Hamburger Menu Button
Thermo Fisher Scientific Logo
登录
没有账号?建立账号 注册
  • 产品
    • 抗体
    • 引物合成
    • GeneArt Gene Synthesis Instant Designer
    • TaqMan Assay and Array Search
    • PCR 设备和耗材
    • 色谱柱和纯化柱
    • 实验室离心机
    • 分子生物学试剂和试剂盒
    • 实验室塑料耗材及用品
    • 查看所有产品分类
  • 应用和技术
    • 色谱
    • 细胞转染和培养
    • 实时荧光定量PCR
    • 质谱
    • 实验室塑料耗材及用品
    • 电子显微镜
    • 蛋白质生物学
    • PCR
    • RNAi
    • 环境
    • 查看所有应用和技术
  • 服务
    • 定制服务
    • 企业级实验室信息化服务
    • 金融&租赁服务
    • 仪器服务
    • OEM和商业供应
    • 培训服务
    • 360° CDMO 和 CRO 服务
    • CDMO 服务
    • 临床试验 CRO 服务
    • Unity Lab Services
    • 查看所有帮助和支持
  • 帮助和支持
    • 学习中心
    • 联系我们
    • 更改国家或地区
    • 查看所有帮助和支持
  • 热门产品
    • TaqMan Real-Time PCR Assays
      TaqMan 实时荧光定量 PCR 试剂盒
    • Antibodies
      抗体
    • Oligos, Primers & Probes
      寡核苷酸、引物、探针
    • GeneArt Gene Synthesis
      GeneArt 基因合成
    • Cell Culture Plastics
      细胞培养耗材
  • Who We Serve
    • 抗体治疗解决方案
    • 细胞与基因治疗解决方案
    • 学术科研
    • 工业与应用
  • 联系我们
  • 货号直购
  • 订单查询
  • 查找文件&证书
Thermo Fisher Scientific Logo

Search

搜索全部或下列指定分类
Search button
          • 联系我们
          • 货号直购
          • 登录
            登录
            没有账号?建立账号 注册
            • 我的账号
            • 订单
            • 会员中心
            • 账单及发票查询
            • 定制产品及项目
          • Primary Antibodies ›
          • SMAD3 Antibodies

          Invitrogen

          Phospho-Smad3 (Ser425) Polyclonal Antibody

          查看其他59个SMAD3抗体

          {{$productOrderCtrl.translations['antibody.pdp.commerceCard.promotion.promotions']}}

          {{$productOrderCtrl.translations['antibody.pdp.commerceCard.promotion.viewpromo']}}

          {{$productOrderCtrl.translations['antibody.pdp.commerceCard.promotion.promocode']}}: {{promo.promoCode}} {{promo.promoTitle}} {{promo.promoDescription}}. {{$productOrderCtrl.translations['antibody.pdp.commerceCard.promotion.learnmore']}}

          说明书
          证书
          实验方案
          问题与答案
          技术支持
          说明书
          证书
          实验方案
          问题与答案
          技术支持
          说明书
          证书
          实验方案
          问题与答案
          技术支持

          Cite Phospho-Smad3 (Ser425) Polyclonal Antibody

          Additional Information:
          {{banner.description}}
          {{$ctrl.isSkuNotesCollapsed ? 'View more' : 'View less'}}
          • 抗体检测数据 (10)
          Phospho-Smad3 (Ser425) Antibody in Immunocytochemistry (ICC/IF)
          Group 53 Created with Sketch.
          Phospho-Smad3 (Ser425) Antibody in Immunocytochemistry (ICC/IF)
          Group 53 Created with Sketch.

          图: 1 / 10

          {{ $ctrl.currentElement.advancedVerification.fullName }}
          {{ $ctrl.currentElement.advancedVerification.text }}

          Phospho-Smad3 (Ser425) Antibody (PA5-104939) in ICC/IF

          Immunocytochemistry analysis of Phospho-Smad3 (Ser425) in H2O2 treated Hela cells. The samples were fixed with PFA and permeabilized in 0.1% Triton X-100, then blocked in 10% serum for 45 minutes at 25°C. Samples were incubated with Phospho-Smad3 (Ser425) polyclonal antibody (Product # PA5-104939) and mouse anti-beta tubulin antibody for 1 hour at 37°C. An AlexaFluor594 conjugated goat anti-rabbit IgG(H+L) ... View More {{ $ctrl.currentElement.advancedVerification.fullName }} 验证信息 View more
          已发表图片由___提供 benchsci-logo
          PMID: {{$ctrl.currentElement.benchSciPubmedId}}
          查看产品

          {{$ctrl.videoDesc}}

          {{$ctrl.videoLongDesc}}

          Phospho-Smad3 (Ser425) Antibody in Immunocytochemistry (ICC/IF)
          Phospho-Smad3 (Ser425) Antibody in Immunocytochemistry (ICC/IF)
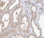
          Phospho-Smad3 (Ser425) Antibody in Immunohistochemistry (Paraffin) (IHC (P))
          Phospho-Smad3 (Ser425) Antibody in Immunohistochemistry (Paraffin) (IHC (P))
          Phospho-Smad3 (Ser425) Antibody in Immunohistochemistry (Paraffin) (IHC (P))
          Phospho-Smad3 (Ser425) Antibody in Immunohistochemistry (Paraffin) (IHC (P))
          Phospho-Smad3 (Ser425) Antibody in Immunohistochemistry (Paraffin) (IHC (P))
          Phospho-Smad3 (Ser425) Antibody in Immunohistochemistry (Paraffin) (IHC (P))
          Phospho-Smad3 (Ser425) Antibody in Immunohistochemistry (Paraffin) (IHC (P))
          Phospho-Smad3 (Ser425) Antibody in Western Blot (WB)
          Phospho-Smad3 (Ser425) Polyclonal Antibody

          产品信息

          PA5-104939

          应用
          建议稀释比
          已发表文章

          免疫印迹 (WB)

          1:500-1:2,000
          -

          免疫组化(石蜡) (IHC (P))

          1:50-1:200
          -

          免疫细胞化学 (ICC/IF)

          1:100-1:500
          -
          产品规格

          种属反应

          Human, Mouse, Rat

          宿主/亚型

          Rabbit / IgG

          分类

          Polyclonal

          类型

          Antibody

          抗原

          A synthesized peptide derived from human SMAD3(Accession P84022), corresponding to amino acid residues around phosphorylated Ser425.
          3D表位/免疫原

          偶联物

          Unconjugated Unconjugated Unconjugated

          形式

          Liquid

          浓度

          1 mg/mL

          规格

          100 µg

          纯化类型

          sequential chromatography

          保存液

          PBS, pH 7.4, with 50% glycerol

          内含物

          0.02% sodium azide

          保存条件

          -20°C

          运输条件

          Ambient (domestic); Wet ice (international)

          RRID

          AB_2816412

          产品详细信息

          Antibody detects endogenous levels of Smad3 only when phosphorylated at Serine 425.

          靶标信息

          SMAD3 belongs to the SMAD family of proteins. They are similar to the gene products of the Drosophila gene 'mothers against decapentaplegic' (Mad) and the C. elegans gene Sma. SMAD proteins are signal transducers and transcriptional modulators that mediate multiple signaling pathways. This protein functions as a transcriptional modulator activated by transforming growth factor-beta and is thought to play a role in the regulation of carcinogenesis.

          仅用于科研。不用于诊断过程。未经明确授权不得转售。

          篇参考文献 (0)

          您是否在文献中引用过该产品?请点击下方按钮邮件告知我们。
          引用该产品

          生物信息学

          蛋白别名: DKFZP586N0721; DKFZp686J10186; JV15-2; MAD (mothers against decapentaplegic, Drosophila) homolog 3; MAD homolog 3; mad homolog JV15-2; mad protein homolog; MAD, mothers against decapentaplegic homolog 3; MAD-3; mad3; MGC60396; mMad3; Mothers against decapentaplegic homolog 3; mothers against DPP homolog 3; SMA- and MAD-related protein 3; SMAD; SMAD 3; SMAD family member 3; SMAD, mothers against DPP homolog 3; unnamed protein product

          查看更多 收起

          基因别名: AU022421; hMAD-3; hSMAD3; HSPC193; HsT17436; JV15-2; LDS1C; LDS3; mad3; MADH3; Smad 3; SMAD3

          查看更多 收起

          UniProt ID: (Human) P84022, (Mouse) Q8BUN5, (Rat) P84025

          查看更多 收起

          Entrez Gene ID: (Human) 4088, (Mouse) 17127, (Rat) 25631

          查看更多 收起

          功能
          transcription regulatory region sequence-specific DNA binding RNA polymerase II regulatory region sequence-specific DNA binding RNA polymerase II core promoter proximal region sequence-specific DNA binding RNA polymerase II transcription factor activity, sequence-specific DNA binding core promoter proximal region sequence-specific DNA binding bacterial-type RNA polymerase transcriptional repressor activity, sequence-specific DNA binding transcription corepressor binding transcription coactivator binding transcriptional activator activity, RNA polymerase II transcription regulatory region sequence-specific binding DNA binding chromatin binding double-stranded DNA binding transcription factor activity, sequence-specific DNA binding transforming growth factor beta receptor binding protein binding collagen binding beta-catenin binding zinc ion binding ligand-dependent nuclear receptor binding DEAD/H-box RNA helicase binding enzyme binding protein kinase binding phosphatase binding chromatin DNA binding ubiquitin protein ligase binding mineralocorticoid receptor binding sterol response element binding glucocorticoid receptor binding identical protein binding protein homodimerization activity ubiquitin binding bHLH transcription factor binding sequence-specific DNA binding metal ion binding RNA polymerase II sequence-specific DNA binding transcription factor binding co-SMAD binding I-SMAD binding R-SMAD binding DNA-binding transcription factor binding promoter-specific chromatin binding transcription factor activity, RNA polymerase II core promoter sequence-specific transcription factor activity, protein binding RNA polymerase II activating transcription factor binding transcription factor binding transforming growth factor beta receptor, pathway-specific cytoplasmic mediator activity transcription regulatory region DNA binding SMAD binding protein heterodimerization activity DNA-binding transcription factor gene-specific transcriptional regulator
          参与通路
          negative regulation of transcription from RNA polymerase II promoter MAPK cascade skeletal system development osteoblast differentiation ureteric bud development response to hypoxia in utero embryonic development mesoderm formation somitogenesis release of cytochrome c from mitochondria liver development heart looping osteoblast development immune system development regulation of transcription, DNA-templated regulation of transcription from RNA polymerase II promoter apoptotic process immune response transforming growth factor beta receptor signaling pathway JNK cascade gastrulation endoderm development cell proliferation negative regulation of cell proliferation anatomical structure morphogenesis embryonic pattern specification positive regulation of gene expression negative regulation of gene expression positive regulation of epithelial to mesenchymal transition regulation of striated muscle tissue development regulation of transforming growth factor beta receptor signaling pathway signal transduction involved in regulation of gene expression cell differentiation negative regulation of ossification negative regulation of cell growth adrenal gland development positive regulation of cell migration positive regulation of bone mineralization thyroid gland development primary miRNA processing positive regulation of chondrocyte differentiation developmental process positive regulation of interleukin-1 beta production regulation of transforming growth factor beta2 production positive regulation of transforming growth factor beta3 production activin receptor signaling pathway negative regulation of osteoblast proliferation nodal signaling pathway wound healing T cell activation negative regulation of protein catabolic process positive regulation of protein import into nucleus negative regulation of apoptotic process proteasome-mediated ubiquitin-dependent protein catabolic process cell-cell junction organization positive regulation of nitric oxide biosynthetic process negative regulation of cell differentiation negative regulation of fat cell differentiation negative regulation of osteoblast differentiation positive regulation of transcription, DNA-templated positive regulation of transcription from RNA polymerase II promoter paraxial mesoderm morphogenesis developmental growth embryonic foregut morphogenesis embryonic cranial skeleton morphogenesis regulation of epithelial cell proliferation negative regulation of inflammatory response regulation of immune response protein stabilization positive regulation of positive chemotaxis negative regulation of cytosolic calcium ion concentration positive regulation of stress fiber assembly regulation of mitochondrial membrane potential positive regulation of focal adhesion assembly pericardium development transdifferentiation positive regulation of SMAD protein import into nucleus SMAD protein signal transduction negative regulation of wound healing trophoblast cell migration negative regulation of lung blood pressure lens fiber cell differentiation cellular response to glucose stimulus cellular response to growth factor stimulus response to transforming growth factor beta cellular response to transforming growth factor beta stimulus positive regulation of canonical Wnt signaling pathway apoptotic signaling pathway extrinsic apoptotic signaling pathway cellular response to virus transforming growth factor beta receptor superfamily signaling pathway positive regulation of extracellular matrix assembly regulation of miRNA transcription negative regulation of pri-miRNA transcription from RNA polymerase II promoter positive regulation of pri-miRNA transcription from RNA polymerase II promoter negative regulation of cardiac muscle hypertrophy in response to stress response to angiotensin negative regulation of protein phosphorylation transcription, DNA-templated transcription from RNA polymerase II promoter transport activation of cysteine-type endopeptidase activity involved in apoptotic process cell cycle arrest SMAD protein complex assembly positive regulation of alkaline phosphatase activity evasion or tolerance of host defenses by virus positive regulation of catenin import into nucleus intracellular signal transduction positive regulation of transcription factor import into nucleus negative regulation of mitotic cell cycle regulation of binding activation of cysteine-type endopeptidase activity involved in apoptotic signaling pathway
          It has to be done as per old AB suggested Products section.

          Disclaimer

          Close

          Clicking the images or links will redirect you to a website hosted by BenchSci that provides third-party scientific content. Neither the content nor the BenchSci technology and processes for selection have been evaluated by us; we are providing them as-is and without warranty of any kind, including for use or application of the Thermo Fisher Scientific products presented.

          guarantee_icon

          性能保障

          只要您发现Invitrogen抗体在实验中的表现与网站或说明书的所述内容不符,您即可享受免费退换货服务。*

          了解更多
          help_icon

          随时为您服务

          获取常见问题的专家解答,或者直接联系我们的技术专家,咨询应用、设备、常规产品使用问题。

          联系技术支持
          订购 Plus Icon Minus Icon
          • 订单状态查询
          • 订单支持
          • 货号直购
          • 现货供应中心
          • 电子采购
          支持 Plus Icon Minus Icon
          • 帮助&支持
          • 联系我们 - 400 820 8982
          • 技术支持中心
          • 查找文件&证书
          • 报告网站问题
          资源 Plus Icon Minus Icon
          • 学习中心
          • 促销
          • 活动&研讨会
          • 社交媒体
          关于赛默飞 Plus Icon Minus Icon
          • 关于我们
          • 招聘 招聘
          • 投资者关系 投资者关系
          • 新闻 新闻
          • 社会责任 社会责任
          • 商标
          • 政策和通知
          品牌 Plus Icon Minus Icon
          • Thermo Scientific
          • Applied Biosystems
          • Invitrogen
          • Gibco
          • Ion Torrent
          • Unity Lab Services
          • Patheon
          • PPD
          • 服务条款
          • 隐私政策
          • 定价和运输保险政策
          © 2006-2026 Thermo Fisher Scientific Inc. All rights reserved. All trademarks are the property of Thermo Fisher Scientific and its subsidiaries unless otherwise specified.
          China flag icon
          China
          本网站销售的所有产品均不得用于人类或动物之临床诊断或治疗,仅可用于工业或者科研等非医疗目的。
             电子营业执照 | 经营证照公示 | ICP备案号:沪ICP备11003924号 | 沪公网安备 31011502006935号

          Your items have has been added!


          Host server : magellan-search-green-6479c7f679-v472f:80/100.66.78.195:80.
          git-commit: b70c0dceb888abc3b0dcebb5bc3a5b8753e7e816
          git-url: https://github.com/thermofisher/magellan-search
          git-branch: release/2.50.0-Offline