Hamburger Menu Button
Thermo Fisher Scientific Logo
登录
没有账号?建立账号 注册
  • 产品
    • 抗体
    • 引物合成
    • GeneArt Gene Synthesis Instant Designer
    • TaqMan Assay and Array Search
    • PCR 设备和耗材
    • 色谱柱和纯化柱
    • 实验室离心机
    • 分子生物学试剂和试剂盒
    • 实验室塑料耗材及用品
    • 查看所有产品分类
  • 应用和技术
    • 色谱
    • 细胞转染和培养
    • 实时荧光定量PCR
    • 质谱
    • 实验室塑料耗材及用品
    • 电子显微镜
    • 蛋白质生物学
    • PCR
    • RNAi
    • 环境
    • 查看所有应用和技术
  • 服务
    • 定制服务
    • 企业级实验室信息化服务
    • 金融&租赁服务
    • 仪器服务
    • OEM和商业供应
    • 培训服务
    • 360° CDMO 和 CRO 服务
    • CDMO 服务
    • 临床试验 CRO 服务
    • Unity Lab Services
    • 查看所有帮助和支持
  • 帮助和支持
    • 学习中心
    • 联系我们
    • 更改国家或地区
    • 查看所有帮助和支持
  • 热门产品
    • TaqMan Real-Time PCR Assays
      TaqMan 实时荧光定量 PCR 试剂盒
    • Antibodies
      抗体
    • Oligos, Primers & Probes
      寡核苷酸、引物、探针
    • GeneArt Gene Synthesis
      GeneArt 基因合成
    • Cell Culture Plastics
      细胞培养耗材
  • Who We Serve
    • 抗体治疗解决方案
    • 细胞与基因治疗解决方案
    • 学术科研
    • 工业与应用
  • 联系我们
  • 货号直购
  • 订单查询
  • 查找文件&证书
Thermo Fisher Scientific Logo

Search

搜索全部或下列指定分类
Search button
          • 联系我们
          • 货号直购
          • 登录
            登录
            没有账号?建立账号 注册
            • 我的账号
            • 订单
            • 会员中心
            • 账单及发票查询
            • 定制产品及项目
          • Primary Antibodies ›
          • MST1/MST2 Antibodies

          Bioss

          Phospho-Mst1/Mst2 (Thr183, Thr180) Polyclonal Antibody

          查看其他11个MST1/MST2抗体

          {{$productOrderCtrl.translations['antibody.pdp.commerceCard.promotion.promotions']}}

          {{$productOrderCtrl.translations['antibody.pdp.commerceCard.promotion.viewpromo']}}

          {{$productOrderCtrl.translations['antibody.pdp.commerceCard.promotion.promocode']}}: {{promo.promoCode}} {{promo.promoTitle}} {{promo.promoDescription}}. {{$productOrderCtrl.translations['antibody.pdp.commerceCard.promotion.learnmore']}}

          说明书
          证书
          实验方案
          问题与答案
          技术支持
          说明书
          证书
          实验方案
          问题与答案
          技术支持
          说明书
          证书
          实验方案
          问题与答案
          技术支持

          Cite Phospho-Mst1/Mst2 (Thr183, Thr180) Polyclonal Antibody

          Additional Information:
          {{banner.description}}
          {{$ctrl.isSkuNotesCollapsed ? 'View more' : 'View less'}}
          • 抗体检测数据 (4)
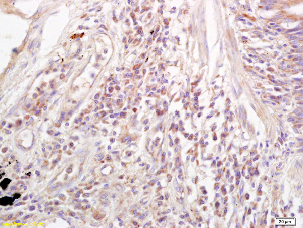
          Phospho-Mst1/Mst2 (Thr183, Thr180) Antibody in Immunohistochemistry (Paraffin) (IHC (P))
          Group 53 Created with Sketch.
          Phospho-Mst1/Mst2 (Thr183, Thr180) Antibody in Immunohistochemistry (Paraffin) (IHC (P))
          Group 53 Created with Sketch.

          图: 1 / 4

          {{ $ctrl.currentElement.advancedVerification.fullName }}
          {{ $ctrl.currentElement.advancedVerification.text }}

          Phospho-Mst1/Mst2 (Thr183, Thr180) Antibody (BS-3294R) in IHC (P)

          Formalin-fixed and paraffin embedded human lung carcinoma labeled with Rabbit Anti Phospho-Mst1(Thr183)/Mst2(Thr180) Polyclonal Antibody, Unconjugated (bs-3294R) at 1:200 followed by conjugation to the secondary antibody and DAB staining. {{ $ctrl.currentElement.advancedVerification.fullName }} 验证信息 View more
          已发表图片由___提供 benchsci-logo
          PMID: {{$ctrl.currentElement.benchSciPubmedId}}
          查看产品

          {{$ctrl.videoDesc}}

          {{$ctrl.videoLongDesc}}

          Phospho-Mst1/Mst2 (Thr183, Thr180) Antibody in Immunohistochemistry (Paraffin) (IHC (P))
          Phospho-Mst1/Mst2 (Thr183, Thr180) Antibody in Western Blot (WB)
          Phospho-Mst1/Mst2 (Thr183, Thr180) Antibody in Western Blot (WB)
          Phospho-Mst1/Mst2 (Thr183, Thr180) Antibody in Flow Cytometry (Flow)
          Phospho-Mst1/Mst2 (Thr183, Thr180) Polyclonal Antibody

          产品信息

          BS-3294R

          应用
          建议稀释比
          已发表文章

          免疫印迹 (WB)

          1:1,000
          -

          免疫组化(石蜡) (IHC (P))

          1:200
          -

          免疫组化(冰冻) (IHC (F))

          1:100-1:500
          -

          免疫细胞化学 (ICC/IF)

          1:50-1:200
          -

          流式细胞分析 (Flow)

          1:50
          -

          酶联免疫吸附实验 (ELISA)

          1:500-1:1,000
          -
          产品规格

          种属反应

          Human, Mouse, Rat

          宿主/亚型

          Rabbit / IgG

          分类

          Polyclonal

          类型

          Antibody

          抗原

          KLH conjugated synthetic phosphopeptide derived from human Mst1 around the phosphorylation site of Thr183.
          3D表位/免疫原

          偶联物

          Unconjugated Unconjugated Unconjugated

          形式

          Liquid

          浓度

          1 mg/mL

          规格

          100 µg

          纯化类型

          Protein A

          保存液

          0.01M TBS, pH 7.4, with 50% glycerol, 1% BSA

          内含物

          0.02% ProClin 300

          保存条件

          -20°C

          运输条件

          Ambient (domestic); Wet ice (international)

          靶标信息

          STK3 and STK4 are stress-activated, pro-apoptotic kinases which, following caspase-cleavage, enters the nucleus and induces chromatin condensation followed by internucleosomal DNA fragmentation. They are key components of the Hippo signaling pathway which plays a pivotal role in organ size control and tumor suppression by restricting proliferation and promoting apoptosis. The core of this pathway is composed of a kinase cascade wherein STK3/MST2 and STK4/MST1, in complex with its regulatory protein SAV1, phosphorylates and activates LATS1/2 in complex with its regulatory protein MOB1, which in turn phosphorylates and inactivates YAP1 oncoprotein and WWTR1/TAZ. Phosphorylation of YAP1 by LATS2 inhibits its translocation into the nucleus to regulate cellular genes important for cell proliferation, cell death, and cell migration. STK3/MST2 and STK4/MST1 are required to repress proliferation of mature hepatocytes, to prevent activation of facultative adult liver stem cells (oval cells), and to inhibit tumor formation. Phosphorylates NKX2-1. Phosphorylates NEK2 and plays a role in centrosome disjunction by regulating the localization of NEK2 to centrosome, and its ability to phosphorylate CROCC and CEP250. In conjunction with SAV1, activates the transcriptional activity of ESR1 through the modulation of its phosphorylation. Positively regulates RAF1 activation via suppression of the inhibitory phosphorylation of RAF1 on 'Ser-259'. Phosphorylates MOBKL1A and RASSF2. Phosphorylates MOBKL1B on 'Thr-74'. Acts cooperatively with MOBKL1B to activate STK38.

          仅用于科研。不用于诊断过程。未经明确授权不得转售。

          篇参考文献 (0)

          您是否在文献中引用过该产品?请点击下方按钮邮件告知我们。
          引用该产品

          生物信息学

          蛋白别名: epididymis secretory sperm binding protein; hippo homolog; KB-1458E12.1; kinase responsive to stress 2; Mammalian STE20-like protein kinase 1; Mammalian STE20-like protein kinase 2; mammalian sterile 20-like 1; MST-1; MST-2; MST1/C STK4; protein kinase homolog; serine/threonine kinase 3 (STE20 homolog, yeast); serine/threonine kinase 3 (Ste20, yeast homolog); Serine/threonine-protein kinase 3; Serine/threonine-protein kinase 4; Serine/threonine-protein kinase Krs-1; Serine/threonine-protein kinase Krs-2; STE20-like kinase MST1; STE20-like kinase MST2; sterile 20-like kinase 1; unnamed protein product; Yeast Sps1/Ste20-related kinase 3

          查看更多 收起

          基因别名: 0610042I06Rik; AI447339; AU020804; Kas-2; KRS1; KRS2; Mess1; MST; MST1; MST2; Mst3; Ste20; STK3; STK4; YSK3

          查看更多 收起

          UniProt ID: (Human) Q13188, (Human) Q13043, (Rat) O54748, (Mouse) Q9JI10, (Mouse) Q9JI11

          查看更多 收起

          Entrez Gene ID: (Human) 6788, (Human) 6789, (Rat) 65189, (Mouse) 56274, (Rat) 311622, (Mouse) 58231

          查看更多 收起

          功能
          nucleotide binding magnesium ion binding protein kinase activity protein serine/threonine kinase activity protein binding ATP binding kinase activity transferase activity identical protein binding protein serine/threonine kinase activator activity metal ion binding protein serine kinase activity transcription regulator activator activity protein homodimerization activity RNA polymerase II sequence-specific DNA binding transcription factor binding receptor signaling protein serine/threonine kinase activity MAP kinase kinase kinase activity transferase activity, transferring phosphorus-containing groups transcription factor binding protein dimerization activity non-receptor serine/threonine protein kinase
          参与通路
          neural tube formation endocardium development protein phosphorylation protein import into nucleus apoptotic process signal transduction JNK cascade central nervous system development cell proliferation negative regulation of cell proliferation extrinsic apoptotic signaling pathway via death domain receptors regulation of gene expression organ growth hippo signaling positive regulation of hippo signaling intracellular signal transduction positive regulation of apoptotic process regulation of MAPK cascade protein kinase B signaling positive regulation of fat cell differentiation positive regulation of JNK cascade negative regulation of organ growth epithelial cell proliferation negative regulation of epithelial cell proliferation protein stabilization protein tetramerization centrosome separation positive regulation of protein kinase B signaling canonical Wnt signaling pathway primitive hemopoiesis cell differentiation involved in embryonic placenta development regulation of cell differentiation involved in embryonic placenta development protein localization to centrosome negative regulation of canonical Wnt signaling pathway hepatocyte apoptotic process positive regulation of extrinsic apoptotic signaling pathway via death domain receptors cell morphogenesis patterning of blood vessels positive regulation of protein phosphorylation anatomical structure morphogenesis peptidyl-serine phosphorylation keratinocyte differentiation positive regulation of peptidyl-serine phosphorylation protein autophosphorylation positive regulation of hepatocyte apoptotic process positive regulation of substrate-dependent cell migration, cell attachment to substrate signal transduction by protein phosphorylation positive regulation of protein binding positive regulation of sequence-specific DNA binding transcription factor activity MAPK cascade activation of MAPKK activity regulation of mitotic cell cycle phosphorylation stress-activated protein kinase signaling cascade
          It has to be done as per old AB suggested Products section.

          Disclaimer

          Close

          Clicking the images or links will redirect you to a website hosted by BenchSci that provides third-party scientific content. Neither the content nor the BenchSci technology and processes for selection have been evaluated by us; we are providing them as-is and without warranty of any kind, including for use or application of the Thermo Fisher Scientific products presented.

          guarantee_icon

          性能保障

          只要您发现Invitrogen抗体在实验中的表现与网站或说明书的所述内容不符,您即可享受免费退换货服务。*

          了解更多
          help_icon

          随时为您服务

          获取常见问题的专家解答,或者直接联系我们的技术专家,咨询应用、设备、常规产品使用问题。

          联系技术支持
          订购 Plus Icon Minus Icon
          • 订单状态查询
          • 订单支持
          • 货号直购
          • 现货供应中心
          • 电子采购
          支持 Plus Icon Minus Icon
          • 帮助&支持
          • 联系我们 - 400 820 8982
          • 技术支持中心
          • 查找文件&证书
          • 报告网站问题
          资源 Plus Icon Minus Icon
          • 学习中心
          • 促销
          • 活动&研讨会
          • 社交媒体
          关于赛默飞 Plus Icon Minus Icon
          • 关于我们
          • 招聘 招聘
          • 投资者关系 投资者关系
          • 新闻 新闻
          • 社会责任 社会责任
          • 商标
          • 政策和通知
          品牌 Plus Icon Minus Icon
          • Thermo Scientific
          • Applied Biosystems
          • Invitrogen
          • Gibco
          • Ion Torrent
          • Unity Lab Services
          • Patheon
          • PPD
          • 服务条款
          • 隐私政策
          • 定价和运输保险政策
          © 2006-2026 Thermo Fisher Scientific Inc. All rights reserved. All trademarks are the property of Thermo Fisher Scientific and its subsidiaries unless otherwise specified.
          China flag icon
          China
          本网站销售的所有产品均不得用于人类或动物之临床诊断或治疗,仅可用于工业或者科研等非医疗目的。
             电子营业执照 | 经营证照公示 | ICP备案号:沪ICP备11003924号 | 沪公网安备 31011502006935号

          Your items have has been added!


          Host server : magellan-search-green-6479c7f679-46l5g:80/100.66.76.236:80.
          git-commit: b70c0dceb888abc3b0dcebb5bc3a5b8753e7e816
          git-url: https://github.com/thermofisher/magellan-search
          git-branch: release/2.50.0-Offline