Hamburger Menu Button
Thermo Fisher Scientific Logo
登录
没有账号?建立账号 注册
  • 产品
    • 抗体
    • 引物合成
    • GeneArt Gene Synthesis Instant Designer
    • TaqMan Assay and Array Search
    • PCR 设备和耗材
    • 色谱柱和纯化柱
    • 实验室离心机
    • 分子生物学试剂和试剂盒
    • 实验室塑料耗材及用品
    • 查看所有产品分类
  • 应用和技术
    • 色谱
    • 细胞转染和培养
    • 实时荧光定量PCR
    • 质谱
    • 实验室塑料耗材及用品
    • 电子显微镜
    • 蛋白质生物学
    • PCR
    • RNAi
    • 环境
    • 查看所有应用和技术
  • 服务
    • 定制服务
    • 企业级实验室信息化服务
    • 企业服务
    • 金融&租赁服务
    • 仪器服务
    • OEM和商业供应
    • 培训服务
    • 360° CDMO 和 CRO 服务
    • CDMO 服务
    • 临床试验 CRO 服务
    • 查看所有帮助和支持
  • 帮助和支持
    • 学习中心
    • 联系我们
    • 更改国家或地区
    • 查看所有帮助和支持
  • 热门产品
    • TaqMan Real-Time PCR Assays
      TaqMan 实时荧光定量 PCR 试剂盒
    • Antibodies
      抗体
    • Oligos, Primers & Probes
      寡核苷酸、引物、探针
    • GeneArt Gene Synthesis
      GeneArt 基因合成
    • Cell Culture Plastics
      细胞培养耗材
  • 联系我们
  • 货号直购
  • 订单查询
  • 查找文件&证书
Thermo Fisher Scientific Logo

Search

搜索全部或下列指定分类
Search button
          • 联系我们
          • 货号直购
          • 登录
            登录
            没有账号?建立账号 注册
            • 我的账号
            • 订单
            • 账单及发票查询
            • 定制产品及项目

          Disclaimer

          Clicking the images or links will redirect you to a website hosted by BenchSci that provides third-party scientific content. Neither the content nor the BenchSci technology and processes for selection have been evaluated by us; we are providing them as-is and without warranty of any kind, including for use or application of the Thermo Fisher Scientific products presented.

          • Primary Antibodies ›
          • nNOS Antibodies

          Bioss

          Phospho-nNOS (Ser1417) Polyclonal Antibody

          查看其他15个nNOS抗体

          {{$productOrderCtrl.translations['antibody.pdp.commerceCard.promotion.promotions']}}

          {{$productOrderCtrl.translations['antibody.pdp.commerceCard.promotion.viewpromo']}}

          {{$productOrderCtrl.translations['antibody.pdp.commerceCard.promotion.promocode']}}: {{promo.promoCode}} {{promo.promoTitle}} {{promo.promoDescription}}. {{$productOrderCtrl.translations['antibody.pdp.commerceCard.promotion.learnmore']}}

          说明书
          证书
          实验方案
          问题与答案
          技术支持
          说明书
          证书
          实验方案
          问题与答案
          技术支持
          说明书
          证书
          实验方案
          问题与答案
          技术支持

          Cite Phospho-nNOS (Ser1417) Polyclonal Antibody

          • 抗体检测数据 (1)
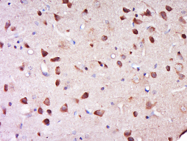
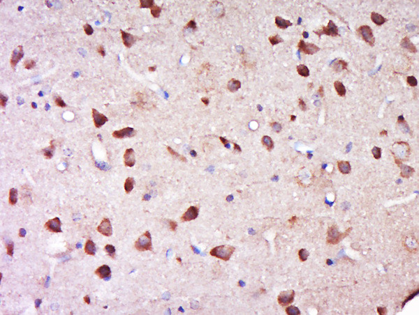
          Phospho-nNOS (Ser1417) Antibody in Immunohistochemistry (Paraffin) (IHC (P))
          Group 53 Created with Sketch.
          Phospho-nNOS (Ser1417) Antibody in Immunohistochemistry (Paraffin) (IHC (P))
          Group 53 Created with Sketch.

          图: 1 / 1

          {{ $ctrl.currentElement.advancedVerification.fullName }}
          {{ $ctrl.currentElement.advancedVerification.text }}

          Phospho-nNOS (Ser1417) Antibody (BS-19301R) in IHC (P)

          Formalin-fixed and paraffin embedded rat brain tissue labeled with nNOS Ser1417 Polyclonal Antibody, Unconjugated (bs-19301R) at 1:200 followed by conjugation to the secondary antibody and DAB staining. {{ $ctrl.currentElement.advancedVerification.fullName }} 验证信息 View more
          已发表图片由___提供 benchsci-logo
          PMID: {{$ctrl.currentElement.benchSciPubmedId}}
          查看产品

          {{$ctrl.videoDesc}}

          {{$ctrl.videoLongDesc}}

          Phospho-nNOS (Ser1417) Antibody in Immunohistochemistry (Paraffin) (IHC (P))
          Phospho-nNOS (Ser1417) Polyclonal Antibody

          产品信息

          BS-19301R

          应用
          建议稀释比
          已发表文章

          免疫印迹 (WB)

          1:300-1:1,000
          -

          免疫组化(石蜡) (IHC (P))

          1:200
          -

          免疫组化(冰冻) (IHC (F))

          1:100-1:500
          -

          免疫细胞化学 (ICC/IF)

          1:100-1:500
          -

          酶联免疫吸附实验 (ELISA)

          1:500-1:1,000
          -
          产品规格

          种属反应

          Human, Mouse, Rat, Xenopus

          宿主/亚型

          Rabbit / IgG

          分类

          Polyclonal

          类型

          Antibody

          抗原

          KLH conjugated Synthesised phosphopeptide derived from human nNOS around the phosphorylation site of Ser1417.
          查看免疫原

          偶联物

          Unconjugated Unconjugated Unconjugated

          形式

          Liquid

          浓度

          1 mg/mL

          纯化类型

          Protein A

          保存液

          0.01M TBS, pH 7.4, with 1% BSA, 50% glycerol

          内含物

          0.02% ProClin 300

          保存条件

          -20°C

          运输条件

          Ambient (domestic); Wet ice (international)

          靶标信息

          NOS activity requires homodimerization as well as three cosubstrates (L-arginine, NADPH and O2) and five cofactors or prosthetic groups (FAD, FMN, calmodulin, tetrahydrobiopterin and heme). Several distinct NOS isoforms have been described and been shown to represent the products of three distinct genes. These include two constitutive Ca2+/CaM-dependent forms of NOS, including NOS1 (also designated ncNOS) whose activity was first identified in neurons, and NOS3 (also designated ecNOS), first identified in endothelial cells.

          仅用于科研。不用于诊断过程。未经明确授权不得转售。

          篇参考文献 (0)

          您是否在文献中引用过该产品?请点击下方按钮邮件告知我们。
          引用该产品

          生物信息学

          蛋白别名: bNOS; bNOS1; Brain NOS; Constitutive NOS; N-NOS; NC-NOS; Neuronal NOS; nitric oxidase synthase; Nitric oxide synthase 1; nitric oxide synthase 1 (neuronal); Nitric oxide synthase, brain; nNOS; NOS Type 1; NOS type I; Peptidyl-cysteine S-nitrosylase NOS1; Phospho-bNOS; Phospho-Brain NOS

          查看更多 收起

          基因别名: 2310005C01Rik; Bnos; IHPS1; N-NOS; NC-NOS; nNOS; NO; NOS; Nos-1; NOS-I; NOS1

          查看更多 收起

          UniProt ID: (Human) P29475, (Rat) P29476, (Mouse) Q9Z0J4

          查看更多 收起

          Entrez Gene ID: (Human) 4842, (Rat) 24598, (Mouse) 18125

          查看更多 收起

          功能
          nitric-oxide synthase activity iron ion binding protein binding calmodulin binding FMN binding sodium channel regulator activity enzyme binding heme binding tetrahydrobiopterin binding arginine binding protein homodimerization activity ion channel binding cadmium ion binding flavin adenine dinucleotide binding NADP binding scaffold protein binding NADPH-hemoprotein reductase activity amino acid binding ATPase binding oxidoreductase
          参与通路
          response to hypoxia regulation of sodium ion transport arginine catabolic process nitric oxide biosynthetic process striated muscle contraction nitric oxide mediated signal transduction myoblast fusion female pregnancy aging negative regulation of cell proliferation response to heat response to lead ion negative regulation of calcium ion transport into cytosol response to activity peptidyl-cysteine S-nitrosylation positive regulation of guanylate cyclase activity response to lipopolysaccharide response to vitamin E multicellular organismal response to stress positive regulation of histone acetylation response to nicotine neurotransmitter biosynthetic process exogenous drug catabolic process negative regulation of apoptotic process negative regulation of potassium ion transport response to peptide hormone response to estrogen cell redox homeostasis response to ethanol negative regulation of blood pressure negative regulation of heart contraction positive regulation of transcription, DNA-templated negative regulation of vasoconstriction positive regulation of vasodilation positive regulation of transcription from RNA polymerase II promoter negative regulation of insulin secretion behavioral response to cocaine regulation of neurogenesis negative regulation of hydrolase activity negative regulation of cytosolic calcium ion concentration negative regulation of serotonin uptake negative regulation of calcium ion transport regulation of sensory perception of pain oxidation-reduction process regulation of cardiac muscle contraction regulation of ryanodine-sensitive calcium-release channel activity cellular response to mechanical stimulus cellular response to growth factor stimulus response to nitric oxide positive regulation of the force of heart contraction positive regulation of long-term synaptic potentiation negative regulation of adrenergic receptor signaling pathway involved in heart process positive regulation of adrenergic receptor signaling pathway involved in heart process positive regulation of neuron death positive regulation of sodium ion transmembrane transport regulation of calcium ion transmembrane transport via high voltage-gated calcium channel regulation of cardiac conduction muscle contraction regulation of heart contraction response to organonitrogen compound response to organic cyclic compound response to nutrient levels negative regulation of peptidyl-serine phosphorylation cellular response to epinephrine stimulus
          It has to be done as per old AB suggested Products section.
          guarantee_icon

          性能保障

          只要您发现Invitrogen抗体在实验中的表现与网站或说明书的所述内容不符,您即可享受免费退换货服务。*

          了解更多
          help_icon

          随时为您服务

          获取常见问题的专家解答,或者直接联系我们的技术专家,咨询应用、设备、常规产品使用问题。

          联系技术支持
          订购 Plus Icon Minus Icon
          • 订单状态查询
          • 订单支持
          • 货号直购
          • 现货供应中心
          • 电子采购
          支持 Plus Icon Minus Icon
          • 帮助&支持
          • 联系我们 - 400 820 8982
          • 技术支持中心
          • 查找文件&证书
          • 报告网站问题
          资源 Plus Icon Minus Icon
          • 学习中心
          • 促销
          • 活动&研讨会
          • 社交媒体
          关于赛默飞 Plus Icon Minus Icon
          • 关于我们
          • 招聘 招聘
          • 投资者关系 投资者关系
          • 新闻 新闻
          • 社会责任 社会责任
          • 商标
          • 政策和通知
          品牌 Plus Icon Minus Icon
          • Thermo Scientific
          • Applied Biosystems
          • Invitrogen
          • Gibco
          • Ion Torrent
          • Patheon
          • PPD
          • 服务条款
          • 隐私政策
          • 定价和运输保险政策
          © 2006-2026 Thermo Fisher Scientific Inc. All rights reserved. All trademarks are the property of Thermo Fisher Scientific and its subsidiaries unless otherwise specified.
          China flag icon
          China
          本网站销售的所有产品均不得用于人类或动物之临床诊断或治疗,仅可用于工业或者科研等非医疗目的。
             电子营业执照 | 经营证照公示 | ICP备案号:沪ICP备11003924号 | 沪公网安备 31011502006935号

          Your items have has been added!


          Host server : magellan-search-blue-55ff9ddd88-6hb64:80/100.66.77.245:80.
          git-commit: d366ff9721d93504b2ac26a183b2b3e3d0e7d9ec
          git-url: https://github.com/thermofisher/magellan-search
          git-branch: release/2.42.0-2026.01.03-1.0