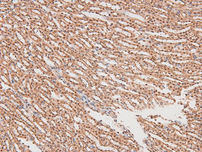
          Phospho-FGR (Tyr412) Antibody in Immunohistochemistry (Paraffin) (IHC (P))
          Group 53 Created with Sketch.
          Phospho-FGR (Tyr412) Antibody in Immunohistochemistry (Paraffin) (IHC (P))
          Group 53 Created with Sketch.

          图: 1 / 5

          {{ $ctrl.currentElement.advancedVerification.fullName }}
          {{ $ctrl.currentElement.advancedVerification.text }}

          Phospho-FGR (Tyr412) Antibody (PA5-105883) in IHC (P)

          Immunohistochemistry analysis of paraffin-embedded Phospho-FGR (Tyr412) in mouse kidney tissue sections. Antigen retrieval was performed using citrate buffer. Samples were blocked with blocking buffer (1.5 hr, 22°C), incubated with Phospho-FGR (Tyr412) polyclonal antibody (Product # PA5-105883) using a dilution of 1:200 (1.5 hr, 22°C), followed by HRP conjugated goat anti-rabbit. {{ $ctrl.currentElement.advancedVerification.fullName }} 验证信息 View more
          已发表图片由___提供 benchsci-logo
          PMID: {{$ctrl.currentElement.benchSciPubmedId}}
          查看产品

          {{$ctrl.videoDesc}}

          {{$ctrl.videoLongDesc}}

          Phospho-FGR (Tyr412) Antibody in Immunohistochemistry (Paraffin) (IHC (P))
          Phospho-FGR (Tyr412) Antibody in Immunohistochemistry (Paraffin) (IHC (P))
          Phospho-FGR (Tyr412) Antibody in Immunohistochemistry (Paraffin) (IHC (P))
          Phospho-FGR (Tyr412) Antibody in Western Blot (WB)
          Phospho-FGR (Tyr412) Antibody in Immunohistochemistry (IHC)
          Phospho-FGR (Tyr412) Polyclonal Antibody

          产品信息

          PA5-105883

          应用
          建议稀释比
          已发表文章

          免疫印迹 (WB)

          1:1,000-1:3,000
          -

          免疫组化 (IHC)

          -
          查看1篇已发表文章 1篇已发表文章

          免疫组化(石蜡) (IHC (P))

          1:50-1:200
          -
          产品规格

          种属反应

          Human, Mouse, Rat

          宿主/亚型

          Rabbit / IgG

          分类

          Polyclonal

          类型

          Antibody

          抗原

          A synthesized peptide derived from human FGR(Accession P09769), corresponding to amino acid residues around phosphorylated Tyr412.
          3D表位/免疫原

          偶联物

          Unconjugated Unconjugated Unconjugated

          形式

          Liquid

          浓度

          1 mg/mL

          规格

          100 µg

          纯化类型

          sequential chromatography

          保存液

          PBS, pH 7.4, with 50% glycerol

          内含物

          0.02% sodium azide

          保存条件

          -20°C

          运输条件

          Ambient (domestic); Wet ice (international)

          RRID

          AB_2817282

          产品详细信息

          Antibody detects endogenous levels of FGR only when phosphorylated at Tyr412.

          靶标信息

          FGR is a SRC-related kinase present in hematopoietic cells. FGR signals within multiple pathways including within the integrin pathway and downstream of chemokine and cytokine receptors. This protein contains N-terminal sites for myristylation and palmitoylation, a PTK domain, and SH2 and SH3 domains which are involved in mediating protein-protein interactions with phosphotyrosine-containing and proline-rich motifs, respectively. It localizes to plasma membrane ruffles, and functions as a negative regulator of cell migration and adhesion triggered by the beta-2 integrin signal transduction pathway. Infection with Epstein-Barr virus results in the overexpression of this protein.

          仅用于科研。不用于诊断过程。未经明确授权不得转售。

          生物信息学

          蛋白别名: c-fgr protooncogene; c-src-2 proto-oncogene; EC 2.7.10.2; feline Gardner-Rasheed sarcoma viral oncogene; feline Gardner-Rasheed sarcoma viral oncogene homolog; FGR protein; FLJ43153; Gardner-Rasheed feline sarcoma viral (Fgr) oncogene homolog; Gardner-Rasheed feline sarcoma viral (v-fgr) oncogene homolog; MGC75096; OTTHUMP00000003603; OTTHUMP00000003604; p55-c-fgr protein; p55-Fgr; p58-Fgr; p58c-Fgr; Proto-oncogene c-Fgr; proto-oncogene tyrosine-protein kinase FGR; Tyrosine-protein kinase Fgr; unnamed protein product; v-fgr feline Gardner-Rasheed sarcoma viral oncogene homolog

          查看更多 收起

          基因别名: c-fgr; c-src2; FGR; p55-Fgr; p55c-fgr; p58-Fgr; p58c-fgr; SRC2

          查看更多 收起

          UniProt ID: (Human) P09769, (Mouse) P14234, (Rat) Q6P6U0

          查看更多 收起

          Entrez Gene ID: (Human) 2268, (Mouse) 14191, (Rat) 79113

          查看更多 收起

          功能
          nucleotide binding phosphotyrosine binding protein kinase activity protein tyrosine kinase activity non-membrane spanning protein tyrosine kinase activity receptor binding protein binding ATP binding kinase activity transferase activity protein kinase binding immunoglobulin receptor binding Fc-gamma receptor I complex binding transferase activity, transferring phosphorus-containing groups
          参与通路
          immune system process protein phosphorylation transmembrane receptor protein tyrosine kinase signaling pathway integrin-mediated signaling pathway regulation of cell shape positive regulation of phosphatidylinositol 3-kinase signaling phosphorylation peptidyl-tyrosine phosphorylation cell differentiation positive regulation of cell migration regulation of actin cytoskeleton organization peptidyl-tyrosine autophosphorylation regulation of cell proliferation positive regulation of mast cell degranulation positive regulation of phosphatidylinositol 3-kinase activity innate immune response regulation of innate immune response regulation of protein kinase activity protein autophosphorylation positive regulation of cytokine secretion regulation of phagocytosis defense response to Gram-positive bacterium cellular response to peptide hormone stimulus positive regulation of cytokine production immune response-regulating cell surface receptor signaling pathway negative regulation of inflammatory response to antigenic stimulus response to virus bone mineralization negative regulation of natural killer cell activation Fc-gamma receptor signaling pathway involved in phagocytosis skeletal system morphogenesis positive regulation of protein kinase B signaling biological_process cell migration
          It has to be done as per old AB suggested Products section.

          Disclaimer

          Close

          Clicking the images or links will redirect you to a website hosted by BenchSci that provides third-party scientific content. Neither the content nor the BenchSci technology and processes for selection have been evaluated by us; we are providing them as-is and without warranty of any kind, including for use or application of the Thermo Fisher Scientific products presented.

          guarantee_icon

          性能保障

          只要您发现Invitrogen抗体在实验中的表现与网站或说明书的所述内容不符,您即可享受免费退换货服务。*

          了解更多
          help_icon

          随时为您服务

          获取常见问题的专家解答,或者直接联系我们的技术专家,咨询应用、设备、常规产品使用问题。

          联系技术支持
          订购 Plus Icon Minus Icon
          • 订单状态查询
          • 订单支持
          • 货号直购
          • 现货供应中心
          • 电子采购
          支持 Plus Icon Minus Icon
          • 帮助&支持
          • 联系我们 - 400 820 8982
          • 技术支持中心
          • 查找文件&证书
          • 报告网站问题
          资源 Plus Icon Minus Icon
          • 学习中心
          • 促销
          • 活动&研讨会
          • 社交媒体
          关于赛默飞 Plus Icon Minus Icon
          • 关于我们
          • 招聘 招聘
          • 投资者关系 投资者关系
          • 新闻 新闻
          • 社会责任 社会责任
          • 商标
          • 政策和通知
          品牌 Plus Icon Minus Icon
          • Thermo Scientific
          • Applied Biosystems
          • Invitrogen
          • Gibco
          • Ion Torrent
          • Unity Lab Services
          • Patheon
          • PPD
          • 服务条款
          • 隐私政策
          • 定价和运输保险政策
          © 2006-2026 Thermo Fisher Scientific Inc. All rights reserved. All trademarks are the property of Thermo Fisher Scientific and its subsidiaries unless otherwise specified.
          China flag icon
          China
          本网站销售的所有产品均不得用于人类或动物之临床诊断或治疗,仅可用于工业或者科研等非医疗目的。
             电子营业执照 | 经营证照公示 | ICP备案号:沪ICP备11003924号 | 沪公网安备 31011502006935号

          Your items have has been added!


          Host server : magellan-search-green-6479c7f679-46l5g:80/100.66.76.236:80.
          git-commit: b70c0dceb888abc3b0dcebb5bc3a5b8753e7e816
          git-url: https://github.com/thermofisher/magellan-search
          git-branch: release/2.50.0-Offline