Hamburger Menu Button
Thermo Fisher Scientific Logo
登录
没有账号?建立账号 注册
  • 产品
    • 抗体
    • 引物合成
    • GeneArt Gene Synthesis Instant Designer
    • TaqMan Assay and Array Search
    • PCR 设备和耗材
    • 色谱柱和纯化柱
    • 实验室离心机
    • 分子生物学试剂和试剂盒
    • 实验室塑料耗材及用品
    • 查看所有产品分类
  • 应用和技术
    • 色谱
    • 细胞转染和培养
    • 实时荧光定量PCR
    • 质谱
    • 实验室塑料耗材及用品
    • 电子显微镜
    • 蛋白质生物学
    • PCR
    • RNAi
    • 环境
    • 查看所有应用和技术
  • 服务
    • 定制服务
    • 企业级实验室信息化服务
    • 金融&租赁服务
    • 仪器服务
    • OEM和商业供应
    • 培训服务
    • 360° CDMO 和 CRO 服务
    • CDMO 服务
    • 临床试验 CRO 服务
    • Unity Lab Services
    • 查看所有帮助和支持
  • 帮助和支持
    • 学习中心
    • 联系我们
    • 更改国家或地区
    • 查看所有帮助和支持
  • 热门产品
    • TaqMan Real-Time PCR Assays
      TaqMan 实时荧光定量 PCR 试剂盒
    • Antibodies
      抗体
    • Oligos, Primers & Probes
      寡核苷酸、引物、探针
    • GeneArt Gene Synthesis
      GeneArt 基因合成
    • Cell Culture Plastics
      细胞培养耗材
  • Who We Serve
    • 抗体治疗解决方案
    • 细胞与基因治疗解决方案
    • 学术科研
    • 工业与应用
  • 联系我们
  • 货号直购
  • 订单查询
  • 查找文件&证书
Thermo Fisher Scientific Logo

Search

搜索全部或下列指定分类
Search button
          • 联系我们
          • 货号直购
          • 登录
            登录
            没有账号?建立账号 注册
            • 我的账号
            • 订单
            • 会员中心
            • 账单及发票查询
            • 定制产品及项目
          • Primary Antibodies ›
          • PKC Pan Antibodies

          Abnova

          Phospho-PRKCA (Ser660) Recombinant Rabbit Monoclonal Antibody

          查看其他8个PKC Pan抗体

          {{$productOrderCtrl.translations['antibody.pdp.commerceCard.promotion.promotions']}}

          {{$productOrderCtrl.translations['antibody.pdp.commerceCard.promotion.viewpromo']}}

          {{$productOrderCtrl.translations['antibody.pdp.commerceCard.promotion.promocode']}}: {{promo.promoCode}} {{promo.promoTitle}} {{promo.promoDescription}}. {{$productOrderCtrl.translations['antibody.pdp.commerceCard.promotion.learnmore']}}

          说明书
          证书
          实验方案
          问题与答案
          技术支持
          说明书
          证书
          实验方案
          问题与答案
          技术支持
          说明书
          证书
          实验方案
          问题与答案
          技术支持

          Cite Phospho-PRKCA (Ser660) Recombinant Rabbit Monoclonal Antibody

          Additional Information:
          {{banner.description}}
          {{$ctrl.isSkuNotesCollapsed ? 'View more' : 'View less'}}
          • 抗体检测数据 (1)
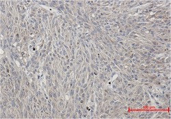
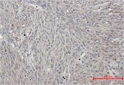
          Phospho-PRKCA (Ser660) Antibody in Immunohistochemistry (Paraffin) (IHC (P))
          Group 53 Created with Sketch.
          Phospho-PRKCA (Ser660) Antibody in Immunohistochemistry (Paraffin) (IHC (P))
          Group 53 Created with Sketch.

          图: 1 / 1

          {{ $ctrl.currentElement.advancedVerification.fullName }}
          {{ $ctrl.currentElement.advancedVerification.text }}

          Phospho-PRKCA (Ser660) Antibody (RAB01779) in IHC (P)

          Immunohistochemical staining (Paraffin-embedded sections) of human brain with PRKCA (phospho Ser660) recombinant monoclonal antibody, clone R08-0H5 (Product # RAB01779). High-pressure and temperature Sodium Citrate pH 6.0 was used for antigen retrieval. {{ $ctrl.currentElement.advancedVerification.fullName }} 验证信息 View more
          已发表图片由___提供 benchsci-logo
          PMID: {{$ctrl.currentElement.benchSciPubmedId}}
          查看产品

          {{$ctrl.videoDesc}}

          {{$ctrl.videoLongDesc}}

          Phospho-PRKCA (Ser660) Antibody in Immunohistochemistry (Paraffin) (IHC (P))

          产品信息

          RAB01779

          应用
          建议稀释比
          已发表文章

          免疫印迹 (WB)

          1:500-1:1,000
          -

          免疫组化(石蜡) (IHC (P))

          1:50-1:100
          -
          产品规格

          种属反应

          Human, Rat

          宿主/亚型

          Rabbit / IgG

          Expression System

          CHO cells

          分类

          Recombinant Monoclonal

          类型

          Antibody

          抗原

          Synthetic phosphopeptide corresponding to residues surrounding Ser660 of human PRKCA.

          偶联物

          Unconjugated Unconjugated Unconjugated

          形式

          Liquid

          纯化类型

          Affinity chromatography

          保存液

          50mM tris glycine, pH 7.4, with 40% glycerol, 0.05% BSA, 150mM NaCl

          内含物

          0.01% sodium azide

          保存条件

          -20°C, Avoid Freeze/Thaw Cycles

          运输条件

          Ambient (domestic); Wet ice (international)

          靶标信息

          Members of the protein kinase C (PKC) family play a key regulatory role in a variety of cellular functions including cell growth and differentiation, gene expression, hormone secretion and membrane function. PKCs were originally identified as serine/threonine protein kinases whose activity was dependent on calcium and phospholipids. Diacylglycerols (DAG) and tumor promoting phorbol esters bind to and activate PKC. PKCs can be subdivided into at least two major classes including conventional (c) PKC isoforms ( alpha, betaI, betaII and gamma) and novel (n) PKC isoforms ( delta, epsilon, zeta, eta and theta). Patterns of expression for each PKC isoform differ among tissues and PKC family members exhibit clear differences in their cofactor dependencies. For instance, the kinase activities of nPKC delta and epsilon are independent of Ca2+.

          仅用于科研。不用于诊断过程。未经明确授权不得转售。

          篇参考文献 (0)

          您是否在文献中引用过该产品?请点击下方按钮邮件告知我们。
          引用该产品

          生物信息学

          蛋白别名: 14 - 3 - 3 - zeta isoform; AAG6; aging-associated gene 6; aPKC-lambda/iota; Atypical protein kinase C-lambda/iota; nPKC-delta; nPKC-epsilon; nPKC-eta; nPKC-iota; nPKC-theta; nPKC-zeta; PKC gamma; PKC zeta; PKC-A; PKC-alpha; PKC-B; PKC-beta; PKC-gamma; PKC-L; PKCdeltaVIII; PRKC-lambda/iota; Protein kinase C alpha type; protein kinase C alpha-polypeptide; protein kinase C beta I; protein kinase C beta II; Protein kinase C beta type; Protein kinase C delta type; protein kinase C delta VIII; Protein kinase C epsilon type; Protein kinase C eta type; Protein kinase C gamma type; Protein kinase C iota type; Protein kinase C theta type; protein kinase C type I (gamma type); Protein kinase C zeta type; protein kinase C, beta 1; protein kinase C, beta 1 polypeptide; protein kinase C, lambda; protein kinase C-eta; Protein uPEP2; Tyrosine-protein kinase PRKCD; unnamed protein product

          查看更多 收起

          基因别名: 14-3-3-zetaisoform; AAG6; ALPS3; CVID9; DXS1179E; MAY1; nPKC-delta; nPKC-epsilon; nPKC-eta; nPKC-iota; nPKC-theta; PKC; PKC-alpha; PKC-beta; PKC-gamma; PKC-L; PKC-ZETA; PKC2; PKCA; PKCalpha; PKCB; PKCbeta; PKCC; PKCD; PKCE; PKCG; PKCgamma; Pkch; PKCI; PKCI(2); PKCI(3); PKCI+/-; PKCL; Pkcq; Pkcz; PRKACA; Prkc; PRKCA; PRKCB; PRKCB1; PRKCB2; Prkcc; PRKCD; PRKCE; PRKCG; PRKCH; PRKCI; PRKCL; PRKCQ; PRKCT; PRKCZ; r14-3-3; RATPKCI; SCA14; uORF2

          查看更多 收起

          UniProt ID: (Human) P17252, (Human) P05771, (Human) Q05655, (Human) Q02156, (Human) P05129, (Human) P24723, (Human) P41743, (Human) Q04759, (Human) Q05513, (Rat) P05696, (Rat) P68403, (Rat) P09215, (Rat) P09216, (Rat) P63319, (Rat) Q64617, (Rat) F1M7Y5, (Rat) P09217

          查看更多 收起

          Entrez Gene ID: (Human) 5578, (Human) 5579, (Human) 5580, (Human) 5581, (Human) 5582, (Human) 5583, (Human) 5584, (Human) 5588, (Human) 5590, (Rat) 24680, (Rat) 25023, (Rat) 170538, (Rat) 29340, (Rat) 24681, (Rat) 81749, (Rat) 84006, (Rat) 85420, (Rat) 25522

          查看更多 收起

          功能
          nucleotide binding protein kinase activity protein serine/threonine kinase activity protein kinase C activity calcium-dependent protein kinase C activity receptor binding integrin binding protein binding ATP binding zinc ion binding kinase activity transferase activity enzyme binding diacylglycerol binding histone kinase activity (H3-T6 specific) metal ion binding protein serine kinase activity chromatin binding transcription coactivator activity protein kinase C binding calcium channel regulator activity histone binding androgen receptor binding calcium-independent protein kinase C activity protein tyrosine kinase activity non-membrane spanning protein tyrosine kinase activity enzyme activator activity protein kinase binding protein tyrosine kinase activator activity insulin receptor substrate binding actin monomer binding receptor activator activity ethanol binding 14-3-3 protein binding protein serine/threonine/tyrosine kinase activity protein kinase inhibitor activity protein serine/threonine kinase inhibitor activity small GTPase binding translation regulator activity protein serine/threonine kinase binding phospholipid binding ligand-dependent nuclear receptor transcription coactivator activity TIR domain binding SH3 domain binding Ral GTPase binding molecular_function protein domain specific binding potassium channel regulator activity phospholipase binding non-receptor serine/threonine protein kinase protein modifying enzyme
          参与通路
          response to reactive oxygen species angiogenesis positive regulation of endothelial cell proliferation desmosome assembly chromatin remodeling protein phosphorylation apoptotic process mitotic nuclear envelope disassembly cell adhesion learning or memory response to mechanical stimulus response to toxic substance positive regulation of signal transduction positive regulation of endothelial cell migration positive regulation of cardiac muscle hypertrophy negative regulation of translation central nervous system neuron axonogenesis signal transduction involved in regulation of gene expression positive regulation of cell migration positive regulation of lipopolysaccharide-mediated signaling pathway positive regulation of insulin secretion response to estradiol negative regulation of glial cell apoptotic process intracellular signal transduction proteasome-mediated ubiquitin-dependent protein catabolic process response to peptide hormone regulation of mRNA stability protein kinase B signaling positive regulation of blood vessel endothelial cell migration response to ethanol positive regulation of macrophage differentiation positive regulation of angiogenesis positive regulation of bone resorption positive regulation of cell adhesion positive regulation of exocytosis positive regulation of mitotic cell cycle positive regulation of smooth muscle cell proliferation regulation of transport response to corticosterone positive regulation of protein kinase B signaling positive regulation of synapse assembly renal sodium ion absorption positive regulation of ERK1 and ERK2 cascade protein kinase C signaling response to interleukin-1 regulation of platelet aggregation apoptotic signaling pathway positive regulation of adenylate cyclase-activating G protein-coupled receptor signaling pathway positive regulation of angiotensin-activated signaling pathway negative regulation of cytokine production involved in inflammatory response positive regulation of cytokine production involved in inflammatory response response to phorbol 13-acetate 12-myristate positive regulation of dense core granule biogenesis adaptive immune response immune system process chromatin organization regulation of transcription from RNA polymerase II promoter calcium ion transport cellular calcium ion homeostasis signal transduction phospholipase C-activating G-protein coupled acetylcholine receptor signaling pathway regulation of glucose transport negative regulation of glucose transport positive regulation of vascular endothelial growth factor receptor signaling pathway B cell activation lipoprotein transport positive regulation of I-kappaB kinase/NF-kappaB signaling positive regulation of transcription, DNA-templated negative regulation of insulin receptor signaling pathway B cell receptor signaling pathway cellular response to carbohydrate stimulus presynaptic modulation of chemical synaptic transmission regulation of synaptic vesicle exocytosis cellular response to DNA damage stimulus intrinsic apoptotic signaling pathway in response to oxidative stress immunoglobulin mediated immune response peptidyl-serine phosphorylation peptidyl-threonine phosphorylation termination of signal transduction negative regulation of actin filament polymerization positive regulation of endodeoxyribonuclease activity positive regulation of superoxide anion generation regulation of actin cytoskeleton organization cellular response to UV Fc-gamma receptor signaling pathway involved in phagocytosis B cell proliferation neutrophil activation positive regulation of protein import into nucleus defense response to bacterium negative regulation of apoptotic process negative regulation of MAPK cascade post-translational protein modification negative regulation of inflammatory response protein stabilization positive regulation of DNA metabolic process negative regulation of filopodium assembly cell chemotaxis cellular response to hydrogen peroxide cellular response to fatty acid cellular response to hydroperoxide negative regulation of platelet aggregation cellular senescence phospholipase C/protein kinase C signal transduction positive regulation of phospholipid scramblase activity cellular response to angiotensin regulation of ceramide biosynthetic process positive regulation of ceramide biosynthetic process positive regulation of glucosylceramide catabolic process positive regulation of sphingomyelin catabolic process positive regulation of apoptotic signaling pathway MAPK cascade macrophage activation involved in immune response toxin catabolic process positive regulation of epithelial cell migration positive regulation of fibroblast migration positive regulation of cell-substrate adhesion regulation of metal ion transport regulation of lipid metabolic process insulin secretion positive regulation of actin filament polymerization negative regulation of protein ubiquitination cell-substrate adhesion lipopolysaccharide-mediated signaling pathway positive regulation of synaptic transmission, GABAergic positive regulation of cytokinesis locomotory exploration behavior TRAM-dependent toll-like receptor 4 signaling pathway xenobiotic catabolic process response to morphine positive regulation of MAPK cascade positive regulation of lipid catabolic process regulation of release of sequestered calcium ion into cytosol cell division establishment of localization in cell synaptic transmission, GABAergic regulation of insulin secretion involved in cellular response to glucose stimulus mucus secretion positive regulation of mucus secretion cellular response to ethanol cellular response to prostaglandin E stimulus cellular response to hypoxia positive regulation of wound healing negative regulation of sodium ion transmembrane transport positive regulation of protein localization to plasma membrane regulation of cation transmembrane transport phospholipase C-activating G-protein coupled receptor signaling pathway chemical synaptic transmission chemosensory behavior regulation of response to food positive regulation of mismatch repair negative regulation of protein catabolic process regulation of circadian rhythm negative regulation of neuron apoptotic process response to pain rhythmic process regulation of phagocytosis long-term synaptic potentiation innervation synaptic signaling via neuropeptide negative regulation of proteasomal protein catabolic process response to angiotensin response to psychosocial stress regulation of translation positive regulation of macrophage derived foam cell differentiation cell differentiation positive regulation of translation in response to stress cellular response to amino acid starvation positive regulation of keratinocyte differentiation positive regulation of B cell receptor signaling pathway positive regulation of NF-kappaB transcription factor activity positive regulation of glial cell proliferation regulation of bicellular tight junction assembly protein targeting to membrane cytoskeleton organization actin filament organization positive regulation of neuron projection development vesicle-mediated transport cell migration establishment of cell polarity cellular response to insulin stimulus establishment of apical/basal cell polarity eye photoreceptor cell development establishment or maintenance of epithelial cell apical/basal polarity cell-cell junction organization positive regulation of Notch signaling pathway positive regulation of glucose import secretion Golgi vesicle budding membrane organization cellular response to chemical stress protein localization to plasma membrane regulation of postsynaptic membrane neurotransmitter receptor levels positive regulation of endothelial cell apoptotic process regulation of cell growth regulation of transcription, DNA-templated membrane protein ectodomain proteolysis inflammatory response axon guidance positive regulation of telomere maintenance positive regulation of interleukin-17 production positive regulation of interleukin-2 production positive regulation of interleukin-4 production CD4-positive, alpha-beta T cell proliferation Fc-epsilon receptor signaling pathway T cell activation positive regulation of T cell activation negative regulation of T cell apoptotic process positive regulation of T-helper 17 type immune response positive regulation of CD4-positive, alpha-beta T cell proliferation positive regulation of T-helper 2 cell activation microtubule cytoskeleton organization negative regulation of protein complex assembly positive regulation of interleukin-10 production positive regulation of interleukin-13 production positive regulation of interleukin-5 production positive regulation of T-helper 2 cell differentiation positive regulation of insulin receptor signaling pathway neuron projection extension positive regulation of excitatory postsynaptic potential positive regulation of T-helper 2 cell cytokine production inactivation of MAPK activity negative regulation of protein phosphorylation positive regulation of protein phosphorylation regulation of the force of heart contraction chondrocyte differentiation negative regulation of protein kinase activity regulation of muscle contraction aging negative regulation of cell proliferation response to organic cyclic compound neutrophil chemotaxis histone H3-T6 phosphorylation peptidyl-serine autophosphorylation establishment of protein localization negative regulation of heart contraction negative regulation of glucose import response to antibiotic protein autophosphorylation regulation of receptor-mediated endocytosis positive regulation of inflammatory response regulation of peptidyl-tyrosine phosphorylation induction of positive chemotaxis intrinsic apoptotic signaling pathway response to hypoxia transcription, DNA-templated response to glucose regulation of dopamine secretion dibenzo-p-dioxin metabolic process response to vitamin D regulation of growth positive regulation of odontogenesis of dentin-containing tooth response to drug response to oxidative stress response to heat response to organonitrogen compound aspartate transport interleukin-10 production interleukin-12 production collagen metabolic process positive regulation of protein dephosphorylation cellular response to glucose starvation response to hydrogen peroxide positive regulation of apoptotic process positive regulation of catalytic activity response to amino acid positive regulation of MAP kinase activity negative regulation of MAP kinase activity negative regulation of peptidyl-tyrosine phosphorylation positive regulation of response to DNA damage stimulus negative regulation of mitochondrial membrane potential release of sequestered calcium ion into cytosol negative regulation of release of sequestered calcium ion into cytosol negative regulation of mitochondrial calcium ion concentration positive regulation of receptor activity positive regulation of cellular glucuronidation phosphorylation cellular protein localization positive regulation of establishment of protein localization to plasma membrane regulation of G2/M transition of mitotic cell cycle regulation of vasoconstriction neuron differentiation response to insulin positive regulation of T cell proliferation tissue regeneration positive regulation of NF-kappaB import into nucleus positive regulation of interleukin-2 biosynthetic process respiratory burst positive regulation of protein secretion positive regulation of filopodium assembly positive regulation of stress fiber assembly positive regulation of cell-matrix adhesion cell surface receptor signaling pathway long-term memory positive regulation of cell proliferation insulin receptor signaling pathway actin cytoskeleton reorganization activation of phospholipase D activity activation of protein kinase B activity vesicle transport along microtubule positive regulation of synaptic transmission positive regulation of protein transport protein heterooligomerization negative regulation of hydrolase activity membrane depolarization membrane hyperpolarization positive regulation of interleukin-5 secretion positive regulation of interleukin-13 secretion positive regulation of interleukin-10 secretion
          It has to be done as per old AB suggested Products section.

          Disclaimer

          Close

          Clicking the images or links will redirect you to a website hosted by BenchSci that provides third-party scientific content. Neither the content nor the BenchSci technology and processes for selection have been evaluated by us; we are providing them as-is and without warranty of any kind, including for use or application of the Thermo Fisher Scientific products presented.

          guarantee_icon

          性能保障

          只要您发现Invitrogen抗体在实验中的表现与网站或说明书的所述内容不符,您即可享受免费退换货服务。*

          了解更多
          help_icon

          随时为您服务

          获取常见问题的专家解答,或者直接联系我们的技术专家,咨询应用、设备、常规产品使用问题。

          联系技术支持
          订购 Plus Icon Minus Icon
          • 订单状态查询
          • 订单支持
          • 货号直购
          • 现货供应中心
          • 电子采购
          支持 Plus Icon Minus Icon
          • 帮助&支持
          • 联系我们 - 400 820 8982
          • 技术支持中心
          • 查找文件&证书
          • 报告网站问题
          资源 Plus Icon Minus Icon
          • 学习中心
          • 促销
          • 活动&研讨会
          • 社交媒体
          关于赛默飞 Plus Icon Minus Icon
          • 关于我们
          • 招聘 招聘
          • 投资者关系 投资者关系
          • 新闻 新闻
          • 社会责任 社会责任
          • 商标
          • 政策和通知
          品牌 Plus Icon Minus Icon
          • Thermo Scientific
          • Applied Biosystems
          • Invitrogen
          • Gibco
          • Ion Torrent
          • Unity Lab Services
          • Patheon
          • PPD
          • 服务条款
          • 隐私政策
          • 定价和运输保险政策
          © 2006-2026 Thermo Fisher Scientific Inc. All rights reserved. All trademarks are the property of Thermo Fisher Scientific and its subsidiaries unless otherwise specified.
          China flag icon
          China
          本网站销售的所有产品均不得用于人类或动物之临床诊断或治疗,仅可用于工业或者科研等非医疗目的。
             电子营业执照 | 经营证照公示 | ICP备案号:沪ICP备11003924号 | 沪公网安备 31011502006935号

          Your items have has been added!


          Host server : magellan-search-green-6479c7f679-46l5g:80/100.66.76.236:80.
          git-commit: b70c0dceb888abc3b0dcebb5bc3a5b8753e7e816
          git-url: https://github.com/thermofisher/magellan-search
          git-branch: release/2.50.0-Offline