Hamburger Menu Button
Thermo Fisher Scientific Logo
登录
没有账号?建立账号 注册
  • 产品
    • 抗体
    • 引物合成
    • GeneArt Gene Synthesis Instant Designer
    • TaqMan Assay and Array Search
    • PCR 设备和耗材
    • 色谱柱和纯化柱
    • 实验室离心机
    • 分子生物学试剂和试剂盒
    • 实验室塑料耗材及用品
    • 查看所有产品分类
  • 应用和技术
    • 色谱
    • 细胞转染和培养
    • 实时荧光定量PCR
    • 质谱
    • 实验室塑料耗材及用品
    • 电子显微镜
    • 蛋白质生物学
    • PCR
    • RNAi
    • 环境
    • 查看所有应用和技术
  • 服务
    • 定制服务
    • 企业级实验室信息化服务
    • 金融&租赁服务
    • 仪器服务
    • OEM和商业供应
    • 培训服务
    • 360° CDMO 和 CRO 服务
    • CDMO 服务
    • 临床试验 CRO 服务
    • Unity Lab Services
    • 查看所有帮助和支持
  • 帮助和支持
    • 学习中心
    • 联系我们
    • 更改国家或地区
    • 查看所有帮助和支持
  • 热门产品
    • TaqMan Real-Time PCR Assays
      TaqMan 实时荧光定量 PCR 试剂盒
    • Antibodies
      抗体
    • Oligos, Primers & Probes
      寡核苷酸、引物、探针
    • GeneArt Gene Synthesis
      GeneArt 基因合成
    • Cell Culture Plastics
      细胞培养耗材
  • Who We Serve
    • 抗体治疗解决方案
    • 细胞与基因治疗解决方案
    • 学术科研
    • 工业与应用
  • 联系我们
  • 货号直购
  • 订单查询
  • 查找文件&证书
Thermo Fisher Scientific Logo

Search

搜索全部或下列指定分类
Search button
          • 联系我们
          • 货号直购
          • 登录
            登录
            没有账号?建立账号 注册
            • 我的账号
            • 订单
            • 会员中心
            • 账单及发票查询
            • 定制产品及项目
          • Primary Antibodies ›
          • RARA Antibodies

          Invitrogen

          Phospho-RARA (Ser77) Polyclonal Antibody

          查看其他18个RARA抗体

          {{$productOrderCtrl.translations['antibody.pdp.commerceCard.promotion.promotions']}}

          {{$productOrderCtrl.translations['antibody.pdp.commerceCard.promotion.viewpromo']}}

          {{$productOrderCtrl.translations['antibody.pdp.commerceCard.promotion.promocode']}}: {{promo.promoCode}} {{promo.promoTitle}} {{promo.promoDescription}}. {{$productOrderCtrl.translations['antibody.pdp.commerceCard.promotion.learnmore']}}

          说明书
          证书
          实验方案
          问题与答案
          技术支持
          说明书
          证书
          实验方案
          问题与答案
          技术支持
          说明书
          证书
          实验方案
          问题与答案
          技术支持

          Cite Phospho-RARA (Ser77) Polyclonal Antibody

          Additional Information:
          {{banner.description}}
          {{$ctrl.isSkuNotesCollapsed ? 'View more' : 'View less'}}
          • 抗体检测数据 (8)
          Phospho-RARA (Ser77) Antibody in Immunocytochemistry (ICC/IF)
          Group 53 Created with Sketch.
          Phospho-RARA (Ser77) Antibody in Immunocytochemistry (ICC/IF)
          Group 53 Created with Sketch.

          图: 1 / 8

          {{ $ctrl.currentElement.advancedVerification.fullName }}
          {{ $ctrl.currentElement.advancedVerification.text }}

          Phospho-RARA (Ser77) Antibody (PA5-118496) in ICC/IF

          Immunocytochemical analysis of Phospho-RARA (Ser77) in heat-shocked Hela cells using a Phospho-RARA (Ser77) polyclonal antibody (Product # PA5-118496). The samples were fixed with PFA and permeabilized in 0.1% Triton X-100,then blocked in 10% serum for 45 minutes at 25°C. Samples were then incubated with the primary antibody and mouse anti-beta tubulin Ab for 1 hour at 37°C. An AlexaFluor594 conjugated goat... View More {{ $ctrl.currentElement.advancedVerification.fullName }} 验证信息 View more
          已发表图片由___提供 benchsci-logo
          PMID: {{$ctrl.currentElement.benchSciPubmedId}}
          查看产品

          {{$ctrl.videoDesc}}

          {{$ctrl.videoLongDesc}}

          Phospho-RARA (Ser77) Antibody in Immunocytochemistry (ICC/IF)
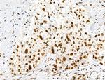
          Phospho-RARA (Ser77) Antibody in Immunohistochemistry (Paraffin) (IHC (P))
          Phospho-RARA (Ser77) Antibody in Immunohistochemistry (Paraffin) (IHC (P))
          Phospho-RARA (Ser77) Antibody in Immunohistochemistry (Paraffin) (IHC (P))
          Phospho-RARA (Ser77) Antibody in Immunohistochemistry (Paraffin) (IHC (P))
          Phospho-RARA (Ser77) Antibody in Immunohistochemistry (Paraffin) (IHC (P))
          Phospho-RARA (Ser77) Antibody in Immunohistochemistry (Paraffin) (IHC (P))
          Phospho-RARA (Ser77) Antibody in Western Blot (WB)
          Phospho-RARA (Ser77) Polyclonal Antibody

          产品信息

          PA5-118496

          应用
          建议稀释比
          已发表文章

          免疫印迹 (WB)

          1:500-1:2,000
          -

          免疫组化(石蜡) (IHC (P))

          1:50-1:200
          -

          免疫细胞化学 (ICC/IF)

          1:100-1:500
          -
          产品规格

          种属反应

          Human, Mouse, Rat

          宿主/亚型

          Rabbit / IgG

          分类

          Polyclonal

          类型

          Antibody

          抗原

          A synthesized peptide derived from human RARA(Accession P10276), corresponding to amino acid residues around phosphorylated Ser77.
          3D表位/免疫原

          偶联物

          Unconjugated Unconjugated Unconjugated

          形式

          Liquid

          浓度

          1 mg/mL

          规格

          100 µg

          纯化类型

          sequential chromatography

          保存液

          PBS, pH 7.4, with 50% glycerol

          内含物

          0.02% sodium azide

          保存条件

          -20°C

          运输条件

          Ambient (domestic); Wet ice (international)

          RRID

          AB_2902998

          产品详细信息

          Antibody detects endogenous levels of Retinoic Acid Receptor alpha only when phosphorylated at Sersine 77.

          靶标信息

          RARA is a receptor for retinoic acid. Retinoic acid receptors bind as heterodimers to their target response elements in response to their ligands, all-trans or 9-cis retinoic acid, and regulate gene expression in various biological processes. The RXR/RAR heterodimers bind to the retinoic acid response elements (RARE) composed of tandem 5'-AGGTCA-3' sites known as DR1-DR5. In the absence of ligand, the RXR-RAR heterodimers associate with a multiprotein complex containing transcription corepressors that induce histone acetylation, chromatin condensation and transcriptional suppression. On ligand binding, the corepressors dissociate from the receptors and associate with the coactivators leading to transcriptional activation. RARA plays an essential role in the regulation of retinoic acid-induced germ cell development during spermatogenesis. Has a role in the survival of early spermatocytes at the beginning prophase of meiosis. In Sertoli cells, may promote the survival and development of early meiotic prophase spermatocytes. In concert with RARG, required for skeletal growth, matrix homeostasis and growth plate function. Regulates expression of target genes in a ligand-dependent manner by recruiting chromatin complexes containing KMT2E/MLL5. Mediates retinoic acid-induced granulopoiesis.

          仅用于科研。不用于诊断过程。未经明确授权不得转售。

          篇参考文献 (0)

          您是否在文献中引用过该产品?请点击下方按钮邮件告知我们。
          引用该产品

          生物信息学

          蛋白别名: nuclear receptor; Nuclear receptor subfamily 1 group B member 1; nucleophosmin-retinoic acid receptor alpha fusion protein NPM-RAR long form; PML gene product; PML-DDX5-RARA fusion; PML-DDX5-RARA fusion protein; RAR Alpha; RAR alpha 1; RAR-alpha; RARA; retinoic acid; retinoic acid receptor; Retinoic acid receptor alpha; retinoic acid receptor, alpha polypeptide; RRA; TTMV/RARA fusion; TTMV/RARA fusion protein; unnamed protein product

          查看更多 收起

          基因别名: NR1B1; RAR; RARA; RARalpha; RARalpha1

          查看更多 收起

          UniProt ID: (Human) P10276, (Mouse) P11416

          查看更多 收起

          Entrez Gene ID: (Human) 5914, (Rat) 24705, (Mouse) 19401

          查看更多 收起

          功能
          translation repressor activity, nucleic acid binding transcription regulatory region sequence-specific DNA binding RNA polymerase II regulatory region sequence-specific DNA binding RNA polymerase II core promoter proximal region sequence-specific DNA binding RNA polymerase II transcription factor activity, sequence-specific DNA binding bacterial-type RNA polymerase transcriptional repressor activity, sequence-specific DNA binding transcription coactivator binding retinoic acid binding DNA binding chromatin binding transcription factor activity, sequence-specific DNA binding RNA polymerase II transcription factor activity, ligand-activated sequence-specific DNA binding receptor binding protein binding zinc ion binding enzyme binding protein domain specific binding chromatin DNA binding histone deacetylase binding protein kinase B binding sequence-specific DNA binding retinoic acid-responsive element binding metal ion binding mRNA 5'-UTR binding protein kinase A binding alpha-actinin binding heterocyclic compound binding sequence-specific double-stranded DNA binding RNA polymerase II regulatory region DNA binding steroid hormone receptor activity retinoic acid receptor activity transcription coactivator activity transcription corepressor activity transcription factor binding drug binding phosphatidylinositol 3-kinase regulator activity transcription regulatory region DNA binding protein heterodimerization activity regulatory region DNA binding C4 zinc finger nuclear receptor
          参与通路
          negative regulation of transcription from RNA polymerase II promoter ureteric bud development neural tube closure liver development glandular epithelial cell development outflow tract septum morphogenesis growth plate cartilage development regulation of transcription, DNA-templated protein phosphorylation germ cell development spermatogenesis female pregnancy positive regulation of cell proliferation negative regulation of cell proliferation male gonad development positive regulation of gene expression negative regulation of gene expression negative regulation of translation hippocampus development cell differentiation prostate gland development regulation of granulocyte differentiation negative regulation of granulocyte differentiation embryonic camera-type eye development regulation of myelination response to estradiol response to retinoic acid negative regulation of interferon-gamma production negative regulation of tumor necrosis factor production positive regulation of interleukin-13 production positive regulation of interleukin-4 production positive regulation of interleukin-5 production response to vitamin A response to cytokine multicellular organism growth mRNA transcription from RNA polymerase II promoter regulation of apoptotic process negative regulation of apoptotic process apoptotic cell clearance response to ethanol negative regulation of cell differentiation positive regulation of T-helper 2 cell differentiation positive regulation of neuron differentiation positive regulation of cell cycle negative regulation of transcription, DNA-templated positive regulation of transcription, DNA-templated positive regulation of transcription from RNA polymerase II promoter regulation of synaptic plasticity retinoic acid receptor signaling pathway positive regulation of binding ventricular cardiac muscle cell differentiation Sertoli cell fate commitment limb development face development bone development trachea cartilage development chondroblast differentiation negative regulation of cartilage development cellular response to lipopolysaccharide cellular response to retinoic acid cellular response to estrogen stimulus nucleus-associated proteasomal ubiquitin-dependent protein catabolic process regulation of hematopoietic progenitor cell differentiation negative regulation of pri-miRNA transcription from RNA polymerase II promoter transcription, DNA-templated transcription from RNA polymerase II promoter signal transduction positive regulation of phosphatidylinositol 3-kinase signaling intracellular estrogen receptor signaling pathway steroid hormone mediated signaling pathway regulation of phosphatidylinositol 3-kinase activity negative regulation of translational initiation positive regulation of protein kinase B signaling positive regulation of ERK1 and ERK2 cascade
          It has to be done as per old AB suggested Products section.

          Disclaimer

          Close

          Clicking the images or links will redirect you to a website hosted by BenchSci that provides third-party scientific content. Neither the content nor the BenchSci technology and processes for selection have been evaluated by us; we are providing them as-is and without warranty of any kind, including for use or application of the Thermo Fisher Scientific products presented.

          guarantee_icon

          性能保障

          只要您发现Invitrogen抗体在实验中的表现与网站或说明书的所述内容不符,您即可享受免费退换货服务。*

          了解更多
          help_icon

          随时为您服务

          获取常见问题的专家解答,或者直接联系我们的技术专家,咨询应用、设备、常规产品使用问题。

          联系技术支持
          订购 Plus Icon Minus Icon
          • 订单状态查询
          • 订单支持
          • 货号直购
          • 现货供应中心
          • 电子采购
          支持 Plus Icon Minus Icon
          • 帮助&支持
          • 联系我们 - 400 820 8982
          • 技术支持中心
          • 查找文件&证书
          • 报告网站问题
          资源 Plus Icon Minus Icon
          • 学习中心
          • 促销
          • 活动&研讨会
          • 社交媒体
          关于赛默飞 Plus Icon Minus Icon
          • 关于我们
          • 招聘 招聘
          • 投资者关系 投资者关系
          • 新闻 新闻
          • 社会责任 社会责任
          • 商标
          • 政策和通知
          品牌 Plus Icon Minus Icon
          • Thermo Scientific
          • Applied Biosystems
          • Invitrogen
          • Gibco
          • Ion Torrent
          • Unity Lab Services
          • Patheon
          • PPD
          • 服务条款
          • 隐私政策
          • 定价和运输保险政策
          © 2006-2026 Thermo Fisher Scientific Inc. All rights reserved. All trademarks are the property of Thermo Fisher Scientific and its subsidiaries unless otherwise specified.
          China flag icon
          China
          本网站销售的所有产品均不得用于人类或动物之临床诊断或治疗,仅可用于工业或者科研等非医疗目的。
             电子营业执照 | 经营证照公示 | ICP备案号:沪ICP备11003924号 | 沪公网安备 31011502006935号

          Your items have has been added!


          Host server : magellan-search-blue-fcf5f9d6d-vrzpg:80/100.66.79.169:80.
          git-commit: 856de8fa7eff2d55603d92afdf035972e45c3e8a
          git-url: https://github.com/thermofisher/magellan-search
          git-branch: release/2.51.0-2026.05.21-1.0