Hamburger Menu Button
Thermo Fisher Scientific Logo
登录
没有账号?建立账号 注册
  • 产品
    • 抗体
    • 引物合成
    • GeneArt Gene Synthesis Instant Designer
    • TaqMan Assay and Array Search
    • PCR 设备和耗材
    • 色谱柱和纯化柱
    • 实验室离心机
    • 分子生物学试剂和试剂盒
    • 实验室塑料耗材及用品
    • 查看所有产品分类
  • 应用和技术
    • 色谱
    • 细胞转染和培养
    • 实时荧光定量PCR
    • 质谱
    • 实验室塑料耗材及用品
    • 电子显微镜
    • 蛋白质生物学
    • PCR
    • RNAi
    • 环境
    • 查看所有应用和技术
  • 服务
    • 定制服务
    • 企业级实验室信息化服务
    • 金融&租赁服务
    • 仪器服务
    • OEM和商业供应
    • 培训服务
    • 360° CDMO 和 CRO 服务
    • CDMO 服务
    • 临床试验 CRO 服务
    • Unity Lab Services
    • 查看所有帮助和支持
  • 帮助和支持
    • 学习中心
    • 联系我们
    • 更改国家或地区
    • 查看所有帮助和支持
  • 热门产品
    • TaqMan Real-Time PCR Assays
      TaqMan 实时荧光定量 PCR 试剂盒
    • Antibodies
      抗体
    • Oligos, Primers & Probes
      寡核苷酸、引物、探针
    • GeneArt Gene Synthesis
      GeneArt 基因合成
    • Cell Culture Plastics
      细胞培养耗材
  • Who We Serve
    • 抗体治疗解决方案
    • 细胞与基因治疗解决方案
    • 学术科研
    • 工业与应用
  • 联系我们
  • 货号直购
  • 订单查询
  • 查找文件&证书
Thermo Fisher Scientific Logo

Search

搜索全部或下列指定分类
Search button
          • 联系我们
          • 货号直购
          • 登录
            登录
            没有账号?建立账号 注册
            • 我的账号
            • 订单
            • 会员中心
            • 账单及发票查询
            • 定制产品及项目
          • Primary Antibodies ›
          • TAK1 Antibodies

          Invitrogen

          Phospho-TAK1 (Thr187) Polyclonal Antibody

          1个已发表图片
          1 篇参考文献
          查看其他40个TAK1抗体

          {{$productOrderCtrl.translations['antibody.pdp.commerceCard.promotion.promotions']}}

          {{$productOrderCtrl.translations['antibody.pdp.commerceCard.promotion.viewpromo']}}

          {{$productOrderCtrl.translations['antibody.pdp.commerceCard.promotion.promocode']}}: {{promo.promoCode}} {{promo.promoTitle}} {{promo.promoDescription}}. {{$productOrderCtrl.translations['antibody.pdp.commerceCard.promotion.learnmore']}}

          说明书
          证书
          实验方案
          问题与答案
          技术支持
          说明书
          证书
          实验方案
          问题与答案
          技术支持
          说明书
          证书
          实验方案
          问题与答案
          技术支持

          Cite Phospho-TAK1 (Thr187) Polyclonal Antibody

          Additional Information:
          {{banner.description}}
          {{$ctrl.isSkuNotesCollapsed ? 'View more' : 'View less'}}
          • 抗体检测数据 (10)
          • 已发表图片 (1)
          Phospho-TAK1 (Thr187) Antibody in Immunohistochemistry (Paraffin) (IHC (P))
          Group 53 Created with Sketch.
          Phospho-TAK1 (Thr187) Antibody in Immunohistochemistry (Paraffin) (IHC (P))
          Group 53 Created with Sketch.

          图: 1 / 11

          {{ $ctrl.currentElement.advancedVerification.fullName }}
          {{ $ctrl.currentElement.advancedVerification.text }}

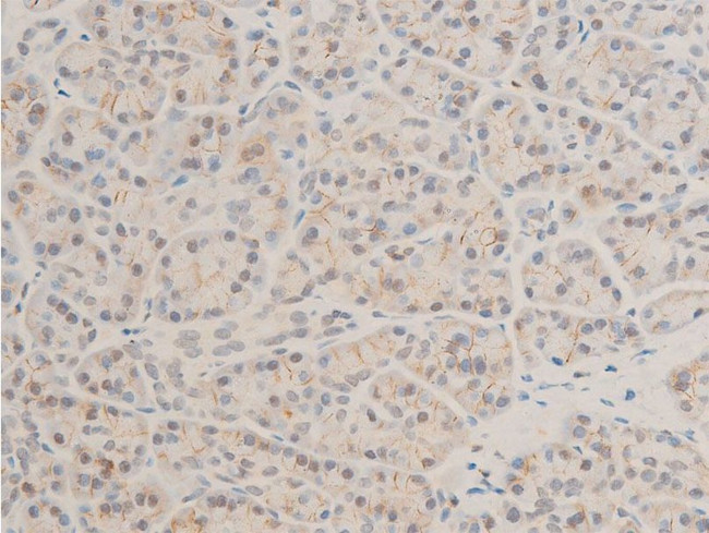
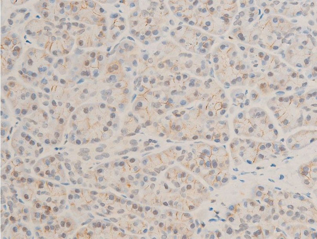
          Phospho-TAK1 (Thr187) Antibody (PA5-99340) in IHC (P)

          Immunohistochemistry analysis of paraffin-embedded Phospho-TAK1 (Thr187) in human pancreas tissue sections. Antigen retrieval was performed using citrate buffer. Samples were blocked with blocking buffer (1.5 hr, 22°C), incubated with Phospho-TAK1 (Thr187) polyclonal antibody (Product # PA5-99340) using a dilution of 1:100 (1.5 hr, 22°C), followed by HRP conjugated goat anti-rabbit. {{ $ctrl.currentElement.advancedVerification.fullName }} 验证信息 View more
          已发表图片由___提供 benchsci-logo
          PMID: {{$ctrl.currentElement.benchSciPubmedId}}
          查看产品

          {{$ctrl.videoDesc}}

          {{$ctrl.videoLongDesc}}

          Phospho-TAK1 (Thr187) Antibody in Immunohistochemistry (Paraffin) (IHC (P))
          Phospho-TAK1 (Thr187) Antibody in Immunohistochemistry (Paraffin) (IHC (P))
          Phospho-TAK1 (Thr187) Antibody in Immunohistochemistry (Paraffin) (IHC (P))
          Phospho-TAK1 (Thr187) Antibody in Immunohistochemistry (Paraffin) (IHC (P))
          Phospho-TAK1 (Thr187) Antibody in Immunohistochemistry (Paraffin) (IHC (P))
          Phospho-TAK1 (Thr187) Antibody in Immunohistochemistry (Paraffin) (IHC (P))
          Phospho-TAK1 (Thr187) Antibody in Immunohistochemistry (Paraffin) (IHC (P))
          Phospho-TAK1 (Thr187) Antibody in Immunohistochemistry (Paraffin) (IHC (P))
          Phospho-TAK1 (Thr187) Antibody in Immunohistochemistry (Paraffin) (IHC (P))
          Phospho-TAK1 (Thr187) Antibody in Western Blot (WB)
          Phospho-TAK1 (Thr187) Antibody in Western Blot (WB)
          Phospho-TAK1 (Thr187) Polyclonal Antibody

          产品信息

          PA5-99340

          应用
          建议稀释比
          已发表文章

          免疫印迹 (WB)

          1:500-1:2,000
          查看1篇已发表文章 1篇已发表文章

          免疫组化(石蜡) (IHC (P))

          1:50-1:500
          -

          免疫细胞化学 (ICC/IF)

          1:100-1:500
          -
          产品规格

          种属反应

          Human, Mouse, Rat

          已发表种属

          Mouse

          宿主/亚型

          Rabbit / IgG

          分类

          Polyclonal

          类型

          Antibody

          抗原

          A synthesized peptide derived from human MAP3K7(Accession O43318), corresponding to amino acid residues around phosphorylated Thr187.
          3D表位/免疫原

          偶联物

          Unconjugated Unconjugated Unconjugated

          形式

          Liquid

          浓度

          1 mg/mL

          规格

          100 µg

          纯化类型

          sequential chromatography

          保存液

          PBS, pH 7.4, with 50% glycerol

          内含物

          0.02% sodium azide

          保存条件

          -20°C

          运输条件

          Ambient (domestic); Wet ice (international)

          RRID

          AB_2818273

          产品详细信息

          Antibody detects endogenous levels of TAK1 only when phosphorylated at Threonine 187.

          靶标信息

          TAK1 (also known as MAP3K7), a part of the serine/threonine kinase family, is a versatile protein with many signaling functions. Originally identified as a TGF- beta-activated kinase, TAK1 interacts with TGF- beta-receptor and TRAF6 to modulate TGF- beta activation of JNK and p38. It has additional roles in activation of p38 and JNK through Wnt, BMP, and activin signaling pathways as well in response to thyroid hormone, osmotic stress, endothelin, and ephrine. Through activation of von Hippel-Lindau tumor suppressor expression, TAK1 represses PDGF-B, integrin beta1 and integrin beta5, promoting proper wound healing. TAK1 also plays an essential role in IKK activation in numerous signaling pathways including IL-1, IL-6, IL-18, TNF, CD40, TLR, and RIG-I. Activation of the TAK1-IKK pathway requires TAB2/3 and ubiquitination. In this process, TAB2/3 binds to the C-terminal region of TAK1 and becomes polyubiquitinated, TAK1 is autophosphorylated at Thr178, Thr184, Thr187 and Ser192, and finally TAK1 phosphorylates IKK- beta. Additionally, TAK1 represses human telomerase reverse transcriptase suggesting a role in regulation of cell lifespan.

          仅用于科研。不用于诊断过程。未经明确授权不得转售。

          生物信息学

          蛋白别名: M3K7; mitogen activated protein kinase kinase kinase 7; Mitogen-activated protein kinase kinase kinase 7; RP1-154G14.1; TAK1d; TGF-beta activated kinase 1; TGF-beta-activated kinase 1; transforming growth factor beta-activated kinase 1; Transforming growth factor-beta-activated kinase 1; unnamed protein product

          查看更多 收起

          基因别名: B430101B05; C87327; CSCF; FMD2; MAP3K7; MEKK7; TAK1; TGF1a

          查看更多 收起

          UniProt ID: (Human) O43318, (Mouse) Q62073, (Rat) P0C8E4

          查看更多 收起

          Entrez Gene ID: (Human) 6885, (Mouse) 26409, (Rat) 313121

          查看更多 收起

          功能
          nucleotide binding magnesium ion binding transcription coactivator binding protein kinase activity protein serine/threonine kinase activity MAP kinase activity MAP kinase kinase kinase activity receptor binding type II transforming growth factor beta receptor binding protein binding ATP binding MAP kinase kinase kinase kinase activity kinase activity transferase activity protein kinase binding receptor tyrosine kinase binding ubiquitin protein ligase binding histone kinase activity identical protein binding metal ion binding scaffold protein binding protein serine kinase activity protein serine/threonine kinase binding DNA-binding transcription factor binding linear polyubiquitin binding MAP kinase kinase activity transferase activity, transferring phosphorus-containing groups non-receptor serine/threonine protein kinase
          参与通路
          MAPK cascade response to hypoxia stimulatory C-type lectin receptor signaling pathway positive regulation of T cell cytokine production cytoplasmic pattern recognition receptor signaling pathway MyD88-dependent toll-like receptor signaling pathway chromatin remodeling apoptotic process inflammatory response immune response signal transduction transforming growth factor beta receptor signaling pathway I-kappaB kinase/NF-kappaB signaling I-kappaB phosphorylation JNK cascade positive regulation of metabolic process positive regulation of autophagy negative regulation of gene expression positive regulation of macroautophagy signal transduction involved in regulation of gene expression SCF-dependent proteasomal ubiquitin-dependent protein catabolic process positive regulation of type I interferon production protein exit from endoplasmic reticulum positive regulation of interleukin-2 production toll-like receptor 3 signaling pathway toll-like receptor 4 signaling pathway TRIF-dependent toll-like receptor signaling pathway nucleotide-binding domain, leucine rich repeat containing receptor signaling pathway NIK/NF-kappaB signaling p38MAPK cascade Fc-epsilon receptor signaling pathway interleukin-33-mediated signaling pathway interleukin-17A-mediated signaling pathway defense response to bacterium signal transduction in response to DNA damage positive regulation of I-kappaB kinase/NF-kappaB signaling negative regulation of I-kappaB kinase/NF-kappaB signaling anoikis positive regulation of MAPK cascade positive regulation of JUN kinase activity positive regulation of cell cycle positive regulation of cell size T cell receptor signaling pathway stress-activated MAPK cascade interleukin-1-mediated signaling pathway cellular response to tumor necrosis factor cellular response to hypoxia cellular response to transforming growth factor beta stimulus cGAS/STING signaling pathway positive regulation of cGAS/STING signaling pathway negative regulation of cytokine production involved in inflammatory response positive regulation of NIK/NF-kappaB signaling cellular response to angiotensin positive regulation of vascular smooth muscle cell proliferation positive regulation of vascular associated smooth muscle cell migration response to angiotensin activation of MAPK activity angiogenesis neural tube formation transcription, DNA-templated regulation of transcription, DNA-templated protein phosphorylation phosphorylation positive regulation of JNK cascade negative regulation of necroptotic process negative regulation of ripoptosome assembly involved in necroptotic process regulation of reactive oxygen species metabolic process negative regulation of reactive oxygen species metabolic process negative regulation of apoptotic signaling pathway activation of MAPKK activity activation of NF-kappaB-inducing kinase activity histone H3 acetylation
          It has to be done as per old AB suggested Products section.

          Disclaimer

          Close

          Clicking the images or links will redirect you to a website hosted by BenchSci that provides third-party scientific content. Neither the content nor the BenchSci technology and processes for selection have been evaluated by us; we are providing them as-is and without warranty of any kind, including for use or application of the Thermo Fisher Scientific products presented.

          guarantee_icon

          性能保障

          只要您发现Invitrogen抗体在实验中的表现与网站或说明书的所述内容不符,您即可享受免费退换货服务。*

          了解更多
          help_icon

          随时为您服务

          获取常见问题的专家解答,或者直接联系我们的技术专家,咨询应用、设备、常规产品使用问题。

          联系技术支持
          订购 Plus Icon Minus Icon
          • 订单状态查询
          • 订单支持
          • 货号直购
          • 现货供应中心
          • 电子采购
          支持 Plus Icon Minus Icon
          • 帮助&支持
          • 联系我们 - 400 820 8982
          • 技术支持中心
          • 查找文件&证书
          • 报告网站问题
          资源 Plus Icon Minus Icon
          • 学习中心
          • 促销
          • 活动&研讨会
          • 社交媒体
          关于赛默飞 Plus Icon Minus Icon
          • 关于我们
          • 招聘 招聘
          • 投资者关系 投资者关系
          • 新闻 新闻
          • 社会责任 社会责任
          • 商标
          • 政策和通知
          品牌 Plus Icon Minus Icon
          • Thermo Scientific
          • Applied Biosystems
          • Invitrogen
          • Gibco
          • Ion Torrent
          • Unity Lab Services
          • Patheon
          • PPD
          • 服务条款
          • 隐私政策
          • 定价和运输保险政策
          © 2006-2026 Thermo Fisher Scientific Inc. All rights reserved. All trademarks are the property of Thermo Fisher Scientific and its subsidiaries unless otherwise specified.
          China flag icon
          China
          本网站销售的所有产品均不得用于人类或动物之临床诊断或治疗,仅可用于工业或者科研等非医疗目的。
             电子营业执照 | 经营证照公示 | ICP备案号:沪ICP备11003924号 | 沪公网安备 31011502006935号

          Your items have has been added!


          Host server : magellan-search-green-6479c7f679-zb4k5:80/100.66.74.142:80.
          git-commit: b70c0dceb888abc3b0dcebb5bc3a5b8753e7e816
          git-url: https://github.com/thermofisher/magellan-search
          git-branch: release/2.50.0-Offline