Hamburger Menu Button
Thermo Fisher Scientific Logo
登录
没有账号?建立账号 注册
  • 产品
    • 抗体
    • 引物合成
    • GeneArt Gene Synthesis Instant Designer
    • TaqMan Assay and Array Search
    • PCR 设备和耗材
    • 色谱柱和纯化柱
    • 实验室离心机
    • 分子生物学试剂和试剂盒
    • 实验室塑料耗材及用品
    • 查看所有产品分类
  • 应用和技术
    • 色谱
    • 细胞转染和培养
    • 实时荧光定量PCR
    • 质谱
    • 实验室塑料耗材及用品
    • 电子显微镜
    • 蛋白质生物学
    • PCR
    • RNAi
    • 环境
    • 查看所有应用和技术
  • 服务
    • 定制服务
    • 企业级实验室信息化服务
    • 金融&租赁服务
    • 仪器服务
    • OEM和商业供应
    • 培训服务
    • 360° CDMO 和 CRO 服务
    • CDMO 服务
    • 临床试验 CRO 服务
    • Unity Lab Services
    • 查看所有帮助和支持
  • 帮助和支持
    • 学习中心
    • 联系我们
    • 更改国家或地区
    • 查看所有帮助和支持
  • 热门产品
    • TaqMan Real-Time PCR Assays
      TaqMan 实时荧光定量 PCR 试剂盒
    • Antibodies
      抗体
    • Oligos, Primers & Probes
      寡核苷酸、引物、探针
    • GeneArt Gene Synthesis
      GeneArt 基因合成
    • Cell Culture Plastics
      细胞培养耗材
  • Who We Serve
    • 抗体治疗解决方案
    • 细胞与基因治疗解决方案
    • 学术科研
    • 工业与应用
  • 联系我们
  • 货号直购
  • 订单查询
  • 查找文件&证书
Thermo Fisher Scientific Logo

Search

搜索全部或下列指定分类
Search button
          • 联系我们
          • 货号直购
          • 登录
            登录
            没有账号?建立账号 注册
            • 我的账号
            • 订单
            • 会员中心
            • 账单及发票查询
            • 定制产品及项目
          • Primary Antibodies ›
          • Presenilin 1 Antibodies

          Invitrogen

          Presenilin 1 Polyclonal Antibody

          2 篇参考文献
          查看其他30个Presenilin 1抗体

          {{$productOrderCtrl.translations['antibody.pdp.commerceCard.promotion.promotions']}}

          {{$productOrderCtrl.translations['antibody.pdp.commerceCard.promotion.viewpromo']}}

          {{$productOrderCtrl.translations['antibody.pdp.commerceCard.promotion.promocode']}}: {{promo.promoCode}} {{promo.promoTitle}} {{promo.promoDescription}}. {{$productOrderCtrl.translations['antibody.pdp.commerceCard.promotion.learnmore']}}

          说明书
          证书
          实验方案
          问题与答案
          技术支持
          说明书
          证书
          实验方案
          问题与答案
          技术支持
          说明书
          证书
          实验方案
          问题与答案
          技术支持

          Cite Presenilin 1 Polyclonal Antibody

          Additional Information:
          {{banner.description}}
          {{$ctrl.isSkuNotesCollapsed ? 'View more' : 'View less'}}
          • 抗体检测数据 (5)
          Presenilin 1 Antibody in Immunocytochemistry (ICC/IF)
          Group 53 Created with Sketch.
          Presenilin 1 Antibody in Immunocytochemistry (ICC/IF)
          Group 53 Created with Sketch.

          图: 1 / 5

          {{ $ctrl.currentElement.advancedVerification.fullName }}
          {{ $ctrl.currentElement.advancedVerification.text }}

          Presenilin 1 Antibody (PA5-20376) in ICC/IF

          Immunofluorescence of Presenilin1 in Human Brain cells with Presenilin 1 Polyclonal Antibody (Product # PA5-20376) at 20 µg/mL. {{ $ctrl.currentElement.advancedVerification.fullName }} 验证信息 View more
          已发表图片由___提供 benchsci-logo
          PMID: {{$ctrl.currentElement.benchSciPubmedId}}
          查看产品

          {{$ctrl.videoDesc}}

          {{$ctrl.videoLongDesc}}

          Presenilin 1 Antibody in Immunocytochemistry (ICC/IF)
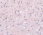
          Presenilin 1 Antibody in Immunohistochemistry (IHC)
          Presenilin 1 Antibody in Western Blot (WB)
          Presenilin 1 Antibody in Western Blot (WB)
          Presenilin 1 Antibody in Western Blot (WB)
          Presenilin 1 Polyclonal Antibody

          产品信息

          PA5-20376

          应用
          建议稀释比
          已发表文章

          免疫印迹 (WB)

          0.5-2 µg/mL
          查看2篇已发表文章 2篇已发表文章

          免疫组化 (IHC)

          2.5 µg/mL
          -

          免疫细胞化学 (ICC/IF)

          20 µg/mL
          -
          产品规格

          种属反应

          Human, Mouse, Rat

          已发表种属

          Human, Mouse

          宿主/亚型

          Rabbit / IgG

          分类

          Polyclonal

          类型

          Antibody

          抗原

          A 23 amino acid peptide from near the carboxy terminus of human presenilin1.
          3D表位/免疫原

          偶联物

          Unconjugated Unconjugated Unconjugated

          形式

          Liquid

          浓度

          1 mg/mL

          规格

          100 µg

          纯化类型

          Antigen affinity chromatography

          保存液

          PBS

          内含物

          0.02% sodium azide

          保存条件

          Maintain refrigerated at 2-8°C for up to 3 months. For long term storage store at -20°C

          运输条件

          Ambient (domestic); Wet ice (international)

          RRID

          AB_11152496

          产品详细信息

          A suggested positive control is human brain tissue lysate.

          PA5-20376 can be used with blocking peptide PEP-0493.

          靶标信息

          Presenilin1 was initially identified a marker of susceptibility to early-onset Alzheimer's disease. In addition to PEN2, nicastrin and APH-1, Presenilin1 forms the -gamma-secretase protein complex, a membrane-bound aspartyl protease that can cleave certain proteins at peptide bonds buried within the hydrophobic environment of the lipid bilayer. This cleavage is responsible for a key step in signaling from several cell-surface receptors and is thought to be required for the generation of the neurotoxic amyloid peptides that are central to the pathogenesis of Alzheimer's disease. Like the tumor necrosis factor-alpha-converting enzyme (TACE) and the beta-site cleavage enzyme (BACE) protease families, -gamma-secretase will cleave the amyloid precursor protein (APP), but within the intramembrane region of APP, resulting in either the non-toxic p3 (from the alpha and -gamma cleavage site) or the toxic Abeta amyloid peptide (from the beta and -gamma cleavage site). It is thought that accumulation of the Abeta peptide is the precursor to Alzheimer's disease. Multiple isoforms of presenilin1 are known to exist.

          仅用于科研。不用于诊断过程。未经明确授权不得转售。

          生物信息学

          蛋白别名: Alzheimer Disease 3; familial Alzheimer Disease; Minilin; Presenilin-1; presenilin1; Protein S182; PS-1; S182; S182 protein; Senilin 1; unnamed protein product

          查看更多 收起

          基因别名: ACNINV3; AD3; Ad3h; CMD1U; FAD; PS-1; PS1; PSEN1; PSNL1; S182

          查看更多 收起

          UniProt ID: (Human) P49768, (Rat) P97887, (Mouse) P49769

          查看更多 收起

          Entrez Gene ID: (Human) 5663, (Rat) 29192, (Mouse) 19164

          查看更多 收起

          功能
          endopeptidase activity aspartic-type endopeptidase activity calcium channel activity protein binding beta-catenin binding peptidase activity hydrolase activity PDZ domain binding aspartic endopeptidase activity, intramembrane cleaving cadherin binding ATPase binding growth factor receptor binding aspartic protease
          参与通路
          autophagosome assembly negative regulation of transcription from RNA polymerase II promoter blood vessel development cell fate specification somitogenesis neuron migration positive regulation of receptor recycling heart looping positive regulation of L-glutamate transport hematopoietic progenitor cell differentiation astrocyte activation involved in immune response T cell activation involved in immune response myeloid leukocyte differentiation neural retina development protein glycosylation proteolysis membrane protein ectodomain proteolysis mitochondrial transport cellular calcium ion homeostasis autophagy apoptotic process cellular response to DNA damage stimulus response to oxidative stress cell adhesion Notch signaling pathway Notch receptor processing brain development heart development learning or memory memory post-embryonic development gene expression regulation of gene expression positive regulation of gene expression negative regulation of gene expression regulation of neuron projection development protein transport choline transport synaptic vesicle targeting protein processing cerebellum development cerebral cortex cell migration Cajal-Retzius cell differentiation dorsal/ventral neural tube patterning cerebral cortex development neurogenesis neuron differentiation embryonic limb morphogenesis forebrain development positive regulation of proteasomal ubiquitin-dependent protein catabolic process endoplasmic reticulum calcium ion homeostasis positive regulation of tumor necrosis factor production beta-amyloid formation segmentation intracellular signal transduction locomotion negative regulation of epidermal growth factor receptor signaling pathway positive regulation of protein import into nucleus regulation of phosphorylation amyloid precursor protein metabolic process amyloid precursor protein catabolic process myeloid dendritic cell differentiation positive regulation of apoptotic process negative regulation of apoptotic process negative regulation of neuron apoptotic process skin morphogenesis positive regulation of glycolytic process positive regulation of transcription, DNA-templated astrocyte activation regulation of synaptic plasticity thymus development neuron development skeletal system morphogenesis brain morphogenesis beta-amyloid metabolic process epithelial cell proliferation negative regulation of axonogenesis synapse organization positive regulation of coagulation T cell receptor signaling pathway sequestering of calcium ion neuron apoptotic process smooth endoplasmic reticulum calcium ion homeostasis protein maturation regulation of synaptic transmission, glutamatergic calcium ion homeostasis regulation of resting membrane potential regulation of canonical Wnt signaling pathway positive regulation of dendritic spine development neuron cellular homeostasis calcium ion transmembrane transport apoptotic signaling pathway cell-cell adhesion regulation of synaptic vesicle cycle L-glutamate import across plasma membrane regulation of postsynapse organization protein catabolic process at postsynapse cellular response to beta-amyloid negative regulation of core promoter binding positive regulation of amyloid fibril formation neuron projection maintenance negative regulation of protein ubiquitination involved in ubiquitin-dependent protein catabolic process negative regulation of apoptotic signaling pathway activation of MAPKK activity negative regulation of protein phosphorylation positive regulation of protein phosphorylation negative regulation of protein kinase activity calcium ion transport negative regulation of epidermal growth factor-activated receptor activity regulation of epidermal growth factor-activated receptor activity L-glutamate transport single organismal cell-cell adhesion eye photoreceptor cell development positive regulation of catalytic activity regulation of protein binding positive regulation of MAP kinase activity cellular protein metabolic process positive regulation of protein kinase activity negative regulation of ubiquitin-protein transferase activity canonical Wnt signaling pathway embryo development anagen
          It has to be done as per old AB suggested Products section.

          Disclaimer

          Close

          Clicking the images or links will redirect you to a website hosted by BenchSci that provides third-party scientific content. Neither the content nor the BenchSci technology and processes for selection have been evaluated by us; we are providing them as-is and without warranty of any kind, including for use or application of the Thermo Fisher Scientific products presented.

          guarantee_icon

          性能保障

          只要您发现Invitrogen抗体在实验中的表现与网站或说明书的所述内容不符,您即可享受免费退换货服务。*

          了解更多
          help_icon

          随时为您服务

          获取常见问题的专家解答,或者直接联系我们的技术专家,咨询应用、设备、常规产品使用问题。

          联系技术支持
          订购 Plus Icon Minus Icon
          • 订单状态查询
          • 订单支持
          • 货号直购
          • 现货供应中心
          • 电子采购
          支持 Plus Icon Minus Icon
          • 帮助&支持
          • 联系我们 - 400 820 8982
          • 技术支持中心
          • 查找文件&证书
          • 报告网站问题
          资源 Plus Icon Minus Icon
          • 学习中心
          • 促销
          • 活动&研讨会
          • 社交媒体
          关于赛默飞 Plus Icon Minus Icon
          • 关于我们
          • 招聘 招聘
          • 投资者关系 投资者关系
          • 新闻 新闻
          • 社会责任 社会责任
          • 商标
          • 政策和通知
          品牌 Plus Icon Minus Icon
          • Thermo Scientific
          • Applied Biosystems
          • Invitrogen
          • Gibco
          • Ion Torrent
          • Unity Lab Services
          • Patheon
          • PPD
          • 服务条款
          • 隐私政策
          • 定价和运输保险政策
          © 2006-2026 Thermo Fisher Scientific Inc. All rights reserved. All trademarks are the property of Thermo Fisher Scientific and its subsidiaries unless otherwise specified.
          China flag icon
          China
          本网站销售的所有产品均不得用于人类或动物之临床诊断或治疗,仅可用于工业或者科研等非医疗目的。
             电子营业执照 | 经营证照公示 | ICP备案号:沪ICP备11003924号 | 沪公网安备 31011502006935号

          Your items have has been added!


          Host server : magellan-search-green-6479c7f679-46l5g:80/100.66.76.236:80.
          git-commit: b70c0dceb888abc3b0dcebb5bc3a5b8753e7e816
          git-url: https://github.com/thermofisher/magellan-search
          git-branch: release/2.50.0-Offline