Hamburger Menu Button
Thermo Fisher Scientific Logo
登录
没有账号?建立账号 注册
  • 产品
    • 抗体
    • 引物合成
    • GeneArt Gene Synthesis Instant Designer
    • TaqMan Assay and Array Search
    • PCR 设备和耗材
    • 色谱柱和纯化柱
    • 实验室离心机
    • 分子生物学试剂和试剂盒
    • 实验室塑料耗材及用品
    • 查看所有产品分类
  • 应用和技术
    • 色谱
    • 细胞转染和培养
    • 实时荧光定量PCR
    • 质谱
    • 实验室塑料耗材及用品
    • 电子显微镜
    • 蛋白质生物学
    • PCR
    • RNAi
    • 环境
    • 查看所有应用和技术
  • 服务
    • 定制服务
    • 企业级实验室信息化服务
    • 金融&租赁服务
    • 仪器服务
    • OEM和商业供应
    • 培训服务
    • 360° CDMO 和 CRO 服务
    • CDMO 服务
    • 临床试验 CRO 服务
    • Unity Lab Services
    • 查看所有帮助和支持
  • 帮助和支持
    • 学习中心
    • 联系我们
    • 更改国家或地区
    • 查看所有帮助和支持
  • 热门产品
    • TaqMan Real-Time PCR Assays
      TaqMan 实时荧光定量 PCR 试剂盒
    • Antibodies
      抗体
    • Oligos, Primers & Probes
      寡核苷酸、引物、探针
    • GeneArt Gene Synthesis
      GeneArt 基因合成
    • Cell Culture Plastics
      细胞培养耗材
  • Who We Serve
    • 抗体治疗解决方案
    • 细胞与基因治疗解决方案
    • 学术科研
    • 工业与应用
  • 联系我们
  • 货号直购
  • 订单查询
  • 查找文件&证书
Thermo Fisher Scientific Logo

Search

搜索全部或下列指定分类
Search button
          • 联系我们
          • 货号直购
          • 登录
            登录
            没有账号?建立账号 注册
            • 我的账号
            • 订单
            • 会员中心
            • 账单及发票查询
            • 定制产品及项目
          • Primary Antibodies ›
          • PKD1/2/3/PKC mu Antibodies

          Invitrogen

          Phospho-PKD1/2/3/PKC mu (Ser738, Ser742) Polyclonal Antibody

          查看其他5个PKD1/2/3/PKC mu抗体

          {{$productOrderCtrl.translations['antibody.pdp.commerceCard.promotion.promotions']}}

          {{$productOrderCtrl.translations['antibody.pdp.commerceCard.promotion.viewpromo']}}

          {{$productOrderCtrl.translations['antibody.pdp.commerceCard.promotion.promocode']}}: {{promo.promoCode}} {{promo.promoTitle}} {{promo.promoDescription}}. {{$productOrderCtrl.translations['antibody.pdp.commerceCard.promotion.learnmore']}}

          说明书
          证书
          实验方案
          问题与答案
          技术支持
          说明书
          证书
          实验方案
          问题与答案
          技术支持
          说明书
          证书
          实验方案
          问题与答案
          技术支持

          Cite Phospho-PKD1/2/3/PKC mu (Ser738, Ser742) Polyclonal Antibody

          Additional Information:
          {{banner.description}}
          {{$ctrl.isSkuNotesCollapsed ? 'View more' : 'View less'}}
          • 抗体检测数据 (3)
          Phospho-PKD1/2/3/PKC mu (Ser738, Ser742) Antibody in Immunohistochemistry (Paraffin) (IHC (P))
          Group 53 Created with Sketch.
          Phospho-PKD1/2/3/PKC mu (Ser738, Ser742) Antibody in Immunohistochemistry (Paraffin) (IHC (P))
          Group 53 Created with Sketch.

          图: 1 / 3

          {{ $ctrl.currentElement.advancedVerification.fullName }}
          {{ $ctrl.currentElement.advancedVerification.text }}

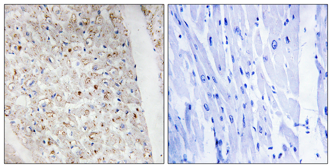
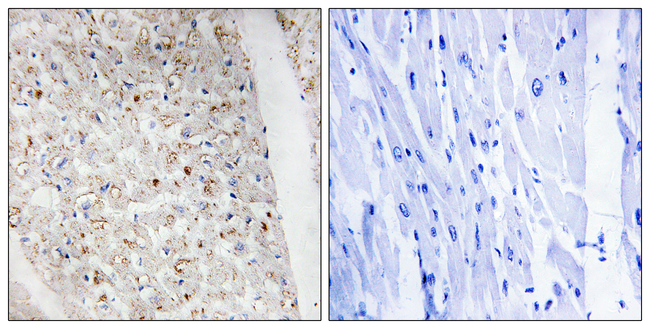
          Phospho-PKD1/2/3/PKC mu (Ser738, Ser742) Antibody (PA5-37822) in IHC (P)

          Immunohistochemistry analysis of Phospho-PKD1/2/3/PKC mu (Ser738, Ser742) on paraffin-embedded human heart tissue using Phospho-PKD1/2/3/PKC mu (Ser738, Ser742) Polyclonal Antibody (Product # PA5-37822). The picture on the right is blocked with the phospho peptide. {{ $ctrl.currentElement.advancedVerification.fullName }} 验证信息 View more
          已发表图片由___提供 benchsci-logo
          PMID: {{$ctrl.currentElement.benchSciPubmedId}}
          查看产品

          {{$ctrl.videoDesc}}

          {{$ctrl.videoLongDesc}}

          Phospho-PKD1/2/3/PKC mu (Ser738, Ser742) Antibody in Immunohistochemistry (Paraffin) (IHC (P))
          Phospho-PKD1/2/3/PKC mu (Ser738, Ser742) Antibody in Western Blot (WB)
          Phospho-PKD1/2/3/PKC mu (Ser738, Ser742) Antibody in Western Blot (WB)
          Phospho-PKD1/2/3/PKC mu (Ser738, Ser742) Polyclonal Antibody

          产品信息

          PA5-37822

          应用
          建议稀释比
          已发表文章

          免疫印迹 (WB)

          1:500-1:1,000
          -

          免疫组化(石蜡) (IHC (P))

          Assay-dependent
          -
          产品规格

          种属反应

          Human, Mouse, Rat

          宿主/亚型

          Rabbit / IgG

          分类

          Polyclonal

          类型

          Antibody

          抗原

          Peptide sequence around phosphorylation site of Serine738/Serine 742 (E-K-S(p)-F-R-R-S(p)-V-V) derived from Human PKD1/2/3/PKC mu
          3D表位/免疫原

          偶联物

          Unconjugated Unconjugated Unconjugated

          形式

          Liquid

          浓度

          1 mg/mL

          规格

          100 µg

          纯化类型

          Antigen affinity chromatography

          保存液

          PBS, pH 7.4, with 50% glycerol

          内含物

          0.02% sodium azide

          保存条件

          -20°C

          运输条件

          Ambient (domestic); Wet ice (international)

          RRID

          AB_2554430

          产品详细信息

          A suggested positive control for Western blot is A549 cells.

          靶标信息

          Serine/threonine-protein kinase that converts transient diacylglycerol (DAG) signals into prolonged physiological effects downstream of PKC, and is involved in the regulation of MAPK8/JNK1 and Ras signaling, Golgi membrane integrity and trafficking, cell survival through NF-kappa-B activation, cell migration, cell differentiation by mediating HDAC7 nuclear export, cell proliferation via MAPK1/3 (ERK1/2) signaling, and plays a role in cardiac hypertrophy, VEGFA-induced angiogenesis, genotoxic-induced apoptosis and flagellin-stimulated inflammatory response. Phosphorylates the epidermal growth factor receptor (EGFR) on dual threonine residues, which leads to the suppression of epidermal growth factor (EGF)-induced MAPK8/JNK1 activation and subsequent JUN phosphorylation. Phosphorylates RIN1, inducing RIN1 binding to 14-3-3 proteins YWHAB, YWHAE and YWHAZ and increased competition with RAF1 for binding to GTP-bound form of Ras proteins (NRAS, HRAS and KRAS). Acts downstream of the heterotrimeric G-protein beta/gamma-subunit complex to maintain the structural integrity of the Golgi membranes, and is required for protein transport along the secretory pathway. In the trans-Golgi network (TGN), regulates the fission of transport vesicles that are on their way to the plasma membrane.

          仅用于科研。不用于诊断过程。未经明确授权不得转售。

          篇参考文献 (0)

          您是否在文献中引用过该产品?请点击下方按钮邮件告知我们。
          引用该产品

          生物信息学

          蛋白别名: nPKC-D1; nPKC-D2; nPKC-mu; nPKC-nu; PKD2; Protein kinase C mu type; Protein kinase C nu type; protein kinase C, mu; protein kinase C, nu; Protein kinase D; Protein kinase EPK2; Serine/threonine-protein kinase D1; Serine/threonine-protein kinase D2; Serine/threonine-protein kinase D3; unnamed protein product

          查看更多 收起

          基因别名: 4930557O20Rik; 5730497N19Rik; AI325941; CHDED; EPK2; HSPC187; nPKC-D1; nPKC-D2; nPKC-mu; nPKC-NU; PKC-MU; PKC-NU; PKCM; Pkcnu; PKD; PKD1; PKD2; PKD3; PRKCM; PRKCN; PRKD1; PRKD2; PRKD3; RGD1308054

          查看更多 收起

          UniProt ID: (Human) Q15139, (Human) Q9BZL6, (Human) O94806, (Mouse) Q62101, (Rat) Q9WTQ1, (Rat) Q5XIS9, (Mouse) Q8BZ03, (Mouse) Q8K1Y2

          查看更多 收起

          Entrez Gene ID: (Human) 5587, (Human) 25865, (Human) 23683, (Mouse) 18760, (Rat) 85421, (Rat) 292658, (Mouse) 101540, (Rat) 313834, (Mouse) 75292

          查看更多 收起

          功能
          nucleotide binding protein kinase activity protein serine/threonine kinase activity protein kinase C activity protein kinase C binding protein binding ATP binding zinc ion binding kinase activity transferase activity heat shock protein binding identical protein binding metal ion binding protein serine kinase activity phosphatidylinositol 3-kinase activator activity transferase activity, transferring phosphorus-containing groups non-receptor serine/threonine protein kinase
          参与通路
          angiogenesis positive regulation of endothelial cell proliferation immune system process apoptotic process inflammatory response Golgi organization signal transduction phospholipase C-activating G-protein coupled receptor signaling pathway integrin-mediated signaling pathway nervous system development positive regulation of autophagy positive regulation of endothelial cell migration positive regulation of gene expression regulation of keratinocyte proliferation positive regulation of neuron projection development regulation of skeletal muscle contraction by modulation of calcium ion sensitivity of myofibril sphingolipid biosynthetic process cell differentiation cellular response to amino acid starvation cellular response to oxidative stress intracellular signal transduction cellular response to vascular endothelial growth factor stimulus positive regulation of protein import into nucleus positive regulation of I-kappaB kinase/NF-kappaB signaling positive regulation of blood vessel endothelial cell migration cell-cell adhesion mediated by cadherin innate immune response positive regulation of osteoblast differentiation positive regulation of angiogenesis positive regulation of cell size negative regulation of endocytosis positive regulation of transcription from RNA polymerase II promoter protein autophosphorylation positive regulation of protein export from nucleus vascular endothelial growth factor receptor signaling pathway Golgi vesicle transport defense response to Gram-negative bacterium positive regulation of NF-kappaB transcription factor activity regulation of release of sequestered calcium ion into cytosol positive regulation of protein kinase B signaling positive regulation of sarcomere organization transepithelial transport cellular response to hydroperoxide response to norepinephrine cellular response to norepinephrine stimulus positive regulation of peptide hormone secretion positive regulation of NLRP3 inflammasome complex assembly cellular response to angiotensin cellular response to phorbol 13-acetate 12-myristate cellular response to endothelin positive regulation of endothelial cell chemotaxis regulation of integrin-mediated signaling pathway adaptive immune response protein phosphorylation cell adhesion positive regulation of vascular endothelial growth factor receptor signaling pathway positive regulation of interleukin-2 production positive regulation of interleukin-8 production positive regulation of fibroblast growth factor receptor signaling pathway positive regulation of cell adhesion T cell receptor signaling pathway positive regulation of T cell receptor signaling pathway positive regulation of sequence-specific DNA binding transcription factor activity endothelial tube morphogenesis regulation of T cell apoptotic process positive regulation of ERK1 and ERK2 cascade positive regulation of DNA biosynthetic process phosphorylation peptidyl-serine phosphorylation positive regulation of CREB transcription factor activity positive regulation of peptidyl-serine phosphorylation positive regulation of endothelial cell chemotaxis by VEGF-activated vascular endothelial growth factor receptor signaling pathway negative regulation of cell death protein kinase D signaling positive regulation of histone deacetylase activity cell death positive regulation of intracellular signal transduction mitophagy in response to mitochondrial depolarization
          It has to be done as per old AB suggested Products section.

          Disclaimer

          Close

          Clicking the images or links will redirect you to a website hosted by BenchSci that provides third-party scientific content. Neither the content nor the BenchSci technology and processes for selection have been evaluated by us; we are providing them as-is and without warranty of any kind, including for use or application of the Thermo Fisher Scientific products presented.

          guarantee_icon

          性能保障

          只要您发现Invitrogen抗体在实验中的表现与网站或说明书的所述内容不符,您即可享受免费退换货服务。*

          了解更多
          help_icon

          随时为您服务

          获取常见问题的专家解答,或者直接联系我们的技术专家,咨询应用、设备、常规产品使用问题。

          联系技术支持
          订购 Plus Icon Minus Icon
          • 订单状态查询
          • 订单支持
          • 货号直购
          • 现货供应中心
          • 电子采购
          支持 Plus Icon Minus Icon
          • 帮助&支持
          • 联系我们 - 400 820 8982
          • 技术支持中心
          • 查找文件&证书
          • 报告网站问题
          资源 Plus Icon Minus Icon
          • 学习中心
          • 促销
          • 活动&研讨会
          • 社交媒体
          关于赛默飞 Plus Icon Minus Icon
          • 关于我们
          • 招聘 招聘
          • 投资者关系 投资者关系
          • 新闻 新闻
          • 社会责任 社会责任
          • 商标
          • 政策和通知
          品牌 Plus Icon Minus Icon
          • Thermo Scientific
          • Applied Biosystems
          • Invitrogen
          • Gibco
          • Ion Torrent
          • Unity Lab Services
          • Patheon
          • PPD
          • 服务条款
          • 隐私政策
          • 定价和运输保险政策
          © 2006-2026 Thermo Fisher Scientific Inc. All rights reserved. All trademarks are the property of Thermo Fisher Scientific and its subsidiaries unless otherwise specified.
          China flag icon
          China
          本网站销售的所有产品均不得用于人类或动物之临床诊断或治疗,仅可用于工业或者科研等非医疗目的。
             电子营业执照 | 经营证照公示 | ICP备案号:沪ICP备11003924号 | 沪公网安备 31011502006935号

          Your items have has been added!


          Host server : magellan-search-green-6479c7f679-zb4k5:80/100.66.74.142:80.
          git-commit: b70c0dceb888abc3b0dcebb5bc3a5b8753e7e816
          git-url: https://github.com/thermofisher/magellan-search
          git-branch: release/2.50.0-Offline