Hamburger Menu Button
Thermo Fisher Scientific Logo
登录
没有账号?建立账号 注册
  • 产品
    • 抗体
    • 引物合成
    • GeneArt Gene Synthesis Instant Designer
    • TaqMan Assay and Array Search
    • PCR 设备和耗材
    • 色谱柱和纯化柱
    • 实验室离心机
    • 分子生物学试剂和试剂盒
    • 实验室塑料耗材及用品
    • 查看所有产品分类
  • 应用和技术
    • 色谱
    • 细胞转染和培养
    • 实时荧光定量PCR
    • 质谱
    • 实验室塑料耗材及用品
    • 电子显微镜
    • 蛋白质生物学
    • PCR
    • RNAi
    • 环境
    • 查看所有应用和技术
  • 服务
    • 定制服务
    • 企业级实验室信息化服务
    • 企业服务
    • 金融&租赁服务
    • 仪器服务
    • OEM和商业供应
    • 培训服务
    • 360° CDMO 和 CRO 服务
    • CDMO 服务
    • 临床试验 CRO 服务
    • 查看所有帮助和支持
  • 帮助和支持
    • 学习中心
    • 联系我们
    • 更改国家或地区
    • 查看所有帮助和支持
  • 热门产品
    • TaqMan Real-Time PCR Assays
      TaqMan 实时荧光定量 PCR 试剂盒
    • Antibodies
      抗体
    • Oligos, Primers & Probes
      寡核苷酸、引物、探针
    • GeneArt Gene Synthesis
      GeneArt 基因合成
    • Cell Culture Plastics
      细胞培养耗材
  • 联系我们
  • 货号直购
  • 订单查询
  • 查找文件&证书
Thermo Fisher Scientific Logo

Search

搜索全部或下列指定分类
Search button
          • 联系我们
          • 货号直购
          • 登录
            登录
            没有账号?建立账号 注册
            • 我的账号
            • 订单
            • 账单及发票查询
            • 定制产品及项目

          Disclaimer

          Clicking the images or links will redirect you to a website hosted by BenchSci that provides third-party scientific content. Neither the content nor the BenchSci technology and processes for selection have been evaluated by us; we are providing them as-is and without warranty of any kind, including for use or application of the Thermo Fisher Scientific products presented.

          • Primary Antibodies ›
          • RACK1 Antibodies

          Invitrogen

          RACK1 Recombinant Rabbit Monoclonal Antibody (JG40-26)

          高级验证
          1 篇参考文献
          查看其他14个RACK1抗体

          {{$productOrderCtrl.translations['antibody.pdp.commerceCard.promotion.promotions']}}

          {{$productOrderCtrl.translations['antibody.pdp.commerceCard.promotion.viewpromo']}}

          {{$productOrderCtrl.translations['antibody.pdp.commerceCard.promotion.promocode']}}: {{promo.promoCode}} {{promo.promoTitle}} {{promo.promoDescription}}. {{$productOrderCtrl.translations['antibody.pdp.commerceCard.promotion.learnmore']}}

          说明书
          证书
          实验方案
          问题与答案
          技术支持
          说明书
          证书
          实验方案
          问题与答案
          技术支持
          说明书
          证书
          实验方案
          问题与答案
          技术支持

          Cite RACK1 Recombinant Rabbit Monoclonal Antibody (JG40-26)

          • 抗体检测数据 (10)
          • 高级验证 (1)
          RACK1 Antibody in Immunocytochemistry (ICC/IF)
          Group 53 Created with Sketch.
          RACK1 Antibody in Immunocytochemistry (ICC/IF)
          Group 53 Created with Sketch.

          图: 1 / 11

          {{ $ctrl.currentElement.advancedVerification.fullName }}
          {{ $ctrl.currentElement.advancedVerification.text }}

          RACK1 Antibody (MA5-34809) in ICC/IF

          Immunofluorescence analysis of RACK1 was performed using 70% confluent log phase HEK-293 cells. The cells were fixed with 4% paraformaldehyde for 10 minutes, permeabilized with 0.1% Triton™ X-100 for 10 minutes, and blocked with 2% BSA for 1 hour at room temperature. The cells were labeled with RACK1 Recombinant Rabbit Monoclonal Antibody (JG40-26) (Product # MA5-34809) at 1:100 in 0.1% BSA, incubated at 4 degree celsius overnight and then labeled with Goat anti-Rabbit IgG (Heavy Chain) Superclonal™ Recombinant Secondary Antibody, Alexa Fl... View More {{ $ctrl.currentElement.advancedVerification.fullName }} 验证信息 View more
          已发表图片由___提供 benchsci-logo
          PMID: {{$ctrl.currentElement.benchSciPubmedId}}
          查看产品

          {{$ctrl.videoDesc}}

          {{$ctrl.videoLongDesc}}

          RACK1 Antibody in Immunocytochemistry (ICC/IF)
          RACK1 Antibody in Immunocytochemistry (ICC/IF)
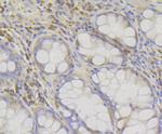
          RACK1 Antibody in Immunohistochemistry (Paraffin) (IHC (P))
          RACK1 Antibody in Immunohistochemistry (Paraffin) (IHC (P))
          RACK1 Antibody in Immunohistochemistry (Paraffin) (IHC (P))
          RACK1 Antibody in Immunohistochemistry (Paraffin) (IHC (P))
          RACK1 Antibody in Western Blot (WB)
          RACK1 Antibody in Western Blot (WB)
          RACK1 Antibody in Western Blot (WB)
          RACK1 Antibody in Flow Cytometry (Flow)
          RACK1 Antibody
          RACK1 Recombinant Rabbit Monoclonal Antibody (JG40-26)

          产品信息

          MA5-34809

          应用
          建议稀释比
          已发表文章

          免疫印迹 (WB)

          1:1,000-1:2,000
          查看1篇已发表文章 1篇已发表文章

          免疫组化(石蜡) (IHC (P))

          1:200-1:1,000
          -

          免疫细胞化学 (ICC/IF)

          1:100
          -

          流式细胞分析 (Flow)

          1:50-1:100
          -
          产品规格

          种属反应

          Human, Mouse, Rat

          已发表种属

          Human

          宿主/亚型

          Rabbit / IgG

          Expression System

          HEK293 cells

          分类

          Recombinant Monoclonal

          类型

          Antibody

          克隆号

          JG40-26

          抗原

          Recombinant protein within Human RACK1 aa 190-317.
          查看免疫原

          偶联物

          Unconjugated Unconjugated Unconjugated

          形式

          Liquid

          浓度

          1 mg/mL

          纯化类型

          Protein A

          保存液

          TBS, pH 7.4, with 40% glycerol, 0.05% BSA

          内含物

          0.05% sodium azide

          保存条件

          -20°C, Avoid Freeze/Thaw Cycles, store in dark

          运输条件

          Ambient (domestic); Wet ice (international)

          RRID

          AB_2848717

          产品详细信息

          Positive Control: SH-SY-5Y, rat small intestine tissue lysate, rat cerebellum tissue, rat liver tissue, human colon tissue, mouse skin tissue.

          靶标信息

          RACK1 (receptor for activated C kinase 1) was identified through its binding to various PKC isoforms. Its main function is to recruit PKC and various other proteins to specific locations to form multiprotein complexes, mediating various signal pathways. RACK1 is required for VANGL2 membrane localization and for PTK2/FAK1 phosphorylation and dephosphorylation.

          仅用于科研。不用于诊断过程。未经明确授权不得转售。

          生物信息学

          蛋白别名: 12-3; activated protein kinase C receptor; Cell proliferation-inducing gene 21 protein; guanine nucleotide binding protein (G protein) beta polypeptide 2-like 1; guanine nucleotide binding protein (G protein), beta polypeptide 2 like 1 sequence 1; guanine nucleotide binding protein (G protein), beta polypeptide 2-like 1; guanine nucleotide binding protein beta polypeptide 2-like 1; guanine nucleotide binding protein related; guanine nucleotide binding protein, beta 2, related sequence 1; guanine nucleotide binding protein, beta polypeptide 2-like 1; guanine nucleotide binding protein, beta-2, related sequence 1; Guanine nucleotide-binding protein subunit beta-2-like 1; Guanine nucleotide-binding protein subunit beta-like protein 12.3; HLC-7; Human lung cancer oncogene 7 protein; lung cancer oncogene 7; OTTHUMP00000223870; OTTHUMP00000223891; OTTHUMP00000223893; OTTHUMP00000223900; OTTHUMP00000223901; OTTHUMP00000223902; OTTHUMP00000223930; OTTHUMP00000223931; p205; proliferation-inducing gene 21; protein homologous to chicken B complex protein, guanine nucleotide binding; protein kinase C receptor; rack-1; Receptor for activated C kinase; receptor for activated protein kinase C; Receptor of activated protein C kinase 1; Receptor of activated protein kinase C 1; Small ribosomal subunit protein RACK1

          查看更多 收起

          基因别名: AL033335; GB-like; Gnb2-rs1; GNB2L1; H12.3; HLC-7; HLC7; p205; PIG21; RACK1

          查看更多 收起

          UniProt ID: (Rat) P63245, (Mouse) P68040, (Human) P63244

          查看更多 收起

          Entrez Gene ID: (Rat) 83427, (Mouse) 14694, (Human) 10399

          查看更多 收起

          功能
          protein kinase C binding ion channel inhibitor activity cysteine-type endopeptidase activator activity involved in apoptotic process enzyme binding protein phosphatase binding protein tyrosine kinase inhibitor activity receptor tyrosine kinase binding SH2 domain binding protein homodimerization activity poly(A) RNA binding receptor activity protein binding signaling adaptor activity receptor binding protein complex scaffold cadherin binding involved in cell-cell adhesion
          参与通路
          osteoblast differentiation positive regulation of protein phosphorylation activation of cysteine-type endopeptidase activity involved in apoptotic process protein kinase C-activating G-protein coupled receptor signaling pathway gastrulation negative regulation of gene expression negative regulation of translation negative regulation of Wnt signaling pathway negative regulation of cell growth positive regulation of cell migration positive regulation of cAMP catabolic process positive regulation of proteasomal ubiquitin-dependent protein catabolic process positive regulation of protein homooligomerization regulation of protein localization positive regulation of apoptotic process positive regulation of GTPase activity rhythmic process negative regulation of phagocytosis regulation of cell division positive regulation of cyclic-nucleotide phosphodiesterase activity regulation of cell cycle negative regulation of protein kinase B signaling positive regulation of mitochondrial depolarization negative regulation of protein tyrosine kinase activity regulation of establishment of protein localization to plasma membrane negative regulation of hydrogen peroxide-induced neuron death regulation of establishment of cell polarity positive regulation of gastrulation positive regulation of intrinsic apoptotic signaling pathway regulation of translation apoptotic process cell cycle multicellular organism development protein localization negative regulation of peptidyl-serine phosphorylation intracellular signal transduction regulation of growth cellular response to glucose stimulus regulation of tumor necrosis factor-mediated signaling pathway viral process positive regulation of Golgi to plasma membrane protein transport cellular response to growth factor stimulus cell-cell adhesion negative regulation of endoplasmic reticulum unfolded protein response positive regulation of ceramide biosynthetic process
          It has to be done as per old AB suggested Products section.
          guarantee_icon

          性能保障

          只要您发现Invitrogen抗体在实验中的表现与网站或说明书的所述内容不符,您即可享受免费退换货服务。*

          了解更多
          help_icon

          随时为您服务

          获取常见问题的专家解答,或者直接联系我们的技术专家,咨询应用、设备、常规产品使用问题。

          联系技术支持
          订购 Plus Icon Minus Icon
          • 订单状态查询
          • 订单支持
          • 货号直购
          • 现货供应中心
          • 电子采购
          支持 Plus Icon Minus Icon
          • 帮助&支持
          • 联系我们 - 400 820 8982
          • 技术支持中心
          • 查找文件&证书
          • 报告网站问题
          资源 Plus Icon Minus Icon
          • 学习中心
          • 促销
          • 活动&研讨会
          • 社交媒体
          关于赛默飞 Plus Icon Minus Icon
          • 关于我们
          • 招聘 招聘
          • 投资者关系 投资者关系
          • 新闻 新闻
          • 社会责任 社会责任
          • 商标
          • 政策和通知
          品牌 Plus Icon Minus Icon
          • Thermo Scientific
          • Applied Biosystems
          • Invitrogen
          • Gibco
          • Ion Torrent
          • Patheon
          • PPD
          • 服务条款
          • 隐私政策
          • 定价和运输保险政策
          © 2006-2026 Thermo Fisher Scientific Inc. All rights reserved. All trademarks are the property of Thermo Fisher Scientific and its subsidiaries unless otherwise specified.
          China flag icon
          China
          本网站销售的所有产品均不得用于人类或动物之临床诊断或治疗,仅可用于工业或者科研等非医疗目的。
             电子营业执照 | 经营证照公示 | ICP备案号:沪ICP备11003924号 | 沪公网安备 31011502006935号

          Your items have has been added!


          Host server : magellan-search-blue-55ff9ddd88-lffdw:80/100.66.79.31:80.
          git-commit: d366ff9721d93504b2ac26a183b2b3e3d0e7d9ec
          git-url: https://github.com/thermofisher/magellan-search
          git-branch: release/2.42.0-2026.01.03-1.0