Hamburger Menu Button
Thermo Fisher Scientific Logo
登录
没有账号?建立账号 注册
  • 产品
    • 抗体
    • 引物合成
    • GeneArt Gene Synthesis Instant Designer
    • TaqMan Assay and Array Search
    • PCR 设备和耗材
    • 色谱柱和纯化柱
    • 实验室离心机
    • 分子生物学试剂和试剂盒
    • 实验室塑料耗材及用品
    • 查看所有产品分类
  • 应用和技术
    • 色谱
    • 细胞转染和培养
    • 实时荧光定量PCR
    • 质谱
    • 实验室塑料耗材及用品
    • 电子显微镜
    • 蛋白质生物学
    • PCR
    • RNAi
    • 环境
    • 查看所有应用和技术
  • 服务
    • 定制服务
    • 企业级实验室信息化服务
    • 金融&租赁服务
    • 仪器服务
    • OEM和商业供应
    • 培训服务
    • 360° CDMO 和 CRO 服务
    • CDMO 服务
    • 临床试验 CRO 服务
    • Unity Lab Services
    • 查看所有帮助和支持
  • 帮助和支持
    • 学习中心
    • 联系我们
    • 更改国家或地区
    • 查看所有帮助和支持
  • 热门产品
    • TaqMan Real-Time PCR Assays
      TaqMan 实时荧光定量 PCR 试剂盒
    • Antibodies
      抗体
    • Oligos, Primers & Probes
      寡核苷酸、引物、探针
    • GeneArt Gene Synthesis
      GeneArt 基因合成
    • Cell Culture Plastics
      细胞培养耗材
  • Who We Serve
    • 抗体治疗解决方案
    • 细胞与基因治疗解决方案
    • 学术科研
    • 工业与应用
  • 联系我们
  • 货号直购
  • 订单查询
  • 查找文件&证书
Thermo Fisher Scientific Logo

Search

搜索全部或下列指定分类
Search button
          • 联系我们
          • 货号直购
          • 登录
            登录
            没有账号?建立账号 注册
            • 我的账号
            • 订单
            • 会员中心
            • 账单及发票查询
            • 定制产品及项目
          • Primary Antibodies ›
          • HDAC4/HDAC5/HDAC9 Antibodies

          Invitrogen

          Phospho-HDAC4/HDAC5/HDAC9 (Ser246, Ser259, Ser220) Recombinant Rabbit Monoclonal Antibody (8H4J9)

          查看其他2个HDAC4/HDAC5/HDAC9抗体

          {{$productOrderCtrl.translations['antibody.pdp.commerceCard.promotion.promotions']}}

          {{$productOrderCtrl.translations['antibody.pdp.commerceCard.promotion.viewpromo']}}

          {{$productOrderCtrl.translations['antibody.pdp.commerceCard.promotion.promocode']}}: {{promo.promoCode}} {{promo.promoTitle}} {{promo.promoDescription}}. {{$productOrderCtrl.translations['antibody.pdp.commerceCard.promotion.learnmore']}}

          说明书
          证书
          实验方案
          问题与答案
          技术支持
          说明书
          证书
          实验方案
          问题与答案
          技术支持
          说明书
          证书
          实验方案
          问题与答案
          技术支持

          Cite Phospho-HDAC4/HDAC5/HDAC9 (Ser246, Ser259, Ser220) Recombinant Rabbit Monoclonal Antibody (8H4J9)

          Additional Information:
          {{banner.description}}
          {{$ctrl.isSkuNotesCollapsed ? 'View more' : 'View less'}}
          • 抗体检测数据 (3)
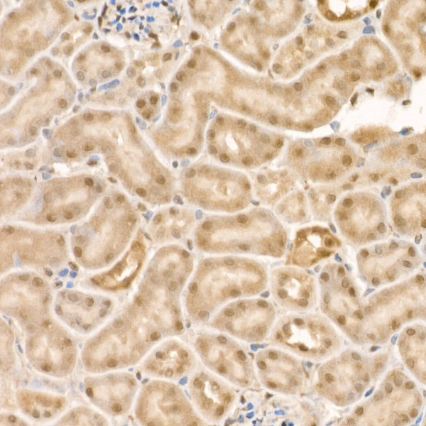
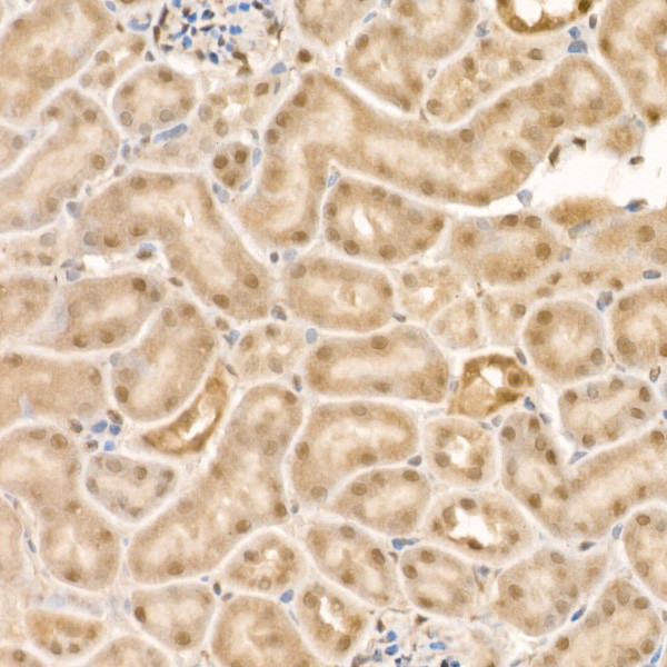
          Phospho-HDAC4/HDAC5/HDAC9 (Ser246, Ser259, Ser220) Antibody in Immunohistochemistry (Paraffin) (IHC (P))
          Group 53 Created with Sketch.
          Phospho-HDAC4/HDAC5/HDAC9 (Ser246, Ser259, Ser220) Antibody in Immunohistochemistry (Paraffin) (IHC (P))
          Group 53 Created with Sketch.

          图: 1 / 3

          {{ $ctrl.currentElement.advancedVerification.fullName }}
          {{ $ctrl.currentElement.advancedVerification.text }}

          Phospho-HDAC4/HDAC5/HDAC9 (Ser246, Ser259, Ser220) Antibody (MA5-51562) in IHC (P)

          Immunohistochemistry analysis of Phospho-HDAC4/HDAC5/HDAC9 (Ser246, Ser259, Ser220) in paraffin-embedded mouse kidney. Samples were incubated with Phospho-HDAC4/HDAC5/HDAC9 (Ser246, Ser259, Ser220) Recombinant monoclonal antibody (Product # MA5-51562) using a dilution of 1:400 (40x lens). Perform high pressure antigen retrieval with 10 mM citrate buffer pH 6.0 before commencing with IHC staining protocol. {{ $ctrl.currentElement.advancedVerification.fullName }} 验证信息 View more
          已发表图片由___提供 benchsci-logo
          PMID: {{$ctrl.currentElement.benchSciPubmedId}}
          查看产品

          {{$ctrl.videoDesc}}

          {{$ctrl.videoLongDesc}}

          Phospho-HDAC4/HDAC5/HDAC9 (Ser246, Ser259, Ser220) Antibody in Immunohistochemistry (Paraffin) (IHC (P))
          Phospho-HDAC4/HDAC5/HDAC9 (Ser246, Ser259, Ser220) Antibody in Immunohistochemistry (Paraffin) (IHC (P))
          Phospho-HDAC4/HDAC5/HDAC9 (Ser246, Ser259, Ser220) Antibody in Western Blot (WB)

          产品信息

          MA5-51562

          应用
          建议稀释比
          已发表文章

          免疫印迹 (WB)

          1:500-1:1,000
          -

          免疫组化(石蜡) (IHC (P))

          1:100-1:400
          -

          酶联免疫吸附实验 (ELISA)

          1 µg/mL
          -
          产品规格

          种属反应

          Human, Mouse, Rat

          宿主/亚型

          Rabbit / IgG

          Expression System

          HEK293 cells

          分类

          Recombinant Monoclonal

          类型

          Antibody

          克隆号

          8H4J9

          抗原

          Synthetic peptide

          偶联物

          Unconjugated Unconjugated Unconjugated

          形式

          Liquid

          浓度

          0.84 mg/mL

          规格

          84 µg

          纯化类型

          Affinity chromatography

          保存液

          PBS, pH 7.3, with 0.05% BSA, 50% glycerol

          内含物

          0.05% ProClin 300

          保存条件

          -20°C, Avoid Freeze/Thaw Cycles

          运输条件

          Ambient (domestic); Wet ice (international)

          RRID

          AB_3094411

          靶标信息

          Histone deacetylase (HDAC) and histone acetyltransferase (HAT) are enzymes that regulate transcription by selectively deacetylating or acetylating the eta-amino groups of lysines located near the amino termini of core histone proteins (1). Eight members of HDAC family have been identified in the past several years (2,3). These HDAC family members are divided into two classes, I and II. Class I of the HDAC family comprises four members, HDAC-1, 2, 3, and 8, each of which contains a deacetylase domain exhibiting from 45 to 93% identity in amino acid sequence. Class II of the HDAC family comprises HDAC-4, 5, 6, and 7, the molecular weights of which are all about twofold larger than those of the class I members, and the deacetylase domains are present within the C-terminal regions, except that HDAC-6 contains two copies of the domain, one within each of the N-terminal and C-terminal regions. Human HDAC-1, 2 and 3 were expressed in various tissues, but the others (HDAC-4, 5, 6, and 7) showed tissue-specific expression patterns (3). These results suggested that each member of the HDAC family exhibits a different, individual substrate specificity and function in vivo.

          仅用于科研。不用于诊断过程。未经明确授权不得转售。

          篇参考文献 (0)

          您是否在文献中引用过该产品?请点击下方按钮邮件告知我们。
          引用该产品

          生物信息学

          蛋白别名: Antigen NY-CO-9; DKFZp779K1053; HD4; HD5; HD7; HD7b; HD9; hdac-9; HDAC4; HDAC5; Histone deacetylase 4; histone deacetylase 4/5-related protein; Histone deacetylase 5; Histone deacetylase 7B; Histone deacetylase 9; histone deacetylase A; histone deacetylase mHDA1; Histone deacetylase-related protein; MEF-2 interacting transcription repressor (MITR) protein; MEF2-interacting transcription repressor MITR; protein deacetylase; putative Type II integral membrane protein; unnamed protein product

          查看更多 收起

          基因别名: 4932408F19Rik; AHO3; AI047285; AI426555; ARCND4; AV022454; BDMR; D030072B18Rik; HA6116; HD4; HD5; HD7; HD7B; HD9; HDAC; HDAC-4; HDAC-A; HDAC4; HDAC5; HDAC7; HDAC7B; HDAC9; HDAC9B; HDAC9FL; HDACA; HDRP; KIAA0288; KIAA0600; KIAA0744; mHDA1; MITR; mKIAA0600; mKIAA0744; NEDCHF; NEDCHID; NY-CO-9; RGD1310748; RGD1563092

          查看更多 收起

          UniProt ID: (Human) P56524, (Human) Q9UQL6, (Human) Q9UKV0, (Rat) Q99P99, (Mouse) Q6NZM9, (Mouse) Q99N13

          查看更多 收起

          Entrez Gene ID: (Human) 9759, (Human) 10014, (Human) 9734, (Rat) 363287, (Mouse) 208727, (Rat) 84580, (Mouse) 15184, (Rat) 687001, (Mouse) 79221

          查看更多 收起

          功能
          transcription regulatory region sequence-specific DNA binding RNA polymerase II core promoter proximal region sequence-specific DNA binding bacterial-type RNA polymerase transcriptional activator activity, sequence-specific DNA binding histone deacetylase activity protein binding zinc ion binding hydrolase activity SUMO transferase activity potassium ion binding protein deacetylase activity histone binding identical protein binding histone deacetylase binding metal ion binding binding, bridging RNA polymerase II sequence-specific DNA binding transcription factor binding DNA-binding transcription factor binding histone deacetylase activity, hydrolytic mechanism transcription corepressor binding chromatin binding protein kinase C binding transcription corepressor activity histone deacetylase activity (H3-K14 specific) histone deacetylase activity (H3-K9 specific) histone deacetylase activity (H4-K16 specific) RNA polymerase III transcription factor binding core promoter binding molecular_function DNA binding transcription factor binding protein kinase binding NAD-dependent histone deacetylase activity (H3-K14 specific) activating transcription factor binding sequence-specific DNA binding transcription regulatory region DNA binding NAD-dependent histone deacetylase activity (H3-K9 specific) NAD-dependent histone deacetylase activity (H4-K16 specific) repressing transcription factor binding NAD-dependent histone deacetylase activity (H3-K18 specific) core promoter sequence-specific DNA binding transcriptional activator activity, RNA polymerase II core promoter proximal region sequence-specific binding RNA polymerase II transcription factor binding histone modifying enzyme
          参与通路
          negative regulation of transcription from RNA polymerase II promoter chromatin organization chromatin remodeling protein deacetylation inflammatory response nervous system development positive regulation of cell proliferation negative regulation of macromolecule biosynthetic process negative regulation of myotube differentiation negative regulation of transcription by competitive promoter binding response to denervation involved in regulation of muscle adaptation cardiac muscle hypertrophy in response to stress protein sumoylation B cell differentiation positive regulation of protein sumoylation regulation of gene expression, epigenetic B cell activation negative regulation of gene expression, epigenetic negative regulation of glycolytic process positive regulation of transcription, DNA-templated positive regulation of transcription from RNA polymerase II promoter type I interferon signaling pathway response to interleukin-1 response to xenobiotic stimulus regulation of myotube differentiation response to activity neuron differentiation cellular response to insulin stimulus response to cocaine negative regulation of transcription, DNA-templated cellular response to lipopolysaccharide negative regulation of cell migration involved in sprouting angiogenesis negative regulation of cytokine production heart development cholesterol homeostasis regulation of skeletal muscle fiber development regulation of striated muscle cell differentiation positive regulation of cell migration involved in sprouting angiogenesis skeletal system development osteoblast development transcription, DNA-templated negative regulation of cell proliferation positive regulation of lamellipodium assembly regulation of cardiac muscle contraction by calcium ion signaling positive regulation of smooth muscle cell migration histone deacetylation peptidyl-lysine deacetylation response to drug regulation of protein binding negative regulation of sequence-specific DNA binding transcription factor activity positive regulation of neuron apoptotic process negative regulation of osteoblast differentiation positive regulation of smooth muscle cell proliferation positive regulation of sequence-specific DNA binding transcription factor activity histone H3-K9 modification histone H3 deacetylation histone H4 deacetylation cellular response to mechanical stimulus cellular response to tumor necrosis factor cellular response to parathyroid hormone stimulus positive regulation of reactive oxygen species biosynthetic process regulation of transcription, DNA-templated chromatin modification transcription from RNA polymerase II promoter multicellular organismal response to stress renal tubule morphogenesis cellular response to fluid shear stress positive regulation of neural precursor cell proliferation regulation of histone H3-K9 acetylation positive regulation of stem cell proliferation negative regulation of gene expression negative regulation of striated muscle tissue development response to amphetamine biological_process
          It has to be done as per old AB suggested Products section.

          Disclaimer

          Close

          Clicking the images or links will redirect you to a website hosted by BenchSci that provides third-party scientific content. Neither the content nor the BenchSci technology and processes for selection have been evaluated by us; we are providing them as-is and without warranty of any kind, including for use or application of the Thermo Fisher Scientific products presented.

          guarantee_icon

          性能保障

          只要您发现Invitrogen抗体在实验中的表现与网站或说明书的所述内容不符,您即可享受免费退换货服务。*

          了解更多
          help_icon

          随时为您服务

          获取常见问题的专家解答,或者直接联系我们的技术专家,咨询应用、设备、常规产品使用问题。

          联系技术支持
          订购 Plus Icon Minus Icon
          • 订单状态查询
          • 订单支持
          • 货号直购
          • 现货供应中心
          • 电子采购
          支持 Plus Icon Minus Icon
          • 帮助&支持
          • 联系我们 - 400 820 8982
          • 技术支持中心
          • 查找文件&证书
          • 报告网站问题
          资源 Plus Icon Minus Icon
          • 学习中心
          • 促销
          • 活动&研讨会
          • 社交媒体
          关于赛默飞 Plus Icon Minus Icon
          • 关于我们
          • 招聘 招聘
          • 投资者关系 投资者关系
          • 新闻 新闻
          • 社会责任 社会责任
          • 商标
          • 政策和通知
          品牌 Plus Icon Minus Icon
          • Thermo Scientific
          • Applied Biosystems
          • Invitrogen
          • Gibco
          • Ion Torrent
          • Unity Lab Services
          • Patheon
          • PPD
          • 服务条款
          • 隐私政策
          • 定价和运输保险政策
          © 2006-2026 Thermo Fisher Scientific Inc. All rights reserved. All trademarks are the property of Thermo Fisher Scientific and its subsidiaries unless otherwise specified.
          China flag icon
          China
          本网站销售的所有产品均不得用于人类或动物之临床诊断或治疗,仅可用于工业或者科研等非医疗目的。
             电子营业执照 | 经营证照公示 | ICP备案号:沪ICP备11003924号 | 沪公网安备 31011502006935号

          Your items have has been added!


          Host server : magellan-search-green-6479c7f679-v472f:80/100.66.78.195:80.
          git-commit: b70c0dceb888abc3b0dcebb5bc3a5b8753e7e816
          git-url: https://github.com/thermofisher/magellan-search
          git-branch: release/2.50.0-Offline