Hamburger Menu Button
Thermo Fisher Scientific Logo
登录
没有账号?建立账号 注册
  • 产品
    • 抗体
    • 引物合成
    • GeneArt Gene Synthesis Instant Designer
    • TaqMan Assay and Array Search
    • PCR 设备和耗材
    • 色谱柱和纯化柱
    • 实验室离心机
    • 分子生物学试剂和试剂盒
    • 实验室塑料耗材及用品
    • 查看所有产品分类
  • 应用和技术
    • 色谱
    • 细胞转染和培养
    • 实时荧光定量PCR
    • 质谱
    • 实验室塑料耗材及用品
    • 电子显微镜
    • 蛋白质生物学
    • PCR
    • RNAi
    • 环境
    • 查看所有应用和技术
  • 服务
    • 定制服务
    • 企业级实验室信息化服务
    • 金融&租赁服务
    • 仪器服务
    • OEM和商业供应
    • 培训服务
    • 360° CDMO 和 CRO 服务
    • CDMO 服务
    • 临床试验 CRO 服务
    • Unity Lab Services
    • 查看所有帮助和支持
  • 帮助和支持
    • 学习中心
    • 联系我们
    • 更改国家或地区
    • 查看所有帮助和支持
  • 热门产品
    • TaqMan Real-Time PCR Assays
      TaqMan 实时荧光定量 PCR 试剂盒
    • Antibodies
      抗体
    • Oligos, Primers & Probes
      寡核苷酸、引物、探针
    • GeneArt Gene Synthesis
      GeneArt 基因合成
    • Cell Culture Plastics
      细胞培养耗材
  • Who We Serve
    • 抗体治疗解决方案
    • 细胞与基因治疗解决方案
    • 学术科研
    • 工业与应用
  • 联系我们
  • 货号直购
  • 订单查询
  • 查找文件&证书
Thermo Fisher Scientific Logo

Search

搜索全部或下列指定分类
Search button
          • 联系我们
          • 货号直购
          • 登录
            登录
            没有账号?建立账号 注册
            • 我的账号
            • 订单
            • 会员中心
            • 账单及发票查询
            • 定制产品及项目
          • Primary Antibodies ›
          • RhoA Antibodies

          Invitrogen

          Phospho-RHOA (Ser188) Polyclonal Antibody

          1 篇参考文献
          查看其他27个RhoA抗体

          {{$productOrderCtrl.translations['antibody.pdp.commerceCard.promotion.promotions']}}

          {{$productOrderCtrl.translations['antibody.pdp.commerceCard.promotion.viewpromo']}}

          {{$productOrderCtrl.translations['antibody.pdp.commerceCard.promotion.promocode']}}: {{promo.promoCode}} {{promo.promoTitle}} {{promo.promoDescription}}. {{$productOrderCtrl.translations['antibody.pdp.commerceCard.promotion.learnmore']}}

          说明书
          证书
          实验方案
          问题与答案
          技术支持
          说明书
          证书
          实验方案
          问题与答案
          技术支持
          说明书
          证书
          实验方案
          问题与答案
          技术支持

          Cite Phospho-RHOA (Ser188) Polyclonal Antibody

          Additional Information:
          {{banner.description}}
          {{$ctrl.isSkuNotesCollapsed ? 'View more' : 'View less'}}
          • 抗体检测数据 (7)
          Phospho-RHOA (Ser188) Antibody in Immunohistochemistry (Paraffin) (IHC (P))
          Group 53 Created with Sketch.
          Phospho-RHOA (Ser188) Antibody in Immunohistochemistry (Paraffin) (IHC (P))
          Group 53 Created with Sketch.

          图: 1 / 7

          {{ $ctrl.currentElement.advancedVerification.fullName }}
          {{ $ctrl.currentElement.advancedVerification.text }}

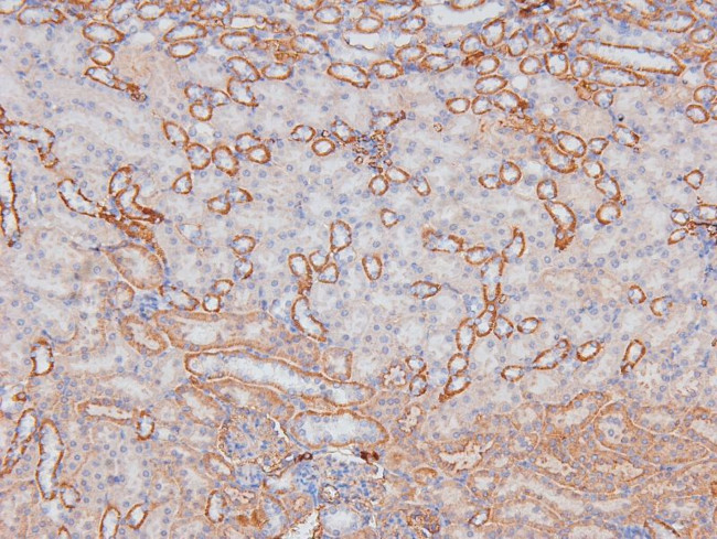
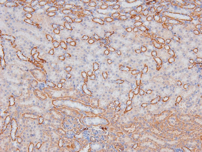
          Phospho-RHOA (Ser188) Antibody (PA5-105763) in IHC (P)

          Immunohistochemistry analysis of paraffin-embedded Phospho-RHOA (Ser188) in mouse kidney tissue sections. Antigen retrieval was performed using citrate buffer. Samples were blocked with blocking buffer (1.5 hr, 22°C), incubated with Phospho-RHOA (Ser188) polyclonal antibody (Product # PA5-105763) using a dilution of 1:200 (1.5 hr, 22°C), followed by HRP conjugated goat anti-rabbit. {{ $ctrl.currentElement.advancedVerification.fullName }} 验证信息 View more
          已发表图片由___提供 benchsci-logo
          PMID: {{$ctrl.currentElement.benchSciPubmedId}}
          查看产品

          {{$ctrl.videoDesc}}

          {{$ctrl.videoLongDesc}}

          Phospho-RHOA (Ser188) Antibody in Immunohistochemistry (Paraffin) (IHC (P))
          Phospho-RHOA (Ser188) Antibody in Immunohistochemistry (Paraffin) (IHC (P))
          Phospho-RHOA (Ser188) Antibody in Immunohistochemistry (Paraffin) (IHC (P))
          Phospho-RHOA (Ser188) Antibody in Immunohistochemistry (Paraffin) (IHC (P))
          Phospho-RHOA (Ser188) Antibody in Immunohistochemistry (Paraffin) (IHC (P))
          Phospho-RHOA (Ser188) Antibody in Immunohistochemistry (Paraffin) (IHC (P))
          Phospho-RHOA (Ser188) Antibody in Western Blot (WB)
          Phospho-RHOA (Ser188) Polyclonal Antibody

          产品信息

          PA5-105763

          应用
          建议稀释比
          已发表文章

          免疫印迹 (WB)

          1:1,000-1:3,000
          -

          免疫组化 (IHC)

          -
          查看1篇已发表文章 1篇已发表文章

          免疫组化(石蜡) (IHC (P))

          1:50-1:200
          -
          产品规格

          种属反应

          Human, Mouse, Rat

          已发表种属

          Human

          宿主/亚型

          Rabbit / IgG

          分类

          Polyclonal

          类型

          Antibody

          抗原

          A synthesized peptide derived from human RHOA(Accession P61586), corresponding to amino acid residues around phosphorylated Ser188.
          3D表位/免疫原

          偶联物

          Unconjugated Unconjugated Unconjugated

          形式

          Liquid

          浓度

          1 mg/mL

          规格

          100 µg

          纯化类型

          sequential chromatography

          保存液

          PBS, pH 7.4, with 50% glycerol

          内含物

          0.02% sodium azide

          保存条件

          -20°C

          运输条件

          Ambient (domestic); Wet ice (international)

          RRID

          AB_2817162

          产品详细信息

          Antibody detects endogenous levels of RhoA only when phosphorylated at Ser188.

          靶标信息

          RhoA regulates a signal transduction pathway linking plasma membrane receptors to the assembly of focal adhesions and actin stress fibers. It is involved in a microtubule-dependent signal that is required for the myosin contractile ring formation during cell cycle cytokinesis, and plays an essential role in cleavage furrow formation. RhoA is required for the apical junction formation of keratinocyte cell-cell adhesion, and serves as a target for the yopT cysteine peptidase from Yersinia pestis, vector of the plague, and Yersinia pseudotuberculosis, which causes gastrointestinal disorders. RhoA stimulates PKN2 kinase activity and may be an activator of PLCE1. It is activated by ARHGEF2, which promotes the exchange of GDP for GTP. It is essential for the SPATA13-mediated regulation of cell migration and adhesion assembly and disassembly. The MEMO1-RHOA-DIAPH1 signaling pathway plays an important role in ERBB2-dependent stabilization of microtubules at the cell cortex. It controls the localization of APC and CLASP2 to the cell membrane, via the regulation of GSK3B activity. In turn, membrane-bound APC allows the localization of the MACF1 to the cell membrane, which is required for microtubule capture and stabilization.

          仅用于科研。不用于诊断过程。未经明确授权不得转售。

          生物信息学

          蛋白别名: Aplysia ras-related homolog 12; aplysia ras-related homolog A; aplysia ras-related homolog A1; aplysia ras-related homolog A2; epididymis secretory sperm binding protein; h12; MGC72339; oncogene RHO H12; plysia ras-related homolog A2; Ras family member A; ras homolog A1; ras homolog A2; ras homolog gene family, member A; ras homolog gene family, member A1; ras homolog gene family, member A2; Rho; Rho cDNA clone 12; Rho family GTPase; small GTP binding protein RhoA; Transforming protein RhoA; unnamed protein product

          查看更多 收起

          基因别名: ARH12; ARHA; Arha1; Arha2; EDFAOB; RHO12; RHOA; RHOH12

          查看更多 收起

          UniProt ID: (Human) P61586, (Rat) P61589, (Mouse) Q9QUI0

          查看更多 收起

          Entrez Gene ID: (Human) 387, (Rat) 117273, (Mouse) 11848

          查看更多 收起

          功能
          nucleotide binding GTPase activity obsolete small monomeric GTPase activity protein binding GTP binding hydrolase activity myosin binding protein kinase binding GDP binding protein domain specific binding Rho GDP-dissociation inhibitor binding small GTPase
          参与通路
          mitotic cytokinesis cell morphogenesis neuron migration kidney development angiotensin mediated vasoconstriction involved in regulation of systemic arterial blood pressure alpha-beta T cell lineage commitment regulation of systemic arterial blood pressure by endothelin aortic valve formation regulation of transcription from RNA polymerase II promoter cytoskeleton organization cell adhesion cell-matrix adhesion small GTPase mediated signal transduction Rho protein signal transduction skeletal muscle tissue development negative regulation of cell-substrate adhesion regulation of neuron projection development cell migration substantia nigra development cerebral cortex cell migration forebrain radial glial cell differentiation actin cytoskeleton organization cell differentiation regulation of cell migration positive regulation of cell migration androgen receptor signaling pathway cytoplasmic microtubule organization positive regulation of cytokinesis regulation of actin cytoskeleton organization negative regulation of intracellular steroid hormone receptor signaling pathway regulation of osteoblast proliferation cell junction assembly substrate adhesion-dependent cell spreading Roundabout signaling pathway cleavage furrow formation apolipoprotein A-I-mediated signaling pathway odontogenesis positive regulation of I-kappaB kinase/NF-kappaB signaling stress fiber assembly apical junction assembly beta selection endothelial cell migration ossification involved in bone maturation wound healing, spreading of cells establishment of epithelial cell apical/basal polarity positive regulation of neuron differentiation negative regulation of cell size positive regulation of alpha-beta T cell differentiation negative chemotaxis cell division positive regulation of stress fiber assembly regulation of focal adhesion assembly Wnt signaling pathway, planar cell polarity pathway positive regulation of lipase activity bone trabecula morphogenesis regulation of microtubule cytoskeleton organization cellular response to lipopolysaccharide cellular response to cytokine stimulus semaphorin-plexin signaling pathway positive regulation of podosome assembly positive regulation of protein serine/threonine kinase activity negative regulation of cell migration involved in sprouting angiogenesis mitotic spindle assembly negative regulation of oxidative phosphorylation motor neuron apoptotic process endothelial tube lumen extension regulation of modification of postsynaptic structure positive regulation of NIK/NF-kappaB signaling skeletal muscle satellite cell migration negative regulation of reactive oxygen species biosynthetic process mitotic cleavage furrow formation positive regulation of vascular smooth muscle contraction positive regulation of leukocyte adhesion to vascular endothelial cell regulation of modification of postsynaptic actin cytoskeleton cellular response to chemokine regulation of neural precursor cell proliferation positive regulation of T cell migration negative regulation of motor neuron apoptotic process response to hypoxia regulation of actin polymerization or depolymerization metabolic process response to mechanical stimulus response to glucose positive regulation of cell growth positive regulation of actin filament polymerization stress-activated protein kinase signaling cascade response to drug negative regulation of I-kappaB kinase/NF-kappaB signaling response to amino acid positive regulation of cysteine-type endopeptidase activity involved in apoptotic process negative regulation of neuron apoptotic process positive regulation of neuron apoptotic process response to ethanol negative regulation of neuron differentiation positive regulation of translation positive regulation of cell adhesion positive regulation of vasoconstriction positive regulation of smooth muscle contraction neuron projection morphogenesis regulation of dendrite development response to glucocorticoid regulation of calcium ion transport negative regulation of cell death trabecula morphogenesis cellular response to progesterone stimulus cell cycle integrin-mediated signaling pathway GTP metabolic process
          It has to be done as per old AB suggested Products section.

          Disclaimer

          Close

          Clicking the images or links will redirect you to a website hosted by BenchSci that provides third-party scientific content. Neither the content nor the BenchSci technology and processes for selection have been evaluated by us; we are providing them as-is and without warranty of any kind, including for use or application of the Thermo Fisher Scientific products presented.

          guarantee_icon

          性能保障

          只要您发现Invitrogen抗体在实验中的表现与网站或说明书的所述内容不符,您即可享受免费退换货服务。*

          了解更多
          help_icon

          随时为您服务

          获取常见问题的专家解答,或者直接联系我们的技术专家,咨询应用、设备、常规产品使用问题。

          联系技术支持
          订购 Plus Icon Minus Icon
          • 订单状态查询
          • 订单支持
          • 货号直购
          • 现货供应中心
          • 电子采购
          支持 Plus Icon Minus Icon
          • 帮助&支持
          • 联系我们 - 400 820 8982
          • 技术支持中心
          • 查找文件&证书
          • 报告网站问题
          资源 Plus Icon Minus Icon
          • 学习中心
          • 促销
          • 活动&研讨会
          • 社交媒体
          关于赛默飞 Plus Icon Minus Icon
          • 关于我们
          • 招聘 招聘
          • 投资者关系 投资者关系
          • 新闻 新闻
          • 社会责任 社会责任
          • 商标
          • 政策和通知
          品牌 Plus Icon Minus Icon
          • Thermo Scientific
          • Applied Biosystems
          • Invitrogen
          • Gibco
          • Ion Torrent
          • Unity Lab Services
          • Patheon
          • PPD
          • 服务条款
          • 隐私政策
          • 定价和运输保险政策
          © 2006-2026 Thermo Fisher Scientific Inc. All rights reserved. All trademarks are the property of Thermo Fisher Scientific and its subsidiaries unless otherwise specified.
          China flag icon
          China
          本网站销售的所有产品均不得用于人类或动物之临床诊断或治疗,仅可用于工业或者科研等非医疗目的。
             电子营业执照 | 经营证照公示 | ICP备案号:沪ICP备11003924号 | 沪公网安备 31011502006935号

          Your items have has been added!


          Host server : magellan-search-green-6479c7f679-v472f:80/100.66.78.195:80.
          git-commit: b70c0dceb888abc3b0dcebb5bc3a5b8753e7e816
          git-url: https://github.com/thermofisher/magellan-search
          git-branch: release/2.50.0-Offline