Hamburger Menu Button
Thermo Fisher Scientific Logo
登录
没有账号?建立账号 注册
  • 产品
    • 抗体
    • 引物合成
    • GeneArt Gene Synthesis Instant Designer
    • TaqMan Assay and Array Search
    • PCR 设备和耗材
    • 色谱柱和纯化柱
    • 实验室离心机
    • 分子生物学试剂和试剂盒
    • 实验室塑料耗材及用品
    • 查看所有产品分类
  • 应用和技术
    • 色谱
    • 细胞转染和培养
    • 实时荧光定量PCR
    • 质谱
    • 实验室塑料耗材及用品
    • 电子显微镜
    • 蛋白质生物学
    • PCR
    • RNAi
    • 环境
    • 查看所有应用和技术
  • 服务
    • 定制服务
    • 企业级实验室信息化服务
    • 金融&租赁服务
    • 仪器服务
    • OEM和商业供应
    • 培训服务
    • 360° CDMO 和 CRO 服务
    • CDMO 服务
    • 临床试验 CRO 服务
    • Unity Lab Services
    • 查看所有帮助和支持
  • 帮助和支持
    • 学习中心
    • 联系我们
    • 更改国家或地区
    • 查看所有帮助和支持
  • 热门产品
    • TaqMan Real-Time PCR Assays
      TaqMan 实时荧光定量 PCR 试剂盒
    • Antibodies
      抗体
    • Oligos, Primers & Probes
      寡核苷酸、引物、探针
    • GeneArt Gene Synthesis
      GeneArt 基因合成
    • Cell Culture Plastics
      细胞培养耗材
  • Who We Serve
    • 抗体治疗解决方案
    • 细胞与基因治疗解决方案
    • 学术科研
    • 工业与应用
  • 联系我们
  • 货号直购
  • 订单查询
  • 查找文件&证书
Thermo Fisher Scientific Logo

Search

搜索全部或下列指定分类
Search button
          • 联系我们
          • 货号直购
          • 登录
            登录
            没有账号?建立账号 注册
            • 我的账号
            • 订单
            • 会员中心
            • 账单及发票查询
            • 定制产品及项目
          • Primary Antibodies ›
          • Pokemon Antibodies

          Invitrogen

          Pokemon (LRF) Monoclonal Antibody (13E9), eBioscience™

          2个已发表图片
          5 篇参考文献
          查看其他19个Pokemon抗体

          {{$productOrderCtrl.translations['antibody.pdp.commerceCard.promotion.promotions']}}

          {{$productOrderCtrl.translations['antibody.pdp.commerceCard.promotion.viewpromo']}}

          {{$productOrderCtrl.translations['antibody.pdp.commerceCard.promotion.promocode']}}: {{promo.promoCode}} {{promo.promoTitle}} {{promo.promoDescription}}. {{$productOrderCtrl.translations['antibody.pdp.commerceCard.promotion.learnmore']}}

          说明书
          证书
          实验方案
          问题与答案
          技术支持
          说明书
          证书
          实验方案
          问题与答案
          技术支持
          说明书
          证书
          实验方案
          问题与答案
          技术支持

          Cite Pokemon (LRF) Monoclonal Antibody (13E9), eBioscience™

          Additional Information:
          {{banner.description}}
          {{$ctrl.isSkuNotesCollapsed ? 'View more' : 'View less'}}
          • 抗体检测数据 (2)
          • 已发表图片 (2)
          Pokemon (LRF) Antibody in Immunohistochemistry (Paraffin) (IHC (P))
          Group 53 Created with Sketch.
          Pokemon (LRF) Antibody in Immunohistochemistry (Paraffin) (IHC (P))
          Group 53 Created with Sketch.

          图: 1 / 4

          {{ $ctrl.currentElement.advancedVerification.fullName }}
          {{ $ctrl.currentElement.advancedVerification.text }}

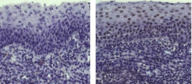
          Pokemon (LRF) Antibody (14-3309-82) in IHC (P)

          Immunohistochemistry of formalin-fixed paraffin embedded human tonsil, using 10 µg/mL of Armenian Hamster IgG Isotype Control (Product # 14-4888-81) (left) or Anti-Pokemon Purified (right) followed by Anti-Hamster Biotin (Product # 13-4113-85), and DAB visualization. Nuclei are counterstained with hematoxylin. {{ $ctrl.currentElement.advancedVerification.fullName }} 验证信息 View more
          已发表图片由___提供 benchsci-logo
          PMID: {{$ctrl.currentElement.benchSciPubmedId}}
          查看产品

          {{$ctrl.videoDesc}}

          {{$ctrl.videoLongDesc}}

          Pokemon (LRF) Antibody in Immunohistochemistry (Paraffin) (IHC (P))
          Pokemon (LRF) Antibody in Western Blot (WB)
          Pokemon (LRF) Antibody in Western Blot (WB)
          Pokemon (LRF) Antibody in Western Blot (WB)

          产品信息

          14-3309-82

          应用
          建议稀释比
          已发表文章

          免疫印迹 (WB)

          1-10 µg/mL
          查看3篇已发表文章 3篇已发表文章

          免疫组化(石蜡) (IHC (P))

          1-10 µg/mL
          -

          免疫细胞化学 (ICC/IF)

          -
          查看1篇已发表文章 1篇已发表文章

          染色质免疫沉淀 实验 (ChIP)

          -
          查看1篇已发表文章 1篇已发表文章
          产品规格

          种属反应

          Human

          已发表种属

          Human

          宿主/亚型

          Armenian hamster / IgG

          分类

          Monoclonal

          类型

          Antibody

          克隆号

          13E9

          偶联物

          Unconjugated Unconjugated Unconjugated
          • eFluor 660
          • Request custom conjugation

          形式

          Liquid

          浓度

          0.5 mg/mL

          规格

          100 µg

          纯化类型

          Affinity chromatography

          保存液

          PBS, pH 7.2

          内含物

          0.09% sodium azide

          保存条件

          4°C

          运输条件

          Ambient (domestic); Wet ice (international)

          RRID

          AB_2043856

          产品详细信息

          Description: This monoclonal antibody reacts with human Leukemia/lymphoma-related factor (LRF). This 65-kDa protein is also known as POKEMON, FBI-1, and Zbtb7a. LRF is a member of the POK family of transcriptional repressors, and is expressed in hematopoietic stem cells, T and B lymphocytes, macrophages, and erythroid cells. This protein is also highly expressed in human non-Hodgkin's lymphoma tissues and diffuse large B-cell lymphomas, demonstrating its prominent role in oncogenic transformation. Studies have demonstrated that LRF is also involved in B cell lineage commitment and development by opposing Notch signaling. Moreover, LRF is critical for erythroid terminal differentiation in the bone marrow by inhibiting Bim-mediated apoptosis. Finally, LRF interacts with Bcl-6 in germinal center B cells.

          Applications Reported: This 13E9 antibody has been reported for use in immunoblotting (WB) and immunohistochemical staining of formalin-fixed paraffin embedded tissue sections.

          Applications Tested: This 13E9 antibody has been tested by western blot analysis of the A20 cell line and by immunohistochemical staining of formalin-fixed paraffin embedded human tonsil tissue. This can be used at 1-10 µg/mL. It is recommended that the antibody be carefully titrated for optimal performance in the assay of interest.

          Purity: Greater than 90%, as determined by SDS-PAGE.

          Aggregation: Less than 10%, as determined by HPLC.

          Filtration: 0.2 µm post-manufacturing filtered.

          靶标信息

          Plays a key role in the instruction of early lymphoid progenitors to develop into B lineage by repressing T-cell instructive Notch signals. Specifically represses the transcription of the CDKN2A gene. Efficiently abrogates E2F1-dependent CDKN2A transactivation/de-repression. Binds to the consensus sequence 5'-[GA][CA]GACCCCCCCCC-3'.

          仅用于科研。不用于诊断过程。未经明确授权不得转售。

          生物信息学

          蛋白别名: DKFZp547O146; Factor binding IST protein 1; Factor that binds to inducer of short transcripts protein 1; FBI-1; FBI-1; POZ domain protein; HIV-1 1st-binding protein 1; HIV-1 inducer of short transcripts binding protein; Leukemia/lymphoma-related factor; lymphoma related factor; MGC99631; POK erythroid myeloid ontogenic factor; pokemon 1; POZ and Krueppel erythroid myeloid ontogenic factor; TIP21; TTF-I-interacting peptide 21; zi; zinc finger and BTB domain containing 7A, HIV-1 inducer of short transcripts binding protein; Zinc finger and BTB domain-containing protein 7A; Zinc finger protein 857A

          查看更多 收起

          基因别名: FBI-1; FBI1; LRF; MNDLFH; pokemon; TIP21; ZBTB7; ZBTB7A; ZNF857A

          查看更多 收起

          UniProt ID: (Human) O95365

          查看更多 收起

          Entrez Gene ID: (Human) 51341

          查看更多 收起

          功能
          RNA polymerase II core promoter proximal region sequence-specific DNA binding RNA polymerase II transcription factor activity, sequence-specific DNA binding transcription corepressor binding transcriptional repressor activity, RNA polymerase II transcription regulatory region sequence-specific binding DNA binding transcription factor activity, sequence-specific DNA binding protein binding zinc ion binding histone acetyltransferase binding sequence-specific DNA binding SMAD binding metal ion binding androgen receptor binding DNA-binding transcription factor binding sequence-specific double-stranded DNA binding
          参与通路
          negative regulation of transcription from RNA polymerase II promoter regulation of alternative mRNA splicing, via spliceosome regulation of glycolytic process chromatin organization chromatin remodeling transcription, DNA-templated regulation of transcription from RNA polymerase II promoter cell differentiation B cell differentiation negative regulation of transforming growth factor beta receptor signaling pathway protein localization to nucleus regulation of apoptotic process erythrocyte maturation fat cell differentiation negative regulation of Notch signaling pathway negative regulation of transcription, DNA-templated regulation of sequence-specific DNA binding transcription factor activity positive regulation of NF-kappaB transcription factor activity negative regulation of androgen receptor signaling pathway double-strand break repair via classical nonhomologous end joining regulation of transcription regulatory region DNA binding
          It has to be done as per old AB suggested Products section.

          Disclaimer

          Close

          Clicking the images or links will redirect you to a website hosted by BenchSci that provides third-party scientific content. Neither the content nor the BenchSci technology and processes for selection have been evaluated by us; we are providing them as-is and without warranty of any kind, including for use or application of the Thermo Fisher Scientific products presented.

          guarantee_icon

          性能保障

          只要您发现Invitrogen抗体在实验中的表现与网站或说明书的所述内容不符,您即可享受免费退换货服务。*

          了解更多
          help_icon

          随时为您服务

          获取常见问题的专家解答,或者直接联系我们的技术专家,咨询应用、设备、常规产品使用问题。

          联系技术支持
          订购 Plus Icon Minus Icon
          • 订单状态查询
          • 订单支持
          • 货号直购
          • 现货供应中心
          • 电子采购
          支持 Plus Icon Minus Icon
          • 帮助&支持
          • 联系我们 - 400 820 8982
          • 技术支持中心
          • 查找文件&证书
          • 报告网站问题
          资源 Plus Icon Minus Icon
          • 学习中心
          • 促销
          • 活动&研讨会
          • 社交媒体
          关于赛默飞 Plus Icon Minus Icon
          • 关于我们
          • 招聘 招聘
          • 投资者关系 投资者关系
          • 新闻 新闻
          • 社会责任 社会责任
          • 商标
          • 政策和通知
          品牌 Plus Icon Minus Icon
          • Thermo Scientific
          • Applied Biosystems
          • Invitrogen
          • Gibco
          • Ion Torrent
          • Unity Lab Services
          • Patheon
          • PPD
          • 服务条款
          • 隐私政策
          • 定价和运输保险政策
          © 2006-2026 Thermo Fisher Scientific Inc. All rights reserved. All trademarks are the property of Thermo Fisher Scientific and its subsidiaries unless otherwise specified.
          China flag icon
          China
          本网站销售的所有产品均不得用于人类或动物之临床诊断或治疗,仅可用于工业或者科研等非医疗目的。
             电子营业执照 | 经营证照公示 | ICP备案号:沪ICP备11003924号 | 沪公网安备 31011502006935号

          Your items have has been added!


          Host server : magellan-search-green-6479c7f679-v472f:80/100.66.78.195:80.
          git-commit: b70c0dceb888abc3b0dcebb5bc3a5b8753e7e816
          git-url: https://github.com/thermofisher/magellan-search
          git-branch: release/2.50.0-Offline