Hamburger Menu Button
Thermo Fisher Scientific Logo
登录
没有账号?建立账号 注册
  • 产品
    • 抗体
    • 引物合成
    • GeneArt Gene Synthesis Instant Designer
    • TaqMan Assay and Array Search
    • PCR 设备和耗材
    • 色谱柱和纯化柱
    • 实验室离心机
    • 分子生物学试剂和试剂盒
    • 实验室塑料耗材及用品
    • 查看所有产品分类
  • 应用和技术
    • 色谱
    • 细胞转染和培养
    • 实时荧光定量PCR
    • 质谱
    • 实验室塑料耗材及用品
    • 电子显微镜
    • 蛋白质生物学
    • PCR
    • RNAi
    • 环境
    • 查看所有应用和技术
  • 服务
    • 定制服务
    • 企业级实验室信息化服务
    • 金融&租赁服务
    • 仪器服务
    • OEM和商业供应
    • 培训服务
    • 360° CDMO 和 CRO 服务
    • CDMO 服务
    • 临床试验 CRO 服务
    • Unity Lab Services
    • 查看所有帮助和支持
  • 帮助和支持
    • 学习中心
    • 联系我们
    • 更改国家或地区
    • 查看所有帮助和支持
  • 热门产品
    • TaqMan Real-Time PCR Assays
      TaqMan 实时荧光定量 PCR 试剂盒
    • Antibodies
      抗体
    • Oligos, Primers & Probes
      寡核苷酸、引物、探针
    • GeneArt Gene Synthesis
      GeneArt 基因合成
    • Cell Culture Plastics
      细胞培养耗材
  • Who We Serve
    • 抗体治疗解决方案
    • 细胞与基因治疗解决方案
    • 学术科研
    • 工业与应用
  • 联系我们
  • 货号直购
  • 订单查询
  • 查找文件&证书
Thermo Fisher Scientific Logo

Search

搜索全部或下列指定分类
Search button
          • 联系我们
          • 货号直购
          • 登录
            登录
            没有账号?建立账号 注册
            • 我的账号
            • 订单
            • 会员中心
            • 账单及发票查询
            • 定制产品及项目
          • Primary Antibodies ›
          • Prohibitin Antibodies

          Invitrogen

          Prohibitin Polyclonal Antibody

          查看其他53个Prohibitin抗体

          {{$productOrderCtrl.translations['antibody.pdp.commerceCard.promotion.promotions']}}

          {{$productOrderCtrl.translations['antibody.pdp.commerceCard.promotion.viewpromo']}}

          {{$productOrderCtrl.translations['antibody.pdp.commerceCard.promotion.promocode']}}: {{promo.promoCode}} {{promo.promoTitle}} {{promo.promoDescription}}. {{$productOrderCtrl.translations['antibody.pdp.commerceCard.promotion.learnmore']}}

          说明书
          证书
          实验方案
          问题与答案
          技术支持
          说明书
          证书
          实验方案
          问题与答案
          技术支持
          说明书
          证书
          实验方案
          问题与答案
          技术支持

          Cite Prohibitin Polyclonal Antibody

          Additional Information:
          {{banner.description}}
          {{$ctrl.isSkuNotesCollapsed ? 'View more' : 'View less'}}
          • 抗体检测数据 (8)
          Prohibitin Antibody in Immunohistochemistry (Paraffin) (IHC (P))
          Group 53 Created with Sketch.
          Prohibitin Antibody in Immunohistochemistry (Paraffin) (IHC (P))
          Group 53 Created with Sketch.

          图: 1 / 8

          {{ $ctrl.currentElement.advancedVerification.fullName }}
          {{ $ctrl.currentElement.advancedVerification.text }}

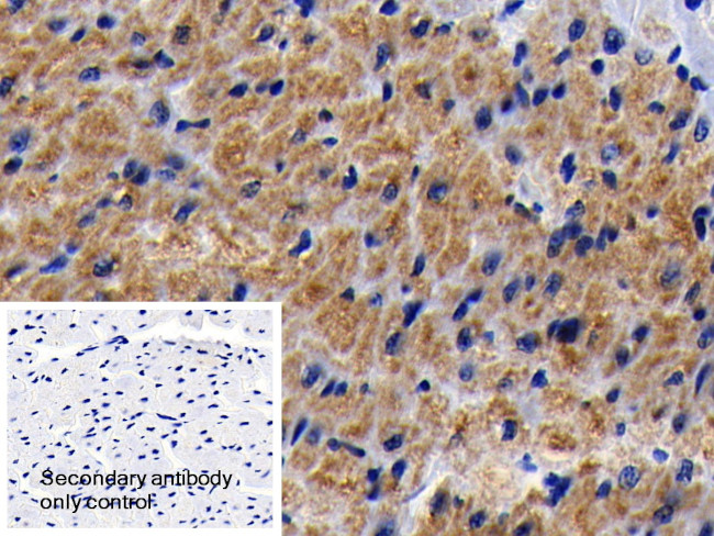
          Prohibitin Antibody (PA5-145475) in IHC (P)

          Immunohistochemistry (Paraffin) analysis of Prohibitin in human cardiac muscle tissue using Prohibitin Polyclonal Antibody (Product # PA5-145475) (10 µg/mL) and using PBS intead of the primary antibody as a control. The sample was then stained with HRP-Goat anti-Rabbit IgG polyclonal secondary antibody (2 µg/mL). DAB staining. {{ $ctrl.currentElement.advancedVerification.fullName }} 验证信息 View more
          已发表图片由___提供 benchsci-logo
          PMID: {{$ctrl.currentElement.benchSciPubmedId}}
          查看产品

          {{$ctrl.videoDesc}}

          {{$ctrl.videoLongDesc}}

          Prohibitin Antibody in Immunohistochemistry (Paraffin) (IHC (P))
          Prohibitin Antibody in Immunohistochemistry (Paraffin) (IHC (P))
          Prohibitin Antibody in Immunohistochemistry (Paraffin) (IHC (P))
          Prohibitin Antibody in Immunohistochemistry (Paraffin) (IHC (P))
          Prohibitin Antibody in Immunohistochemistry (Paraffin) (IHC (P))
          Prohibitin Antibody in Immunohistochemistry (Paraffin) (IHC (P))
          Prohibitin Antibody in Immunohistochemistry (Paraffin) (IHC (P))
          Prohibitin Antibody in Western Blot (WB)
          Prohibitin Polyclonal Antibody

          产品信息

          PA5-145475

          应用
          建议稀释比
          已发表文章

          免疫印迹 (WB)

          0.01-2 µg/mL
          -

          免疫组化(石蜡) (IHC (P))

          5-20 µg/mL
          -
          产品规格

          种属反应

          Human, Mouse, Pig, Rat

          宿主/亚型

          Rabbit / IgG

          分类

          Polyclonal

          类型

          Antibody

          抗原

          Recombinant Human PHB protein, Met1-Gln272 (Accession #P35232)
          3D表位/免疫原

          偶联物

          Unconjugated Unconjugated Unconjugated

          形式

          Liquid

          浓度

          0.5 mg/mL

          规格

          100 µg

          纯化类型

          Antigen affinity chromatography, Protein A

          保存液

          PBS, pH 7.4, with 50% glycerol

          内含物

          0.05% Proclin 300

          保存条件

          Store at 4°C short term. For long term storage, store at -20°C, avoiding freeze/thaw cycles.

          运输条件

          Ambient (domestic); Wet ice (international)

          RRID

          AB_3094073

          靶标信息

          Prohibitin is from an evolutionarily conserved gene that is ubiquitously expressed. It is thought to be a negative regulator of cell proliferation and may be a tumor suppressor. Mutations in PHB have been linked to sporadic breast cancer. Prohibitin is expressed as two transcripts with varying lengths of 3' untranslated region. The longer transcript is present at higher levels in proliferating tissues and cells, suggesting that this longer 3' untranslated region may function as a trans-acting regulatory RNA.

          仅用于科研。不用于诊断过程。未经明确授权不得转售。

          篇参考文献 (0)

          您是否在文献中引用过该产品?请点击下方按钮邮件告知我们。
          引用该产品

          生物信息学

          蛋白别名: B-cell receptor-associated protein 32; BAP 32; epididymis luminal protein 215; epididymis secretory sperm binding protein Li 54e; gastric cancer susceptibility protein; OTTHUMP00000165765; OTTHUMP00000165766; OTTHUMP00000220103; OTTHUMP00000220170; OTTHUMP00000220171; PHB; prohibitin; Prohibitin 1; unnamed protein product

          查看更多 收起

          基因别名: BAP32; HEL-215; HEL-S-54e; PHB; PHB1

          查看更多 收起

          UniProt ID: (Human) P35232, (Mouse) P67778, (Rat) P67779

          查看更多 收起

          Entrez Gene ID: (Pig) 100524707, (Human) 5245, (Mouse) 18673, (Rat) 25344

          查看更多 收起

          功能
          complement component C3a binding complement component C3b binding transcription corepressor activity protein binding enzyme binding proteinase activated receptor binding histone deacetylase binding protein heterodimerization activity RNA polymerase II transcription factor activity, sequence-specific DNA binding protein C-terminus binding transcription regulatory region DNA binding molecular_function
          参与通路
          negative regulation of transcription from RNA polymerase II promoter osteoblast differentiation regulation of transcription, DNA-templated transcription from RNA polymerase II promoter mitochondrion organization negative regulation of cell proliferation negative regulation of transcription by competitive promoter binding histone deacetylation negative regulation of cell growth negative regulation of protein catabolic process negative regulation of apoptotic process positive regulation of G-protein coupled receptor protein signaling pathway negative regulation of transcription, DNA-templated positive regulation of transcription, DNA-templated positive regulation of complement activation protein stabilization progesterone receptor signaling pathway negative regulation of androgen receptor signaling pathway negative regulation of ERK1 and ERK2 cascade positive regulation of ERK1 and ERK2 cascade cellular response to interleukin-6 DNA biosynthetic process negative regulation of glucocorticoid receptor signaling pathway ovarian follicle development ovarian follicle atresia organ regeneration response to cytokine response to immobilization stress response to drug response to peptide hormone response to ethanol positive regulation of immunoglobulin production signal transduction positive regulation of gene expression positive regulation of interleukin-17 production RIG-I signaling pathway regulation of gene expression, epigenetic B cell activation regulation of apoptotic process positive regulation of neuron apoptotic process modulation by host of viral RNA genome replication viral entry into host cell positive regulation of smooth muscle cell proliferation positive regulation of protein kinase B signaling T-helper 17 type immune response antiviral innate immune response positive regulation of NIK/NF-kappaB signaling
          It has to be done as per old AB suggested Products section.

          Disclaimer

          Close

          Clicking the images or links will redirect you to a website hosted by BenchSci that provides third-party scientific content. Neither the content nor the BenchSci technology and processes for selection have been evaluated by us; we are providing them as-is and without warranty of any kind, including for use or application of the Thermo Fisher Scientific products presented.

          guarantee_icon

          性能保障

          只要您发现Invitrogen抗体在实验中的表现与网站或说明书的所述内容不符,您即可享受免费退换货服务。*

          了解更多
          help_icon

          随时为您服务

          获取常见问题的专家解答,或者直接联系我们的技术专家,咨询应用、设备、常规产品使用问题。

          联系技术支持
          订购 Plus Icon Minus Icon
          • 订单状态查询
          • 订单支持
          • 货号直购
          • 现货供应中心
          • 电子采购
          支持 Plus Icon Minus Icon
          • 帮助&支持
          • 联系我们 - 400 820 8982
          • 技术支持中心
          • 查找文件&证书
          • 报告网站问题
          资源 Plus Icon Minus Icon
          • 学习中心
          • 促销
          • 活动&研讨会
          • 社交媒体
          关于赛默飞 Plus Icon Minus Icon
          • 关于我们
          • 招聘 招聘
          • 投资者关系 投资者关系
          • 新闻 新闻
          • 社会责任 社会责任
          • 商标
          • 政策和通知
          品牌 Plus Icon Minus Icon
          • Thermo Scientific
          • Applied Biosystems
          • Invitrogen
          • Gibco
          • Ion Torrent
          • Unity Lab Services
          • Patheon
          • PPD
          • 服务条款
          • 隐私政策
          • 定价和运输保险政策
          © 2006-2026 Thermo Fisher Scientific Inc. All rights reserved. All trademarks are the property of Thermo Fisher Scientific and its subsidiaries unless otherwise specified.
          China flag icon
          China
          本网站销售的所有产品均不得用于人类或动物之临床诊断或治疗,仅可用于工业或者科研等非医疗目的。
             电子营业执照 | 经营证照公示 | ICP备案号:沪ICP备11003924号 | 沪公网安备 31011502006935号

          Your items have has been added!


          Host server : magellan-search-blue-7c59b9b899-7wltc:80/100.66.72.81:80.
          git-commit: 8ef7cf686e3c81d28b13492708ce56d167b2f995
          git-url: https://github.com/thermofisher/magellan-search
          git-branch: release/2.49.0-Offline