Hamburger Menu Button
Thermo Fisher Scientific Logo
登录
没有账号?建立账号 注册
  • 产品
    • 抗体
    • 引物合成
    • GeneArt Gene Synthesis Instant Designer
    • TaqMan Assay and Array Search
    • PCR 设备和耗材
    • 色谱柱和纯化柱
    • 实验室离心机
    • 分子生物学试剂和试剂盒
    • 实验室塑料耗材及用品
    • 查看所有产品分类
  • 应用和技术
    • 色谱
    • 细胞转染和培养
    • 实时荧光定量PCR
    • 质谱
    • 实验室塑料耗材及用品
    • 电子显微镜
    • 蛋白质生物学
    • PCR
    • RNAi
    • 环境
    • 查看所有应用和技术
  • 服务
    • 定制服务
    • 企业级实验室信息化服务
    • 金融&租赁服务
    • 仪器服务
    • OEM和商业供应
    • 培训服务
    • 360° CDMO 和 CRO 服务
    • CDMO 服务
    • 临床试验 CRO 服务
    • Unity Lab Services
    • 查看所有帮助和支持
  • 帮助和支持
    • 学习中心
    • 联系我们
    • 更改国家或地区
    • 查看所有帮助和支持
  • 热门产品
    • TaqMan Real-Time PCR Assays
      TaqMan 实时荧光定量 PCR 试剂盒
    • Antibodies
      抗体
    • Oligos, Primers & Probes
      寡核苷酸、引物、探针
    • GeneArt Gene Synthesis
      GeneArt 基因合成
    • Cell Culture Plastics
      细胞培养耗材
  • Who We Serve
    • 抗体治疗解决方案
    • 细胞与基因治疗解决方案
    • 学术科研
    • 工业与应用
  • 联系我们
  • 货号直购
  • 订单查询
  • 查找文件&证书
Thermo Fisher Scientific Logo

Search

搜索全部或下列指定分类
Search button
          • 联系我们
          • 货号直购
          • 登录
            登录
            没有账号?建立账号 注册
            • 我的账号
            • 订单
            • 会员中心
            • 账单及发票查询
            • 定制产品及项目
          • Primary Antibodies ›
          • PLK1 Antibodies

          Rockland

          Phospho-PLK1 (Thr210) Polyclonal Antibody

          查看其他42个PLK1抗体

          {{$productOrderCtrl.translations['antibody.pdp.commerceCard.promotion.promotions']}}

          {{$productOrderCtrl.translations['antibody.pdp.commerceCard.promotion.viewpromo']}}

          {{$productOrderCtrl.translations['antibody.pdp.commerceCard.promotion.promocode']}}: {{promo.promoCode}} {{promo.promoTitle}} {{promo.promoDescription}}. {{$productOrderCtrl.translations['antibody.pdp.commerceCard.promotion.learnmore']}}

          说明书
          证书
          实验方案
          问题与答案
          技术支持
          说明书
          证书
          实验方案
          问题与答案
          技术支持
          说明书
          证书
          实验方案
          问题与答案
          技术支持

          Cite Phospho-PLK1 (Thr210) Polyclonal Antibody

          Additional Information:
          {{banner.description}}
          {{$ctrl.isSkuNotesCollapsed ? 'View more' : 'View less'}}
          • 抗体检测数据 (4)
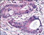
          Phospho-PLK1 (Thr210) Antibody in Immunohistochemistry (Paraffin) (IHC (P))
          Group 53 Created with Sketch.
          Phospho-PLK1 (Thr210) Antibody in Immunohistochemistry (Paraffin) (IHC (P))
          Group 53 Created with Sketch.

          图: 1 / 4

          {{ $ctrl.currentElement.advancedVerification.fullName }}
          {{ $ctrl.currentElement.advancedVerification.text }}

          Phospho-PLK1 (Thr210) Antibody (600-401-446) in IHC (P)

          Affinity Purified Plk1 pT210 was used at a 1:200 dilution to detect Plk1 by immunohistochemistry in human breast carcinoma tumor tissue. Tissue was formalin-fixed and paraffin embedded. Personal Communication, Alan Yen, LifeSpanBiosciences, Seattle, WA. {{ $ctrl.currentElement.advancedVerification.fullName }} 验证信息 View more
          已发表图片由___提供 benchsci-logo
          PMID: {{$ctrl.currentElement.benchSciPubmedId}}
          查看产品

          {{$ctrl.videoDesc}}

          {{$ctrl.videoLongDesc}}

          Phospho-PLK1 (Thr210) Antibody in Immunohistochemistry (Paraffin) (IHC (P))
          Phospho-PLK1 (Thr210) Antibody in Immunohistochemistry (Paraffin) (IHC (P))
          Phospho-PLK1 (Thr210) Antibody in Western Blot (WB)
          Phospho-PLK1 (Thr210) Antibody in Western Blot (WB)
          Phospho-PLK1 (Thr210) Polyclonal Antibody

          产品信息

          600-401-446

          应用
          建议稀释比
          已发表文章

          免疫印迹 (WB)

          1:500- 1:2,000
          -

          免疫组化(石蜡) (IHC (P))

          1:200-1:1,000
          -

          酶联免疫吸附实验 (ELISA)

          1:3,000-1:12,000
          -

          免疫沉淀 (IP)

          1:200-1:2,000
          -
          产品规格

          种属反应

          Human

          宿主/亚型

          Rabbit / IgG

          分类

          Polyclonal

          类型

          Antibody

          抗原

          Anti-Polo-like Kinase pT210 Antibody was produced by repeated immunizations with a synthetic phospho peptide corresponding to an internal region near aa 200-225 of Human Polo-like kinase 1 (Plk1) protein.
          3D表位/免疫原

          偶联物

          Unconjugated Unconjugated Unconjugated

          形式

          Liquid

          浓度

          1 mg/mL

          规格

          100 µg

          纯化类型

          Affinity chromatography

          保存液

          0.02M potassium phosphate, pH 7.2, with 0.15M NaCl

          内含物

          0.01% sodium azide

          保存条件

          -20°C, Avoid Freeze/Thaw Cycles

          运输条件

          Ambient (domestic); Wet ice (international)

          产品详细信息

          Store vial at -20° C prior to opening. Aliquot contents and freeze at -20° C or below for extended storage. Avoid cycles of freezing and thawing. Centrifuge product if not completely clear after standing at room temperature. This product is stable for several weeks at 4° C as an undiluted liquid. Dilute only prior to immediate use.

          Anti-Polo-like Kinase pT210 Antibody is directed against human phosphorylated Plk1 protein. This antibody is specific for phosphorylated human Plk-1 protein at the pT210 residue. BLAST analysis indicates 100 % homology of the immunizing sequence with Plk-1 homologues from human, chimpanzee, pig, chicken, mouse, rat, Xenopus, dog, mosquito, zebra fish, starfish, sea urchin and fruit fly. Cross reactivity with Plk-1 protein homologues from C.elgans and honeybee may also occur as sequence homology varies by one amino acid residue in this sequence. Reactivity with Plk-1 protein from other sources is not known. Minimal reactivity is expected with the non-phosphorylated form of the protein.

          靶标信息

          PLK1 is a serine/threonine kinase that is thought to function in cell mitosis and regarded as a marker of cell proliferation. It has been found to play a critical role in carcinogenesis. Polo-like kinase proteins acts by binding and phosphorylating proteins are that already phosphorylated on a specific motif recognized by the POLO box domains. Phosphorylates BORA, BUB1B/BUBR1, CCNB1, CDC25C, CEP55, ECT2, ERCC6L, FBXO5/EMI1, FOXM1, KIF20A/MKLP2, CENPU, NEDD1, NINL, NPM1, NUDC, PKMYT1/MYT1, KIZ, PPP1R12A/MYPT1, PRC1, RACGAP1/CYK4, SGOL1, STAG2/SA2, TEX14, TOPORS, p73/TP73, TPT1 and WEE1. Plays a key role in centrosome functions and the assembly of bipolar spindles by phosphorylating KIZ, NEDD1 and NINL.

          仅用于科研。不用于诊断过程。未经明确授权不得转售。

          篇参考文献 (0)

          您是否在文献中引用过该产品?请点击下方按钮邮件告知我们。
          引用该产品

          生物信息学

          蛋白别名: cell cycle regulated protein kinase; PLK 1; PLK-1; polo (Drosophia)-like kinase; polo-like kinase; Polo-like kinase 1; Serine/threonine-protein kinase 13; Serine/threonine-protein kinase PLK1; STPK13; STPK14; unnamed protein product

          查看更多 收起

          基因别名: PLK; PLK1; STPK13

          查看更多 收起

          UniProt ID: (Human) P53350

          查看更多 收起

          Entrez Gene ID: (Human) 5347

          查看更多 收起

          功能
          nucleotide binding magnesium ion binding protein kinase activity protein serine/threonine kinase activity protein binding ATP binding microtubule binding anaphase-promoting complex binding kinase activity transferase activity protein kinase binding identical protein binding protein serine kinase activity
          参与通路
          mitotic sister chromatid segregation G2/M transition of mitotic cell cycle negative regulation of transcription from RNA polymerase II promoter establishment of mitotic spindle orientation mitotic cell cycle nuclear division mitotic cytokinesis double-strand break repair via homologous recombination microtubule bundle formation double-strand break repair protein phosphorylation mitotic spindle organization sister chromatid cohesion mitotic chromosome condensation mitotic nuclear envelope disassembly metaphase/anaphase transition of mitotic cell cycle mitotic spindle assembly checkpoint mitotic G2 DNA damage checkpoint centrosome cycle regulation of mitotic cell cycle regulation of cell cycle process female meiosis chromosome segregation protein ubiquitination peptidyl-serine phosphorylation regulation of mitotic metaphase/anaphase transition protein destabilization positive regulation of proteasomal ubiquitin-dependent protein catabolic process regulation of cytokinesis protein localization to organelle negative regulation of apoptotic process homologous chromosome segregation establishment of protein localization positive regulation of proteolysis Golgi inheritance nuclear envelope disassembly centrosome separation cell division positive regulation of ubiquitin-protein transferase activity regulation of cell cycle synaptonemal complex disassembly protein localization to chromatin protein localization to centrosome protein localization to nuclear envelope double-strand break repair via alternative nonhomologous end joining positive regulation of protein localization to nucleus regulation of mitotic spindle assembly regulation of mitotic cell cycle phase transition positive regulation of ubiquitin protein ligase activity regulation of protein localization to cell cortex regulation of anaphase-promoting complex-dependent catabolic process protein localization to site of double-strand break negative regulation of double-strand break repair via homologous recombination
          It has to be done as per old AB suggested Products section.

          Disclaimer

          Close

          Clicking the images or links will redirect you to a website hosted by BenchSci that provides third-party scientific content. Neither the content nor the BenchSci technology and processes for selection have been evaluated by us; we are providing them as-is and without warranty of any kind, including for use or application of the Thermo Fisher Scientific products presented.

          guarantee_icon

          性能保障

          只要您发现Invitrogen抗体在实验中的表现与网站或说明书的所述内容不符,您即可享受免费退换货服务。*

          了解更多
          help_icon

          随时为您服务

          获取常见问题的专家解答,或者直接联系我们的技术专家,咨询应用、设备、常规产品使用问题。

          联系技术支持
          订购 Plus Icon Minus Icon
          • 订单状态查询
          • 订单支持
          • 货号直购
          • 现货供应中心
          • 电子采购
          支持 Plus Icon Minus Icon
          • 帮助&支持
          • 联系我们 - 400 820 8982
          • 技术支持中心
          • 查找文件&证书
          • 报告网站问题
          资源 Plus Icon Minus Icon
          • 学习中心
          • 促销
          • 活动&研讨会
          • 社交媒体
          关于赛默飞 Plus Icon Minus Icon
          • 关于我们
          • 招聘 招聘
          • 投资者关系 投资者关系
          • 新闻 新闻
          • 社会责任 社会责任
          • 商标
          • 政策和通知
          品牌 Plus Icon Minus Icon
          • Thermo Scientific
          • Applied Biosystems
          • Invitrogen
          • Gibco
          • Ion Torrent
          • Unity Lab Services
          • Patheon
          • PPD
          • 服务条款
          • 隐私政策
          • 定价和运输保险政策
          © 2006-2026 Thermo Fisher Scientific Inc. All rights reserved. All trademarks are the property of Thermo Fisher Scientific and its subsidiaries unless otherwise specified.
          China flag icon
          China
          本网站销售的所有产品均不得用于人类或动物之临床诊断或治疗,仅可用于工业或者科研等非医疗目的。
             电子营业执照 | 经营证照公示 | ICP备案号:沪ICP备11003924号 | 沪公网安备 31011502006935号

          Your items have has been added!


          Host server : magellan-search-green-6479c7f679-46l5g:80/100.66.76.236:80.
          git-commit: b70c0dceb888abc3b0dcebb5bc3a5b8753e7e816
          git-url: https://github.com/thermofisher/magellan-search
          git-branch: release/2.50.0-Offline