Hamburger Menu Button
Thermo Fisher Scientific Logo
登录
没有账号?建立账号 注册
  • 产品
    • 抗体
    • 引物合成
    • GeneArt Gene Synthesis Instant Designer
    • TaqMan Assay and Array Search
    • PCR 设备和耗材
    • 色谱柱和纯化柱
    • 实验室离心机
    • 分子生物学试剂和试剂盒
    • 实验室塑料耗材及用品
    • 查看所有产品分类
  • 应用和技术
    • 色谱
    • 细胞转染和培养
    • 实时荧光定量PCR
    • 质谱
    • 实验室塑料耗材及用品
    • 电子显微镜
    • 蛋白质生物学
    • PCR
    • RNAi
    • 环境
    • 查看所有应用和技术
  • 服务
    • 定制服务
    • 企业级实验室信息化服务
    • 金融&租赁服务
    • 仪器服务
    • OEM和商业供应
    • 培训服务
    • 360° CDMO 和 CRO 服务
    • CDMO 服务
    • 临床试验 CRO 服务
    • Unity Lab Services
    • 查看所有帮助和支持
  • 帮助和支持
    • 学习中心
    • 联系我们
    • 更改国家或地区
    • 查看所有帮助和支持
  • 热门产品
    • TaqMan Real-Time PCR Assays
      TaqMan 实时荧光定量 PCR 试剂盒
    • Antibodies
      抗体
    • Oligos, Primers & Probes
      寡核苷酸、引物、探针
    • GeneArt Gene Synthesis
      GeneArt 基因合成
    • Cell Culture Plastics
      细胞培养耗材
  • Who We Serve
    • 抗体治疗解决方案
    • 细胞与基因治疗解决方案
    • 学术科研
    • 工业与应用
  • 联系我们
  • 货号直购
  • 订单查询
  • 查找文件&证书
Thermo Fisher Scientific Logo

Search

搜索全部或下列指定分类
Search button
          • 联系我们
          • 货号直购
          • 登录
            登录
            没有账号?建立账号 注册
            • 我的账号
            • 订单
            • 会员中心
            • 账单及发票查询
            • 定制产品及项目
          • Primary Antibodies ›
          • NR4A1 (Nur77) Antibodies

          Invitrogen

          Phospho-NR4A1 (Ser351) Polyclonal Antibody

          1 篇参考文献
          查看其他25个NR4A1 (Nur77)抗体

          {{$productOrderCtrl.translations['antibody.pdp.commerceCard.promotion.promotions']}}

          {{$productOrderCtrl.translations['antibody.pdp.commerceCard.promotion.viewpromo']}}

          {{$productOrderCtrl.translations['antibody.pdp.commerceCard.promotion.promocode']}}: {{promo.promoCode}} {{promo.promoTitle}} {{promo.promoDescription}}. {{$productOrderCtrl.translations['antibody.pdp.commerceCard.promotion.learnmore']}}

          说明书
          证书
          实验方案
          问题与答案
          技术支持
          说明书
          证书
          实验方案
          问题与答案
          技术支持
          说明书
          证书
          实验方案
          问题与答案
          技术支持

          Cite Phospho-NR4A1 (Ser351) Polyclonal Antibody

          Additional Information:
          {{banner.description}}
          {{$ctrl.isSkuNotesCollapsed ? 'View more' : 'View less'}}
          • 抗体检测数据 (1)
          Phospho-NR4A1 (Ser351) Antibody in Immunohistochemistry (Paraffin) (IHC (P))
          Group 53 Created with Sketch.
          Phospho-NR4A1 (Ser351) Antibody in Immunohistochemistry (Paraffin) (IHC (P))
          Group 53 Created with Sketch.

          图: 1 / 1

          {{ $ctrl.currentElement.advancedVerification.fullName }}
          {{ $ctrl.currentElement.advancedVerification.text }}

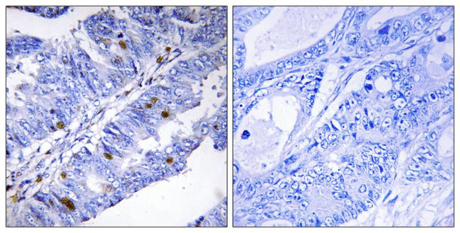
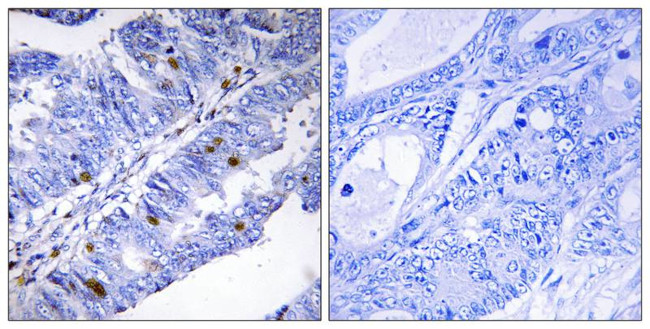
          Phospho-NR4A1 (Ser351) Antibody (PA5-37594) in IHC (P)

          Immunohistochemical analysis of Phospho-NR4A1 (Ser351) in paraffin-embedded Human colon carcinoma tissue using Phospho-NR4A1 (Ser351) Polyclonal Antibody (Product # PA5-37594) (left) or the same antibody preincubated with blocking peptide (right). {{ $ctrl.currentElement.advancedVerification.fullName }} 验证信息 View more
          已发表图片由___提供 benchsci-logo
          PMID: {{$ctrl.currentElement.benchSciPubmedId}}
          查看产品

          {{$ctrl.videoDesc}}

          {{$ctrl.videoLongDesc}}

          Phospho-NR4A1 (Ser351) Antibody in Immunohistochemistry (Paraffin) (IHC (P))
          Phospho-NR4A1 (Ser351) Polyclonal Antibody

          产品信息

          PA5-37594

          应用
          建议稀释比
          已发表文章

          免疫组化(石蜡) (IHC (P))

          1:50-1:100
          -

          免疫细胞化学 (ICC/IF)

          -
          查看1篇已发表文章 1篇已发表文章
          产品规格

          种属反应

          Human, Mouse, Rat

          已发表种属

          Human

          宿主/亚型

          Rabbit / IgG

          分类

          Polyclonal

          类型

          Antibody

          抗原

          Peptide sequence around phosphorylation site of Serine351(L-P-S(p)-K-P) derived from Human Nuclear Receptor NR4A1.
          3D表位/免疫原

          偶联物

          Unconjugated Unconjugated Unconjugated

          形式

          Liquid

          浓度

          1 mg/mL

          规格

          100 µg

          纯化类型

          Antigen affinity chromatography

          保存液

          PBS, pH 7.4, with 50% glycerol

          内含物

          0.02% sodium azide

          保存条件

          -20°C

          运输条件

          Ambient (domestic); Wet ice (international)

          RRID

          AB_2554202

          产品详细信息

          A suggested positive control for IHC is human colon carcinoma.

          靶标信息

          NR4A1 is a member of the steroid-thyroid hormone-retinoid receptor superfamily. NGFI-B-alpha is expressed in brain, adrenal, thyroid, liver, testis, ovary, thymus, muscle, lung and prostate. Its expression is induced in response to various stress stimuli and growth factors. The encoded protein acts as a nuclear transcription factor involved in mediating apoptotic signaling in thymocytes and tumor cells, as well as having a role in signaling in the hypothalamic-pituitary axis. Translocation of the protein from the nucleus to mitochondria induces apoptosis. Three transcript variants encoding two distinct isoforms have been identified for this NR4A1. Variant (3), also known as TRC beta, contains multiple differences compared to variant 1. The resulting isoform b contains a shorter and distinct C-terminus compared to isoform a. RXR has been shown to be a partner for NR4A1.

          仅用于科研。不用于诊断过程。未经明确授权不得转售。

          生物信息学

          蛋白别名: Early response protein NAK1; growth factor-inducible nuclear protein N10; hormone receptor; immediate early gene transcription factor NGFI-B; MGC9485; nerve growth factor induced protein I-B; Nerve growth factor-induced protein I-B; NGFI-B; NR4A1; Nuclear hormone receptor NUR/77; Nuclear protein N10; Nuclear receptor subfamily 4 group A member 1; Nuclear receptor subfamily 4immunitygroup A member 1; NUR77; Orphan nuclear receptor HMR; Orphan nuclear receptor TR3; Orphan receptor tr3; ST-59; steroid receptor TR3; Testicular receptor 3; TR3 orphan receptor; unnamed protein product

          查看更多 收起

          基因别名: Gfrp; GFRP1; Hbr-1; Hbr1; HMR; N10; NAK-1; NAK1; NGFI-B; NGFIB; NP10; NR4A1; NUR77; TIS1; TR3

          查看更多 收起

          UniProt ID: (Human) P22736, (Rat) P22829, (Mouse) P12813

          查看更多 收起

          Entrez Gene ID: (Human) 3164, (Rat) 79240, (Mouse) 15370

          查看更多 收起

          功能
          RNA polymerase II core promoter proximal region sequence-specific DNA binding RNA polymerase II transcription factor activity, sequence-specific DNA binding transcriptional activator activity, RNA polymerase II transcription regulatory region sequence-specific binding lipopolysaccharide binding DNA binding double-stranded DNA binding transcription factor activity, sequence-specific DNA binding RNA polymerase II transcription factor activity, ligand-activated sequence-specific DNA binding protein binding zinc ion binding glucocorticoid receptor binding identical protein binding sequence-specific DNA binding metal ion binding protein heterodimerization activity sequence-specific double-stranded DNA binding transcriptional activator activity, RNA polymerase II core promoter proximal region sequence-specific binding steroid hormone receptor activity protein homodimerization activity C4 zinc finger nuclear receptor
          参与通路
          positive regulation of endothelial cell proliferation cell migration involved in sprouting angiogenesis regulation of transcription, DNA-templated regulation of transcription from RNA polymerase II promoter transcription from RNA polymerase II promoter protein import into nucleus apoptotic process inflammatory response signal transduction intracellular receptor signaling pathway detection of lipopolysaccharide endothelial cell chemotaxis skeletal muscle cell differentiation cellular response to vascular endothelial growth factor stimulus macrophage activation positive regulation of apoptotic process cellular response to fibroblast growth factor stimulus fat cell differentiation negative regulation of cell cycle positive regulation of transcription, DNA-templated positive regulation of transcription from RNA polymerase II promoter regulation of type B pancreatic cell proliferation cellular response to corticotropin-releasing hormone stimulus non-canonical inflammasome complex assembly transcription, DNA-templated negative regulation of cysteine-type endopeptidase activity involved in apoptotic process steroid hormone mediated signaling pathway cellular response to organic substance response to inorganic substance
          It has to be done as per old AB suggested Products section.

          Disclaimer

          Close

          Clicking the images or links will redirect you to a website hosted by BenchSci that provides third-party scientific content. Neither the content nor the BenchSci technology and processes for selection have been evaluated by us; we are providing them as-is and without warranty of any kind, including for use or application of the Thermo Fisher Scientific products presented.

          guarantee_icon

          性能保障

          只要您发现Invitrogen抗体在实验中的表现与网站或说明书的所述内容不符,您即可享受免费退换货服务。*

          了解更多
          help_icon

          随时为您服务

          获取常见问题的专家解答,或者直接联系我们的技术专家,咨询应用、设备、常规产品使用问题。

          联系技术支持
          订购 Plus Icon Minus Icon
          • 订单状态查询
          • 订单支持
          • 货号直购
          • 现货供应中心
          • 电子采购
          支持 Plus Icon Minus Icon
          • 帮助&支持
          • 联系我们 - 400 820 8982
          • 技术支持中心
          • 查找文件&证书
          • 报告网站问题
          资源 Plus Icon Minus Icon
          • 学习中心
          • 促销
          • 活动&研讨会
          • 社交媒体
          关于赛默飞 Plus Icon Minus Icon
          • 关于我们
          • 招聘 招聘
          • 投资者关系 投资者关系
          • 新闻 新闻
          • 社会责任 社会责任
          • 商标
          • 政策和通知
          品牌 Plus Icon Minus Icon
          • Thermo Scientific
          • Applied Biosystems
          • Invitrogen
          • Gibco
          • Ion Torrent
          • Unity Lab Services
          • Patheon
          • PPD
          • 服务条款
          • 隐私政策
          • 定价和运输保险政策
          © 2006-2026 Thermo Fisher Scientific Inc. All rights reserved. All trademarks are the property of Thermo Fisher Scientific and its subsidiaries unless otherwise specified.
          China flag icon
          China
          本网站销售的所有产品均不得用于人类或动物之临床诊断或治疗,仅可用于工业或者科研等非医疗目的。
             电子营业执照 | 经营证照公示 | ICP备案号:沪ICP备11003924号 | 沪公网安备 31011502006935号

          Your items have has been added!


          Host server : magellan-search-green-6479c7f679-v472f:80/100.66.78.195:80.
          git-commit: b70c0dceb888abc3b0dcebb5bc3a5b8753e7e816
          git-url: https://github.com/thermofisher/magellan-search
          git-branch: release/2.50.0-Offline