Hamburger Menu Button
Thermo Fisher Scientific Logo
登录
没有账号?建立账号 注册
  • 产品
    • 抗体
    • 引物合成
    • GeneArt Gene Synthesis Instant Designer
    • TaqMan Assay and Array Search
    • PCR 设备和耗材
    • 色谱柱和纯化柱
    • 实验室离心机
    • 分子生物学试剂和试剂盒
    • 实验室塑料耗材及用品
    • 查看所有产品分类
  • 应用和技术
    • 色谱
    • 细胞转染和培养
    • 实时荧光定量PCR
    • 质谱
    • 实验室塑料耗材及用品
    • 电子显微镜
    • 蛋白质生物学
    • PCR
    • RNAi
    • 环境
    • 查看所有应用和技术
  • 服务
    • 定制服务
    • 企业级实验室信息化服务
    • 金融&租赁服务
    • 仪器服务
    • OEM和商业供应
    • 培训服务
    • 360° CDMO 和 CRO 服务
    • CDMO 服务
    • 临床试验 CRO 服务
    • Unity Lab Services
    • 查看所有帮助和支持
  • 帮助和支持
    • 学习中心
    • 联系我们
    • 更改国家或地区
    • 查看所有帮助和支持
  • 热门产品
    • TaqMan Real-Time PCR Assays
      TaqMan 实时荧光定量 PCR 试剂盒
    • Antibodies
      抗体
    • Oligos, Primers & Probes
      寡核苷酸、引物、探针
    • GeneArt Gene Synthesis
      GeneArt 基因合成
    • Cell Culture Plastics
      细胞培养耗材
  • Who We Serve
    • 抗体治疗解决方案
    • 细胞与基因治疗解决方案
    • 学术科研
    • 工业与应用
  • 联系我们
  • 货号直购
  • 订单查询
  • 查找文件&证书
Thermo Fisher Scientific Logo

Search

搜索全部或下列指定分类
Search button
          • 联系我们
          • 货号直购
          • 登录
            登录
            没有账号?建立账号 注册
            • 我的账号
            • 订单
            • 会员中心
            • 账单及发票查询
            • 定制产品及项目
          • Primary Antibodies ›
          • p38 MAPK alpha Antibodies

          Invitrogen

          Phospho-p38 MAPK alpha (Thr180, Tyr182) Monoclonal Antibody (F.52.8)

          高级验证
          2个已发表图片
          9 篇参考文献
          查看其他60个p38 MAPK alpha抗体

          {{$productOrderCtrl.translations['antibody.pdp.commerceCard.promotion.promotions']}}

          {{$productOrderCtrl.translations['antibody.pdp.commerceCard.promotion.viewpromo']}}

          {{$productOrderCtrl.translations['antibody.pdp.commerceCard.promotion.promocode']}}: {{promo.promoCode}} {{promo.promoTitle}} {{promo.promoDescription}}. {{$productOrderCtrl.translations['antibody.pdp.commerceCard.promotion.learnmore']}}

          说明书
          证书
          实验方案
          问题与答案
          技术支持
          说明书
          证书
          实验方案
          问题与答案
          技术支持
          说明书
          证书
          实验方案
          问题与答案
          技术支持

          Cite Phospho-p38 MAPK alpha (Thr180, Tyr182) Monoclonal Antibody (F.52.8)

          Additional Information:
          {{banner.description}}
          {{$ctrl.isSkuNotesCollapsed ? 'View more' : 'View less'}}
          • 抗体检测数据 (4)
          • 已发表图片 (2)
          • 高级验证 (2)
          Phospho-p38 MAPK alpha (Thr180, Tyr182) Antibody in Immunocytochemistry (ICC/IF)
          Group 53 Created with Sketch.
          Phospho-p38 MAPK alpha (Thr180, Tyr182) Antibody in Immunocytochemistry (ICC/IF)
          Group 53 Created with Sketch.

          图: 1 / 8

          {{ $ctrl.currentElement.advancedVerification.fullName }}
          {{ $ctrl.currentElement.advancedVerification.text }}

          Phospho-p38 MAPK alpha (Thr180, Tyr182) Antibody (MA5-15177) in ICC/IF

          Immunofluorescent analysis of Phospho-p38 MAPK pThr180/Tyr182 in HeLa cells -/+ UV light, using a Phospho-p38 MAPK pThr180/Tyr182 monoclonal antibody (Product # MA5-15177) showing absence of staining in untreated cells. Actin filaments are labeled with a fluorescent red phalloidin. {{ $ctrl.currentElement.advancedVerification.fullName }} 验证信息 View more
          已发表图片由___提供 benchsci-logo
          PMID: {{$ctrl.currentElement.benchSciPubmedId}}
          查看产品

          {{$ctrl.videoDesc}}

          {{$ctrl.videoLongDesc}}

          Phospho-p38 MAPK alpha (Thr180, Tyr182) Antibody in Immunocytochemistry (ICC/IF)
          Phospho-p38 MAPK alpha (Thr180, Tyr182) Antibody in Immunohistochemistry (Paraffin) (IHC (P))
          Phospho-p38 MAPK alpha (Thr180, Tyr182) Antibody in Western Blot (WB)
          Phospho-p38 MAPK alpha (Thr180, Tyr182) Antibody in Western Blot (WB)
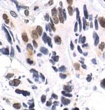
          Phospho-p38 MAPK alpha (Thr180, Tyr182) Antibody in Immunohistochemistry (IHC)
          Phospho-p38 MAPK alpha (Thr180, Tyr182) Antibody in Western Blot (WB)
          Phospho-p38 MAPK alpha (Thr180, Tyr182) Antibody
          Phospho-p38 MAPK alpha (Thr180, Tyr182) Antibody
          Phospho-p38 MAPK alpha (Thr180, Tyr182) Monoclonal Antibody (F.52.8)

          产品信息

          MA5-15177

          应用
          建议稀释比
          已发表文章

          免疫印迹 (WB)

          1:1,000
          查看4篇已发表文章 4篇已发表文章

          免疫组化 (IHC)

          -
          查看1篇已发表文章 1篇已发表文章

          免疫组化(石蜡) (IHC (P))

          1:50-1:200
          查看1篇已发表文章 1篇已发表文章

          免疫细胞化学 (ICC/IF)

          1:100
          查看1篇已发表文章 1篇已发表文章

          酶联免疫吸附实验 (ELISA)

          -
          查看1篇已发表文章 1篇已发表文章

          免疫沉淀 (IP)

          -
          查看1篇已发表文章 1篇已发表文章
          产品规格

          种属反应

          Fruit fly, Human, Mouse, Non-human primate, Rat

          已发表种属

          Human, Zebrafish

          宿主/亚型

          Rabbit / IgG

          分类

          Monoclonal

          类型

          Antibody

          克隆号

          F.52.8

          抗原

          Synthetic phosphopeptide corresponding to residues surrounding pThr180/Tyr182 of human p38 MAPK
          3D表位/免疫原

          偶联物

          Unconjugated Unconjugated Unconjugated

          形式

          Liquid

          浓度

          71 µg/mL

          规格

          14.2 µg

          纯化类型

          Affinity chromatography

          保存液

          0.01M HEPES, pH 7.5, with 0.15M NaCl, 100µg/mL BSA, 50% glycerol

          内含物

          <0.02% sodium azide

          保存条件

          -20°C

          运输条件

          Ambient (domestic); Wet ice (international)

          RRID

          AB_10984205

          产品详细信息

          It is not recommended to aliquot this antibody.

          This antibody is not cross-reactive with the phosphorylated forms of either p42/44 MAPK or SAPK/JNK.

          靶标信息

          MAPK14 (p38 alpha) is a member of the stress-activated protein kinase class of MAPKs. The p38 MAPK cascade regulates a variety of cellular responses to stress, inflammation, and other signals. p38 MAPK is relatively inactive in the nonphosphorylated form and becomes rapidly activated by dual phosphorylation of a Thr-Gly-Tyr motifs. There are four isoforms of p38 MAPK, which differ in their tissue expression and affinity for upstream activators and downstream effectors. When cells are exposed to tumor necrosis factor, interleukin-1, heat shock, or other activating stimuli, activation of MAPK kinase-3 occurs by phosphorylation. Activated MAPK kinase-3/6 phosphorylate each residue of Thr180 and Tyr182 in p38 MAPK. Phospho-p38 MAPK activates ATF-2, CHOP-1, MEF-2 and other transcription factors through phosphorylation.

          仅用于科研。不用于诊断过程。未经明确授权不得转售。

          生物信息学

          蛋白别名: CG7393-PA; CRK1; CSAID-binding protein; Csaids binding protein; cytokine suppressive anti-inflammatory drug binding protein; cytokine suppressive anti-inflammatory drug binding protein 1; Cytokine suppressive anti-inflammatory drug-binding protein; cytokine-supressive anti-inflammatory drug binding protein; EC 2.7.11.24; encoded by transcript variant 4; p38 MAP kinase; encoded by transcript variant 5; p38 MAP kinase; ERK1; ERT2; LD24658p; MAP 14; MAP kinase 1; MAP kinase 14; MAP kinase 2; MAP kinase MXI2; MAP kinase p38; MAP kinase p38 alpha; MAP kinase p38alpha; MAP kinase p38b; MAPK 14; MAPK1 antibody; MAPK14; MAX-interacting protein 2; mitogen activated protein kinase 14; Mitogen-activated protein kinase 14; mitogen-activated protein kinase 14A; Mitogen-activated protein kinase p38 alpha; Mitogen-activated protein kinase p38b; MK14; OTTHUMP00000216563; OTTHUMP00000216566; p38 alpha; p38 MAP kinase; p38 MAP kinase alpha; p38 MAPK; p38 mitogen activated protein kinase; p38 mitogen-activated protein kinase; p38alpha Exip; p38b-PA; reactive kinase; RP1-179N16.5; SAPK2a; SAPK2a; CSAIDS binding protein 1; stress-activated p38b MAP kinase; Stress-activated protein kinase 2a; tRNA synthetase cofactor p38; unnamed protein product

          查看更多 收起

          基因别名: 186F5S; anon-sts23; BG:DS00797.3; CG7393; CRK1; CSBP; CSBP1; CSBP2; CSPB1; D-p38; D-p38 MAPK; D-p38b; Dm p38b; Dmel\CG7393; Dmel_CG7393; Dmp38b; Dp38; Dp38b; ESTS:186F5S; EXIP; Hog; MAPK; MAPK14; Mpk34C; MXI2; P38; p38 beta; p38 MAPK; p38-alpha; p38a; p38ALPHA; p38B; p38beta; p38Hog; p38Kb; p38MAPK; PRKM14; PRKM15; RK; SAPK2A

          查看更多 收起

          UniProt ID: (Human) Q16539, (Mouse) P47811, (Fruit fly) O61443

          查看更多 收起

          Entrez Gene ID: (Human) 1432, (Rat) 81649, (Mouse) 26416, (Fruit fly) 34780

          查看更多 收起

          功能
          nucleotide binding protein kinase activity protein serine/threonine kinase activity MAP kinase activity MAP kinase kinase activity protein binding ATP binding kinase activity transferase activity enzyme binding protein phosphatase binding mitogen-activated protein kinase p38 binding NFAT protein binding protein serine kinase activity protein C-terminus binding transferase activity, transferring phosphorus-containing groups non-receptor serine/threonine protein kinase
          参与通路
          DNA damage checkpoint MAPK cascade cell morphogenesis cartilage condensation angiogenesis osteoblast differentiation placenta development response to dietary excess chondrocyte differentiation negative regulation of inflammatory response to antigenic stimulus glucose metabolic process regulation of transcription, DNA-templated regulation of transcription from RNA polymerase II promoter transcription from RNA polymerase II promoter apoptotic process chemotaxis cellular response to DNA damage stimulus signal transduction cell surface receptor signaling pathway transmembrane receptor protein serine/threonine kinase signaling pathway skeletal muscle tissue development positive regulation of gene expression positive regulation of myotube differentiation fatty acid oxidation platelet activation regulation of ossification osteoclast differentiation stress-activated protein kinase signaling cascade positive regulation of cyclase activity lipopolysaccharide-mediated signaling pathway response to muramyl dipeptide response to lipopolysaccharide positive regulation of interleukin-12 production response to insulin tumor necrosis factor-mediated signaling pathway negative regulation of hippo signaling intracellular signal transduction cellular response to vascular endothelial growth factor stimulus response to muscle stretch p38MAPK cascade positive regulation of protein import into nucleus signal transduction in response to DNA damage positive regulation of blood vessel endothelial cell migration positive regulation of erythrocyte differentiation positive regulation of myoblast differentiation positive regulation of transcription from RNA polymerase II promoter glucose import positive regulation of glucose import vascular endothelial growth factor receptor signaling pathway stem cell differentiation striated muscle cell differentiation positive regulation of muscle cell differentiation stress-activated MAPK cascade protein maturation positive regulation of cardiac muscle cell proliferation bone development pyroptosis 3'-UTR-mediated mRNA stabilization cellular response to lipopolysaccharide cellular response to lipoteichoic acid cellular response to tumor necrosis factor cellular response to ionizing radiation cellular response to UV-B negative regulation of canonical Wnt signaling pathway positive regulation of brown fat cell differentiation cellular senescence stress-induced premature senescence cellular response to virus regulation of synaptic membrane adhesion regulation of cytokine production involved in inflammatory response positive regulation of myoblast fusion NLRP1 inflammasome complex assembly positive regulation of reactive oxygen species metabolic process transcription, DNA-templated protein phosphorylation response to glucose myoblast differentiation involved in skeletal muscle regeneration peptidyl-serine phosphorylation protein autophosphorylation phosphorylation positive regulation of protein phosphorylation heart morphogenesis immune response imaginal disc-derived wing morphogenesis circadian rhythm determination of adult lifespan response to heat response to bacterium response to salt stress regulation of gene expression regulation of BMP signaling pathway positive regulation of actin filament polymerization cellular response to reactive oxygen species paracrine signaling positive regulation of multicellular organism growth response to hydrogen peroxide response to starvation defense response to bacterium regulation of innate immune response positive regulation of cell size regulation of adult chitin-containing cuticle pigmentation defense response to fungus cellular response to arsenic-containing substance cellular response to cadmium ion regulation of cellular response to oxidative stress regulation of terminal button organization
          It has to be done as per old AB suggested Products section.

          Disclaimer

          Close

          Clicking the images or links will redirect you to a website hosted by BenchSci that provides third-party scientific content. Neither the content nor the BenchSci technology and processes for selection have been evaluated by us; we are providing them as-is and without warranty of any kind, including for use or application of the Thermo Fisher Scientific products presented.

          guarantee_icon

          性能保障

          只要您发现Invitrogen抗体在实验中的表现与网站或说明书的所述内容不符,您即可享受免费退换货服务。*

          了解更多
          help_icon

          随时为您服务

          获取常见问题的专家解答,或者直接联系我们的技术专家,咨询应用、设备、常规产品使用问题。

          联系技术支持
          订购 Plus Icon Minus Icon
          • 订单状态查询
          • 订单支持
          • 货号直购
          • 现货供应中心
          • 电子采购
          支持 Plus Icon Minus Icon
          • 帮助&支持
          • 联系我们 - 400 820 8982
          • 技术支持中心
          • 查找文件&证书
          • 报告网站问题
          资源 Plus Icon Minus Icon
          • 学习中心
          • 促销
          • 活动&研讨会
          • 社交媒体
          关于赛默飞 Plus Icon Minus Icon
          • 关于我们
          • 招聘 招聘
          • 投资者关系 投资者关系
          • 新闻 新闻
          • 社会责任 社会责任
          • 商标
          • 政策和通知
          品牌 Plus Icon Minus Icon
          • Thermo Scientific
          • Applied Biosystems
          • Invitrogen
          • Gibco
          • Ion Torrent
          • Unity Lab Services
          • Patheon
          • PPD
          • 服务条款
          • 隐私政策
          • 定价和运输保险政策
          © 2006-2026 Thermo Fisher Scientific Inc. All rights reserved. All trademarks are the property of Thermo Fisher Scientific and its subsidiaries unless otherwise specified.
          China flag icon
          China
          本网站销售的所有产品均不得用于人类或动物之临床诊断或治疗,仅可用于工业或者科研等非医疗目的。
             电子营业执照 | 经营证照公示 | ICP备案号:沪ICP备11003924号 | 沪公网安备 31011502006935号

          Your items have has been added!


          Host server : magellan-search-green-6479c7f679-jmhj8:80/100.66.74.142:80.
          git-commit: b70c0dceb888abc3b0dcebb5bc3a5b8753e7e816
          git-url: https://github.com/thermofisher/magellan-search
          git-branch: release/2.50.0-Offline