Hamburger Menu Button
Thermo Fisher Scientific Logo
登录
没有账号?建立账号 注册
  • 产品
    • 抗体
    • 引物合成
    • GeneArt Gene Synthesis Instant Designer
    • TaqMan Assay and Array Search
    • PCR 设备和耗材
    • 色谱柱和纯化柱
    • 实验室离心机
    • 分子生物学试剂和试剂盒
    • 实验室塑料耗材及用品
    • 查看所有产品分类
  • 应用和技术
    • 色谱
    • 细胞转染和培养
    • 实时荧光定量PCR
    • 质谱
    • 实验室塑料耗材及用品
    • 电子显微镜
    • 蛋白质生物学
    • PCR
    • RNAi
    • 环境
    • 查看所有应用和技术
  • 服务
    • 定制服务
    • 企业级实验室信息化服务
    • 金融&租赁服务
    • 仪器服务
    • OEM和商业供应
    • 培训服务
    • 360° CDMO 和 CRO 服务
    • CDMO 服务
    • 临床试验 CRO 服务
    • Unity Lab Services
    • 查看所有帮助和支持
  • 帮助和支持
    • 学习中心
    • 联系我们
    • 更改国家或地区
    • 查看所有帮助和支持
  • 热门产品
    • TaqMan Real-Time PCR Assays
      TaqMan 实时荧光定量 PCR 试剂盒
    • Antibodies
      抗体
    • Oligos, Primers & Probes
      寡核苷酸、引物、探针
    • GeneArt Gene Synthesis
      GeneArt 基因合成
    • Cell Culture Plastics
      细胞培养耗材
  • Who We Serve
    • 抗体治疗解决方案
    • 细胞与基因治疗解决方案
    • 学术科研
    • 工业与应用
  • 联系我们
  • 货号直购
  • 订单查询
  • 查找文件&证书
Thermo Fisher Scientific Logo

Search

搜索全部或下列指定分类
Search button
          • 联系我们
          • 货号直购
          • 登录
            登录
            没有账号?建立账号 注册
            • 我的账号
            • 订单
            • 会员中心
            • 账单及发票查询
            • 定制产品及项目
          • Primary Antibodies ›
          • HSP90 Antibodies

          Invitrogen

          Phospho-HSP90 (Tyr627) Polyclonal Antibody

          查看其他33个HSP90抗体

          {{$productOrderCtrl.translations['antibody.pdp.commerceCard.promotion.promotions']}}

          {{$productOrderCtrl.translations['antibody.pdp.commerceCard.promotion.viewpromo']}}

          {{$productOrderCtrl.translations['antibody.pdp.commerceCard.promotion.promocode']}}: {{promo.promoCode}} {{promo.promoTitle}} {{promo.promoDescription}}. {{$productOrderCtrl.translations['antibody.pdp.commerceCard.promotion.learnmore']}}

          说明书
          证书
          实验方案
          问题与答案
          技术支持
          说明书
          证书
          实验方案
          问题与答案
          技术支持
          说明书
          证书
          实验方案
          问题与答案
          技术支持

          Cite Phospho-HSP90 (Tyr627) Polyclonal Antibody

          Additional Information:
          {{banner.description}}
          {{$ctrl.isSkuNotesCollapsed ? 'View more' : 'View less'}}
          • 抗体检测数据 (4)
          Phospho-HSP90 (Tyr627) Antibody in Immunohistochemistry (Paraffin) (IHC (P))
          Group 53 Created with Sketch.
          Phospho-HSP90 (Tyr627) Antibody in Immunohistochemistry (Paraffin) (IHC (P))
          Group 53 Created with Sketch.

          图: 1 / 4

          {{ $ctrl.currentElement.advancedVerification.fullName }}
          {{ $ctrl.currentElement.advancedVerification.text }}

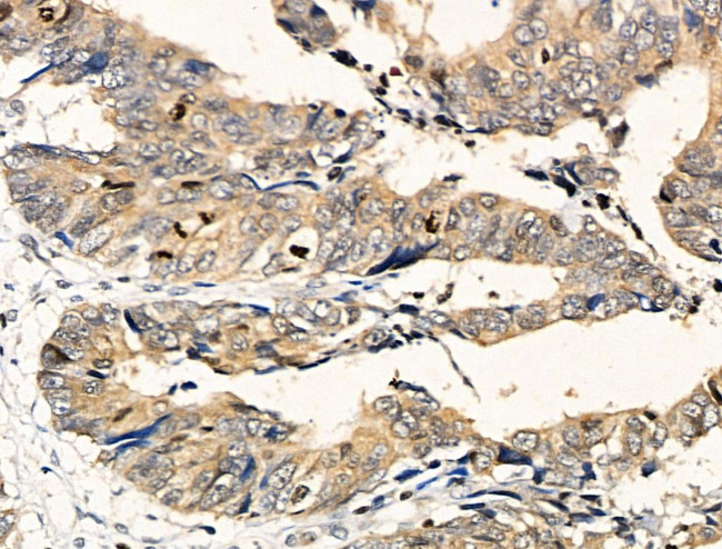
          Phospho-HSP90 (Tyr627) Antibody (PA5-114584) in IHC (P)

          Immunohistochemistry analysis of Phospho-HSP90 (Tyr627) in human colorectal cancer. Samples were treated with formaldehyde and treated with citrate buffer for antigen retrieval, blocked, and incubated (1.5 hours at 22°C) with polyclonal antibody (Product # PA5-114584) at a dilution of 1:100. Secondary staining was applied with HRP conjugated anti-Rabbit. {{ $ctrl.currentElement.advancedVerification.fullName }} 验证信息 View more
          已发表图片由___提供 benchsci-logo
          PMID: {{$ctrl.currentElement.benchSciPubmedId}}
          查看产品

          {{$ctrl.videoDesc}}

          {{$ctrl.videoLongDesc}}

          Phospho-HSP90 (Tyr627) Antibody in Immunohistochemistry (Paraffin) (IHC (P))
          Phospho-HSP90 (Tyr627) Antibody in Immunohistochemistry (Paraffin) (IHC (P))
          Phospho-HSP90 (Tyr627) Antibody in Immunohistochemistry (Paraffin) (IHC (P))
          Phospho-HSP90 (Tyr627) Antibody in Western Blot (WB)
          Phospho-HSP90 (Tyr627) Polyclonal Antibody

          产品信息

          PA5-114584

          应用
          建议稀释比
          已发表文章

          免疫印迹 (WB)

          1:500-1:2,000
          -

          免疫组化(石蜡) (IHC (P))

          1:50-1:200
          -
          产品规格

          种属反应

          Human, Mouse, Non-human primate, Rat

          宿主/亚型

          Rabbit / IgG

          分类

          Polyclonal

          类型

          Antibody

          抗原

          A synthesized peptide derived from human Hsp90 alpha around the phosphorylation site of Tyr627.
          3D表位/免疫原

          偶联物

          Unconjugated Unconjugated Unconjugated

          形式

          Liquid

          浓度

          1 mg/mL

          规格

          100 µg

          纯化类型

          sequential chromatography

          保存液

          PBS with 50% glycerol

          内含物

          0.02% sodium azide

          保存条件

          -20°C

          运输条件

          Ambient (domestic); Wet ice (international)

          RRID

          AB_2899220

          产品详细信息

          Antibody detects endogenous levels of Hsp90 alpha only when phosphorylated at Tyr627.

          靶标信息

          HSP90 proteins are highly conserved molecular chaperones that have key roles in signal transduction, protein folding, protein degradation, and morphologic evolution. HSP90 proteins normally associate with other cochaperones and play important roles in folding newly synthesized proteins or stabilizing and refolding denatured proteins after stress. There are 2 major cytosolic HSP90 proteins, HSP90AA1, an inducible form, and HSP90AB1 and mitochondria (Chen et al., 2005 ).

          仅用于科研。不用于诊断过程。未经明确授权不得转售。

          篇参考文献 (0)

          您是否在文献中引用过该产品?请点击下方按钮邮件告知我们。
          引用该产品

          生物信息学

          蛋白别名: 90kDa heat shock protein; ATHS83; AtHsp90-1; ATHSP90.1; epididymis luminal secretory protein 52; epididymis secretory sperm binding protein Li 65p; F6N7.13; F6N7_13; Heat shock 84 kDa; Heat shock 86 kDa; heat shock 90kD protein 1, alpha; heat shock 90kD protein 1, alpha-like 4; heat shock 90kD protein 1, beta; heat shock 90kD protein, alpha-like 4; heat shock 90kDa protein 1, alpha; heat shock 90kDa protein 1, beta; Heat shock protein; heat shock protein 1, alpha; heat shock protein 1, beta; HEAT SHOCK PROTEIN 81-1; HEAT SHOCK PROTEIN 83; heat shock protein 86; heat shock protein 90 kDa; HEAT SHOCK PROTEIN 90-1; heat shock protein 90.1; heat shock protein 90kDa alpha (cytosolic), class A member 1; heat shock protein 90kDa alpha (cytosolic), class B member 1; heat shock protein 90kDa alpha family class A member 1; heat shock protein 90kDa alpha family class B member 1; Heat shock protein family C member 1; Heat shock protein family C member 3; Heat shock protein HSP 90-alpha; Heat shock protein HSP 90-beta; heat shock protein, 1; heat shock protein, 84 kDa 1; heat shock protein, 86 kDa 1; heat shock protein, 89 kDa; HSP; HSP 84; HSP 86; HSP 90; HSP81-1; HSP81.1; HSP83; HSP84; HSP86; HSP90-beta; LAP-2; Lipopolysaccharide-associated protein 2; LPS-associated protein 2; Renal carcinoma antigen NY-REN-38; retinal degeneration slow protein; TSTA; Tumor-specific transplantation 84 kDa antigen; Tumor-specific transplantation 86 kDa antigen; unnamed protein product

          查看更多 收起

          基因别名: 86kDa; 89kDa; 90kDa; AL022974; AL024080; AL024147; C81438; D6S182; EL52; HEL-S-65p; Hsp103; hsp4; HSP84; Hsp84-1; HSP86; Hsp86-1; Hsp89; HSP89A; Hsp90; HSP90-BETA; HSP90A; HSP90AA1; HSP90AB1; HSP90B; HSP90N; HSPC1; HSPC2; HSPC3; HSPCA; HSPCAL1; HSPCAL4; HSPCB; HSPN; LAP-2; LAP2

          查看更多 收起

          UniProt ID: (Human) P07900, (Human) P08238, (Mouse) P07901, (Rat) P82995, (Mouse) P11499, (Rat) P34058

          查看更多 收起

          Entrez Gene ID: (Human) 3320, (Human) 3326, (Mouse) 15519, (Rat) 299331, (Mouse) 15516, (Rat) 301252

          查看更多 收起

          功能
          nucleotide binding UTP binding CTP binding RNA binding mRNA binding protein binding ATP binding GTP binding hydrolase activity ATPase activity sulfonylurea receptor binding protein phosphatase binding MHC class II protein complex binding nitric-oxide synthase regulator activity TPR domain binding ubiquitin protein ligase binding dATP binding identical protein binding protein homodimerization activity histone deacetylase binding protein binding involved in protein folding ion channel binding tau protein binding GTPase binding Rho GDP-dissociation inhibitor binding unfolded protein binding DNA polymerase binding scaffold protein binding disordered domain specific binding ATP-dependent protein folding chaperone enzyme-substrate adaptor activity protein tyrosine kinase binding double-stranded RNA binding protein kinase regulator activity kinase binding protein kinase binding heat shock protein binding peptide binding ATP-dependent protein binding cadherin binding protein dimerization activity protein phosphatase activator activity receptor ligand inhibitor activity histone methyltransferase binding poly(A) RNA binding Hsp90 family chaperone
          参与通路
          neuron migration activation of innate immune response positive regulation of defense response to virus by host skeletal muscle contraction protein folding mitochondrial transport response to unfolded protein telomere maintenance via telomerase response to heat response to cold response to xenobiotic stimulus response to salt stress positive regulation of lamellipodium assembly cardiac muscle cell apoptotic process protein import into mitochondrial matrix regulation of protein ubiquitination positive regulation of telomere maintenance via telomerase positive regulation of protein polymerization positive regulation of interferon-beta production regulation of protein localization cellular response to heat protein refolding response to cocaine positive regulation of protein import into nucleus regulation of apoptotic process regulation of protein complex assembly protein unfolding response to estrogen positive regulation of nitric oxide biosynthetic process positive regulation of protein catabolic process positive regulation of cell size nitric oxide metabolic process response to antibiotic protein stabilization chaperone-mediated protein complex assembly positive regulation of cardiac muscle contraction chaperone-mediated autophagy cellular response to virus regulation of postsynaptic membrane neurotransmitter receptor levels neurofibrillary tangle assembly telomerase holoenzyme complex assembly placenta development virion attachment to host cell positive regulation of transforming growth factor beta receptor signaling pathway negative regulation of proteasomal ubiquitin-dependent protein catabolic process negative regulation of apoptotic process positive regulation of cell differentiation regulation of cell cycle cellular response to interleukin-4 fibril organization negative regulation of proteasomal protein catabolic process positive regulation of protein localization to cell surface nitric oxide biosynthetic process response to stress positive regulation of protein import into nucleus, translocation protein import into mitochondrial outer membrane positive regulation of cytotoxic T cell differentiation regulation of catalytic activity positive regulation of protein binding negative regulation of neuron apoptotic process positive regulation of protein serine/threonine kinase activity regulation of interferon-gamma-mediated signaling pathway regulation of type I interferon-mediated signaling pathway cellular response to organic cyclic compound
          It has to be done as per old AB suggested Products section.

          Disclaimer

          Close

          Clicking the images or links will redirect you to a website hosted by BenchSci that provides third-party scientific content. Neither the content nor the BenchSci technology and processes for selection have been evaluated by us; we are providing them as-is and without warranty of any kind, including for use or application of the Thermo Fisher Scientific products presented.

          guarantee_icon

          性能保障

          只要您发现Invitrogen抗体在实验中的表现与网站或说明书的所述内容不符,您即可享受免费退换货服务。*

          了解更多
          help_icon

          随时为您服务

          获取常见问题的专家解答,或者直接联系我们的技术专家,咨询应用、设备、常规产品使用问题。

          联系技术支持
          订购 Plus Icon Minus Icon
          • 订单状态查询
          • 订单支持
          • 货号直购
          • 现货供应中心
          • 电子采购
          支持 Plus Icon Minus Icon
          • 帮助&支持
          • 联系我们 - 400 820 8982
          • 技术支持中心
          • 查找文件&证书
          • 报告网站问题
          资源 Plus Icon Minus Icon
          • 学习中心
          • 促销
          • 活动&研讨会
          • 社交媒体
          关于赛默飞 Plus Icon Minus Icon
          • 关于我们
          • 招聘 招聘
          • 投资者关系 投资者关系
          • 新闻 新闻
          • 社会责任 社会责任
          • 商标
          • 政策和通知
          品牌 Plus Icon Minus Icon
          • Thermo Scientific
          • Applied Biosystems
          • Invitrogen
          • Gibco
          • Ion Torrent
          • Unity Lab Services
          • Patheon
          • PPD
          • 服务条款
          • 隐私政策
          • 定价和运输保险政策
          © 2006-2026 Thermo Fisher Scientific Inc. All rights reserved. All trademarks are the property of Thermo Fisher Scientific and its subsidiaries unless otherwise specified.
          China flag icon
          China
          本网站销售的所有产品均不得用于人类或动物之临床诊断或治疗,仅可用于工业或者科研等非医疗目的。
             电子营业执照 | 经营证照公示 | ICP备案号:沪ICP备11003924号 | 沪公网安备 31011502006935号

          Your items have has been added!


          Host server : magellan-search-green-6479c7f679-zb4k5:80/100.66.74.142:80.
          git-commit: b70c0dceb888abc3b0dcebb5bc3a5b8753e7e816
          git-url: https://github.com/thermofisher/magellan-search
          git-branch: release/2.50.0-Offline