Hamburger Menu Button
Thermo Fisher Scientific Logo
登录
没有账号?建立账号 注册
  • 产品
    • 抗体
    • 引物合成
    • GeneArt Gene Synthesis Instant Designer
    • TaqMan Assay and Array Search
    • PCR 设备和耗材
    • 色谱柱和纯化柱
    • 实验室离心机
    • 分子生物学试剂和试剂盒
    • 实验室塑料耗材及用品
    • 查看所有产品分类
  • 应用和技术
    • 色谱
    • 细胞转染和培养
    • 实时荧光定量PCR
    • 质谱
    • 实验室塑料耗材及用品
    • 电子显微镜
    • 蛋白质生物学
    • PCR
    • RNAi
    • 环境
    • 查看所有应用和技术
  • 服务
    • 定制服务
    • 企业级实验室信息化服务
    • 金融&租赁服务
    • 仪器服务
    • OEM和商业供应
    • 培训服务
    • 360° CDMO 和 CRO 服务
    • CDMO 服务
    • 临床试验 CRO 服务
    • Unity Lab Services
    • 查看所有帮助和支持
  • 帮助和支持
    • 学习中心
    • 联系我们
    • 更改国家或地区
    • 查看所有帮助和支持
  • 热门产品
    • TaqMan Real-Time PCR Assays
      TaqMan 实时荧光定量 PCR 试剂盒
    • Antibodies
      抗体
    • Oligos, Primers & Probes
      寡核苷酸、引物、探针
    • GeneArt Gene Synthesis
      GeneArt 基因合成
    • Cell Culture Plastics
      细胞培养耗材
  • Who We Serve
    • 抗体治疗解决方案
    • 细胞与基因治疗解决方案
    • 学术科研
    • 工业与应用
  • 联系我们
  • 货号直购
  • 订单查询
  • 查找文件&证书
Thermo Fisher Scientific Logo

Search

搜索全部或下列指定分类
Search button
          • 联系我们
          • 货号直购
          • 登录
            登录
            没有账号?建立账号 注册
            • 我的账号
            • 订单
            • 会员中心
            • 账单及发票查询
            • 定制产品及项目
          • Primary Antibodies ›
          • STAT5 alpha Antibodies

          Invitrogen

          Phospho-STAT5 alpha (Tyr694) Recombinant Rabbit Monoclonal Antibody (6H5L15)

          高级验证
          2 篇参考文献
          查看其他57个STAT5 alpha抗体

          {{$productOrderCtrl.translations['antibody.pdp.commerceCard.promotion.promotions']}}

          {{$productOrderCtrl.translations['antibody.pdp.commerceCard.promotion.viewpromo']}}

          {{$productOrderCtrl.translations['antibody.pdp.commerceCard.promotion.promocode']}}: {{promo.promoCode}} {{promo.promoTitle}} {{promo.promoDescription}}. {{$productOrderCtrl.translations['antibody.pdp.commerceCard.promotion.learnmore']}}

          说明书
          证书
          实验方案
          问题与答案
          技术支持
          说明书
          证书
          实验方案
          问题与答案
          技术支持
          说明书
          证书
          实验方案
          问题与答案
          技术支持

          Cite Phospho-STAT5 alpha (Tyr694) Recombinant Rabbit Monoclonal Antibody (6H5L15)

          Additional Information:
          {{banner.description}}
          {{$ctrl.isSkuNotesCollapsed ? 'View more' : 'View less'}}
          • 抗体检测数据 (7)
          • 高级验证 (1)
          Phospho-STAT5 alpha (Tyr694) Antibody in Immunocytochemistry (ICC/IF)
          Group 53 Created with Sketch.
          Phospho-STAT5 alpha (Tyr694) Antibody in Immunocytochemistry (ICC/IF)
          Group 53 Created with Sketch.

          图: 1 / 8

          {{ $ctrl.currentElement.advancedVerification.fullName }}
          {{ $ctrl.currentElement.advancedVerification.text }}

          Phospho-STAT5 alpha (Tyr694) Antibody (701063) in ICC/IF

          Immunofluorescent analysis of STAT5A (pY694) was done on 70% confluent log phase HeLa cells; untreated and treated (serum starved for 16 hours followed by treatment with 20 ng/mL IFN alpha for 1 hour). The cells were fixed with 4% paraformaldehyde for 15 minutes; permeabilized with 0.25% Triton X-100 for 10 minutes followed by blocking with 5% BSA for 1 hour at room temperature. The cells were incubated wit... View More {{ $ctrl.currentElement.advancedVerification.fullName }} 验证信息 View more
          已发表图片由___提供 benchsci-logo
          PMID: {{$ctrl.currentElement.benchSciPubmedId}}
          查看产品

          {{$ctrl.videoDesc}}

          {{$ctrl.videoLongDesc}}

          Phospho-STAT5 alpha (Tyr694) Antibody in Immunocytochemistry (ICC/IF)
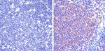
          Phospho-STAT5 alpha (Tyr694) Antibody in Immunohistochemistry (Paraffin) (IHC (P))
          Phospho-STAT5 alpha (Tyr694) Antibody in Immunohistochemistry (Paraffin) (IHC (P))
          Phospho-STAT5 alpha (Tyr694) Antibody in Immunohistochemistry (Paraffin) (IHC (P))
          Phospho-STAT5 alpha (Tyr694) Antibody in Western Blot (WB)
          Phospho-STAT5 alpha (Tyr694) Antibody in ChIP Assay (ChIP)
          Phospho-STAT5 alpha (Tyr694) Antibody in ChIP Assay (ChIP)
          Phospho-STAT5 alpha (Tyr694) Antibody
          Phospho-STAT5 alpha (Tyr694) Recombinant Rabbit Monoclonal Antibody (6H5L15)

          产品信息

          701063

          应用
          建议稀释比
          已发表文章

          免疫印迹 (WB)

          2-5 µg/mL
          查看1篇已发表文章 1篇已发表文章

          免疫组化(石蜡) (IHC (P))

          1:20-1:200
          -

          免疫细胞化学 (ICC/IF)

          2-4 µg
          -

          染色质免疫沉淀 实验 (ChIP)

          3 µg
          查看1篇已发表文章 1篇已发表文章
          产品规格

          种属反应

          Human, Mouse

          已发表种属

          Human, Mouse

          宿主/亚型

          Rabbit / IgG

          Expression System

          Expi293

          分类

          Recombinant Monoclonal

          类型

          Antibody

          克隆号

          6H5L15

          抗原

          Phosphopeptide corresponding to amino acids 688-698 of human STAT5a
          3D表位/免疫原

          偶联物

          Unconjugated Unconjugated Unconjugated

          形式

          Liquid

          浓度

          0.5 mg/mL

          规格

          100 µg

          纯化类型

          Protein A

          保存液

          PBS

          内含物

          0.09% sodium azide

          保存条件

          Store at 4°C short term. For long term storage, store at -20°C, avoiding freeze/thaw cycles.

          运输条件

          Wet ice

          RRID

          AB_2532365

          产品详细信息

          Intact IgG appears on a non-reducing gel as ~150 kDa band and upon reduction generating a ~25 kDa light chain band and a ~50 kDa heavy chain.

          Recombinant rabbit monoclonal antibodies are produced using in vitro expression systems. The expression systems are developed by cloning in the specific antibody DNA sequences from immunoreactive rabbits. Then, individual clones are screened to select the best candidates for production. The advantages of using recombinant rabbit monoclonal antibodies include: better specificity and sensitivity, lot-to-lot consistency, animal origin-free formulations, and broader immunoreactivity to diverse targets due to larger rabbit immune repertoire.

          靶标信息

          STAT5 alpha is a member of the STAT family of transcription factors. In response to cytokines and growth factors, STAT family members are phosphorylated by the receptor associated kinases, and then form homo- or heterodimers that translocate to the cell nucleus where they act as transcription activators. STAT5 alpha is activated by, and mediates the responses of many cell ligands, such as IL2, IL3, IL7 GM-CSF, erythropoietin, thrombopoietin, and different growth hormones. Activation of STAT5 alpha in myeloma and lymphoma associated with a TEL/JAK2 gene fusion is independent of cell stimulus and has been shown to be essential for the tumorigenesis. The mouse counterpart of STAT5 alpha is found to induce the expression of BCL2L1/BCL-X(L), which suggests the antiapoptotic function of this protein in cells. STAT5 alpha, along with STAT5 beta, were identified in mouse. The amino acid sequences of STAT5 alpha and STAT5 beta show 96% sequence similarity, and both proteins are co expressed in most tissues in virgin and lactating mice. However, differential accumulation of STAT5 alpha and STAT5 beta mRNA has been reported for both muscle and mammary tissue. STAT5 alpha is critically involved in a variety of physiological functions, including reproduction, lactation, immune function and somatic growth.

          仅用于科研。不用于诊断过程。未经明确授权不得转售。

          生物信息学

          蛋白别名: epididymis secretory sperm binding protein; Mammary gland factor; mammary gland factor STAT5A; Signal transducer and activator of transcription 5A; STAT; STAT5B; unnamed protein product

          查看更多 收起

          基因别名: AA959963; MGF; Mpf; STAT5; STAT5A

          查看更多 收起

          UniProt ID: (Human) P42229, (Mouse) P42230

          查看更多 收起

          Entrez Gene ID: (Human) 6776, (Mouse) 20850

          查看更多 收起

          功能
          RNA polymerase II core promoter proximal region sequence-specific DNA binding RNA polymerase II transcription factor activity, sequence-specific DNA binding transcriptional activator activity, RNA polymerase II transcription regulatory region sequence-specific binding DNA binding transcription factor activity, sequence-specific DNA binding protein binding phosphate ion binding sequence-specific DNA binding DNA-binding transcription factor binding RNA polymerase II core promoter sequence-specific DNA binding double-stranded DNA binding signal transducer activity protein phosphatase binding DNA-binding transcription factor
          参与通路
          mitotic cell cycle luteinization natural killer cell differentiation positive regulation of endothelial cell proliferation regulation of transcription, DNA-templated regulation of transcription from RNA polymerase II promoter transcription from RNA polymerase II promoter defense response signal transduction JAK-STAT cascade female pregnancy lactation cell proliferation positive regulation of cell proliferation regulation of steroid metabolic process cytokine-mediated signaling pathway taurine metabolic process lipid storage lymphocyte differentiation regulation of cell adhesion B cell differentiation erythrocyte differentiation eosinophil differentiation regulation of epithelial cell differentiation mammary gland development positive regulation of interleukin-2 production positive regulation of natural killer cell differentiation mast cell apoptotic process negative regulation of mast cell apoptotic process myeloid cell apoptotic process negative regulation of myeloid cell apoptotic process T cell differentiation in thymus interleukin-15-mediated signaling pathway interleukin-4-mediated signaling pathway reelin-mediated signaling pathway interleukin-5-mediated signaling pathway interleukin-2-mediated signaling pathway interleukin-7-mediated signaling pathway interleukin-9-mediated signaling pathway interleukin-3-mediated signaling pathway thrombopoietin-mediated signaling pathway regulation of multicellular organism growth positive regulation of multicellular organism growth T cell proliferation positive regulation of T cell proliferation positive regulation of activated T cell proliferation regulation of cell proliferation natural killer cell mediated cytotoxicity gamma-delta T cell differentiation T cell homeostasis response to peptide hormone positive regulation of blood vessel endothelial cell migration positive regulation of B cell differentiation positive regulation of gamma-delta T cell differentiation positive regulation of lymphocyte differentiation negative regulation of erythrocyte differentiation positive regulation of mitotic cell cycle positive regulation of transcription from RNA polymerase II promoter positive regulation of natural killer cell mediated cytotoxicity development of secondary female sexual characteristics development of secondary male sexual characteristics Peyer's patch development positive regulation of inflammatory response activated T cell proliferation mast cell differentiation positive regulation of mast cell differentiation JAK-STAT cascade involved in growth hormone signaling pathway prostate gland epithelium morphogenesis epithelial cell differentiation involved in prostate gland development mammary gland epithelium development mast cell proliferation positive regulation of mast cell proliferation cellular response to granulocyte macrophage colony-stimulating factor stimulus regulation of hemopoiesis negative regulation of T-helper 17 cell lineage commitment allantoin metabolic process citrate metabolic process 2-oxoglutarate metabolic process succinate metabolic process oxaloacetate metabolic process transcription, DNA-templated isoleucine metabolic process valine metabolic process creatine metabolic process fatty acid metabolic process peptidyl-tyrosine phosphorylation prolactin signaling pathway negative regulation of apoptotic process positive regulation of interleukin-2 biosynthetic process creatinine metabolic process mammary gland involution
          It has to be done as per old AB suggested Products section.

          Disclaimer

          Close

          Clicking the images or links will redirect you to a website hosted by BenchSci that provides third-party scientific content. Neither the content nor the BenchSci technology and processes for selection have been evaluated by us; we are providing them as-is and without warranty of any kind, including for use or application of the Thermo Fisher Scientific products presented.

          guarantee_icon

          性能保障

          只要您发现Invitrogen抗体在实验中的表现与网站或说明书的所述内容不符,您即可享受免费退换货服务。*

          了解更多
          help_icon

          随时为您服务

          获取常见问题的专家解答,或者直接联系我们的技术专家,咨询应用、设备、常规产品使用问题。

          联系技术支持
          订购 Plus Icon Minus Icon
          • 订单状态查询
          • 订单支持
          • 货号直购
          • 现货供应中心
          • 电子采购
          支持 Plus Icon Minus Icon
          • 帮助&支持
          • 联系我们 - 400 820 8982
          • 技术支持中心
          • 查找文件&证书
          • 报告网站问题
          资源 Plus Icon Minus Icon
          • 学习中心
          • 促销
          • 活动&研讨会
          • 社交媒体
          关于赛默飞 Plus Icon Minus Icon
          • 关于我们
          • 招聘 招聘
          • 投资者关系 投资者关系
          • 新闻 新闻
          • 社会责任 社会责任
          • 商标
          • 政策和通知
          品牌 Plus Icon Minus Icon
          • Thermo Scientific
          • Applied Biosystems
          • Invitrogen
          • Gibco
          • Ion Torrent
          • Unity Lab Services
          • Patheon
          • PPD
          • 服务条款
          • 隐私政策
          • 定价和运输保险政策
          © 2006-2026 Thermo Fisher Scientific Inc. All rights reserved. All trademarks are the property of Thermo Fisher Scientific and its subsidiaries unless otherwise specified.
          China flag icon
          China
          本网站销售的所有产品均不得用于人类或动物之临床诊断或治疗,仅可用于工业或者科研等非医疗目的。
             电子营业执照 | 经营证照公示 | ICP备案号:沪ICP备11003924号 | 沪公网安备 31011502006935号

          Your items have has been added!


          Host server : magellan-search-green-6479c7f679-46l5g:80/100.66.76.236:80.
          git-commit: b70c0dceb888abc3b0dcebb5bc3a5b8753e7e816
          git-url: https://github.com/thermofisher/magellan-search
          git-branch: release/2.50.0-Offline