Hamburger Menu Button
Thermo Fisher Scientific Logo
登录
没有账号?建立账号 注册
  • 产品
    • 抗体
    • 引物合成
    • GeneArt Gene Synthesis Instant Designer
    • TaqMan Assay and Array Search
    • PCR 设备和耗材
    • 色谱柱和纯化柱
    • 实验室离心机
    • 分子生物学试剂和试剂盒
    • 实验室塑料耗材及用品
    • 查看所有产品分类
  • 应用和技术
    • 色谱
    • 细胞转染和培养
    • 实时荧光定量PCR
    • 质谱
    • 实验室塑料耗材及用品
    • 电子显微镜
    • 蛋白质生物学
    • PCR
    • RNAi
    • 环境
    • 查看所有应用和技术
  • 服务
    • 定制服务
    • 企业级实验室信息化服务
    • 金融&租赁服务
    • 仪器服务
    • OEM和商业供应
    • 培训服务
    • 360° CDMO 和 CRO 服务
    • CDMO 服务
    • 临床试验 CRO 服务
    • Unity Lab Services
    • 查看所有帮助和支持
  • 帮助和支持
    • 学习中心
    • 联系我们
    • 更改国家或地区
    • 查看所有帮助和支持
  • 热门产品
    • TaqMan Real-Time PCR Assays
      TaqMan 实时荧光定量 PCR 试剂盒
    • Antibodies
      抗体
    • Oligos, Primers & Probes
      寡核苷酸、引物、探针
    • GeneArt Gene Synthesis
      GeneArt 基因合成
    • Cell Culture Plastics
      细胞培养耗材
  • Who We Serve
    • 抗体治疗解决方案
    • 细胞与基因治疗解决方案
    • 学术科研
    • 工业与应用
  • 联系我们
  • 货号直购
  • 订单查询
  • 查找文件&证书
Thermo Fisher Scientific Logo

Search

搜索全部或下列指定分类
Search button
          • 联系我们
          • 货号直购
          • 登录
            登录
            没有账号?建立账号 注册
            • 我的账号
            • 订单
            • 会员中心
            • 账单及发票查询
            • 定制产品及项目
          • Primary Antibodies ›
          • FOXO1/FOXO3/FOXO4 Antibodies

          Invitrogen

          Phospho-FOXO1/FOXO3/FOXO4 (Thr24, Thr32, Thr28) Polyclonal Antibody

          查看其他8个FOXO1/FOXO3/FOXO4抗体

          {{$productOrderCtrl.translations['antibody.pdp.commerceCard.promotion.promotions']}}

          {{$productOrderCtrl.translations['antibody.pdp.commerceCard.promotion.viewpromo']}}

          {{$productOrderCtrl.translations['antibody.pdp.commerceCard.promotion.promocode']}}: {{promo.promoCode}} {{promo.promoTitle}} {{promo.promoDescription}}. {{$productOrderCtrl.translations['antibody.pdp.commerceCard.promotion.learnmore']}}

          说明书
          证书
          实验方案
          问题与答案
          技术支持
          说明书
          证书
          实验方案
          问题与答案
          技术支持
          说明书
          证书
          实验方案
          问题与答案
          技术支持

          Cite Phospho-FOXO1/FOXO3/FOXO4 (Thr24, Thr32, Thr28) Polyclonal Antibody

          Additional Information:
          {{banner.description}}
          {{$ctrl.isSkuNotesCollapsed ? 'View more' : 'View less'}}
          • 抗体检测数据 (4)
          Phospho-FOXO1/FOXO3/FOXO4 (Thr24, Thr32, Thr28) Antibody in Immunohistochemistry (Paraffin) (IHC (P))
          Group 53 Created with Sketch.
          Phospho-FOXO1/FOXO3/FOXO4 (Thr24, Thr32, Thr28) Antibody in Immunohistochemistry (Paraffin) (IHC (P))
          Group 53 Created with Sketch.

          图: 1 / 4

          {{ $ctrl.currentElement.advancedVerification.fullName }}
          {{ $ctrl.currentElement.advancedVerification.text }}

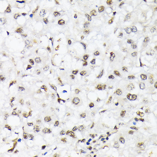
          Phospho-FOXO1/FOXO3/FOXO4 (Thr24, Thr32, Thr28) Antibody (PA5-110122) in IHC (P)

          Immunohistochemistry analysis of Phospho-FOXO1/FOXO3/FOXO4 (Thr24, Thr32, Thr28) in paraffin-embedded human liver cancer. Samples were incubated with Phospho-FOXO1/FOXO3/FOXO4 (Thr24, Thr32, Thr28) Polyclonal antibody (Product # PA5-110122) using a dilution of 1:200 (40x lens). Perform microwave antigen retrieval with 10 mM Tris/EDTA buffer pH 9.0 before commencing with IHC staining protocol. {{ $ctrl.currentElement.advancedVerification.fullName }} 验证信息 View more
          已发表图片由___提供 benchsci-logo
          PMID: {{$ctrl.currentElement.benchSciPubmedId}}
          查看产品

          {{$ctrl.videoDesc}}

          {{$ctrl.videoLongDesc}}

          Phospho-FOXO1/FOXO3/FOXO4 (Thr24, Thr32, Thr28) Antibody in Immunohistochemistry (Paraffin) (IHC (P))
          Phospho-FOXO1/FOXO3/FOXO4 (Thr24, Thr32, Thr28) Antibody in Immunohistochemistry (Paraffin) (IHC (P))
          Phospho-FOXO1/FOXO3/FOXO4 (Thr24, Thr32, Thr28) Antibody in Immunohistochemistry (Paraffin) (IHC (P))
          Phospho-FOXO1/FOXO3/FOXO4 (Thr24, Thr32, Thr28) Antibody in Western Blot (WB)

          产品信息

          PA5-110122

          应用
          建议稀释比
          已发表文章

          免疫印迹 (WB)

          1:100-1:500
          -

          免疫组化(石蜡) (IHC (P))

          1:50-1:200
          -

          酶联免疫吸附实验 (ELISA)

          1 µg/mL
          -
          产品规格

          种属反应

          Human, Mouse, Rat

          宿主/亚型

          Rabbit / IgG

          分类

          Polyclonal

          类型

          Antibody

          抗原

          Synthetic peptide

          偶联物

          Unconjugated Unconjugated Unconjugated

          形式

          Liquid

          浓度

          2.41 mg/mL

          规格

          241 µg

          纯化类型

          Affinity Chromatography

          保存液

          PBS, pH 7.3, with 50% glycerol

          内含物

          0.05% ProClin 300

          保存条件

          -20°C, Avoid Freeze/Thaw Cycles

          运输条件

          Ambient (domestic); Wet ice (international)

          RRID

          AB_2855533

          靶标信息

          FOXO1 + FOX3 + FOX4 belong to the forkhead family of transcription factors. FOXO1 (FKHR or ForkHead in Rhabdomyosarcoma) is a 70 kDa protein. Recent studies have shown that this protein can act as either a coactivator or a corepressor of nuclear receptor activity. This action is mediated through the LXXLL motif found in the C terminus of the FOXO1A protein. The specific function of the gene has not yet been determined.FOX3 probably functions as a trigger for apoptosis through expression of genes necessary for cell death. Translocation of the FOXO3 gene with the MLL gene is associated with secondary acute leukemia.FOX4 is a forkhead transcription factor involved in the regulation of the insulin signaling pathway. It binds to insulin-response elements (IREs) and can activate transcription of IGFBP1. FOXO4 down-regulates expression of HIF1A and suppresses hypoxia-induced transcriptional activation of HIF1A-modulated genes. It is also involved in negative regulation of the cell cycle.

          仅用于科研。不用于诊断过程。未经明确授权不得转售。

          篇参考文献 (0)

          您是否在文献中引用过该产品?请点击下方按钮邮件告知我们。
          引用该产品

          生物信息学

          蛋白别名: AF6q21 protein; AFX; AFX1; Afxh; Fork head domain transcription factor AFX1; forkhead box O1a; forkhead box O1A (rhabdomyosarcoma); forkhead box O3A; Forkhead box protein O1; Forkhead box protein O1A; Forkhead box protein O3; Forkhead box protein O4; forkhead homolog (rhabdomyosarcoma) like 1; Forkhead in rhabdomyosarcoma; Forkhead in rhabdomyosarcoma-like 1; forkhead protein; forkhead protein 1; forkhead protein FKHR2; forkhead, Drosophila, homolog of, in rhabdomyosarcoma; forkhead, Drosophila, homolog of, in rhabdomyosarcoma-like 1; FOX04b; FOXO3A-; MGC120490; myeloid/lymphoid or mixed lineage-leukemia translocation to 7 homolog; myeloid/lymphoid or mixed-lineage leukemia (trithorax homolog, Drosophila); translocated to, 7; unnamed protein product

          查看更多 收起

          基因别名: 1110048B16Rik; 2010203A17Rik; AF6q21; AFX; AFX1; Afxh; AI876417; C76856; FKH1; FKHR; Fkhr1; Fkhr2; Fkhr3; FKHRL1; FKHRL1P2; FOXO1; FOXO1A; FOXO2; FOXO3; FOXO3A; FOXO4; MLLT7; RGD1561201

          查看更多 收起

          UniProt ID: (Human) Q12778, (Human) O43524, (Human) P98177, (Rat) G3V7R4, (Mouse) Q9R1E0, (Mouse) Q9WVH4, (Mouse) Q9WVH3

          查看更多 收起

          Entrez Gene ID: (Human) 2308, (Human) 2309, (Human) 4303, (Rat) 84482, (Mouse) 56458, (Mouse) 56484, (Rat) 294515, (Rat) 302415, (Mouse) 54601

          查看更多 收起

          功能
          RNA polymerase II core promoter proximal region sequence-specific DNA binding RNA polymerase II transcription factor activity, sequence-specific DNA binding transcriptional repressor activity, RNA polymerase II transcription regulatory region sequence-specific binding transcriptional activator activity, RNA polymerase II transcription regulatory region sequence-specific binding nucleic acid binding DNA binding chromatin binding transcription factor activity, sequence-specific DNA binding protein binding beta-catenin binding chromatin DNA binding ubiquitin protein ligase binding sequence-specific DNA binding protein phosphatase 2A binding promoter-specific chromatin binding transcription regulatory region sequence-specific DNA binding transcription cofactor binding protein kinase binding mitochondrial RNA polymerase binding promoter specificity activity sequence-specific double-stranded DNA binding enzyme binding identical protein binding DNA-binding transcription factor binding transcription factor activity, transcription factor binding transcriptional repressor activity, RNA polymerase II core promoter proximal region sequence-specific binding transcription factor binding core promoter binding
          参与通路
          negative regulation of transcription from RNA polymerase II promoter ovulation from ovarian follicle initiation of primordial ovarian follicle growth antral ovarian follicle growth oocyte maturation transcription, DNA-templated regulation of transcription, DNA-templated regulation of transcription from RNA polymerase II promoter transcription from RNA polymerase II promoter regulation of translation apoptotic process anatomical structure morphogenesis cell differentiation DNA damage response, signal transduction by p53 class mediator cellular response to oxidative stress glucose homeostasis positive regulation of neuron apoptotic process positive regulation of erythrocyte differentiation positive regulation of transcription, DNA-templated positive regulation of transcription from RNA polymerase II promoter negative regulation of canonical Wnt signaling pathway neuronal stem cell population maintenance extrinsic apoptotic signaling pathway in absence of ligand regulation of neural precursor cell proliferation regulation of reactive oxygen species metabolic process cell cycle arrest mitotic G2 DNA damage checkpoint negative regulation of cell proliferation insulin receptor signaling pathway negative regulation of angiogenesis stem cell differentiation negative regulation of smooth muscle cell differentiation negative regulation of G0 to G1 transition blood vessel development autophagy cellular response to DNA damage stimulus cellular response to starvation positive regulation of autophagy cellular response to insulin stimulus negative regulation of stress-activated MAPK cascade regulation of gluconeogenesis by regulation of transcription from RNA polymerase II promoter regulation of cell proliferation positive regulation of apoptotic process negative regulation of apoptotic process negative regulation of fat cell differentiation positive regulation of gluconeogenesis positive regulation of protein catabolic process cellular response to hyperoxia cellular response to nitric oxide regulation of nucleic acid-templated transcription response to oxidative stress muscle organ development positive regulation of smooth muscle cell migration response to nutrient levels proteasome-mediated ubiquitin-dependent protein catabolic process protein K48-linked ubiquitination response to water-immersion restraint stress cell cycle multicellular organism development temperature homeostasis cellular glucose homeostasis gluconeogenesis regulation of gluconeogenesis protein acetylation gene expression response to insulin positive regulation of smooth muscle cell apoptotic process fat cell differentiation negative regulation of transcription, DNA-templated negative regulation of insulin secretion canonical Wnt signaling pathway regulation of transcription initiation from RNA polymerase II promoter cellular response to cold response to fatty acid energy homeostasis negative regulation of cardiac muscle hypertrophy in response to stress transcription from mitochondrial promoter response to xenobiotic stimulus positive regulation of muscle atrophy negative regulation of cell migration tumor necrosis factor-mediated signaling pathway cellular response to glucose starvation response to starvation positive regulation of regulatory T cell differentiation negative regulation of neuron differentiation brain morphogenesis cellular response to glucose stimulus cellular response to corticosterone stimulus cellular response to hypoxia response to dexamethasone positive regulation of hydrogen peroxide-mediated programmed cell death positive regulation of pri-miRNA transcription from RNA polymerase II promoter positive regulation of reactive oxygen species biosynthetic process cellular response to beta-amyloid cellular response to nerve growth factor stimulus positive regulation of endothelial cell apoptotic process
          It has to be done as per old AB suggested Products section.

          Disclaimer

          Close

          Clicking the images or links will redirect you to a website hosted by BenchSci that provides third-party scientific content. Neither the content nor the BenchSci technology and processes for selection have been evaluated by us; we are providing them as-is and without warranty of any kind, including for use or application of the Thermo Fisher Scientific products presented.

          guarantee_icon

          性能保障

          只要您发现Invitrogen抗体在实验中的表现与网站或说明书的所述内容不符,您即可享受免费退换货服务。*

          了解更多
          help_icon

          随时为您服务

          获取常见问题的专家解答,或者直接联系我们的技术专家,咨询应用、设备、常规产品使用问题。

          联系技术支持
          订购 Plus Icon Minus Icon
          • 订单状态查询
          • 订单支持
          • 货号直购
          • 现货供应中心
          • 电子采购
          支持 Plus Icon Minus Icon
          • 帮助&支持
          • 联系我们 - 400 820 8982
          • 技术支持中心
          • 查找文件&证书
          • 报告网站问题
          资源 Plus Icon Minus Icon
          • 学习中心
          • 促销
          • 活动&研讨会
          • 社交媒体
          关于赛默飞 Plus Icon Minus Icon
          • 关于我们
          • 招聘 招聘
          • 投资者关系 投资者关系
          • 新闻 新闻
          • 社会责任 社会责任
          • 商标
          • 政策和通知
          品牌 Plus Icon Minus Icon
          • Thermo Scientific
          • Applied Biosystems
          • Invitrogen
          • Gibco
          • Ion Torrent
          • Unity Lab Services
          • Patheon
          • PPD
          • 服务条款
          • 隐私政策
          • 定价和运输保险政策
          © 2006-2026 Thermo Fisher Scientific Inc. All rights reserved. All trademarks are the property of Thermo Fisher Scientific and its subsidiaries unless otherwise specified.
          China flag icon
          China
          本网站销售的所有产品均不得用于人类或动物之临床诊断或治疗,仅可用于工业或者科研等非医疗目的。
             电子营业执照 | 经营证照公示 | ICP备案号:沪ICP备11003924号 | 沪公网安备 31011502006935号

          Your items have has been added!


          Host server : magellan-search-green-6479c7f679-v472f:80/100.66.78.195:80.
          git-commit: b70c0dceb888abc3b0dcebb5bc3a5b8753e7e816
          git-url: https://github.com/thermofisher/magellan-search
          git-branch: release/2.50.0-Offline