Hamburger Menu Button
Thermo Fisher Scientific Logo
登录
没有账号?建立账号 注册
  • 产品
    • 抗体
    • 引物合成
    • GeneArt Gene Synthesis Instant Designer
    • TaqMan Assay and Array Search
    • PCR 设备和耗材
    • 色谱柱和纯化柱
    • 实验室离心机
    • 分子生物学试剂和试剂盒
    • 实验室塑料耗材及用品
    • 查看所有产品分类
  • 应用和技术
    • 色谱
    • 细胞转染和培养
    • 实时荧光定量PCR
    • 质谱
    • 实验室塑料耗材及用品
    • 电子显微镜
    • 蛋白质生物学
    • PCR
    • RNAi
    • 环境
    • 查看所有应用和技术
  • 服务
    • 定制服务
    • 企业级实验室信息化服务
    • 金融&租赁服务
    • 仪器服务
    • OEM和商业供应
    • 培训服务
    • 360° CDMO 和 CRO 服务
    • CDMO 服务
    • 临床试验 CRO 服务
    • Unity Lab Services
    • 查看所有帮助和支持
  • 帮助和支持
    • 学习中心
    • 联系我们
    • 更改国家或地区
    • 查看所有帮助和支持
  • 热门产品
    • TaqMan Real-Time PCR Assays
      TaqMan 实时荧光定量 PCR 试剂盒
    • Antibodies
      抗体
    • Oligos, Primers & Probes
      寡核苷酸、引物、探针
    • GeneArt Gene Synthesis
      GeneArt 基因合成
    • Cell Culture Plastics
      细胞培养耗材
  • Who We Serve
    • 抗体治疗解决方案
    • 细胞与基因治疗解决方案
    • 学术科研
    • 工业与应用
  • 联系我们
  • 货号直购
  • 订单查询
  • 查找文件&证书
Thermo Fisher Scientific Logo

Search

搜索全部或下列指定分类
Search button
          • 联系我们
          • 货号直购
          • 登录
            登录
            没有账号?建立账号 注册
            • 我的账号
            • 订单
            • 会员中心
            • 账单及发票查询
            • 定制产品及项目
          • Primary Antibodies ›
          • MEF2C Antibodies

          Invitrogen

          Phospho-MEF2C (Ser396) Polyclonal Antibody

          查看其他28个MEF2C抗体

          {{$productOrderCtrl.translations['antibody.pdp.commerceCard.promotion.promotions']}}

          {{$productOrderCtrl.translations['antibody.pdp.commerceCard.promotion.viewpromo']}}

          {{$productOrderCtrl.translations['antibody.pdp.commerceCard.promotion.promocode']}}: {{promo.promoCode}} {{promo.promoTitle}} {{promo.promoDescription}}. {{$productOrderCtrl.translations['antibody.pdp.commerceCard.promotion.learnmore']}}

          说明书
          证书
          实验方案
          问题与答案
          技术支持
          说明书
          证书
          实验方案
          问题与答案
          技术支持
          说明书
          证书
          实验方案
          问题与答案
          技术支持

          Cite Phospho-MEF2C (Ser396) Polyclonal Antibody

          Additional Information:
          {{banner.description}}
          {{$ctrl.isSkuNotesCollapsed ? 'View more' : 'View less'}}
          • 抗体检测数据 (2)
          Phospho-MEF2C (Ser396) Antibody in Immunohistochemistry (Paraffin) (IHC (P))
          Group 53 Created with Sketch.
          Phospho-MEF2C (Ser396) Antibody in Immunohistochemistry (Paraffin) (IHC (P))
          Group 53 Created with Sketch.

          图: 1 / 2

          {{ $ctrl.currentElement.advancedVerification.fullName }}
          {{ $ctrl.currentElement.advancedVerification.text }}

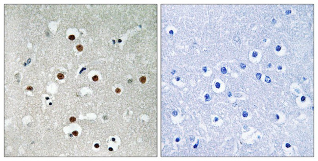
          Phospho-MEF2C (Ser396) Antibody (PA5-37644) in IHC (P)

          Immunohistochemical analysis of Phospho-MEF2C (Ser396) in paraffin-embedded Human brain tissue using Phospho-MEF2C (Ser396) Polyclonal Antibody (Product # PA5-37644) (left) or the same antibody preincubated with blocking peptide (right). {{ $ctrl.currentElement.advancedVerification.fullName }} 验证信息 View more
          已发表图片由___提供 benchsci-logo
          PMID: {{$ctrl.currentElement.benchSciPubmedId}}
          查看产品

          {{$ctrl.videoDesc}}

          {{$ctrl.videoLongDesc}}

          Phospho-MEF2C (Ser396) Antibody in Immunohistochemistry (Paraffin) (IHC (P))
          Phospho-MEF2C (Ser396) Antibody in Western Blot (WB)
          Phospho-MEF2C (Ser396) Polyclonal Antibody

          产品信息

          PA5-37644

          应用
          建议稀释比
          已发表文章

          免疫印迹 (WB)

          1:500-1:1,000
          -

          免疫组化(石蜡) (IHC (P))

          1:50-1:100
          -
          产品规格

          种属反应

          Human, Mouse

          宿主/亚型

          Rabbit / IgG

          分类

          Polyclonal

          类型

          Antibody

          抗原

          Peptide sequence around phosphorylation site of Serine 396(P-V-S(p)-P-P) derived from Human MEF2C.
          3D表位/免疫原

          偶联物

          Unconjugated Unconjugated Unconjugated

          形式

          Liquid

          浓度

          1 mg/mL

          规格

          100 µg

          纯化类型

          Antigen affinity chromatography

          保存液

          PBS, pH 7.4, with 50% glycerol

          内含物

          0.02% sodium azide

          保存条件

          -20°C

          运输条件

          Ambient (domestic); Wet ice (international)

          RRID

          AB_2554252

          产品详细信息

          A suggested positive control for Western blot is COS7 cells; suggested positive control for IHC is human brain tissue.

          靶标信息

          MEF2C is a transcription activator which binds specifically to the MEF2 element present in the regulatory regions of many muscle-specific genes. Controls cardiac morphogenesis and myogenesis, and is also involved in vascular development. Plays an essential role in hippocampal-dependent learning and memory by suppressing the number of excitatory synapses and thus regulating basal and evoked synaptic transmission. Crucial for normal neuronal development, distribution, and electrical activity in the neocortex. Necessary for proper development of megakaryocytes and platelets and for bone marrow B lymphopoiesis. Required for B-cell survival and proliferation in response to BCR stimulation, efficient IgG1 antibody responses to T-cell-dependent antigens and for normal induction of germinal center B cells. May also be involved in neurogenesis and in the development of cortical architecture. Isoform 3 and isoform 4, which lack the repressor domain, are more active than isoform 1 and isoform 2.

          仅用于科研。不用于诊断过程。未经明确授权不得转售。

          篇参考文献 (0)

          您是否在文献中引用过该产品?请点击下方按钮邮件告知我们。
          引用该产品

          生物信息学

          蛋白别名: MADS box transcription enhancer factor 2, polypeptide C; Myocyte enhancer factor 2C; Myocyte-specific enhancer factor 2C; unnamed protein product

          查看更多 收起

          基因别名: 5430401D19Rik; 9930028G15Rik; AV011172; C5DELq14.3; DEL5q14.3; Mef2; MEF2C; NEDHSIL

          查看更多 收起

          UniProt ID: (Human) Q06413, (Mouse) Q8CFN5

          查看更多 收起

          Entrez Gene ID: (Human) 4208, (Mouse) 17260

          查看更多 收起

          功能
          transcription regulatory region sequence-specific DNA binding RNA polymerase II regulatory region sequence-specific DNA binding RNA polymerase II core promoter proximal region sequence-specific DNA binding RNA polymerase II transcription factor activity, sequence-specific DNA binding transcriptional activator activity, RNA polymerase II transcription regulatory region sequence-specific binding DNA binding AT DNA binding transcription factor activity, sequence-specific DNA binding protein binding histone deacetylase binding protein heterodimerization activity protein dimerization activity RNA polymerase II sequence-specific DNA binding transcription factor binding DNA-binding transcription factor binding sequence-specific double-stranded DNA binding RNA polymerase II distal enhancer sequence-specific DNA binding transcription factor activity, RNA polymerase II core promoter sequence-specific core promoter proximal region sequence-specific DNA binding core promoter sequence-specific DNA binding transcriptional activator activity, RNA polymerase II core promoter proximal region sequence-specific binding transcriptional activator activity, RNA polymerase II distal enhancer sequence-specific binding chromatin binding transcription factor activity, RNA polymerase II distal enhancer sequence-specific binding activating transcription factor binding miRNA binding sequence-specific DNA binding transcription regulatory region DNA binding HMG box domain binding MADS box transcription factor
          参与通路
          negative regulation of transcription from RNA polymerase II promoter MAPK cascade blood vessel development osteoblast differentiation neuron migration B cell homeostasis heart looping endochondral ossification blood vessel remodeling chondrocyte differentiation germinal center formation regulation of germinal center formation response to ischemia primary heart field specification secondary heart field specification outflow tract morphogenesis sinoatrial valve morphogenesis cardiac ventricle formation regulation of transcription, DNA-templated apoptotic process humoral immune response nervous system development heart development muscle organ development skeletal muscle tissue development muscle cell fate determination learning or memory positive regulation of gene expression negative regulation of gene expression neural crest cell differentiation myotube differentiation cell differentiation neuron differentiation platelet formation negative regulation of ossification melanocyte differentiation positive regulation of bone mineralization positive regulation of B cell proliferation cellular response to trichostatin A B cell proliferation positive regulation of MAPK cascade regulation of neuron apoptotic process negative regulation of neuron apoptotic process negative regulation of blood vessel endothelial cell migration regulation of megakaryocyte differentiation positive regulation of myoblast differentiation positive regulation of neuron differentiation positive regulation of osteoblast differentiation positive regulation of transcription, DNA-templated positive regulation of transcription from RNA polymerase II promoter regulation of neurotransmitter secretion regulation of synaptic plasticity positive regulation of skeletal muscle tissue development neuron development cell morphogenesis involved in neuron differentiation B cell receptor signaling pathway smooth muscle cell differentiation regulation of synapse assembly regulation of synaptic transmission, glutamatergic ventricular cardiac muscle cell differentiation regulation of synaptic activity positive regulation of cardiac muscle cell proliferation excitatory postsynaptic potential regulation of dendritic spine development renal tubule morphogenesis cellular response to lipopolysaccharide cellular response to calcium ion cellular response to parathyroid hormone stimulus cellular response to xenobiotic stimulus cellular response to fluid shear stress cellular response to transforming growth factor beta stimulus glomerulus morphogenesis nephron tubule epithelial cell differentiation NMDA selective glutamate receptor signaling pathway AMPA selective glutamate receptor signaling pathway negative regulation of vascular smooth muscle cell proliferation negative regulation of vascular associated smooth muscle cell migration negative regulation of vascular endothelial cell proliferation positive regulation of macrophage apoptotic process positive regulation of cardiac muscle cell differentiation positive regulation of behavioral fear response epithelial cell proliferation involved in renal tubule morphogenesis positive regulation of skeletal muscle cell differentiation transcription, DNA-templated transcription from RNA polymerase II promoter multicellular organism development positive regulation of cardiac muscle hypertrophy positive regulation of alkaline phosphatase activity cardiac muscle hypertrophy in response to stress monocyte differentiation cellular response to drug skeletal muscle cell differentiation positive regulation of MAP kinase activity cell fate commitment embryonic viscerocranium morphogenesis embryonic skeletal system morphogenesis negative regulation of epithelial cell proliferation cardiac muscle cell differentiation palate development transdifferentiation regulation of sarcomere organization cartilage morphogenesis cellular response to retinoic acid cellular response to growth factor stimulus positive regulation of cell proliferation in bone marrow positive regulation of protein homodimerization activity regulation of N-methyl-D-aspartate selective glutamate receptor activity regulation of alpha-amino-3-hydroxy-5-methyl-4-isoxazole propionate selective glutamate receptor activity
          It has to be done as per old AB suggested Products section.

          Disclaimer

          Close

          Clicking the images or links will redirect you to a website hosted by BenchSci that provides third-party scientific content. Neither the content nor the BenchSci technology and processes for selection have been evaluated by us; we are providing them as-is and without warranty of any kind, including for use or application of the Thermo Fisher Scientific products presented.

          guarantee_icon

          性能保障

          只要您发现Invitrogen抗体在实验中的表现与网站或说明书的所述内容不符,您即可享受免费退换货服务。*

          了解更多
          help_icon

          随时为您服务

          获取常见问题的专家解答,或者直接联系我们的技术专家,咨询应用、设备、常规产品使用问题。

          联系技术支持
          订购 Plus Icon Minus Icon
          • 订单状态查询
          • 订单支持
          • 货号直购
          • 现货供应中心
          • 电子采购
          支持 Plus Icon Minus Icon
          • 帮助&支持
          • 联系我们 - 400 820 8982
          • 技术支持中心
          • 查找文件&证书
          • 报告网站问题
          资源 Plus Icon Minus Icon
          • 学习中心
          • 促销
          • 活动&研讨会
          • 社交媒体
          关于赛默飞 Plus Icon Minus Icon
          • 关于我们
          • 招聘 招聘
          • 投资者关系 投资者关系
          • 新闻 新闻
          • 社会责任 社会责任
          • 商标
          • 政策和通知
          品牌 Plus Icon Minus Icon
          • Thermo Scientific
          • Applied Biosystems
          • Invitrogen
          • Gibco
          • Ion Torrent
          • Unity Lab Services
          • Patheon
          • PPD
          • 服务条款
          • 隐私政策
          • 定价和运输保险政策
          © 2006-2026 Thermo Fisher Scientific Inc. All rights reserved. All trademarks are the property of Thermo Fisher Scientific and its subsidiaries unless otherwise specified.
          China flag icon
          China
          本网站销售的所有产品均不得用于人类或动物之临床诊断或治疗,仅可用于工业或者科研等非医疗目的。
             电子营业执照 | 经营证照公示 | ICP备案号:沪ICP备11003924号 | 沪公网安备 31011502006935号

          Your items have has been added!


          Host server : magellan-search-green-6479c7f679-jmhj8:80/100.66.74.142:80.
          git-commit: b70c0dceb888abc3b0dcebb5bc3a5b8753e7e816
          git-url: https://github.com/thermofisher/magellan-search
          git-branch: release/2.50.0-Offline