Hamburger Menu Button
Thermo Fisher Scientific Logo
登录
没有账号?建立账号 注册
  • 产品
    • 抗体
    • 引物合成
    • GeneArt Gene Synthesis Instant Designer
    • TaqMan Assay and Array Search
    • PCR 设备和耗材
    • 色谱柱和纯化柱
    • 实验室离心机
    • 分子生物学试剂和试剂盒
    • 实验室塑料耗材及用品
    • 查看所有产品分类
  • 应用和技术
    • 色谱
    • 细胞转染和培养
    • 实时荧光定量PCR
    • 质谱
    • 实验室塑料耗材及用品
    • 电子显微镜
    • 蛋白质生物学
    • PCR
    • RNAi
    • 环境
    • 查看所有应用和技术
  • 服务
    • 定制服务
    • 企业级实验室信息化服务
    • 金融&租赁服务
    • 仪器服务
    • OEM和商业供应
    • 培训服务
    • 360° CDMO 和 CRO 服务
    • CDMO 服务
    • 临床试验 CRO 服务
    • Unity Lab Services
    • 查看所有帮助和支持
  • 帮助和支持
    • 学习中心
    • 联系我们
    • 更改国家或地区
    • 查看所有帮助和支持
  • 热门产品
    • TaqMan Real-Time PCR Assays
      TaqMan 实时荧光定量 PCR 试剂盒
    • Antibodies
      抗体
    • Oligos, Primers & Probes
      寡核苷酸、引物、探针
    • GeneArt Gene Synthesis
      GeneArt 基因合成
    • Cell Culture Plastics
      细胞培养耗材
  • Who We Serve
    • 抗体治疗解决方案
    • 细胞与基因治疗解决方案
    • 学术科研
    • 工业与应用
  • 联系我们
  • 货号直购
  • 订单查询
  • 查找文件&证书
Thermo Fisher Scientific Logo

Search

搜索全部或下列指定分类
Search button
          • 联系我们
          • 货号直购
          • 登录
            登录
            没有账号?建立账号 注册
            • 我的账号
            • 订单
            • 会员中心
            • 账单及发票查询
            • 定制产品及项目
          • Primary Antibodies ›
          • CHOP Antibodies

          Bioss

          Phospho-GADD153 (Ser30) Polyclonal Antibody

          查看其他31个CHOP抗体

          {{$productOrderCtrl.translations['antibody.pdp.commerceCard.promotion.promotions']}}

          {{$productOrderCtrl.translations['antibody.pdp.commerceCard.promotion.viewpromo']}}

          {{$productOrderCtrl.translations['antibody.pdp.commerceCard.promotion.promocode']}}: {{promo.promoCode}} {{promo.promoTitle}} {{promo.promoDescription}}. {{$productOrderCtrl.translations['antibody.pdp.commerceCard.promotion.learnmore']}}

          说明书
          证书
          实验方案
          问题与答案
          技术支持
          说明书
          证书
          实验方案
          问题与答案
          技术支持
          说明书
          证书
          实验方案
          问题与答案
          技术支持

          Cite Phospho-GADD153 (Ser30) Polyclonal Antibody

          Additional Information:
          {{banner.description}}
          {{$ctrl.isSkuNotesCollapsed ? 'View more' : 'View less'}}
          • 抗体检测数据 (2)
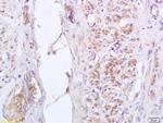
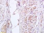
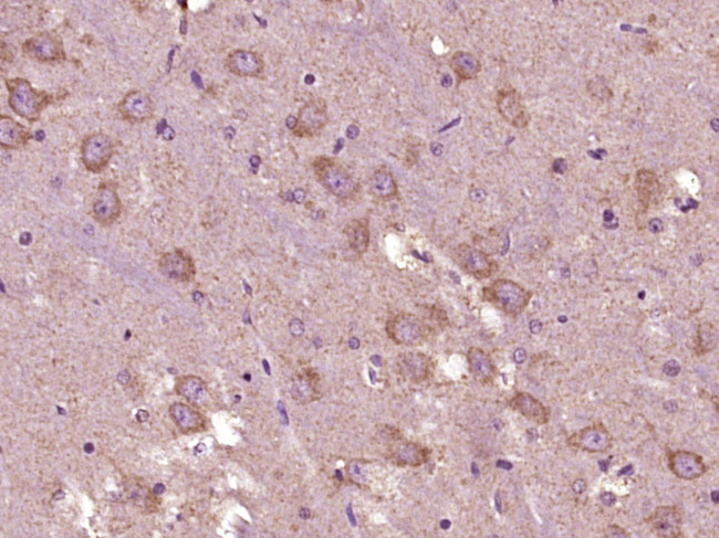
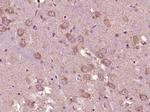
          Phospho-GADD153 (Ser30) Antibody in Immunohistochemistry (Paraffin) (IHC (P))
          Group 53 Created with Sketch.
          Phospho-GADD153 (Ser30) Antibody in Immunohistochemistry (Paraffin) (IHC (P))
          Group 53 Created with Sketch.

          图: 1 / 2

          {{ $ctrl.currentElement.advancedVerification.fullName }}
          {{ $ctrl.currentElement.advancedVerification.text }}

          Phospho-GADD153 (Ser30) Antibody (BS-5177R) in IHC (P)

          Paraformaldehyde-fixed, paraffin embedded Rat brain; Antigen retrieval by boiling in sodium citrate buffer (pH6.0) for 15min; Block endogenous peroxidase by 3% hydrogen peroxide for 20 minutes; Blocking buffer (normal goat serum) at 37°C for 30min; Antibody incubation with GADD153 (Ser30) Polyclonal Antibody, Unconjugated (bs-5177R) at 1:400 overnight at 4°C, DAB staining. {{ $ctrl.currentElement.advancedVerification.fullName }} 验证信息 View more
          已发表图片由___提供 benchsci-logo
          PMID: {{$ctrl.currentElement.benchSciPubmedId}}
          查看产品

          {{$ctrl.videoDesc}}

          {{$ctrl.videoLongDesc}}

          Phospho-GADD153 (Ser30) Antibody in Immunohistochemistry (Paraffin) (IHC (P))
          Phospho-GADD153 (Ser30) Antibody in Immunohistochemistry (Paraffin) (IHC (P))
          Phospho-GADD153 (Ser30) Polyclonal Antibody

          产品信息

          BS-5177R

          应用
          建议稀释比
          已发表文章

          免疫组化(石蜡) (IHC (P))

          1:400
          -

          免疫组化(冰冻) (IHC (F))

          1:100-1:500
          -

          免疫细胞化学 (ICC/IF)

          1:50-1:200
          -

          流式细胞分析 (Flow)

          1:20-1:100
          -

          酶联免疫吸附实验 (ELISA)

          1:500-1:1,000
          -
          产品规格

          种属反应

          Human, Mouse, Rat

          宿主/亚型

          Rabbit / IgG

          分类

          Polyclonal

          类型

          Antibody

          抗原

          KLH conjugated synthetic phosphopeptide derived from human GADD153 around the phosphorylation site of Ser30.
          3D表位/免疫原

          偶联物

          Unconjugated Unconjugated Unconjugated

          形式

          Liquid

          浓度

          1 mg/mL

          规格

          100 µg

          纯化类型

          Protein A

          保存液

          0.01M TBS, pH 7.4, with 50% glycerol, 1% BSA

          内含物

          0.02% ProClin 300

          保存条件

          -20°C

          运输条件

          Ambient (domestic); Wet ice (international)

          靶标信息

          GADD153 is a small nuclear protein that is capable of dimerizing with transcription factors C/EBP alpha and beta. Once dimerized, this complex inhibits the normal binding and function of C/EBP to classical binding sites. Inversely, the C/EBP GADD153 dimer gains binding activity to other non classical C/EBP stress related targets. Under normal cellular conditions this protein is not expressed in detectable levels, but is highly unregulated during times of cellular/ER stress. Examples of GADD153 inducing stress include: treatment with tunicamycin, nutrient starvation and reducing agents that interfere with the calcium flux across the ER membrane.

          仅用于科研。不用于诊断过程。未经明确授权不得转售。

          篇参考文献 (0)

          您是否在文献中引用过该产品?请点击下方按钮邮件告知我们。
          引用该产品

          生物信息学

          蛋白别名: alternative DDIT3 protein; C/EBP homologous protein; C/EBP homoologous protein 10; C/EBP zeta; C/EBP-homologous protein; C/EBP-homologous protein 10; CCAAT/enhancer-binding protein homologous protein; CHOP; CHOP-10; DDIT-3; DNA damage-inducible transcript 3 protein; Growth arrest and DNA damage-inducible protein GADD153; Growth arrest and DNA-damage-inducible protein GADD153; MGC4154; unnamed protein product

          查看更多 收起

          基因别名: AltDDIT3; C/EBPzeta; CEBPZ; CHOP; CHOP-10; CHOP10; DDIT3; GADD153

          查看更多 收起

          UniProt ID: (Human) P35638, (Mouse) P35639

          查看更多 收起

          Entrez Gene ID: (Human) 1649, (Mouse) 13198, (Rat) 29467

          查看更多 收起

          功能
          transcription regulatory region sequence-specific DNA binding RNA polymerase II core promoter proximal region sequence-specific DNA binding RNA polymerase II transcription factor activity, sequence-specific DNA binding transcriptional activator activity, RNA polymerase II transcription regulatory region sequence-specific binding DNA binding transcription factor activity, sequence-specific DNA binding transcription corepressor activity protein binding cAMP response element binding protein binding identical protein binding protein homodimerization activity leucine zipper domain binding protein heterodimerization activity RNA polymerase II sequence-specific DNA binding transcription factor binding transcription regulator inhibitor activity transcription regulator activator activity transcriptional activator activity, RNA polymerase II core promoter proximal region sequence-specific binding transcription factor binding sequence-specific DNA binding transcription regulatory region DNA binding RNA polymerase II transcription factor binding
          参与通路
          negative regulation of transcription from RNA polymerase II promoter blood vessel maturation transcription, DNA-templated regulation of transcription, DNA-templated apoptotic process ER overload response response to unfolded protein cell cycle cell cycle arrest Wnt signaling pathway endoplasmic reticulum unfolded protein response positive regulation of interleukin-8 production negative regulation of CREB transcription factor activity response to endoplasmic reticulum stress response to starvation mRNA transcription from RNA polymerase II promoter positive regulation of apoptotic process proteasome-mediated ubiquitin-dependent protein catabolic process negative regulation of DNA binding negative regulation of sequence-specific DNA binding transcription factor activity positive regulation of neuron apoptotic process regulation of transcription involved in anterior/posterior axis specification cell redox homeostasis negative regulation of fat cell differentiation negative regulation of myoblast differentiation negative regulation of transcription, DNA-templated positive regulation of transcription, DNA-templated positive regulation of transcription from RNA polymerase II promoter release of sequestered calcium ion into cytosol negative regulation of protein kinase B signaling intrinsic apoptotic signaling pathway in response to endoplasmic reticulum stress negative regulation of canonical Wnt signaling pathway positive regulation of neuron death negative regulation of RNA polymerase II regulatory region sequence-specific DNA binding positive regulation of transcription from RNA polymerase II promoter in response to endoplasmic reticulum stress negative regulation of determination of dorsal identity response to amphetamine response to oxidative stress aging response to nutrient response to drug response to hydrogen peroxide embryonic organ development diaphragm contraction regulation of transcription from RNA polymerase II promoter cellular response to DNA damage stimulus sensory perception of sound response to wounding anterior/posterior axis specification gene expression regulation of autophagy negative regulation of interferon-gamma production negative regulation of interleukin-17 production negative regulation of interleukin-4 production response to platelet-derived growth factor PERK-mediated unfolded protein response ATF6-mediated unfolded protein response positive regulation of sequence-specific DNA binding transcription factor activity regulation of cell cycle artery development response to caloric restriction calcium ion import establishment of protein localization to mitochondrion negative regulation of cold-induced thermogenesis integrated stress response signaling HRI-mediated signaling GDF15-GFRAL signaling pathway positive regulation of endoplasmic reticulum stress-induced intrinsic apoptotic signaling pathway vascular associated smooth muscle cell migration intrinsic apoptotic signaling pathway in response to nitrosative stress vascular associated smooth muscle cell proliferation positive regulation of intrinsic apoptotic signaling pathway
          It has to be done as per old AB suggested Products section.

          Disclaimer

          Close

          Clicking the images or links will redirect you to a website hosted by BenchSci that provides third-party scientific content. Neither the content nor the BenchSci technology and processes for selection have been evaluated by us; we are providing them as-is and without warranty of any kind, including for use or application of the Thermo Fisher Scientific products presented.

          guarantee_icon

          性能保障

          只要您发现Invitrogen抗体在实验中的表现与网站或说明书的所述内容不符,您即可享受免费退换货服务。*

          了解更多
          help_icon

          随时为您服务

          获取常见问题的专家解答,或者直接联系我们的技术专家,咨询应用、设备、常规产品使用问题。

          联系技术支持
          订购 Plus Icon Minus Icon
          • 订单状态查询
          • 订单支持
          • 货号直购
          • 现货供应中心
          • 电子采购
          支持 Plus Icon Minus Icon
          • 帮助&支持
          • 联系我们 - 400 820 8982
          • 技术支持中心
          • 查找文件&证书
          • 报告网站问题
          资源 Plus Icon Minus Icon
          • 学习中心
          • 促销
          • 活动&研讨会
          • 社交媒体
          关于赛默飞 Plus Icon Minus Icon
          • 关于我们
          • 招聘 招聘
          • 投资者关系 投资者关系
          • 新闻 新闻
          • 社会责任 社会责任
          • 商标
          • 政策和通知
          品牌 Plus Icon Minus Icon
          • Thermo Scientific
          • Applied Biosystems
          • Invitrogen
          • Gibco
          • Ion Torrent
          • Unity Lab Services
          • Patheon
          • PPD
          • 服务条款
          • 隐私政策
          • 定价和运输保险政策
          © 2006-2026 Thermo Fisher Scientific Inc. All rights reserved. All trademarks are the property of Thermo Fisher Scientific and its subsidiaries unless otherwise specified.
          China flag icon
          China
          本网站销售的所有产品均不得用于人类或动物之临床诊断或治疗,仅可用于工业或者科研等非医疗目的。
             电子营业执照 | 经营证照公示 | ICP备案号:沪ICP备11003924号 | 沪公网安备 31011502006935号

          Your items have has been added!


          Host server : magellan-search-green-6479c7f679-zb4k5:80/100.66.74.142:80.
          git-commit: b70c0dceb888abc3b0dcebb5bc3a5b8753e7e816
          git-url: https://github.com/thermofisher/magellan-search
          git-branch: release/2.50.0-Offline