Hamburger Menu Button
Thermo Fisher Scientific Logo
登录
没有账号?建立账号 注册
  • 产品
    • 抗体
    • 引物合成
    • GeneArt Gene Synthesis Instant Designer
    • TaqMan Assay and Array Search
    • PCR 设备和耗材
    • 色谱柱和纯化柱
    • 实验室离心机
    • 分子生物学试剂和试剂盒
    • 实验室塑料耗材及用品
    • 查看所有产品分类
  • 应用和技术
    • 色谱
    • 细胞转染和培养
    • 实时荧光定量PCR
    • 质谱
    • 实验室塑料耗材及用品
    • 电子显微镜
    • 蛋白质生物学
    • PCR
    • RNAi
    • 环境
    • 查看所有应用和技术
  • 服务
    • 定制服务
    • 企业级实验室信息化服务
    • 企业服务
    • 金融&租赁服务
    • 仪器服务
    • OEM和商业供应
    • 培训服务
    • 360° CDMO 和 CRO 服务
    • CDMO 服务
    • 临床试验 CRO 服务
    • 查看所有帮助和支持
  • 帮助和支持
    • 学习中心
    • 联系我们
    • 更改国家或地区
    • 查看所有帮助和支持
  • 热门产品
    • TaqMan Real-Time PCR Assays
      TaqMan 实时荧光定量 PCR 试剂盒
    • Antibodies
      抗体
    • Oligos, Primers & Probes
      寡核苷酸、引物、探针
    • GeneArt Gene Synthesis
      GeneArt 基因合成
    • Cell Culture Plastics
      细胞培养耗材
  • 联系我们
  • 货号直购
  • 订单查询
  • 查找文件&证书
Thermo Fisher Scientific Logo

Search

搜索全部或下列指定分类
Search button
          • 联系我们
          • 货号直购
          • 登录
            登录
            没有账号?建立账号 注册
            • 我的账号
            • 订单
            • 账单及发票查询
            • 定制产品及项目

          Disclaimer

          Clicking the images or links will redirect you to a website hosted by BenchSci that provides third-party scientific content. Neither the content nor the BenchSci technology and processes for selection have been evaluated by us; we are providing them as-is and without warranty of any kind, including for use or application of the Thermo Fisher Scientific products presented.

          • Primary Antibodies ›
          • Pleiotrophin Antibodies

          Invitrogen

          Pleiotrophin Polyclonal Antibody

          查看其他19个Pleiotrophin抗体

          {{$productOrderCtrl.translations['antibody.pdp.commerceCard.promotion.promotions']}}

          {{$productOrderCtrl.translations['antibody.pdp.commerceCard.promotion.viewpromo']}}

          {{$productOrderCtrl.translations['antibody.pdp.commerceCard.promotion.promocode']}}: {{promo.promoCode}} {{promo.promoTitle}} {{promo.promoDescription}}. {{$productOrderCtrl.translations['antibody.pdp.commerceCard.promotion.learnmore']}}

          说明书
          证书
          实验方案
          问题与答案
          技术支持
          说明书
          证书
          实验方案
          问题与答案
          技术支持
          说明书
          证书
          实验方案
          问题与答案
          技术支持

          Cite Pleiotrophin Polyclonal Antibody

          • 抗体检测数据 (5)
          Pleiotrophin Antibody in Immunohistochemistry (Paraffin) (IHC (P))
          Group 53 Created with Sketch.
          Pleiotrophin Antibody in Immunohistochemistry (Paraffin) (IHC (P))
          Group 53 Created with Sketch.

          图: 1 / 5

          {{ $ctrl.currentElement.advancedVerification.fullName }}
          {{ $ctrl.currentElement.advancedVerification.text }}

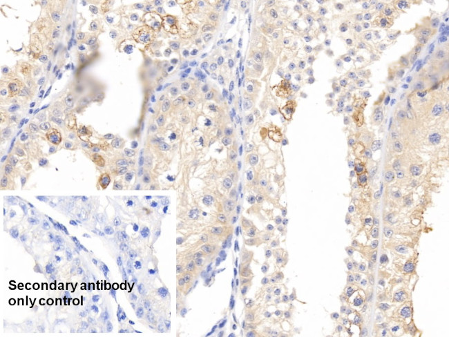
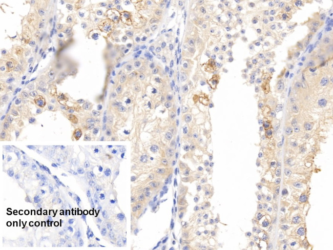
          Pleiotrophin Antibody (PA5-145349) in IHC (P)

          Immunohistochemistry (Paraffin) analysis of Pleiotrophin in bovine testis tissue using Pleiotrophin Polyclonal Antibody (Product # PA5-145349) (20 µg/mL) and using PBS intead of the primary antibody as a control. The sample was then stained with HRP-Goat anti-Rabbit IgG polyclonal secondary antibody (2 µg/mL). DAB staining. {{ $ctrl.currentElement.advancedVerification.fullName }} 验证信息 View more
          已发表图片由___提供 benchsci-logo
          PMID: {{$ctrl.currentElement.benchSciPubmedId}}
          查看产品

          {{$ctrl.videoDesc}}

          {{$ctrl.videoLongDesc}}

          Pleiotrophin Antibody in Immunohistochemistry (Paraffin) (IHC (P))
          Pleiotrophin Antibody in Immunohistochemistry (Paraffin) (IHC (P))
          Pleiotrophin Antibody in Western Blot (WB)
          Pleiotrophin Antibody in Western Blot (WB)
          Pleiotrophin Antibody in Western Blot (WB)
          Pleiotrophin Polyclonal Antibody

          产品信息

          PA5-145349

          应用
          建议稀释比
          已发表文章

          免疫印迹 (WB)

          0.01-2 µg/mL
          -

          免疫组化(石蜡) (IHC (P))

          5-20 µg/mL
          -
          产品规格

          种属反应

          Bovine, Human, Mouse, Rat

          宿主/亚型

          Rabbit / IgG

          分类

          Polyclonal

          类型

          Antibody

          抗原

          Recombinant Bovine PTN protein, Gly33-Asp168 (Accession #P21782)
          查看免疫原

          偶联物

          Unconjugated Unconjugated Unconjugated

          形式

          Liquid

          浓度

          0.5 mg/mL

          纯化类型

          Protein A, Antigen affinity chromatography

          保存液

          PBS, pH 7.4, with 50% glycerol

          内含物

          0.05% Proclin 300

          保存条件

          Store at 4°C short term. For long term storage, store at -20°C, avoiding freeze/thaw cycles.

          运输条件

          Ambient (domestic); Wet ice (international)

          RRID

          AB_3094367

          靶标信息

          Pleiotrophin (PTN) is an 18 kDa secreted heparin and chondroitin-binding protein that is a regulatory cytokine critical to the early development of blood vessels and neurons. High PTN serum levels are associated with a variety of solid tumors. It was shown that patients with multiple myeloma (MM) also have elevated serum levels of this protein. The expression of this protein is very limited in normal adult tissues.

          仅用于科研。不用于诊断过程。未经明确授权不得转售。

          篇参考文献 (0)

          您是否在文献中引用过该产品?请点击下方按钮邮件告知我们。
          引用该产品

          生物信息学

          蛋白别名: HB-GAM; HBBM; HBGF-8; HBNF; HBNF-1; heparin affin regulatory peptide; heparin affin regulatory protein; heparin binding factor; heparin binding growth factor 8; Heparin-binding brain mitogen; Heparin-binding growth factor 8; Heparin-binding growth-associated molecule; heparin-binding neurite outgrowth promoting factor; Heparin-binding neurite outgrowth-promoting factor; Heparin-binding neurite outgrowth-promoting factor 1; heparin-binding neurite promoting factor; Heparin-binding neurite-promoting factor; heparin-binding neurotorphic factor; Heparin-binding neutrophic factor; neurite growth-promoting factor 1; OSF-1; Osteoblast-specific factor 1; osteoblastic cell factor; p18; Pleiotrophin; pleiotrophin (heparin binding growth factor 8, neurite growth-promoting factor 1); Pleiotrophin (Heparine binding factor, Hbnf, in the mouse); PTN

          查看更多 收起

          基因别名: HARP; HB-GAM; HBBM; HBBN; HBGF-8; HBGF8; HBNF; HBNF-1; HBNF1; NEGF1; OSF; OSF-1; Osf1; PTN

          查看更多 收起

          UniProt ID: (Human) P21246, (Bovine) P21782, (Rat) P63090, (Mouse) P63089

          查看更多 收起

          Entrez Gene ID: (Human) 5764, (Bovine) 280904, (Rat) 24924, (Mouse) 19242

          查看更多 收起

          功能
          protein phosphatase inhibitor activity growth factor activity heparin binding chondroitin sulfate proteoglycan binding chondroitin sulfate binding vascular endothelial growth factor binding heparan sulfate binding glycosaminoglycan binding growth factor
          参与通路
          liver development transmembrane receptor protein tyrosine phosphatase signaling pathway nervous system development heart development learning positive regulation of cell proliferation regulation of cell shape positive regulation of cell-substrate adhesion positive regulation of neuron projection development response to activity negative regulation of angiogenesis spinal cord development cerebellum development thalamus development bone mineralization lung development negative regulation of cell migration response to estradiol response to progesterone cellular response to UV cellular response to platelet-derived growth factor stimulus response to drug positive regulation of apoptotic process negative regulation of catalytic activity estrous cycle endothelial cell differentiation negative regulation of membrane potential negative regulation of epithelial cell proliferation positive regulation of cell division retinal rod cell differentiation negative regulation of glial cell proliferation long-term synaptic potentiation cellular response to vitamin D cellular response to hypoxia negative regulation of mesenchymal cell proliferation response to kainic acid rod bipolar cell differentiation response to ciliary neurotrophic factor positive regulation of skeletal muscle acetylcholine-gated channel clustering negative regulation of neuromuscular junction development response to nerve growth factor positive regulation of hepatocyte proliferation leukocyte chemotaxis involved in inflammatory response positive regulation of leukocyte chemotaxis integrin-mediated signaling pathway negative regulation of neuroblast proliferation memory regulation of endothelial cell migration response to auditory stimulus positive regulation of bone mineralization dendrite regeneration regulation of myelination negative regulation of phosphoprotein phosphatase activity tissue regeneration receptor clustering ossification involved in bone remodeling positive regulation of cell differentiation positive regulation of ossification decidualization regulation of synaptic plasticity oogenesis positive regulation of axon regeneration positive regulation of oligodendrocyte differentiation dendrite arborization positive regulation of dendrite development negative regulation of long-term synaptic potentiation regulation of hemopoiesis regulation of stem cell population maintenance positive regulation of stem cell differentiation ossification neuromuscular junction development skeletal muscle acetylcholine-gated channel clustering
          It has to be done as per old AB suggested Products section.
          guarantee_icon

          性能保障

          只要您发现Invitrogen抗体在实验中的表现与网站或说明书的所述内容不符,您即可享受免费退换货服务。*

          了解更多
          help_icon

          随时为您服务

          获取常见问题的专家解答,或者直接联系我们的技术专家,咨询应用、设备、常规产品使用问题。

          联系技术支持
          订购 Plus Icon Minus Icon
          • 订单状态查询
          • 订单支持
          • 货号直购
          • 现货供应中心
          • 电子采购
          支持 Plus Icon Minus Icon
          • 帮助&支持
          • 联系我们 - 400 820 8982
          • 技术支持中心
          • 查找文件&证书
          • 报告网站问题
          资源 Plus Icon Minus Icon
          • 学习中心
          • 促销
          • 活动&研讨会
          • 社交媒体
          关于赛默飞 Plus Icon Minus Icon
          • 关于我们
          • 招聘 招聘
          • 投资者关系 投资者关系
          • 新闻 新闻
          • 社会责任 社会责任
          • 商标
          • 政策和通知
          品牌 Plus Icon Minus Icon
          • Thermo Scientific
          • Applied Biosystems
          • Invitrogen
          • Gibco
          • Ion Torrent
          • Patheon
          • PPD
          • 服务条款
          • 隐私政策
          • 定价和运输保险政策
          © 2006-2026 Thermo Fisher Scientific Inc. All rights reserved. All trademarks are the property of Thermo Fisher Scientific and its subsidiaries unless otherwise specified.
          China flag icon
          China
          本网站销售的所有产品均不得用于人类或动物之临床诊断或治疗,仅可用于工业或者科研等非医疗目的。
             电子营业执照 | 经营证照公示 | ICP备案号:沪ICP备11003924号 | 沪公网安备 31011502006935号

          Your items have has been added!


          Host server : magellan-search-blue-55ff9ddd88-8jdkq:80/100.66.75.107:80.
          git-commit: d366ff9721d93504b2ac26a183b2b3e3d0e7d9ec
          git-url: https://github.com/thermofisher/magellan-search
          git-branch: release/2.42.0-2026.01.03-1.0