Hamburger Menu Button
Thermo Fisher Scientific Logo
登录
没有账号?建立账号 注册
  • 产品
    • 抗体
    • 引物合成
    • GeneArt Gene Synthesis Instant Designer
    • TaqMan Assay and Array Search
    • PCR 设备和耗材
    • 色谱柱和纯化柱
    • 实验室离心机
    • 分子生物学试剂和试剂盒
    • 实验室塑料耗材及用品
    • 查看所有产品分类
  • 应用和技术
    • 色谱
    • 细胞转染和培养
    • 实时荧光定量PCR
    • 质谱
    • 实验室塑料耗材及用品
    • 电子显微镜
    • 蛋白质生物学
    • PCR
    • RNAi
    • 环境
    • 查看所有应用和技术
  • 服务
    • 定制服务
    • 企业级实验室信息化服务
    • 金融&租赁服务
    • 仪器服务
    • OEM和商业供应
    • 培训服务
    • 360° CDMO 和 CRO 服务
    • CDMO 服务
    • 临床试验 CRO 服务
    • Unity Lab Services
    • 查看所有帮助和支持
  • 帮助和支持
    • 学习中心
    • 联系我们
    • 更改国家或地区
    • 查看所有帮助和支持
  • 热门产品
    • TaqMan Real-Time PCR Assays
      TaqMan 实时荧光定量 PCR 试剂盒
    • Antibodies
      抗体
    • Oligos, Primers & Probes
      寡核苷酸、引物、探针
    • GeneArt Gene Synthesis
      GeneArt 基因合成
    • Cell Culture Plastics
      细胞培养耗材
  • Who We Serve
    • 抗体治疗解决方案
    • 细胞与基因治疗解决方案
    • 学术科研
    • 工业与应用
  • 联系我们
  • 货号直购
  • 订单查询
  • 查找文件&证书
Thermo Fisher Scientific Logo

Search

搜索全部或下列指定分类
Search button
          • 联系我们
          • 货号直购
          • 登录
            登录
            没有账号?建立账号 注册
            • 我的账号
            • 订单
            • 会员中心
            • 账单及发票查询
            • 定制产品及项目
          • Primary Antibodies ›
          • ITCH Antibodies

          Invitrogen

          Phospho-ITCH (Tyr420) Polyclonal Antibody

          查看其他25个ITCH抗体

          {{$productOrderCtrl.translations['antibody.pdp.commerceCard.promotion.promotions']}}

          {{$productOrderCtrl.translations['antibody.pdp.commerceCard.promotion.viewpromo']}}

          {{$productOrderCtrl.translations['antibody.pdp.commerceCard.promotion.promocode']}}: {{promo.promoCode}} {{promo.promoTitle}} {{promo.promoDescription}}. {{$productOrderCtrl.translations['antibody.pdp.commerceCard.promotion.learnmore']}}

          说明书
          证书
          实验方案
          问题与答案
          技术支持
          说明书
          证书
          实验方案
          问题与答案
          技术支持
          说明书
          证书
          实验方案
          问题与答案
          技术支持

          Cite Phospho-ITCH (Tyr420) Polyclonal Antibody

          Additional Information:
          {{banner.description}}
          {{$ctrl.isSkuNotesCollapsed ? 'View more' : 'View less'}}
          • 抗体检测数据 (1)
          Phospho-ITCH (Tyr420) Antibody in Immunohistochemistry (Paraffin) (IHC (P))
          Group 53 Created with Sketch.
          Phospho-ITCH (Tyr420) Antibody in Immunohistochemistry (Paraffin) (IHC (P))
          Group 53 Created with Sketch.

          图: 1 / 1

          {{ $ctrl.currentElement.advancedVerification.fullName }}
          {{ $ctrl.currentElement.advancedVerification.text }}

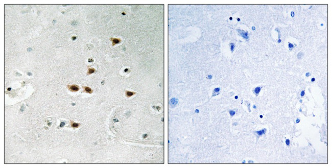
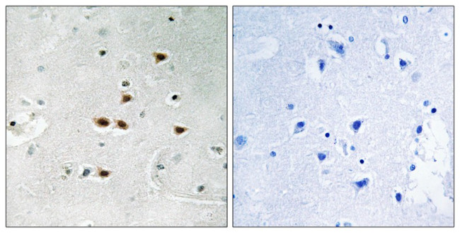
          Phospho-ITCH (Tyr420) Antibody (PA5-37798) in IHC (P)

          Immunohistochemical analysis of Phospho-ITCH (Tyr420) in paraffin-embedded Human brain tissue using Phospho-ITCH (Tyr420) Polyclonal Antibody (Product # PA5-37798) (left) or the same antibody preincubated with blocking peptide (right). {{ $ctrl.currentElement.advancedVerification.fullName }} 验证信息 View more
          已发表图片由___提供 benchsci-logo
          PMID: {{$ctrl.currentElement.benchSciPubmedId}}
          查看产品

          {{$ctrl.videoDesc}}

          {{$ctrl.videoLongDesc}}

          Phospho-ITCH (Tyr420) Antibody in Immunohistochemistry (Paraffin) (IHC (P))
          Phospho-ITCH (Tyr420) Polyclonal Antibody

          产品信息

          PA5-37798

          应用
          建议稀释比
          已发表文章

          免疫组化(石蜡) (IHC (P))

          1:50-1:100
          -
          产品规格

          种属反应

          Human, Mouse

          宿主/亚型

          Rabbit / IgG

          分类

          Polyclonal

          类型

          Antibody

          抗原

          Peptide sequence around phosphorylation site of tyrosine 420(F-I-Y(p)-G-N) derived from Human ITCH.
          3D表位/免疫原

          偶联物

          Unconjugated Unconjugated Unconjugated

          形式

          Liquid

          浓度

          1 mg/mL

          规格

          100 µg

          纯化类型

          Antigen affinity chromatography

          保存液

          PBS, pH 7.4, with 50% glycerol

          内含物

          0.02% sodium azide

          保存条件

          -20°C

          运输条件

          Ambient (domestic); Wet ice (international)

          RRID

          AB_2554406

          产品详细信息

          A suggested positive control for IHC is human brain tissue.

          靶标信息

          Atrophin-1 contains a polyglutamine repeat, expansion of which is responsible for dentatorubral and pallidoluysian atrophy. The protein encoded by this gene interacts with atrophin-1. This encoded protein is a closely related member of the NEDD4-like protein family. This family of proteins are E3 ubiquitin-ligase molecules and regulate key trafficking decisions, including targeting of proteins to proteosomes or lysosomes. This encoded protein contains four tandem WW domains and a HECT domain. It can act as a transcriptional corepressor of p45/NFE2 and may participate in the regulation of immune responses by modifying Notch-mediated signaling. It is highly similar to the mouse Itch protein, which has been implicated in the regulation and differentiation of erythroid and lymphoid cells.

          仅用于科研。不用于诊断过程。未经明确授权不得转售。

          篇参考文献 (0)

          您是否在文献中引用过该产品?请点击下方按钮邮件告知我们。
          引用该产品

          生物信息学

          蛋白别名: AIP4; atrophin-1 interacting protein 4; Atrophin-1-interacting protein 4; dJ468O1.1; E3 ubiquitin-protein ligase Itchy; E3 ubiquitin-protein ligase Itchy homolog; HECT-type E3 ubiquitin transferase Itchy homolog; Itch; itchy E3 ubiquitin protein ligase homolog; NAPP1; Nedd 4 like ubiquitin protein ligase; NFE2-associated polypeptide 1; unnamed protein product

          查看更多 收起

          基因别名: 6720481N21Rik; 8030492O04Rik; A130065M08; ADMFD; AIF4; AIP4; C230047C07Rik; ITCH; NAPP1

          查看更多 收起

          UniProt ID: (Human) Q96J02, (Mouse) Q8C863

          查看更多 收起

          Entrez Gene ID: (Human) 83737, (Mouse) 16396

          查看更多 收起

          功能
          ubiquitin-protein transferase activity protein binding transferase activity ligase activity ubiquitin-like protein transferase activity ubiquitin-ubiquitin ligase activity ribonucleoprotein complex binding ubiquitin-like protein ligase binding CXCR chemokine receptor binding ubiquitin protein ligase activity arrestin family protein binding UDP-N-acetylmuramoylalanyl-D-glutamyl-2,6-diaminopimelate-D-alanyl-D-alanine ligase activity ribosomal S6-glutamic acid ligase activity coenzyme F420-0 gamma-glutamyl ligase activity coenzyme F420-2 alpha-glutamyl ligase activity protein-glycine ligase activity protein-glycine ligase activity, initiating protein-glycine ligase activity, elongating tubulin-glycine ligase activity protein-glutamic acid ligase activity tubulin-glutamic acid ligase activity ubiquitin-protein ligase
          参与通路
          protein polyubiquitination regulation of cell growth immune system process positive regulation of T cell anergy negative regulation of immune system process positive regulation of immune system process cytoplasmic pattern recognition receptor signaling pathway T cell anergy ubiquitin-dependent protein catabolic process protein monoubiquitination apoptotic process inflammatory response response to oxidative stress positive regulation of catabolic process regulation of gene expression positive regulation of macromolecule metabolic process protein ubiquitination protein catabolic process receptor internalization negative regulation of type I interferon production protein K29-linked ubiquitination CD4-positive, alpha-beta T cell proliferation nucleotide-binding domain, leucine rich repeat containing receptor signaling pathway CXCL12-activated CXCR4 signaling pathway negative regulation of viral-induced cytoplasmic pattern recognition receptor signaling pathway negative regulation of apoptotic process negative regulation of I-kappaB kinase/NF-kappaB signaling proteasome-mediated ubiquitin-dependent protein catabolic process innate immune response positive regulation of protein catabolic process negative regulation of JNK cascade viral entry into host cell negative regulation of defense response to virus negative regulation of multicellular organismal process defense response to virus protein autoubiquitination regulation of necroptotic process protein K63-linked ubiquitination protein K48-linked ubiquitination regulation of protein deubiquitination protein branched polyubiquitination regulation of hematopoietic stem cell differentiation negative regulation of intracellular signal transduction negative regulation of CD4-positive, alpha-beta T cell proliferation positive regulation of receptor catabolic process negative regulation of NF-kappaB transcription factor activity protein ubiquitination involved in ubiquitin-dependent protein catabolic process negative regulation of alpha-beta T cell proliferation
          It has to be done as per old AB suggested Products section.

          Disclaimer

          Close

          Clicking the images or links will redirect you to a website hosted by BenchSci that provides third-party scientific content. Neither the content nor the BenchSci technology and processes for selection have been evaluated by us; we are providing them as-is and without warranty of any kind, including for use or application of the Thermo Fisher Scientific products presented.

          guarantee_icon

          性能保障

          只要您发现Invitrogen抗体在实验中的表现与网站或说明书的所述内容不符,您即可享受免费退换货服务。*

          了解更多
          help_icon

          随时为您服务

          获取常见问题的专家解答,或者直接联系我们的技术专家,咨询应用、设备、常规产品使用问题。

          联系技术支持
          订购 Plus Icon Minus Icon
          • 订单状态查询
          • 订单支持
          • 货号直购
          • 现货供应中心
          • 电子采购
          支持 Plus Icon Minus Icon
          • 帮助&支持
          • 联系我们 - 400 820 8982
          • 技术支持中心
          • 查找文件&证书
          • 报告网站问题
          资源 Plus Icon Minus Icon
          • 学习中心
          • 促销
          • 活动&研讨会
          • 社交媒体
          关于赛默飞 Plus Icon Minus Icon
          • 关于我们
          • 招聘 招聘
          • 投资者关系 投资者关系
          • 新闻 新闻
          • 社会责任 社会责任
          • 商标
          • 政策和通知
          品牌 Plus Icon Minus Icon
          • Thermo Scientific
          • Applied Biosystems
          • Invitrogen
          • Gibco
          • Ion Torrent
          • Unity Lab Services
          • Patheon
          • PPD
          • 服务条款
          • 隐私政策
          • 定价和运输保险政策
          © 2006-2026 Thermo Fisher Scientific Inc. All rights reserved. All trademarks are the property of Thermo Fisher Scientific and its subsidiaries unless otherwise specified.
          China flag icon
          China
          本网站销售的所有产品均不得用于人类或动物之临床诊断或治疗,仅可用于工业或者科研等非医疗目的。
             电子营业执照 | 经营证照公示 | ICP备案号:沪ICP备11003924号 | 沪公网安备 31011502006935号

          Your items have has been added!


          Host server : magellan-search-green-6479c7f679-jmhj8:80/100.66.74.142:80.
          git-commit: b70c0dceb888abc3b0dcebb5bc3a5b8753e7e816
          git-url: https://github.com/thermofisher/magellan-search
          git-branch: release/2.50.0-Offline