Hamburger Menu Button
Thermo Fisher Scientific Logo
登录
没有账号?建立账号 注册
  • 产品
    • 抗体
    • 引物合成
    • GeneArt Gene Synthesis Instant Designer
    • TaqMan Assay and Array Search
    • PCR 设备和耗材
    • 色谱柱和纯化柱
    • 实验室离心机
    • 分子生物学试剂和试剂盒
    • 实验室塑料耗材及用品
    • 查看所有产品分类
  • 应用和技术
    • 色谱
    • 细胞转染和培养
    • 实时荧光定量PCR
    • 质谱
    • 实验室塑料耗材及用品
    • 电子显微镜
    • 蛋白质生物学
    • PCR
    • RNAi
    • 环境
    • 查看所有应用和技术
  • 服务
    • 定制服务
    • 企业级实验室信息化服务
    • 金融&租赁服务
    • 仪器服务
    • OEM和商业供应
    • 培训服务
    • 360° CDMO 和 CRO 服务
    • CDMO 服务
    • 临床试验 CRO 服务
    • Unity Lab Services
    • 查看所有帮助和支持
  • 帮助和支持
    • 学习中心
    • 联系我们
    • 更改国家或地区
    • 查看所有帮助和支持
  • 热门产品
    • TaqMan Real-Time PCR Assays
      TaqMan 实时荧光定量 PCR 试剂盒
    • Antibodies
      抗体
    • Oligos, Primers & Probes
      寡核苷酸、引物、探针
    • GeneArt Gene Synthesis
      GeneArt 基因合成
    • Cell Culture Plastics
      细胞培养耗材
  • Who We Serve
    • 抗体治疗解决方案
    • 细胞与基因治疗解决方案
    • 学术科研
    • 工业与应用
  • 联系我们
  • 货号直购
  • 订单查询
  • 查找文件&证书
Thermo Fisher Scientific Logo

Search

搜索全部或下列指定分类
Search button
          • 联系我们
          • 货号直购
          • 登录
            登录
            没有账号?建立账号 注册
            • 我的账号
            • 订单
            • 会员中心
            • 账单及发票查询
            • 定制产品及项目
          • Primary Antibodies ›
          • SOX9 Antibodies

          Invitrogen

          Phospho-SOX9 (Ser181) Polyclonal Antibody

          查看其他49个SOX9抗体

          {{$productOrderCtrl.translations['antibody.pdp.commerceCard.promotion.promotions']}}

          {{$productOrderCtrl.translations['antibody.pdp.commerceCard.promotion.viewpromo']}}

          {{$productOrderCtrl.translations['antibody.pdp.commerceCard.promotion.promocode']}}: {{promo.promoCode}} {{promo.promoTitle}} {{promo.promoDescription}}. {{$productOrderCtrl.translations['antibody.pdp.commerceCard.promotion.learnmore']}}

          说明书
          证书
          实验方案
          问题与答案
          技术支持
          说明书
          证书
          实验方案
          问题与答案
          技术支持
          说明书
          证书
          实验方案
          问题与答案
          技术支持

          Cite Phospho-SOX9 (Ser181) Polyclonal Antibody

          Additional Information:
          {{banner.description}}
          {{$ctrl.isSkuNotesCollapsed ? 'View more' : 'View less'}}
          • 抗体检测数据 (3)
          Phospho-SOX9 (Ser181) Antibody in Immunocytochemistry (ICC/IF)
          Group 53 Created with Sketch.
          Phospho-SOX9 (Ser181) Antibody in Immunocytochemistry (ICC/IF)
          Group 53 Created with Sketch.

          图: 1 / 3

          {{ $ctrl.currentElement.advancedVerification.fullName }}
          {{ $ctrl.currentElement.advancedVerification.text }}

          Phospho-SOX9 (Ser181) Antibody (PA5-104914) in ICC/IF

          Immunofluorescent analysis of Phospho-SOX9 (Ser181) in A549 cells. Samples were fixed with paraformaldehyde, permeabilized with 0.1% saponin, blocked with 10% serum (45 min, 37°C) incubated with Phospho-SOX9 (Ser181) polyclonal antibody (Product # PA5-104914) using a dilution of 1:400 (1 hr, 37°C), and followed by goat anti-rabbit IgG Alexa Fluor 594 at a dilution of 1:600. {{ $ctrl.currentElement.advancedVerification.fullName }} 验证信息 View more
          已发表图片由___提供 benchsci-logo
          PMID: {{$ctrl.currentElement.benchSciPubmedId}}
          查看产品

          {{$ctrl.videoDesc}}

          {{$ctrl.videoLongDesc}}

          Phospho-SOX9 (Ser181) Antibody in Immunocytochemistry (ICC/IF)
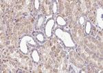
          Phospho-SOX9 (Ser181) Antibody in Immunohistochemistry (Paraffin) (IHC (P))
          Phospho-SOX9 (Ser181) Antibody in Western Blot (WB)
          Phospho-SOX9 (Ser181) Polyclonal Antibody

          产品信息

          PA5-104914

          应用
          建议稀释比
          已发表文章

          免疫印迹 (WB)

          1:500-1:2,000
          -

          免疫组化(石蜡) (IHC (P))

          1:50-1:200
          -

          免疫细胞化学 (ICC/IF)

          1:100-1:500
          -
          产品规格

          种属反应

          Chicken, Human, Mouse

          宿主/亚型

          Rabbit / IgG

          分类

          Polyclonal

          类型

          Antibody

          抗原

          A synthesized peptide derived from human SOX9(Accession P48436), corresponding to amino acid residues around phosphorylated Ser181.
          3D表位/免疫原

          偶联物

          Unconjugated Unconjugated Unconjugated

          形式

          Liquid

          浓度

          1 mg/mL

          规格

          100 µg

          纯化类型

          sequential chromatography

          保存液

          PBS, pH 7.4, with 50% glycerol

          内含物

          0.02% sodium azide

          保存条件

          -20°C

          运输条件

          Ambient (domestic); Wet ice (international)

          RRID

          AB_2816387

          产品详细信息

          Antibody detects endogenous levels of SOX9 only when phosphorylated at Serine 181.

          靶标信息

          SOX9 has a role in sex determination and differentiation of Sertoli cells. It is involved in chondrogenesis and regulates the expression of other genes involved in chondrogenesis by acting as a transcription factor for these genes. Translocation of this gene can cause campomelic dysplasia. SOX9 is involved in the formation of testes from the indifferent fetal gonads. It is a major molecular component of the neuron-glia switch in developing spinal cord. During normal development, SOX9 allows the prostate epithelium to outgrow into the mesenchyme and then provides basal cell support for development and maintenance of the luminal epithelium. These functions of SOX9 are subverted in prostate cancer to support tumor growth and invasion. SOX9 may direct the formation of neural crest precursors and the development of a range of neural crest derivative. It has a transcriptional regulation in melanin production in cells. Northern blot analysis shows its expression on adult testis, adult heart, and fetal brain.

          仅用于科研。不用于诊断过程。未经明确授权不得转售。

          篇参考文献 (0)

          您是否在文献中引用过该产品?请点击下方按钮邮件告知我们。
          引用该产品

          生物信息学

          蛋白别名: mSox9; SOX 9; SOX9; SRY (sex determining region Y)-box9; SRY (sex-determining region Y)-box 9 protein; SRY-box 9; SRY-Box 9 ; SRY-box containing gene 9; SRY-related HMG-box, gene 9; Transcription factor SOX-9; unnamed protein product

          查看更多 收起

          基因别名: 2010306G03Rik; AV220920; CMD1; CMPD1; ENH13; mKIAA4243; SOX-9; SOX9; SRA1; SRXX2; SRXY10; TES; TESCO

          查看更多 收起

          UniProt ID: (Chicken) P48434, (Human) P48436, (Mouse) Q04887

          查看更多 收起

          Entrez Gene ID: (Chicken) 374148, (Human) 6662, (Mouse) 20682

          查看更多 收起

          功能
          RNA polymerase II core promoter proximal region sequence-specific DNA binding core promoter proximal region sequence-specific DNA binding transcriptional activator activity, RNA polymerase II transcription regulatory region sequence-specific binding chromatin binding protein binding beta-catenin binding protein kinase A catalytic subunit binding ubiquitin-like protein conjugating enzyme binding pre-mRNA intronic binding transcription regulatory region sequence-specific DNA binding RNA polymerase II transcription factor activity, sequence-specific DNA binding DNA binding transcription factor activity, sequence-specific DNA binding bHLH transcription factor binding sequence-specific DNA binding sequence-specific double-stranded DNA binding core promoter sequence-specific DNA binding transcriptional activator activity, RNA polymerase II core promoter proximal region sequence-specific binding enhancer sequence-specific DNA binding transcription factor activity, RNA polymerase II distal enhancer sequence-specific binding protein kinase activity enhancer binding transcription regulatory region DNA binding protein heterodimerization activity
          参与通路
          negative regulation of transcription from RNA polymerase II promoter cartilage condensation ossification branching involved in ureteric bud morphogenesis neural crest cell migration positive regulation of protein phosphorylation morphogenesis of an epithelium positive regulation of mesenchymal cell proliferation chondrocyte differentiation negative regulation of immune system process heart valve development aortic valve morphogenesis heart valve formation endocardial cushion morphogenesis growth plate cartilage chondrocyte growth nucleosome assembly chromatin remodeling transcription, DNA-templated cytoskeleton organization epidermal growth factor receptor signaling pathway Notch signaling pathway spermatogenesis central nervous system development heart development male gonad development regulation of cell cycle process positive regulation of epithelial cell migration neural crest cell fate specification positive regulation of phosphatidylinositol 3-kinase signaling male germ-line sex determination cAMP-mediated signaling extracellular matrix organization negative regulation of bone mineralization negative regulation of epithelial cell differentiation positive regulation of epithelial cell differentiation notochord development otic vesicle formation endocrine pancreas development negative regulation of chondrocyte differentiation positive regulation of chondrocyte differentiation lacrimal gland development positive regulation of collagen biosynthetic process protein localization to nucleus somatic stem cell population maintenance intrahepatic bile duct development neural crest cell delamination protein kinase B signaling negative regulation of myoblast differentiation negative regulation of osteoblast differentiation positive regulation of protein catabolic process positive regulation of transcription from RNA polymerase II promoter negative regulation of fatty acid oxidation negative regulation of photoreceptor cell differentiation embryonic digestive tract development oligodendrocyte differentiation homeostasis of number of cells within a tissue positive regulation of epithelial cell proliferation negative regulation of epithelial cell proliferation Sertoli cell development astrocyte fate commitment limb bud formation retinal rod cell differentiation transdifferentiation epithelial tube branching involved in lung morphogenesis lung epithelial cell differentiation bronchus cartilage development trachea cartilage development intestinal epithelial structure maintenance regulation of cell proliferation involved in tissue homeostasis regulation of cartilage development regulation of branching involved in lung morphogenesis lung smooth muscle development ERK1 and ERK2 cascade Harderian gland development response to fatty acid cellular response to mechanical stimulus cellular response to retinoic acid cellular response to interleukin-1 cellular response to epidermal growth factor stimulus cellular response to heparin cellular response to transforming growth factor beta stimulus cellular response to BMP stimulus renal vesicle induction ureter urothelium development ureter smooth muscle cell differentiation ureter morphogenesis metanephric nephron tubule formation negative regulation of canonical Wnt signaling pathway cochlea morphogenesis positive regulation of branching involved in ureteric bud morphogenesis positive regulation of neural crest formation anterior head development cell-cell adhesion positive regulation of extracellular matrix assembly positive regulation of cartilage condensation positive regulation of chondrocyte proliferation negative regulation of pri-miRNA transcription from RNA polymerase II promoter negative regulation of bone development positive regulation of male gonad development positive regulation of cell proliferation involved in heart morphogenesis positive regulation of mesenchymal stem cell differentiation regulation of epithelial cell proliferation involved in lung morphogenesis negative regulation of mesenchymal cell apoptotic process skeletal system development cell fate specification epithelial to mesenchymal transition tissue homeostasis hair follicle development chondrocyte development heart valve morphogenesis chondrocyte differentiation involved in endochondral bone morphogenesis chondrocyte hypertrophy regulation of transcription, DNA-templated regulation of transcription from RNA polymerase II promoter transcription from RNA polymerase II promoter protein complex assembly protein phosphorylation signal transduction positive regulation of cell proliferation negative regulation of cell proliferation positive regulation of gene expression negative regulation of gene expression neural crest cell development single organismal cell-cell adhesion cell differentiation regulation of cell adhesion male sex determination negative regulation of ossification regulation of cell proliferation negative regulation of apoptotic process cell fate commitment regulation of cell differentiation negative regulation of transcription, DNA-templated positive regulation of transcription, DNA-templated cartilage development Sertoli cell differentiation retina development in camera-type eye endochondral bone morphogenesis prostate gland morphogenesis epithelial cell proliferation involved in prostatic bud elongation positive regulation of cartilage development morphogenesis of a branching epithelium negative regulation of biomineral tissue development ureter development positive regulation of kidney development glandular epithelial cell differentiation apoptotic process cell proliferation mesenchymal cell proliferation gene expression regulation of gene expression glial cell fate specification bone mineralization prostate gland development mammary gland development regulation of apoptotic process neuron fate specification epithelial cell proliferation canonical Wnt signaling pathway Type I pneumocyte differentiation intestinal epithelial cell differentiation cell proliferation involved in heart morphogenesis protein-containing complex assembly otic vesicle development stem cell proliferation metanephric tubule development extracellular matrix assembly mesenchymal cell apoptotic process negative regulation of beta-catenin-TCF complex assembly positive regulation of stem cell proliferation
          It has to be done as per old AB suggested Products section.

          Disclaimer

          Close

          Clicking the images or links will redirect you to a website hosted by BenchSci that provides third-party scientific content. Neither the content nor the BenchSci technology and processes for selection have been evaluated by us; we are providing them as-is and without warranty of any kind, including for use or application of the Thermo Fisher Scientific products presented.

          guarantee_icon

          性能保障

          只要您发现Invitrogen抗体在实验中的表现与网站或说明书的所述内容不符,您即可享受免费退换货服务。*

          了解更多
          help_icon

          随时为您服务

          获取常见问题的专家解答,或者直接联系我们的技术专家,咨询应用、设备、常规产品使用问题。

          联系技术支持
          订购 Plus Icon Minus Icon
          • 订单状态查询
          • 订单支持
          • 货号直购
          • 现货供应中心
          • 电子采购
          支持 Plus Icon Minus Icon
          • 帮助&支持
          • 联系我们 - 400 820 8982
          • 技术支持中心
          • 查找文件&证书
          • 报告网站问题
          资源 Plus Icon Minus Icon
          • 学习中心
          • 促销
          • 活动&研讨会
          • 社交媒体
          关于赛默飞 Plus Icon Minus Icon
          • 关于我们
          • 招聘 招聘
          • 投资者关系 投资者关系
          • 新闻 新闻
          • 社会责任 社会责任
          • 商标
          • 政策和通知
          品牌 Plus Icon Minus Icon
          • Thermo Scientific
          • Applied Biosystems
          • Invitrogen
          • Gibco
          • Ion Torrent
          • Unity Lab Services
          • Patheon
          • PPD
          • 服务条款
          • 隐私政策
          • 定价和运输保险政策
          © 2006-2026 Thermo Fisher Scientific Inc. All rights reserved. All trademarks are the property of Thermo Fisher Scientific and its subsidiaries unless otherwise specified.
          China flag icon
          China
          本网站销售的所有产品均不得用于人类或动物之临床诊断或治疗,仅可用于工业或者科研等非医疗目的。
             电子营业执照 | 经营证照公示 | ICP备案号:沪ICP备11003924号 | 沪公网安备 31011502006935号

          Your items have has been added!


          Host server : magellan-search-green-6479c7f679-46l5g:80/100.66.76.236:80.
          git-commit: b70c0dceb888abc3b0dcebb5bc3a5b8753e7e816
          git-url: https://github.com/thermofisher/magellan-search
          git-branch: release/2.50.0-Offline