Hamburger Menu Button
Thermo Fisher Scientific Logo
登录
没有账号?建立账号 注册
  • 产品
    • 抗体
    • 引物合成
    • GeneArt Gene Synthesis Instant Designer
    • TaqMan Assay and Array Search
    • PCR 设备和耗材
    • 色谱柱和纯化柱
    • 实验室离心机
    • 分子生物学试剂和试剂盒
    • 实验室塑料耗材及用品
    • 查看所有产品分类
  • 应用和技术
    • 色谱
    • 细胞转染和培养
    • 实时荧光定量PCR
    • 质谱
    • 实验室塑料耗材及用品
    • 电子显微镜
    • 蛋白质生物学
    • PCR
    • RNAi
    • 环境
    • 查看所有应用和技术
  • 服务
    • 定制服务
    • 企业级实验室信息化服务
    • 金融&租赁服务
    • 仪器服务
    • OEM和商业供应
    • 培训服务
    • 360° CDMO 和 CRO 服务
    • CDMO 服务
    • 临床试验 CRO 服务
    • Unity Lab Services
    • 查看所有帮助和支持
  • 帮助和支持
    • 学习中心
    • 联系我们
    • 更改国家或地区
    • 查看所有帮助和支持
  • 热门产品
    • TaqMan Real-Time PCR Assays
      TaqMan 实时荧光定量 PCR 试剂盒
    • Antibodies
      抗体
    • Oligos, Primers & Probes
      寡核苷酸、引物、探针
    • GeneArt Gene Synthesis
      GeneArt 基因合成
    • Cell Culture Plastics
      细胞培养耗材
  • Who We Serve
    • 抗体治疗解决方案
    • 细胞与基因治疗解决方案
    • 学术科研
    • 工业与应用
  • 联系我们
  • 货号直购
  • 订单查询
  • 查找文件&证书
Thermo Fisher Scientific Logo

Search

搜索全部或下列指定分类
Search button
          • 联系我们
          • 货号直购
          • 登录
            登录
            没有账号?建立账号 注册
            • 我的账号
            • 订单
            • 会员中心
            • 账单及发票查询
            • 定制产品及项目
          • Primary Antibodies ›
          • RAC1/CDC42 Antibodies

          Invitrogen

          Phospho-RAC1/CDC42 (Ser71) Recombinant Rabbit Monoclonal Antibody (JJ086-9)

          查看其他6个RAC1/CDC42抗体

          {{$productOrderCtrl.translations['antibody.pdp.commerceCard.promotion.promotions']}}

          {{$productOrderCtrl.translations['antibody.pdp.commerceCard.promotion.viewpromo']}}

          {{$productOrderCtrl.translations['antibody.pdp.commerceCard.promotion.promocode']}}: {{promo.promoCode}} {{promo.promoTitle}} {{promo.promoDescription}}. {{$productOrderCtrl.translations['antibody.pdp.commerceCard.promotion.learnmore']}}

          说明书
          证书
          实验方案
          问题与答案
          技术支持
          说明书
          证书
          实验方案
          问题与答案
          技术支持
          说明书
          证书
          实验方案
          问题与答案
          技术支持

          Cite Phospho-RAC1/CDC42 (Ser71) Recombinant Rabbit Monoclonal Antibody (JJ086-9)

          Additional Information:
          {{banner.description}}
          {{$ctrl.isSkuNotesCollapsed ? 'View more' : 'View less'}}
          • 抗体检测数据 (4)
          Phospho-RAC1/CDC42 (Ser71) Antibody in Immunocytochemistry (ICC/IF)
          Group 53 Created with Sketch.
          Phospho-RAC1/CDC42 (Ser71) Antibody in Immunocytochemistry (ICC/IF)
          Group 53 Created with Sketch.

          图: 1 / 4

          {{ $ctrl.currentElement.advancedVerification.fullName }}
          {{ $ctrl.currentElement.advancedVerification.text }}

          Phospho-RAC1/CDC42 (Ser71) Antibody (MA5-32449) in ICC/IF

          Immunocytochemical analysis of Phospho-RAC1/CDC42 (Ser71) in Hela cells using a Phospho-RAC1/CDC42 (Ser71) Monoclonal antibody (Product # MA5-32449) as seen in green. The nuclear counter stain is DAPI (blue). Cells were fixed in paraformaldehyde, permeabilised with 0.25% Triton X100/PBS. {{ $ctrl.currentElement.advancedVerification.fullName }} 验证信息 View more
          已发表图片由___提供 benchsci-logo
          PMID: {{$ctrl.currentElement.benchSciPubmedId}}
          查看产品

          {{$ctrl.videoDesc}}

          {{$ctrl.videoLongDesc}}

          Phospho-RAC1/CDC42 (Ser71) Antibody in Immunocytochemistry (ICC/IF)
          Phospho-RAC1/CDC42 (Ser71) Antibody in Immunocytochemistry (ICC/IF)
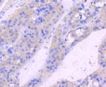
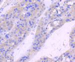
          Phospho-RAC1/CDC42 (Ser71) Antibody in Immunohistochemistry (Paraffin) (IHC (P))
          Phospho-RAC1/CDC42 (Ser71) Antibody in Immunohistochemistry (Paraffin) (IHC (P))
          Phospho-RAC1/CDC42 (Ser71) Recombinant Rabbit Monoclonal Antibody (JJ086-9)

          产品信息

          MA5-32449

          应用
          建议稀释比
          已发表文章

          免疫印迹 (WB)

          1:500-1:1,000
          -

          免疫组化(石蜡) (IHC (P))

          1:50-1:200
          -

          免疫细胞化学 (ICC/IF)

          1:50-1:200
          -
          产品规格

          种属反应

          Human

          宿主/亚型

          Rabbit / IgG

          Expression System

          HEK293 cells

          分类

          Recombinant Monoclonal

          类型

          Antibody

          克隆号

          JJ086-9

          抗原

          Synthetic phospho-peptide corresponding to residues surrounding Ser71 of Human CDC42 aa 41-90.
          3D表位/免疫原

          偶联物

          Unconjugated Unconjugated Unconjugated

          形式

          Liquid

          浓度

          1 mg/mL

          规格

          100 µg

          纯化类型

          Protein A

          保存液

          TBS, pH 7.4, with 40% Glycerol, 0.05% BSA

          内含物

          0.05% sodium azide

          保存条件

          Store at 4°C short term. For long term storage, store at -20°C, avoiding freeze/thaw cycles.

          运输条件

          Ambient (domestic); Wet ice (international)

          RRID

          AB_2809726

          产品详细信息

          Recombinant rabbit monoclonal antibodies are produced using in vitro expression systems. The expression systems are developed by cloning in the specific antibody DNA sequences from immunoreactive rabbits. Then, individual clones are screened to select the best candidates for production. The advantages of using recombinant rabbit monoclonal antibodies include: better specificity and sensitivity, lot-to-lot consistency, animal origin-free formulations, and broader immunoreactivity to diverse targets due to larger rabbit immune repertoire.

          靶标信息

          Rac1 is a GTPase which belongs to the RAS superfamily of small GTP-binding proteins. Members of this superfamily appear to regulate a diverse array of cellular events, including the control of cell growth, cytoskeletal reorganization, and the activation of protein kinases. Two transcript variants encoding different isoforms have been found for the Rac1 gene.

          仅用于科研。不用于诊断过程。未经明确授权不得转售。

          篇参考文献 (0)

          您是否在文献中引用过该产品?请点击下方按钮邮件告知我们。
          引用该产品

          生物信息学

          蛋白别名: Cell division control protein 42 homolog; Cell migration-inducing gene 5 protein; dJ224A6.1.1 (cell division cycle 42 (GTP-binding protein, 25kD)); dJ224A6.1.2 (cell division cycle 42 (GTP-binding protein, 25kD)); G25K GTP-binding protein; growth-regulating protein; GTP binding protein, 25kDa; GTP-binding protein G25K; p21-Rac1; Rac1ins; ras-like protein; Ras-like protein TC25; ras-related C3 botulinum toxin substrate; Ras-related C3 botulinum toxin substrate 1; ras-related C3 botulinum toxin substrate 1 (rho family, small GTP binding protein Rac1); small GTP binding protein; small GTP binding protein CDC42; unnamed protein product

          查看更多 收起

          基因别名: CDC42; CDC42Hs; G25K; MIG5; MRD48; p21-Rac1; Rac-1; RAC1; TC-25; TC25; TKS

          查看更多 收起

          UniProt ID: (Human) P60953, (Human) P63000

          查看更多 收起

          Entrez Gene ID: (Human) 998, (Human) 5879

          查看更多 收起

          功能
          nucleotide binding GTPase activity obsolete small monomeric GTPase activity protein binding GTP binding hydrolase activity protein kinase binding GTP-dependent protein binding thioesterase binding GBD domain binding apolipoprotein A-I receptor binding identical protein binding ubiquitin protein ligase activity enzyme binding macromolecular complex binding Rho GDP-dissociation inhibitor binding
          参与通路
          heart process cardiac conduction system development cardiac neural crest cell migration involved in outflow tract morphogenesis endocytosis phagocytosis, engulfment actin filament organization Golgi organization regulation of mitotic nuclear division nuclear migration establishment or maintenance of cell polarity signal transduction integrin-mediated signaling pathway small GTPase mediated signal transduction nervous system development protein localization anatomical structure morphogenesis regulation of lamellipodium assembly positive regulation of lamellipodium assembly substantia nigra development establishment of cell polarity actin cytoskeleton organization cell differentiation macrophage differentiation positive regulation of cell growth positive regulation of cell migration positive regulation of pseudopodium assembly negative regulation of protein complex assembly positive regulation of cytokinesis regulation of actin cytoskeleton organization cell junction assembly adherens junction organization embryonic heart tube development establishment or maintenance of apical/basal cell polarity dendritic cell migration neuropilin signaling pathway positive regulation of MAPK cascade modulation by host of viral process establishment of epithelial cell apical/basal polarity filopodium assembly positive regulation of pinocytosis neuron fate determination positive regulation of cellular component organization regulation of filopodium assembly positive regulation of filopodium assembly regulation of stress fiber assembly positive regulation of stress fiber assembly nucleus localization establishment of localization in cell establishment of Golgi localization positive regulation of protein kinase B signaling regulation of attachment of spindle microtubules to kinetochore heart contraction Wnt signaling pathway, planar cell polarity pathway positive regulation of epithelial cell proliferation involved in lung morphogenesis dendritic spine morphogenesis cellular response to interferon-gamma organelle transport along microtubule endothelin receptor signaling pathway involved in heart process regulation of postsynapse organization positive regulation of substrate adhesion-dependent cell spreading neuron migration positive regulation of protein phosphorylation auditory receptor cell morphogenesis sphingosine-1-phosphate signaling pathway epithelial cell morphogenesis inflammatory response hyperosmotic response cytoskeleton organization cell adhesion cell-matrix adhesion enzyme linked receptor protein signaling pathway G-protein coupled receptor signaling pathway axon guidance motor neuron axon guidance regulation of cell shape response to wounding regulation of hydrogen peroxide metabolic process positive regulation of endothelial cell migration regulation of fibroblast migration negative regulation of fibroblast migration regulation of cell-substrate adhesion positive regulation of cell-substrate adhesion regulation of neuron maturation dendrite development cell migration Rac protein signal transduction cerebral cortex radially oriented cell migration embryonic olfactory bulb interneuron precursor migration cerebral cortex GABAergic interneuron development regulation of cell morphogenesis cell projection assembly lamellipodium assembly actin filament polymerization regulation of cell migration positive regulation of actin filament polymerization cortical cytoskeleton organization forebrain development positive regulation of microtubule polymerization ruffle organization response to lipopolysaccharide negative regulation of interleukin-23 production substrate adhesion-dependent cell spreading positive regulation of Rho protein signal transduction intracellular signal transduction non-canonical Wnt signaling pathway positive regulation of insulin secretion involved in cellular response to glucose stimulus superoxide anion generation erythrocyte enucleation engulfment of apoptotic cell cell-cell junction organization regulation of nitric oxide biosynthetic process respiratory burst regulation of JAK-STAT cascade hepatocyte growth factor receptor signaling pathway regulation of neuronal synaptic plasticity negative regulation of receptor-mediated endocytosis anatomical structure arrangement neuron projection morphogenesis dendrite morphogenesis cell motility homeostasis of number of cells within a tissue localization within membrane positive regulation of focal adhesion assembly synaptic transmission, GABAergic regulation of respiratory burst cell chemotaxis positive regulation of dendritic spine development regulation of cell adhesion involved in heart morphogenesis regulation of ERK5 cascade semaphorin-plexin signaling pathway dopaminergic neuron differentiation protein localization to plasma membrane angiotensin-activated signaling pathway involved in heart process positive regulation of neutrophil chemotaxis cochlea morphogenesis ruffle assembly regulation of postsynapse assembly positive regulation of ruffle assembly regulation of synaptic vesicle endocytosis regulation of neutrophil migration positive regulation of bicellular tight junction assembly positive regulation of skeletal muscle acetylcholine-gated channel clustering interneuron migration midbrain dopaminergic neuron differentiation positive regulation of ovarian follicle development regulation of neuron migration
          It has to be done as per old AB suggested Products section.

          Disclaimer

          Close

          Clicking the images or links will redirect you to a website hosted by BenchSci that provides third-party scientific content. Neither the content nor the BenchSci technology and processes for selection have been evaluated by us; we are providing them as-is and without warranty of any kind, including for use or application of the Thermo Fisher Scientific products presented.

          guarantee_icon

          性能保障

          只要您发现Invitrogen抗体在实验中的表现与网站或说明书的所述内容不符,您即可享受免费退换货服务。*

          了解更多
          help_icon

          随时为您服务

          获取常见问题的专家解答,或者直接联系我们的技术专家,咨询应用、设备、常规产品使用问题。

          联系技术支持
          订购 Plus Icon Minus Icon
          • 订单状态查询
          • 订单支持
          • 货号直购
          • 现货供应中心
          • 电子采购
          支持 Plus Icon Minus Icon
          • 帮助&支持
          • 联系我们 - 400 820 8982
          • 技术支持中心
          • 查找文件&证书
          • 报告网站问题
          资源 Plus Icon Minus Icon
          • 学习中心
          • 促销
          • 活动&研讨会
          • 社交媒体
          关于赛默飞 Plus Icon Minus Icon
          • 关于我们
          • 招聘 招聘
          • 投资者关系 投资者关系
          • 新闻 新闻
          • 社会责任 社会责任
          • 商标
          • 政策和通知
          品牌 Plus Icon Minus Icon
          • Thermo Scientific
          • Applied Biosystems
          • Invitrogen
          • Gibco
          • Ion Torrent
          • Unity Lab Services
          • Patheon
          • PPD
          • 服务条款
          • 隐私政策
          • 定价和运输保险政策
          © 2006-2026 Thermo Fisher Scientific Inc. All rights reserved. All trademarks are the property of Thermo Fisher Scientific and its subsidiaries unless otherwise specified.
          China flag icon
          China
          本网站销售的所有产品均不得用于人类或动物之临床诊断或治疗,仅可用于工业或者科研等非医疗目的。
             电子营业执照 | 经营证照公示 | ICP备案号:沪ICP备11003924号 | 沪公网安备 31011502006935号

          Your items have has been added!


          Host server : magellan-search-green-6479c7f679-v472f:80/100.66.78.195:80.
          git-commit: b70c0dceb888abc3b0dcebb5bc3a5b8753e7e816
          git-url: https://github.com/thermofisher/magellan-search
          git-branch: release/2.50.0-Offline