Hamburger Menu Button
Thermo Fisher Scientific Logo
登录
没有账号?建立账号 注册
  • 产品
    • 抗体
    • 引物合成
    • GeneArt Gene Synthesis Instant Designer
    • TaqMan Assay and Array Search
    • PCR 设备和耗材
    • 色谱柱和纯化柱
    • 实验室离心机
    • 分子生物学试剂和试剂盒
    • 实验室塑料耗材及用品
    • 查看所有产品分类
  • 应用和技术
    • 色谱
    • 细胞转染和培养
    • 实时荧光定量PCR
    • 质谱
    • 实验室塑料耗材及用品
    • 电子显微镜
    • 蛋白质生物学
    • PCR
    • RNAi
    • 环境
    • 查看所有应用和技术
  • 服务
    • 定制服务
    • 企业级实验室信息化服务
    • 金融&租赁服务
    • 仪器服务
    • OEM和商业供应
    • 培训服务
    • 360° CDMO 和 CRO 服务
    • CDMO 服务
    • 临床试验 CRO 服务
    • Unity Lab Services
    • 查看所有帮助和支持
  • 帮助和支持
    • 学习中心
    • 联系我们
    • 更改国家或地区
    • 查看所有帮助和支持
  • 热门产品
    • TaqMan Real-Time PCR Assays
      TaqMan 实时荧光定量 PCR 试剂盒
    • Antibodies
      抗体
    • Oligos, Primers & Probes
      寡核苷酸、引物、探针
    • GeneArt Gene Synthesis
      GeneArt 基因合成
    • Cell Culture Plastics
      细胞培养耗材
  • Who We Serve
    • 抗体治疗解决方案
    • 细胞与基因治疗解决方案
    • 学术科研
    • 工业与应用
  • 联系我们
  • 货号直购
  • 订单查询
  • 查找文件&证书
Thermo Fisher Scientific Logo

Search

搜索全部或下列指定分类
Search button
          • 联系我们
          • 货号直购
          • 登录
            登录
            没有账号?建立账号 注册
            • 我的账号
            • 订单
            • 会员中心
            • 账单及发票查询
            • 定制产品及项目
          • Primary Antibodies ›
          • RAB11A Antibodies

          Invitrogen

          RAB11A Monoclonal Antibody (4H9)

          查看其他13个RAB11A抗体

          {{$productOrderCtrl.translations['antibody.pdp.commerceCard.promotion.promotions']}}

          {{$productOrderCtrl.translations['antibody.pdp.commerceCard.promotion.viewpromo']}}

          {{$productOrderCtrl.translations['antibody.pdp.commerceCard.promotion.promocode']}}: {{promo.promoCode}} {{promo.promoTitle}} {{promo.promoDescription}}. {{$productOrderCtrl.translations['antibody.pdp.commerceCard.promotion.learnmore']}}

          说明书
          证书
          实验方案
          问题与答案
          技术支持
          说明书
          证书
          实验方案
          问题与答案
          技术支持
          说明书
          证书
          实验方案
          问题与答案
          技术支持

          Cite RAB11A Monoclonal Antibody (4H9)

          Additional Information:
          {{banner.description}}
          {{$ctrl.isSkuNotesCollapsed ? 'View more' : 'View less'}}
          • 抗体检测数据 (11)
          RAB11A Antibody in Immunocytochemistry (ICC/IF)
          Group 53 Created with Sketch.
          RAB11A Antibody in Immunocytochemistry (ICC/IF)
          Group 53 Created with Sketch.

          图: 1 / 11

          {{ $ctrl.currentElement.advancedVerification.fullName }}
          {{ $ctrl.currentElement.advancedVerification.text }}

          RAB11A Antibody (MA5-49197) in ICC/IF

          Immunocytochemistry analysis of RAB11A in T-47D cells. Enzyme antigen retrieval was performed using IHC enzyme antigen retrieval reagent for 15 mins. The cells were blocked with 10% goat serum. Samples were then incubated in RAB11A Monoclonal antibody (Product # MA5-49197) using a dilution of 5 μg/mL. DyLight®488 Conjugated Goat Anti-Mouse IgG was used as secondary antibody at 1:100 dilution and incubated for 30 minutes at 37°C. The section was counterstained with DAPI. Visualize using a fluorescence microscope and filter sets appropriate ... View More {{ $ctrl.currentElement.advancedVerification.fullName }} 验证信息 View more
          已发表图片由___提供 benchsci-logo
          PMID: {{$ctrl.currentElement.benchSciPubmedId}}
          查看产品

          {{$ctrl.videoDesc}}

          {{$ctrl.videoLongDesc}}

          RAB11A Antibody in Immunocytochemistry (ICC/IF)
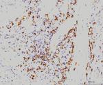
          RAB11A Antibody in Immunohistochemistry (Paraffin) (IHC (P))
          RAB11A Antibody in Immunohistochemistry (Paraffin) (IHC (P))
          RAB11A Antibody in Immunohistochemistry (Paraffin) (IHC (P))
          RAB11A Antibody in Western Blot (WB)
          RAB11A Antibody in Flow Cytometry (Flow)
          RAB11A Antibody in Flow Cytometry (Flow)
          RAB11A Antibody in Flow Cytometry (Flow)
          RAB11A Antibody in Flow Cytometry (Flow)
          RAB11A Antibody in Flow Cytometry (Flow)
          RAB11A Antibody in Flow Cytometry (Flow)
          RAB11A Monoclonal Antibody (4H9)

          产品信息

          MA5-49197

          应用
          建议稀释比
          已发表文章

          免疫印迹 (WB)

          0.25-0.5 µg/mL
          -

          免疫组化(石蜡) (IHC (P))

          2-5 µg/mL
          -

          免疫细胞化学 (ICC/IF)

          5 µg/mL
          -

          流式细胞分析 (Flow)

          1-3 µg/1x10^6 cells
          -
          产品规格

          种属反应

          Human, Mouse, Rat

          宿主/亚型

          Mouse / IgG2b

          分类

          Monoclonal

          类型

          Antibody

          克隆号

          4H9

          抗原

          A synthetic peptide corresponding to a sequence at the C-terminus of human Rab11A (171-211aa EIYRIVSQKQMSDRRENDMSPSNNVVPIHVPPTTENKPKVQ).
          3D表位/免疫原

          偶联物

          Unconjugated Unconjugated Unconjugated

          形式

          Lyophilized

          浓度

          500 µg/mL

          规格

          100 µg

          纯化类型

          Antigen affinity chromatography

          保存液

          PBS with 4mg trehalose

          内含物

          no preservative

          保存条件

          -20°C

          运输条件

          Ambient (domestic); Wet ice (international)

          RRID

          AB_3074855

          产品详细信息

          Adding 0.2 mL of distilled water will yield a concentration of 500 µg/mL.

          Immunogen sequence is identical to the related mouse and rat sequences.

          Positive Control - WB: human 293T whole cell, human SH-SY5Y whole cell, human MCF-7 whole cell, human Hela whole cell, rat brain tissue, rat PC-12 whole cell, mouse brain tissue, mouse Neuro-2a whole cell. IHC: human spleen tissue, human gastric carcinoma tissue, human placenta tissue. ICC/IF: T-47D cell. Flow: ANA-1 cell, RH35 cell, U937 cell.|Store at -20°C for one year from date of receipt. After reconstitution, at 4°C for one month. It can also be aliquotted and stored frozen at -20°C for six months. Avoid repeated freeze-thaw cycles.

          靶标信息

          Rab11A is a member of the YPT-1 subfamily of Ras-related GTP-binding proteins. Rab11A mRNA has been detected in a variety of tissues including brain, testis, spleen, heart, and gastrointestinal mucosa. In the gastric fundus the Rab11A protein is expressed in parietal cell tubulovesicles membranes. Expression of the Rab11A protein appears to occur in discrete epithelial cell populations where it localizes to apical vesicular populations. Recent studies have shown Rab11A is essential for resecretion of alpha-synuclein out of neuronal cells via endosome recycling and is required for exocytosis of discoidal/fusiform vesicles of bladder umbrella cells. Rab11A is also implicated in biogenesis of Birbeck granules and endosomal activation of the PI3K/AKT signaling pathway via G beta gamma trafficking.

          仅用于科研。不用于诊断过程。未经明确授权不得转售。

          篇参考文献 (0)

          您是否在文献中引用过该产品?请点击下方按钮邮件告知我们。
          引用该产品

          生物信息学

          蛋白别名: 24KG; GTPase; RAB 11A, member oncogene family; Rab-11; RAB11A; Ras-related protein Rab-11A; unnamed protein product; YL8

          查看更多 收起

          基因别名: RAB11; RAB11A; YL8

          查看更多 收起

          UniProt ID: (Human) P62491, (Rat) P62494, (Mouse) P62492

          查看更多 收起

          Entrez Gene ID: (Human) 8766, (Rat) 81830, (Mouse) 53869

          查看更多 收起

          功能
          nucleotide binding GTPase activity obsolete small monomeric GTPase activity protein binding GTP binding microtubule binding hydrolase activity syntaxin binding myosin V binding dynein light intermediate chain binding GDP binding
          参与通路
          intracellular protein transport exocytosis mitotic metaphase plate congression metabolic process positive regulation of epithelial cell migration regulation of multivesicular body size positive regulation of G2/M transition of mitotic cell cycle vesicle-mediated transport astral microtubule organization neuron projection development melanosome transport Rab protein signal transduction multivesicular body assembly positive regulation of axon extension regulation of long-term neuronal synaptic plasticity regulation of protein transport establishment of vesicle localization regulation of vesicle-mediated transport establishment of protein localization to organelle protein localization to plasma membrane establishment of protein localization to membrane mitotic spindle assembly exosomal secretion cytokinesis transport cell cycle small GTPase mediated signal transduction protein transport mitotic cytokinesis vesicle docking involved in exocytosis microtubule-based movement regulation of cytokinesis protein localization to cell surface Golgi to plasma membrane protein transport positive regulation of cilium assembly plasma membrane to endosome transport early endosome to recycling endosome transport protein localization to cilium protein transmembrane transport vesicle-mediated transport to the plasma membrane neurotransmitter receptor transport, endosome to postsynaptic membrane vesicle-mediated transport in synapse synaptic vesicle endosomal processing amyloid-beta clearance by transcytosis regulation of cilium assembly regulation of early endosome to recycling endosome transport positive regulation of protein localization to plasma membrane positive regulation of mitotic cytokinetic process regulation of protein localization to centrosome protein localization to cleavage furrow regulation of endocytic recycling
          It has to be done as per old AB suggested Products section.

          Disclaimer

          Close

          Clicking the images or links will redirect you to a website hosted by BenchSci that provides third-party scientific content. Neither the content nor the BenchSci technology and processes for selection have been evaluated by us; we are providing them as-is and without warranty of any kind, including for use or application of the Thermo Fisher Scientific products presented.

          guarantee_icon

          性能保障

          只要您发现Invitrogen抗体在实验中的表现与网站或说明书的所述内容不符,您即可享受免费退换货服务。*

          了解更多
          help_icon

          随时为您服务

          获取常见问题的专家解答,或者直接联系我们的技术专家,咨询应用、设备、常规产品使用问题。

          联系技术支持
          订购 Plus Icon Minus Icon
          • 订单状态查询
          • 订单支持
          • 货号直购
          • 现货供应中心
          • 电子采购
          支持 Plus Icon Minus Icon
          • 帮助&支持
          • 联系我们 - 400 820 8982
          • 技术支持中心
          • 查找文件&证书
          • 报告网站问题
          资源 Plus Icon Minus Icon
          • 学习中心
          • 促销
          • 活动&研讨会
          • 社交媒体
          关于赛默飞 Plus Icon Minus Icon
          • 关于我们
          • 招聘 招聘
          • 投资者关系 投资者关系
          • 新闻 新闻
          • 社会责任 社会责任
          • 商标
          • 政策和通知
          品牌 Plus Icon Minus Icon
          • Thermo Scientific
          • Applied Biosystems
          • Invitrogen
          • Gibco
          • Ion Torrent
          • Unity Lab Services
          • Patheon
          • PPD
          • 服务条款
          • 隐私政策
          • 定价和运输保险政策
          © 2006-2026 Thermo Fisher Scientific Inc. All rights reserved. All trademarks are the property of Thermo Fisher Scientific and its subsidiaries unless otherwise specified.
          China flag icon
          China
          本网站销售的所有产品均不得用于人类或动物之临床诊断或治疗,仅可用于工业或者科研等非医疗目的。
             电子营业执照 | 经营证照公示 | ICP备案号:沪ICP备11003924号 | 沪公网安备 31011502006935号

          Your items have has been added!


          Host server : magellan-search-green-6479c7f679-46l5g:80/100.66.76.236:80.
          git-commit: b70c0dceb888abc3b0dcebb5bc3a5b8753e7e816
          git-url: https://github.com/thermofisher/magellan-search
          git-branch: release/2.50.0-Offline