Hamburger Menu Button
Thermo Fisher Scientific Logo
登录
没有账号?建立账号 注册
  • 产品
    • 抗体
    • 引物合成
    • GeneArt Gene Synthesis Instant Designer
    • TaqMan Assay and Array Search
    • PCR 设备和耗材
    • 色谱柱和纯化柱
    • 实验室离心机
    • 分子生物学试剂和试剂盒
    • 实验室塑料耗材及用品
    • 查看所有产品分类
  • 应用和技术
    • 色谱
    • 细胞转染和培养
    • 实时荧光定量PCR
    • 质谱
    • 实验室塑料耗材及用品
    • 电子显微镜
    • 蛋白质生物学
    • PCR
    • RNAi
    • 环境
    • 查看所有应用和技术
  • 服务
    • 定制服务
    • 企业级实验室信息化服务
    • 金融&租赁服务
    • 仪器服务
    • OEM和商业供应
    • 培训服务
    • 360° CDMO 和 CRO 服务
    • CDMO 服务
    • 临床试验 CRO 服务
    • Unity Lab Services
    • 查看所有帮助和支持
  • 帮助和支持
    • 学习中心
    • 联系我们
    • 更改国家或地区
    • 查看所有帮助和支持
  • 热门产品
    • TaqMan Real-Time PCR Assays
      TaqMan 实时荧光定量 PCR 试剂盒
    • Antibodies
      抗体
    • Oligos, Primers & Probes
      寡核苷酸、引物、探针
    • GeneArt Gene Synthesis
      GeneArt 基因合成
    • Cell Culture Plastics
      细胞培养耗材
  • Who We Serve
    • 抗体治疗解决方案
    • 细胞与基因治疗解决方案
    • 学术科研
    • 工业与应用
  • 联系我们
  • 货号直购
  • 订单查询
  • 查找文件&证书
Thermo Fisher Scientific Logo

Search

搜索全部或下列指定分类
Search button
          • 联系我们
          • 货号直购
          • 登录
            登录
            没有账号?建立账号 注册
            • 我的账号
            • 订单
            • 会员中心
            • 账单及发票查询
            • 定制产品及项目
          • Primary Antibodies ›
          • JAK2 Antibodies

          Invitrogen

          Phospho-JAK2 (Tyr1007, Tyr1008) Recombinant Rabbit Monoclonal Antibody (SY24-03)

          查看其他47个JAK2抗体

          {{$productOrderCtrl.translations['antibody.pdp.commerceCard.promotion.promotions']}}

          {{$productOrderCtrl.translations['antibody.pdp.commerceCard.promotion.viewpromo']}}

          {{$productOrderCtrl.translations['antibody.pdp.commerceCard.promotion.promocode']}}: {{promo.promoCode}} {{promo.promoTitle}} {{promo.promoDescription}}. {{$productOrderCtrl.translations['antibody.pdp.commerceCard.promotion.learnmore']}}

          说明书
          证书
          实验方案
          问题与答案
          技术支持
          说明书
          证书
          实验方案
          问题与答案
          技术支持
          说明书
          证书
          实验方案
          问题与答案
          技术支持

          Cite Phospho-JAK2 (Tyr1007, Tyr1008) Recombinant Rabbit Monoclonal Antibody (SY24-03)

          Additional Information:
          {{banner.description}}
          {{$ctrl.isSkuNotesCollapsed ? 'View more' : 'View less'}}
          • 抗体检测数据 (7)
          Phospho-JAK2 (Tyr1007, Tyr1008) Antibody in Immunocytochemistry (ICC/IF)
          Group 53 Created with Sketch.
          Phospho-JAK2 (Tyr1007, Tyr1008) Antibody in Immunocytochemistry (ICC/IF)
          Group 53 Created with Sketch.

          图: 1 / 7

          {{ $ctrl.currentElement.advancedVerification.fullName }}
          {{ $ctrl.currentElement.advancedVerification.text }}

          Phospho-JAK2 (Tyr1007, Tyr1008) Antibody (MA5-42424) in ICC/IF

          Immunocytochemistry-Immunofluorescence analysis of of Phospho-JAK2(Y1007+Y1008) in Hela cells (green). Formalin fixed cells were permeabilized with 0.1% Triton X-100 in TBS for 10 minutes at room temperature and blocked with 1% Blocker BSA for 15 minutes at room temperature. Cells were probed with Phospho-JAK2 (Tyr1007, Tyr1008) Recombinant Monoclonal Antibody (Product # MA5-42424) at a dilution of 1:50 for... View More {{ $ctrl.currentElement.advancedVerification.fullName }} 验证信息 View more
          已发表图片由___提供 benchsci-logo
          PMID: {{$ctrl.currentElement.benchSciPubmedId}}
          查看产品

          {{$ctrl.videoDesc}}

          {{$ctrl.videoLongDesc}}

          Phospho-JAK2 (Tyr1007, Tyr1008) Antibody in Immunocytochemistry (ICC/IF)
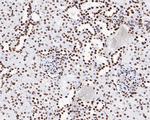
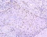
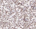
          Phospho-JAK2 (Tyr1007, Tyr1008) Antibody in Immunohistochemistry (Paraffin) (IHC (P))
          Phospho-JAK2 (Tyr1007, Tyr1008) Antibody in Immunohistochemistry (Paraffin) (IHC (P))
          Phospho-JAK2 (Tyr1007, Tyr1008) Antibody in Immunohistochemistry (Paraffin) (IHC (P))
          Phospho-JAK2 (Tyr1007, Tyr1008) Antibody in Immunohistochemistry (Paraffin) (IHC (P))
          Phospho-JAK2 (Tyr1007, Tyr1008) Antibody in Immunohistochemistry (Paraffin) (IHC (P))
          Phospho-JAK2 (Tyr1007, Tyr1008) Antibody in Western Blot (WB)
          Phospho-JAK2 (Tyr1007, Tyr1008) Recombinant Rabbit Monoclonal Antibody (SY24-03)

          产品信息

          MA5-42424

          应用
          建议稀释比
          已发表文章

          免疫印迹 (WB)

          1:1,000
          -

          免疫组化(石蜡) (IHC (P))

          1:200-1:500
          -

          免疫细胞化学 (ICC/IF)

          1:50-1:200
          -

          免疫沉淀 (IP)

          Assay-dependent
          -
          产品规格

          种属反应

          Human

          宿主/亚型

          Rabbit / IgG

          Expression System

          HEK293 cells

          分类

          Recombinant Monoclonal

          类型

          Antibody

          克隆号

          SY24-03

          抗原

          Synthetic phospho-peptide corresponding to residues surrounding Tyr1007 and 1008 of human JAK2.
          3D表位/免疫原

          偶联物

          Unconjugated Unconjugated Unconjugated

          形式

          Liquid

          浓度

          1 mg/mL

          规格

          100 µg

          纯化类型

          Protein A

          保存液

          TBS, pH 7.4, with 40% glycerol, 0.05% BSA

          内含物

          0.05% sodium azide

          保存条件

          Store at 4°C short term. For long term storage, store at -20°C, avoiding freeze/thaw cycles.

          运输条件

          Ambient (domestic); Wet ice (international)

          RRID

          AB_2911565

          产品详细信息

          Positive Control: Jurkat cell lysates, Hela, human lung carcinoma tissue, human tonsil tissue, human kidney tissue, rat kidney tissue, mouse kidney tissue.

          Subcellular Location: Nucleus, Endomembrane system, Cytoplasm.

          靶标信息

          Janus kinase 2 (JAK2) is a protein tyrosine kinase involved in a specific subset of cytokine receptor signaling pathways and is mutated in polycythemia vera. This kinase contains the catalytic domain (JH1) of JAK2. The activation of JAKs can lead to the phosphorylation of STAT (signal transducers and activatiors of transcription) proteins, which dimerize and translocate to the nucleus. Once translocated to the nucleus, the STAT proteins can modify transcription of numerous genes, including interferon-stimulated genes. JAK2 is required for the IFN gamma-receptor complex initiation and JAK1 functions as an amplifier. Some studies have suggested that the role of JAK2 might be performed by Tyk2 and JAK3, if they were positioned correctly within the IFN gamma-receptor complex. Mutations affecting JAK2 can cause Budd-Chiari syndrome, Polycythemia vera, Thrombocythemia 3, myelofibrosis, or Acute myelogenous leukemia.

          仅用于科研。不用于诊断过程。未经明确授权不得转售。

          篇参考文献 (0)

          您是否在文献中引用过该产品?请点击下方按钮邮件告知我们。
          引用该产品

          生物信息学

          蛋白别名: EC 2.7.10.2; JAK 2; JAK-2; Janus kinase 2; Janus kinase 2 (a protein tyrosine kinase); JTK 10; kinase Jak2; Tyrosine-protein kinase JAK2; unnamed protein product

          查看更多 收起

          基因别名: JAK2; JTK10

          查看更多 收起

          UniProt ID: (Human) O60674

          查看更多 收起

          Entrez Gene ID: (Human) 3717

          查看更多 收起

          功能
          nucleotide binding protein kinase activity protein tyrosine kinase activity non-membrane spanning protein tyrosine kinase activity receptor binding growth hormone receptor binding interleukin-12 receptor binding protein binding ATP binding kinase activity transferase activity protein kinase binding heme binding receptor activator activity type 1 angiotensin receptor binding acetylcholine receptor binding histone kinase activity (H3-Y41 specific) SH2 domain binding histone binding identical protein binding phosphatidylinositol 3-kinase binding insulin receptor substrate binding metal ion binding peptide hormone receptor binding
          参与通路
          microglial cell activation positive regulation of cytokine production adaptive immune response immune system process chromatin organization chromatin remodeling transcription from RNA polymerase II promoter apoptotic process immune response response to oxidative stress cell adhesion signal transduction enzyme linked receptor protein signaling pathway positive regulation of cytosolic calcium ion concentration JAK-STAT cascade mesoderm development positive regulation of cell proliferation negative regulation of cell proliferation intrinsic apoptotic signaling pathway in response to oxidative stress hormone-mediated signaling pathway positive regulation of platelet activation negative regulation of cardiac muscle cell apoptotic process positive regulation of cell-substrate adhesion cytokine-mediated signaling pathway regulation of cell-cell adhesion negative regulation of cell-cell adhesion actin filament polymerization myeloid cell differentiation cell differentiation erythrocyte differentiation positive regulation of cell migration axon regeneration lipopolysaccharide-mediated signaling pathway mineralocorticoid receptor signaling pathway positive regulation of insulin secretion positive regulation of interferon-gamma production positive regulation of interleukin-1 beta production positive regulation of interleukin-17 production positive regulation of tumor necrosis factor production positive regulation of natural killer cell proliferation response to hydroperoxide tumor necrosis factor-mediated signaling pathway host programmed cell death induced by symbiont response to tumor necrosis factor post-embryonic hemopoiesis intracellular signal transduction interleukin-12-mediated signaling pathway cellular response to interleukin-3 interleukin-5-mediated signaling pathway collagen-activated signaling pathway interleukin-23-mediated signaling pathway interleukin-3-mediated signaling pathway granulocyte-macrophage colony-stimulating factor signaling pathway erythropoietin-mediated signaling pathway thrombopoietin-mediated signaling pathway positive regulation of T cell proliferation positive regulation of protein import into nucleus positive regulation of tyrosine phosphorylation of STAT protein activation of Janus kinase activity regulation of apoptotic process positive regulation of apoptotic process negative regulation of apoptotic process proteasome-mediated ubiquitin-dependent protein catabolic process positive regulation of MAPK cascade negative regulation of neuron apoptotic process post-translational protein modification T-helper 1 cell differentiation innate immune response positive regulation of MHC class II biosynthetic process regulation of nitric oxide biosynthetic process positive regulation of nitric oxide biosynthetic process positive regulation of cell differentiation positive regulation of transcription from RNA polymerase II promoter regulation of JAK-STAT cascade positive regulation of JAK-STAT cascade regulation of alpha-beta T cell activation response to antibiotic protein autophosphorylation platelet-derived growth factor receptor signaling pathway regulation of inflammatory response modulation of synaptic transmission positive regulation of cell activation positive regulation of NK T cell proliferation positive regulation of protein kinase B signaling interferon-gamma-mediated signaling pathway positive regulation of SMAD protein import into nucleus growth hormone receptor signaling pathway JAK-STAT cascade involved in growth hormone signaling pathway positive regulation of growth hormone receptor signaling pathway negative regulation of growth hormone receptor signaling pathway mammary gland epithelium development interleukin-6-mediated signaling pathway positive regulation of leukocyte proliferation response to interleukin-12 interleukin-35-mediated signaling pathway cellular response to lipopolysaccharide cellular response to dexamethasone stimulus extrinsic apoptotic signaling pathway cellular response to virus positive regulation of cold-induced thermogenesis defense response to symbiont negative regulation of cytokine production involved in inflammatory response positive regulation of platelet aggregation positive regulation of intracellular signal transduction positive regulation of growth factor dependent skeletal muscle satellite cell proliferation positive regulation of epithelial cell apoptotic process positive regulation of vascular smooth muscle cell proliferation regulation of postsynapse to nucleus signaling pathway negative regulation of 3'-UTR-mediated mRNA stabilization positive regulation of T-helper 17 type immune response positive regulation of apoptotic signaling pathway
          It has to be done as per old AB suggested Products section.

          Disclaimer

          Close

          Clicking the images or links will redirect you to a website hosted by BenchSci that provides third-party scientific content. Neither the content nor the BenchSci technology and processes for selection have been evaluated by us; we are providing them as-is and without warranty of any kind, including for use or application of the Thermo Fisher Scientific products presented.

          guarantee_icon

          性能保障

          只要您发现Invitrogen抗体在实验中的表现与网站或说明书的所述内容不符,您即可享受免费退换货服务。*

          了解更多
          help_icon

          随时为您服务

          获取常见问题的专家解答,或者直接联系我们的技术专家,咨询应用、设备、常规产品使用问题。

          联系技术支持
          订购 Plus Icon Minus Icon
          • 订单状态查询
          • 订单支持
          • 货号直购
          • 现货供应中心
          • 电子采购
          支持 Plus Icon Minus Icon
          • 帮助&支持
          • 联系我们 - 400 820 8982
          • 技术支持中心
          • 查找文件&证书
          • 报告网站问题
          资源 Plus Icon Minus Icon
          • 学习中心
          • 促销
          • 活动&研讨会
          • 社交媒体
          关于赛默飞 Plus Icon Minus Icon
          • 关于我们
          • 招聘 招聘
          • 投资者关系 投资者关系
          • 新闻 新闻
          • 社会责任 社会责任
          • 商标
          • 政策和通知
          品牌 Plus Icon Minus Icon
          • Thermo Scientific
          • Applied Biosystems
          • Invitrogen
          • Gibco
          • Ion Torrent
          • Unity Lab Services
          • Patheon
          • PPD
          • 服务条款
          • 隐私政策
          • 定价和运输保险政策
          © 2006-2026 Thermo Fisher Scientific Inc. All rights reserved. All trademarks are the property of Thermo Fisher Scientific and its subsidiaries unless otherwise specified.
          China flag icon
          China
          本网站销售的所有产品均不得用于人类或动物之临床诊断或治疗,仅可用于工业或者科研等非医疗目的。
             电子营业执照 | 经营证照公示 | ICP备案号:沪ICP备11003924号 | 沪公网安备 31011502006935号

          Your items have has been added!


          Host server : magellan-search-green-6479c7f679-2z78h:80/100.66.76.236:80.
          git-commit: b70c0dceb888abc3b0dcebb5bc3a5b8753e7e816
          git-url: https://github.com/thermofisher/magellan-search
          git-branch: release/2.50.0-Offline