Hamburger Menu Button
Thermo Fisher Scientific Logo
登录
没有账号?建立账号 注册
  • 产品
    • 抗体
    • 引物合成
    • GeneArt Gene Synthesis Instant Designer
    • TaqMan Assay and Array Search
    • PCR 设备和耗材
    • 色谱柱和纯化柱
    • 实验室离心机
    • 分子生物学试剂和试剂盒
    • 实验室塑料耗材及用品
    • 查看所有产品分类
  • 应用和技术
    • 色谱
    • 细胞转染和培养
    • 实时荧光定量PCR
    • 质谱
    • 实验室塑料耗材及用品
    • 电子显微镜
    • 蛋白质生物学
    • PCR
    • RNAi
    • 环境
    • 查看所有应用和技术
  • 服务
    • 定制服务
    • 企业级实验室信息化服务
    • 企业服务
    • 金融&租赁服务
    • 仪器服务
    • OEM和商业供应
    • 培训服务
    • 360° CDMO 和 CRO 服务
    • CDMO 服务
    • 临床试验 CRO 服务
    • 查看所有帮助和支持
  • 帮助和支持
    • 学习中心
    • 联系我们
    • 更改国家或地区
    • 查看所有帮助和支持
  • 热门产品
    • TaqMan Real-Time PCR Assays
      TaqMan 实时荧光定量 PCR 试剂盒
    • Antibodies
      抗体
    • Oligos, Primers & Probes
      寡核苷酸、引物、探针
    • GeneArt Gene Synthesis
      GeneArt 基因合成
    • Cell Culture Plastics
      细胞培养耗材
  • 联系我们
  • 货号直购
  • 订单查询
  • 查找文件&证书
Thermo Fisher Scientific Logo

Search

搜索全部或下列指定分类
Search button
          • 联系我们
          • 货号直购
          • 登录
            登录
            没有账号?建立账号 注册
            • 我的账号
            • 订单
            • 账单及发票查询
            • 定制产品及项目

          Disclaimer

          Clicking the images or links will redirect you to a website hosted by BenchSci that provides third-party scientific content. Neither the content nor the BenchSci technology and processes for selection have been evaluated by us; we are providing them as-is and without warranty of any kind, including for use or application of the Thermo Fisher Scientific products presented.

          • Primary Antibodies ›
          • JAK2 Antibodies

          Invitrogen

          Phospho-JAK2 (Tyr1007, Tyr1008) Recombinant Rabbit Monoclonal Antibody (1A4)

          查看其他43个JAK2抗体

          {{$productOrderCtrl.translations['antibody.pdp.commerceCard.promotion.promotions']}}

          {{$productOrderCtrl.translations['antibody.pdp.commerceCard.promotion.viewpromo']}}

          {{$productOrderCtrl.translations['antibody.pdp.commerceCard.promotion.promocode']}}: {{promo.promoCode}} {{promo.promoTitle}} {{promo.promoDescription}}. {{$productOrderCtrl.translations['antibody.pdp.commerceCard.promotion.learnmore']}}

          说明书
          证书
          实验方案
          问题与答案
          技术支持
          说明书
          证书
          实验方案
          问题与答案
          技术支持
          说明书
          证书
          实验方案
          问题与答案
          技术支持

          Cite Phospho-JAK2 (Tyr1007, Tyr1008) Recombinant Rabbit Monoclonal Antibody (1A4)

          • 抗体检测数据 (4)
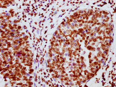
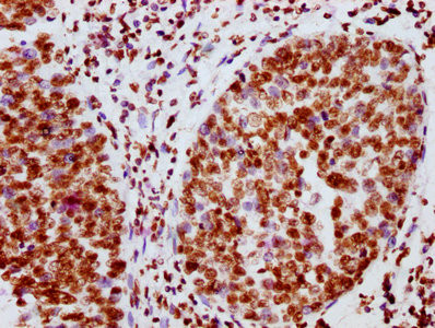
          Phospho-JAK2 (Tyr1007, Tyr1008) Antibody in Immunohistochemistry (Paraffin) (IHC (P))
          Group 53 Created with Sketch.
          Phospho-JAK2 (Tyr1007, Tyr1008) Antibody in Immunohistochemistry (Paraffin) (IHC (P))
          Group 53 Created with Sketch.

          图: 1 / 4

          {{ $ctrl.currentElement.advancedVerification.fullName }}
          {{ $ctrl.currentElement.advancedVerification.text }}

          Phospho-JAK2 (Tyr1007, Tyr1008) Antibody (MA5-49770) in IHC (P)

          Immunohistochemistry analysis with a Phospho-JAK2 (Tyr1007, Tyr1008) monoclonal antibody (Product # MA5-49770) using a dilution of 1:100 and staining in paraffin-embedded human cervical cancer performed on a Leica BondTM system. After dewaxing and hydration, antigen retrieval was mediated by high pressure in a citrate buffer (pH 6.0). Section was blocked with 10% normal goat serum 30 min at RT. Then primary... View More {{ $ctrl.currentElement.advancedVerification.fullName }} 验证信息 View more
          已发表图片由___提供 benchsci-logo
          PMID: {{$ctrl.currentElement.benchSciPubmedId}}
          查看产品

          {{$ctrl.videoDesc}}

          {{$ctrl.videoLongDesc}}

          Phospho-JAK2 (Tyr1007, Tyr1008) Antibody in Immunohistochemistry (Paraffin) (IHC (P))
          Phospho-JAK2 (Tyr1007, Tyr1008) Antibody in Immunohistochemistry (Paraffin) (IHC (P))
          Phospho-JAK2 (Tyr1007, Tyr1008) Antibody in Western Blot (WB)
          Phospho-JAK2 (Tyr1007, Tyr1008) Antibody in Immunoprecipitation (IP)
          Phospho-JAK2 (Tyr1007, Tyr1008) Recombinant Rabbit Monoclonal Antibody (1A4)

          产品信息

          MA5-49770

          应用
          建议稀释比
          已发表文章

          免疫印迹 (WB)

          1:500-1:5,000
          -

          免疫组化(石蜡) (IHC (P))

          1:50-1:200
          -

          酶联免疫吸附实验 (ELISA)

          Assay-dependent
          -

          免疫沉淀 (IP)

          1:200-1:1,000
          -
          产品规格

          种属反应

          Human

          宿主/亚型

          Rabbit / IgG

          Expression System

          HEK293 cells

          分类

          Recombinant Monoclonal

          类型

          Antibody

          克隆号

          1A4

          抗原

          A synthesized peptide derived from human Phospho-JAK2 (Y1007 + Y1008)
          查看免疫原

          偶联物

          Unconjugated Unconjugated Unconjugated

          形式

          Liquid

          浓度

          0.25 mg/mL

          纯化类型

          Affinity chromatography

          保存液

          PBS, pH 7.4, with 50% glycerol

          内含物

          0.02% sodium azide

          保存条件

          -20°C or -80°C if preferred

          运输条件

          Ambient (domestic); Wet ice (international)

          RRID

          AB_3092686

          靶标信息

          Janus kinase 2 (JAK2) is a protein tyrosine kinase involved in a specific subset of cytokine receptor signaling pathways and is mutated in polycythemia vera. This kinase contains the catalytic domain (JH1) of JAK2. The activation of JAKs can lead to the phosphorylation of STAT (signal transducers and activatiors of transcription) proteins, which dimerize and translocate to the nucleus. Once translocated to the nucleus, the STAT proteins can modify transcription of numerous genes, including interferon-stimulated genes. JAK2 is required for the IFN gamma-receptor complex initiation and JAK1 functions as an amplifier. Some studies have suggested that the role of JAK2 might be performed by Tyk2 and JAK3, if they were positioned correctly within the IFN gamma-receptor complex. Mutations affecting JAK2 can cause Budd-Chiari syndrome, Polycythemia vera, Thrombocythemia 3, myelofibrosis, or Acute myelogenous leukemia.

          仅用于科研。不用于诊断过程。未经明确授权不得转售。

          篇参考文献 (0)

          您是否在文献中引用过该产品?请点击下方按钮邮件告知我们。
          引用该产品

          生物信息学

          蛋白别名: EC 2.7.10.2; JAK 2; JAK-2; Janus kinase 2; Janus kinase 2 (a protein tyrosine kinase); JTK 10; kinase Jak2; Tyrosine-protein kinase JAK2

          查看更多 收起

          基因别名: JAK2; JTK10; THCYT3

          查看更多 收起

          UniProt ID: (Human) O60674

          查看更多 收起

          Entrez Gene ID: (Human) 3717

          查看更多 收起

          功能
          protein kinase activity protein tyrosine kinase activity non-membrane spanning protein tyrosine kinase activity Ras guanyl-nucleotide exchange factor activity receptor binding growth hormone receptor binding interleukin-12 receptor binding protein binding ATP binding protein C-terminus binding protein kinase binding heme binding type 1 angiotensin receptor binding acetylcholine receptor binding histone kinase activity (H3-Y41 specific) SH2 domain binding histone binding phosphatidylinositol 3-kinase binding insulin receptor substrate binding metal ion binding peptide hormone receptor binding
          参与通路
          MAPK cascade activation of MAPKK activity adaptive immune response protein phosphorylation apoptotic process activation of cysteine-type endopeptidase activity involved in apoptotic process movement of cell or subcellular component signal transduction enzyme linked receptor protein signaling pathway G-protein coupled receptor signaling pathway positive regulation of cytosolic calcium ion concentration JAK-STAT cascade tyrosine phosphorylation of STAT protein STAT protein import into nucleus mesoderm development blood coagulation positive regulation of cell proliferation negative regulation of cell proliferation intrinsic apoptotic signaling pathway in response to oxidative stress negative regulation of cardiac muscle cell apoptotic process positive regulation of cell-substrate adhesion positive regulation of phosphatidylinositol 3-kinase signaling cell migration peptidyl-tyrosine phosphorylation cytokine-mediated signaling pathway negative regulation of cell-cell adhesion actin filament polymerization cell differentiation erythrocyte differentiation positive regulation of cell migration axon regeneration mineralocorticoid receptor signaling pathway positive regulation of insulin secretion response to lipopolysaccharide positive regulation of phosphoprotein phosphatase activity positive regulation of interleukin-1 beta production positive regulation of tumor necrosis factor production positive regulation of protein import into nucleus, translocation response to hydroperoxide tumor necrosis factor-mediated signaling pathway response to tumor necrosis factor histone H3-Y41 phosphorylation intracellular signal transduction interleukin-12-mediated signaling pathway peptidyl-tyrosine autophosphorylation regulation of cell proliferation tyrosine phosphorylation of Stat3 protein tyrosine phosphorylation of Stat5 protein tyrosine phosphorylation of Stat1 protein positive regulation of tyrosine phosphorylation of Stat3 protein positive regulation of tyrosine phosphorylation of Stat5 protein activation of JAK2 kinase activity regulation of apoptotic process positive regulation of DNA binding negative regulation of DNA binding negative regulation of neuron apoptotic process positive regulation of GTPase activity innate immune response positive regulation of nitric oxide biosynthetic process positive regulation of cell differentiation negative regulation of heart contraction response to antibiotic protein autophosphorylation platelet-derived growth factor receptor signaling pathway regulation of inflammatory response positive regulation of inflammatory response positive regulation of peptidyl-tyrosine phosphorylation positive regulation of cell activation positive regulation of sequence-specific DNA binding transcription factor activity positive regulation of nitric-oxide synthase biosynthetic process interferon-gamma-mediated signaling pathway regulation of interferon-gamma-mediated signaling pathway growth hormone receptor signaling pathway JAK-STAT cascade involved in growth hormone signaling pathway positive regulation of growth hormone receptor signaling pathway mammary gland epithelium development response to interleukin-12 extrinsic apoptotic signaling pathway activation of cysteine-type endopeptidase activity involved in apoptotic signaling pathway
          It has to be done as per old AB suggested Products section.
          guarantee_icon

          性能保障

          只要您发现Invitrogen抗体在实验中的表现与网站或说明书的所述内容不符,您即可享受免费退换货服务。*

          了解更多
          help_icon

          随时为您服务

          获取常见问题的专家解答,或者直接联系我们的技术专家,咨询应用、设备、常规产品使用问题。

          联系技术支持
          订购 Plus Icon Minus Icon
          • 订单状态查询
          • 订单支持
          • 货号直购
          • 现货供应中心
          • 电子采购
          支持 Plus Icon Minus Icon
          • 帮助&支持
          • 联系我们 - 400 820 8982
          • 技术支持中心
          • 查找文件&证书
          • 报告网站问题
          资源 Plus Icon Minus Icon
          • 学习中心
          • 促销
          • 活动&研讨会
          • 社交媒体
          关于赛默飞 Plus Icon Minus Icon
          • 关于我们
          • 招聘 招聘
          • 投资者关系 投资者关系
          • 新闻 新闻
          • 社会责任 社会责任
          • 商标
          • 政策和通知
          品牌 Plus Icon Minus Icon
          • Thermo Scientific
          • Applied Biosystems
          • Invitrogen
          • Gibco
          • Ion Torrent
          • Patheon
          • PPD
          • 服务条款
          • 隐私政策
          • 定价和运输保险政策
          © 2006-2026 Thermo Fisher Scientific Inc. All rights reserved. All trademarks are the property of Thermo Fisher Scientific and its subsidiaries unless otherwise specified.
          China flag icon
          China
          本网站销售的所有产品均不得用于人类或动物之临床诊断或治疗,仅可用于工业或者科研等非医疗目的。
             电子营业执照 | 经营证照公示 | ICP备案号:沪ICP备11003924号 | 沪公网安备 31011502006935号

          Your items have has been added!


          Host server : magellan-search-blue-55ff9ddd88-w4hmg:80/100.66.74.55:80.
          git-commit: d366ff9721d93504b2ac26a183b2b3e3d0e7d9ec
          git-url: https://github.com/thermofisher/magellan-search
          git-branch: release/2.42.0-2026.01.03-1.0